Причины появления
Выпирающая косточка на большом пальце ноги не появляется внезапно. Ей предшествует длительное воздействие различных факторов, включая:
- Ношение обуви, неправильно формирующей стопу (высокие каблуки, узкий носок, неудобная колодка).
- Значительная нагрузка на фаланги пальцев, связанная с профессиональной деятельностью (балерины, танцовщицы, гимнастки).
- Длительное пребывание в стоячем положении.
- Травмы в области суставов.
- Избыточная масса тела.
- Плоскостопие (продольное и поперечное).
- Несоответствие между ростом стопы и формированием костной ткани в период полового созревания.
- Родовые травмы, дисплазия, сколиоз.
- Изменения в костной структуре стопы из-за остеопороза.
- Нарушения в работе связочного аппарата во время беременности или менопаузы.
- Наследственные патологии.
- Эндокринные расстройства.
Причины вальгусной деформации разнообразны, но главной считается генетическая предрасположенность к слабости связок и мышц. За синтез коллагена в организме отвечает определённый ген. При его нарушении в фибриллах коллагена I типа не формируются поперечные сшивки, что приводит к изменению структуры коллагена, ослаблению ткани и потере эластичности волокон. Подобные изменения могут наблюдаться при возрастных дегенеративных процессах, поэтому шишки на ногах часто возникают у пожилых людей.
Врачи отмечают, что лечение шишек на ногах у большого пальца, или бурсита, требует комплексного подхода. В начальных стадиях заболевания рекомендуется консервативная терапия, включающая использование ортопедических стелек и специальных бандажей, которые помогают снизить нагрузку на сустав. Физиотерапия и лечебная гимнастика также могут оказать положительное влияние, улучшая подвижность и уменьшая болевые ощущения.
Если консервативные методы не приносят облегчения, специалисты могут рекомендовать хирургическое вмешательство. Операция направлена на удаление шишки и восстановление нормального положения пальца. Важно, чтобы пациенты не откладывали визит к врачу, так как запущенные случаи могут привести к серьезным осложнениям и ограничению подвижности. Врачи подчеркивают, что ранняя диагностика и адекватное лечение способствуют успешному восстановлению и улучшению качества жизни.
https://youtube.com/watch?v=aqebW_DemS8
Генетически обусловленные аномалии
Шишка на большом пальце ноги может возникнуть у людей с наследственными генетическими нарушениями, такими как синдромы Элерса–Данлоса и Марфана. Эти состояния нарушают синтез фибрина, ослабляя связки и увеличивая подвижность суставов. Избыточная подвижность может привести к деформации стопы, уплощению и отклонению фаланг пальцев, что, в свою очередь, вызывает подвывихи и вывихи суставов. Микротравмы в области суставов и большого пальца способствуют образованию косточек.
Кроме наследственного снижения эластичности коллагеновой ткани, на её функциональность влияет и гормональный баланс. Системная дисплазия коллагеновой ткани чаще встречается у женщин, поэтому нельзя утверждать, что только ношение обуви на каблуках вызывает частое появление косточек на стопах.
| Симптом/Диагноз | Возможное лечение | Рекомендации/Примечания |
|---|---|---|
| Вальгусная деформация большого пальца стопы (Hallux valgus) – начальная стадия, незначительная боль | Ортопедическая обувь, силиконовые межпальцевые перегородки, стельки с супинаторами, физиотерапия (упражнения на растяжку и укрепление мышц стопы) | Выбор обуви с широким носком, избегание обуви на высоком каблуке, регулярное выполнение упражнений. Консультация ортопеда. |
| Вальгусная деформация большого пальца стопы (Hallux valgus) – средняя стадия, умеренная боль, ограничение подвижности | Ортопедическая обувь, ортезы, ночные шины, противовоспалительные препараты (НПВС), инъекции кортикостероидов, физиотерапия | Регулярное ношение ортезов, контроль веса, избегание длительной ходьбы и стояния. Консультация ортопеда. Возможность хирургического вмешательства. |
| Вальгусная деформация большого пальца стопы (Hallux valgus) – запущенная стадия, сильная боль, значительное ограничение подвижности, деформация сустава | Хирургическое вмешательство (различные виды операций в зависимости от степени деформации), физиотерапия после операции | Выбор хирурга-ортопеда со специализацией на хирургии стопы. Длительный реабилитационный период. |
| Бурсит первого плюснефалангового сустава (воспаление околосуставной сумки) | Покой, холодные компрессы, противовоспалительные препараты (НПВС), инъекции кортикостероидов | Избегание нагрузки на сустав, ношение удобной обуви. Консультация врача. |
| Остеоартроз первого плюснефалангового сустава | Физиотерапия, обезболивающие препараты, инъекции гиалуроновой кислоты, ортезы, в запущенных случаях – хирургическое вмешательство | Регулярное выполнение упражнений, контроль веса, консультация врача. |
Возрастные дегенеративные процессы и гормональный дисбаланс
Согласно исследованиям, синтез коллагена I типа, который содержится в связках, начинает снижаться после 30 лет. Фибробласты начинают производить менее прочные формы коллагена III и IV типа. Уровень магния также влияет на формирование коллагена в связках. При нехватке магния в связках наблюдается грануляция, что снижает их механическую прочность.
