Причины патологии
Этиология образования кист в позвоночнике до сих пор не ясна. Существует мнение, что такие образования могут быть как врожденными, так и приобретенными. Врожденные кисты формируются еще в процессе внутриутробного развития и могут увеличиваться в размерах после рождения.
Не всегда эти дефекты достигают значительных размеров, чтобы проявились ярко выраженные симптомы. Некоторые исследователи указывают на возможность наследственной предрасположенности к данной патологии. Существует несколько факторов, способствующих развитию приобретенной формы дефекта:
- избыточный вес;
- инфекционные болезни;
- нарушения обмена веществ;
- чрезмерные физические нагрузки на позвоночник;
- травмы, приводящие к повреждению позвонков и межпозвоночных дисков;
- недостаток физической активности;
- воспалительные процессы в тканях позвоночника.
Риск появления кисты повышается при деформации определенного участка позвоночника на фоне прогрессирующего сколиоза. Также новообразование может возникнуть в результате кровоизлияния. В редких случаях развитие кисты связано с паразитарной инфекцией, такой как эхинококкоз.
Аутоиммунные заболевания могут создать условия для формирования подобных дефектов, так как в организме пациента вырабатываются антитела, негативно воздействующие на синовиальные оболочки и суставные поверхности.
Врачи отмечают, что кисты в позвоночнике могут образовываться по различным причинам, включая травмы, воспалительные процессы и дегенеративные изменения тканей. Часто они возникают в результате накопления жидкости в межпозвоночных дисках или в области нервных корешков. Важно понимать, что многие кисты не вызывают симптомов и могут быть обнаружены случайно при проведении МРТ.
Лечение кист зависит от их размера и симптоматики. Врач может рекомендовать наблюдение, если киста не вызывает дискомфорта. В случае появления болей или других неприятных ощущений, могут быть назначены противовоспалительные препараты и физиотерапия. В более сложных случаях, когда киста сдавливает нервные структуры, может потребоваться хирургическое вмешательство для ее удаления. Врачи подчеркивают важность своевременной диагностики и индивидуального подхода к каждому пациенту для достижения наилучших результатов.
https://youtube.com/watch?v=GK-q0knOt98
Виды кистозных образований
Существует несколько методов классификации новообразований. Кисты, возникающие в позвоночнике, делятся на истинные и ложные. Истинные кисты имеют эпителиальную оболочку внутри.
Ложные кисты не имеют эпителиальной выстилки. Считается, что такие образования могут рассасываться самостоятельно при определенных условиях. Разработаны различные классификации, учитывающие местоположение и структурные особенности этих новообразований.
| Причина образования кисты позвоночника | Тип кисты | Методы лечения |
|---|---|---|
| Врожденные дефекты развития позвоночника | Синовиальная киста | Консервативное лечение (лекарства от боли, физиотерапия, ограничение физической активности), пункция кисты, хирургическое вмешательство (в случае сильной боли, неэффективности консервативного лечения, сдавления нервных корешков) |
| Травмы позвоночника (ушибы, переломы) | Эпидуральная киста | Консервативное лечение (анальгетики, противовоспалительные препараты, физиотерапия), хирургическое вмешательство (при сдавлении спинного мозга или нервных корешков) |
| Дегенеративные изменения позвоночника (остеохондроз, спондилез) | Периневральная киста | Консервативное лечение (нестероидные противовоспалительные препараты, миорелаксанты, физиотерапия), эпидуральные инъекции кортикостероидов, хирургическое вмешательство (в редких случаях) |
| Воспалительные заболевания позвоночника (спондилит) | Арахноидальная киста | Консервативное лечение (противовоспалительные препараты, анальгетики), хирургическое вмешательство (в случае сдавления спинного мозга или нервных корешков) |
| Опухоли позвоночника | Дермоидная киста | Хирургическое удаление кисты |
Сакральная
Сакральными называют кисты, образующиеся в области пояснично-крестцового отдела. Если такие новообразования небольшие, они обычно не вызывают симптомов и обнаруживаются случайно при обследованиях для диагностики других заболеваний.
Однако крупные кисты могут приводить к проблемам с позвоночником и неврологическим расстройствам из-за компрессионного воздействия на спинномозговые корешки. Особенно часто неблагоприятные последствия сакральной кисты наблюдаются, когда она расположена на уровне S2 — S3.
Кисты в позвоночнике — это довольно распространенное явление, и мнения людей о причинах их образования варьируются. Многие считают, что основными факторами являются травмы, возрастные изменения и наследственность. Некоторые связывают появление кист с хроническими заболеваниями, такими как остеохондроз. Люди отмечают, что кисты могут вызывать боль и дискомфорт, особенно если они давят на нервные корешки.