С возрастом поперечно ориентированные коллагеновые волокна в связках расслаиваются, что ухудшает их структурную целостность и функциональность. В результате дегенеративных изменений коллаген разрушается не только в связках и мышцах, но и нарушается его синтез в костной ткани. Это может привести к хрупкости костей, микротравмам и образованию костной мозоли в местах наибольшего механического воздействия.
Еще одной причиной формирования косточек на стопе является нарушение гормонального баланса. В период полового созревания, во время беременности или в постменопаузальный период происходят изменения уровней эстрогенов, прогестерона и других гормонов, влияющих на синтез коллагеновых волокон. Эстроген отвечает за накопление воды внутри клеток, а тестостерон регулирует размножение фибробластов. Гормональный дисбаланс негативно сказывается на состоянии соединительной ткани и на процессе синтеза коллагеновых и эластиновых волокон.
Некоторые эндокринные заболевания также могут способствовать образованию косточек. Например, патология передней доли гипофиза влияет на выработку гормона соматотропина, который активирует синтетические процессы в клетках соединительной ткани и регулирует их размножение.
Некоторые стероидные гормоны являются антагонистами коллагена. Увеличение продукции глюкокортикоидов и кортикотропина подавляет синтез коллагена. Внешние факторы, в сочетании с внутренними, усугубляют состояние связочного и костного аппарата стопы, что может привести к образованию косточек у большого пальца ноги.
Лечение шишек на ногах у большого пальца — тема, вызывающая много обсуждений. Многие люди делятся своим опытом, и мнения варьируются от консервативных методов до хирургического вмешательства. Некоторые предпочитают использовать ортопедические стельки и специальные бандажи, которые помогают уменьшить дискомфорт и замедлить прогрессирование проблемы. Другие обращаются к физиотерапии, которая может облегчить боль и улучшить подвижность. Однако есть и те, кто считает, что единственным эффективным решением является операция. Важно отметить, что подход к лечению должен быть индивидуальным, и консультация с врачом — необходимый шаг. Люди также отмечают, что изменение обуви на более удобную и правильную может значительно улучшить состояние. В конечном итоге, каждый ищет свой путь к облегчению и восстановлению комфорта.
https://youtube.com/watch?v=ZZe-HU7j_mU
Механизм возникновения
Под воздействием различных внешних факторов, деформирующих стопу, отклоняется большой палец. Сустав нижней фаланги начинает выступать наружу, формируя так называемую косточку на ноге. Врожденная слабость связок способствует изменению формы передней части стопы. В результате выравнивается естественный изгиб — свод, и передняя часть ступни становится шире.
Постоянное трение в области шишки приводит к воспалению, травмируя надкостницу и вызывая рост косточек. Изменение архитектуры стопы может привести к образованию грубых мозолей и болезненных натоптышей. Вальгусную деформацию часто путают с подагрой, артритом или артрозом, при которых сустав большого пальца также может воспаляться и выступать. Несмотря на внешнее сходство симптомов, причины этих заболеваний различны.
Чаще всего женщины беспокоятся о появлении шишки под большим пальцем ноги, так как это мешает носить модную обувь, вызывает боль и дискомфорт, а также ограничивает подвижность. Для многих женщин важным поводом для визита к врачу является эстетический аспект, поскольку нога выглядит неопрятно, особенно в открытой обуви.
Мужчины, как правило, меньше обращают внимание на внешний вид, но не стоит забывать, что стопа является основой, на которую опирается весь скелет. Ее деформация и нарушение функций могут привести к:
- плоскостопию;
- неправильному распределению нагрузки на суставы, что может вызвать их разрушение и воспаление;
- перекосу таза из-за активации компенсаторных механизмов, что может привести к искривлению позвоночника и разрушению позвонков;
- нарушению расположения и функций органов таза.