Что касается лечения, то здесь мнения также различаются. Некоторые предпочитают консервативные методы, такие как физиотерапия и медикаменты, в то время как другие рассматривают хирургическое вмешательство как единственный способ избавиться от проблемы. Важно отметить, что подход к лечению должен быть индивидуальным и зависеть от размера кисты и ее влияния на здоровье пациента. Регулярные обследования и консультации с врачом помогают контролировать ситуацию и принимать обоснованные решения.
https://youtube.com/watch?v=4lQx5JzAshs
Периневральная
Периневральные кисты обнаруживаются лишь в 7% случаев среди различных новообразований. Чаще всего они имеют врожденный характер. Также известно, что такие дефекты могут возникать из-за травм или нарушений оттока ликвора, что приводит к повышению давления цереброспинальной жидкости на окружающие оболочки. Ключевой особенностью этих кист является выпячивание оболочек спинного мозга в просвет канала. Внутри образований скапливается спинномозговая жидкость, не содержащая примесей крови.
Хотя небольшие кисты обычно не вызывают дискомфорта, они могут представлять серьезную угрозу. Симптомы, связанные с этими новообразованиями, могут проявляться даже в раннем детском возрасте. Наиболее часто кисты формируются в грудном и поясничном отделах позвоночника.
Периартикулярная
Формирование периартикулярных образований происходит в области фасеточных суставов и обычно имеет приобретенный характер. Кисты этого типа могут возникать на фоне дегенеративно-дистрофических заболеваний и травм.
Часто встречается подкожная киста, которую можно легко обнаружить при пальпации пораженного участка позвоночника, хотя такие дефекты встречаются довольно редко. В процессе развития периартикулярные новообразования выходят из полости фасеточного сустава и постепенно теряют с ним связь.
Этот дефект крайне редко вызывает выраженный корешковый синдром. Периартикулярные каверны могут быть синовиальными и ганглионарными. В первом случае новообразование имеет синовиальную оболочку. Такие дефекты чаще всего формируются в шейном и поясничном отделах, так как эти зоны подвержены физическим нагрузкам. Ганглиональные дефекты, в свою очередь, не имеют синовиальной оболочки внутри.
https://youtube.com/watch?v=3s1na1kVJoI
Арахноидальная
Этот тип кисты представляет серьезную угрозу, так как образуется из паутинной оболочки спинного мозга. Внутри кисты накапливается спинномозговая жидкость. Чаще всего такие дефекты возникают в пояснично-крестцовом отделе.
Причины формирования арахноидальной каверны закладываются еще в период внутриутробного развития. Небольшие арахноидальные кисты обычно не вызывают выраженных симптомов. Однако при размере более 1,5 см они начинают сжимать окружающие ткани спинного мозга, что может привести к серьезным неврологическим расстройствам.
Аневризматическая
Аневризматическая киста — это полость внутри кости, заполненная венозной кровью. Это заболевание представляет серьезную угрозу, так как может привести к перелому затронутого позвонка. Чаще всего аневризматические кисты диагностируются у детей, причем девочки подвержены этой патологии чаще, чем мальчики. Существует мнение, что такие дефекты в области спины у детей могут возникать после перенесенных травм.
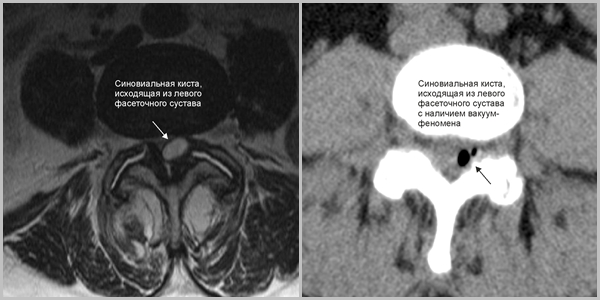
Синовиальная
Такие кисты образуются из синовиальных оболочек суставов позвоночника. Постепенно они увеличиваются, заполняясь синовиальной жидкостью. Синовиальные кисты могут достигать значительных размеров и формироваться в любом сегменте позвоночника.
Характерная симптоматика
Небольшие кисты обычно обнаруживаются случайно, так как не вызывают корешкового синдрома и неврологических нарушений. Однако у некоторых пациентов могут возникать кратковременные дискомфортные ощущения при изменении положения тела. Клинические проявления крупных образований зависят от их расположения.
Если киста находится в шейном отделе позвоночника, могут наблюдаться следующие симптомы:
- боли в шее, отдающие в плечи и верхние конечности;
- эпизоды головокружения;
- частые головные боли;
- колебания артериального давления;
- покалывание и онемение в пальцах рук;
- снижение чувствительности в некоторых участках рук;
- скованность в области шеи.
Кисты в грудном отделе, даже при значительных размерах, проявляются менее выраженной симптоматикой из-за низкой подвижности этого участка позвоночника. Пациенты могут жаловаться на:
- нарушения в работе внутренних органов;
- боли в ребрах при наклонах;
- дискомфорт в груди;
- изжогу;
- приступы тошноты.
Если дефект затрагивает пояснично-крестцовый отдел, возникают характерные симптомы:
- онемение в ногах;
- боли в пояснице, отдающие в бедра или ягодицы;
- усиливающаяся хромота;
- нарушения координации движений;
- дисфункция органов малого таза;
- вынужденное принятие неестественной позы.
В тяжелых случаях киста в поясничном отделе может привести к параличу нижних конечностей, что возможно только при значительном увеличении размера новообразования.
Методы диагностики
Поскольку клинические симптомы кисты могут напоминать проявления различных заболеваний позвоночника, пациентам с этим дефектом необходимо пройти всестороннее обследование. Врач сначала анализирует жалобы пациента, затем проводит детальный осмотр и пальпацию позвоночного столба. После этого назначаются общие и биохимические анализы крови и мочи. Наиболее информативными являются методы диагностики, позволяющие визуализировать структуры позвоночника:
- рентгенография;
- ультразвуковое исследование (УЗИ);
- магнитно-резонансная томография (МРТ);
- миелография.
Для более точной оценки состояния спинномозговых корешков может быть рекомендована электромиография. В редких случаях может потребоваться биопсия.
Способы лечения
При наличии небольших образований врачи могут выбрать выжидательную тактику и предложить консервативное лечение. Однако в случаях крупных новообразований и аневризматических образований без хирургического вмешательства не обойтись.
Консервативная терапия направлена на облегчение болевого синдрома и укрепление мышечного корсета. Пациентам назначают обезболивающие, нестероидные противовоспалительные препараты, миорелаксанты и витаминные комплексы. Эти медикаменты помогают устранить дискомфорт и снизить воспаление.
После этого могут быть рекомендованы процедуры иглоукалывания, фонофореза и магнитотерапии. Некоторые виды образований успешно лечатся с помощью массажа и лечебной физкультуры. Важно, чтобы гимнастика была щадящей, а все упражнения выполнялись под наблюдением квалифицированного инструктора.
При наличии крупных дефектов физическая активность может быть противопоказана, так как это может привести к разрушению позвонка или разрыву стенки новообразования. В таких случаях необходимо оперативное удаление образования.
Внимание! Видео содержит фрагменты хирургической операции. Просмотр не рекомендуется лицам младше 18 лет, беременным и людям с нестабильным психическим состоянием.
Заключение
Кисты в области позвоночника обычно имеют положительный прогноз. Они развиваются медленно, и многие люди могут не подозревать о наличии этой проблемы на протяжении всей жизни. Комплексный подход к лечению позволяет полностью избавиться от опухоли и исключить вероятность её повторного возникновения.
Вопрос-ответ
Можно ли вылечить кисту позвоночника без операции?
В лечении периартикулярной кисты позвоночника широко применяются методы физиотерапии — лазерная терапия, акупунктура, электроакупунктура. Они не заменяют, но дополняют другие методы терапии.
Что является причиной образования синовиальной кисты на позвоночнике?
Синовиальные кисты позвоночника могут быть вызваны постоянным воспалением и износом суставов позвоночника вследствие дегенеративных заболеваний, таких как остеоартрит, или травмы. При синовиальной кисте позвоночника происходит выпячивание ткани в фасеточных суставах — соединениях костей позвоночника.
Советы
СОВЕТ №1
Регулярно проходите медицинские осмотры, особенно если у вас есть предрасположенность к заболеваниям позвоночника. Это поможет выявить кисты на ранних стадиях и предотвратить их развитие.
СОВЕТ №2
Обратите внимание на свою осанку и физическую активность. Укрепление мышц спины и правильная осанка могут снизить риск образования кист и других заболеваний позвоночника.
СОВЕТ №3
Если у вас уже диагностирована киста, следуйте рекомендациям врача и не пренебрегайте назначенным лечением. Это может включать физиотерапию, медикаментозное лечение или, в некоторых случаях, хирургическое вмешательство.
СОВЕТ №4
Изучите методы альтернативной медицины, такие как акупунктура или массаж, которые могут помочь облегчить симптомы и улучшить общее состояние позвоночника. Однако всегда консультируйтесь с врачом перед началом таких процедур.