Хотя может показаться, что между появлением шишки на стопе и угрозой выкидыша при беременности нет связи, она существует. Появление косточки может свидетельствовать о генетической аномалии в развитии соединительной ткани, что представляет собой угрозу для вынашивания плода. Поэтому при первых признаках патологии рекомендуется обратиться к ортопеду.
Признаки и симптомы
Вальгусная деформация сустава большого пальца стопы проявляется тяжестью в ногах и жжением в области подошвы. При прогрессировании состояния возникают проблемы с походкой, отеки в области голеностопного сустава и стопы, а также боли при длительной ходьбе или нахождении в одной позе.
Если не проводить лечение, это может привести к вывихам и подвывихам сустава, травмам надкостницы и хрящевой ткани. Сустав начинает опухать и воспаляться. Разрушение хрящевой поверхности может сопровождаться образованием остеофитов в местах дегенерации, что вызывает сильную боль и ограничивает подвижность.
Степени выраженности симптомов в зависимости от стадии заболевания:
- На начальной стадии наблюдаются боли в проксимальной части фаланг пальцев стопы, усиливающиеся при физической активности и исчезающие после отдыха.
- На средней стадии формируется шишка; кость начинает выпирать, вызывая болевые ощущения, добавляется воспаление, нарушается положение пальцев, возникают отеки, а также появляются мозоли и натоптыши.
- В запущенной стадии наблюдаются сильные боли, которые не проходят даже в состоянии покоя. Боль может ощущаться в крупных суставах нижних конечностей и пояснице, а также возникают тянущие боли внизу живота. Происходит нарушение походки и появляется сутулость как компенсаторная реакция на ухудшение опорной функции стопы.
Появление одного или нескольких из этих симптомов указывает на проблемы со стопой. Своевременная диагностика поможет быстрее начать лечение и остановить прогрессирование заболевания.
https://youtube.com/watch?v=RcEDosDLkC4
Диагностика вальгусной деформации и методы терапии
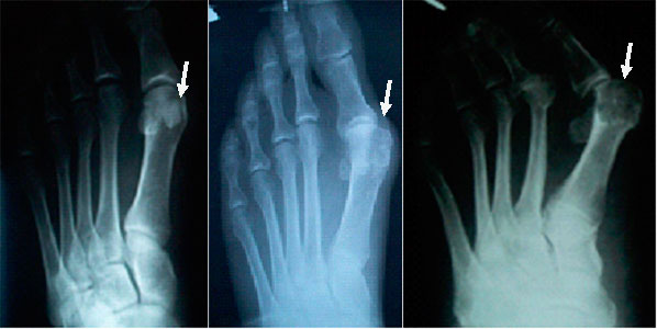
Диагноз вальгусной деформации стопы устанавливается на основе различных инструментальных исследований:
- рентгенография;
- плантография;
- подометрия.
Для дифференциальной диагностики могут быть проведены анализы крови и мочи, чтобы исключить заболевания, такие как подагра или ревматоидный артрит. Чтобы определить наличие плоскостопия как одной из причин или следствий данной патологии, можно выполнить простое исследование. Для этого нужно смазать ступню маслом или увлажнить водой, а затем плотно прижать её к белому листу бумаги. Отпечаток, полученный в стоячем положении, должен демонстрировать изгиб наружу в средней части стопы. Если изгиб выражен слабо или отсутствует, это может указывать на плоскостопие.
После установления диагноза, определения стадии заболевания и выявления возможных осложнений назначается лечение косточки на ноге.
Врачи разрабатывают индивидуальный подход к лечению, используя консервативные методы. Хирургическое вмешательство предлагается только в самых тяжелых и запущенных случаях.
Консервативное лечение
- Исправление структуры стопы с использованием ортопедических средств: супинаторов, межпальцевых вставок, стелек и фиксаторов.
- Лекарственная терапия.
- Физиотерапевтические процедуры.
Для эффективного лечения шишек необходим комплексный подход, который сочетает традиционные методы и народные средства.
Ортопедическая коррекция стопы
На ранних стадиях заболевания деформацию стопы можно скорректировать с помощью ортопедических изделий. Специальные валики и фиксаторы для большого пальца предотвращают его искривление. Эти фиксаторы изготавливаются из гипоаллергенных материалов, что исключает риск раздражений и потертостей на чувствительной коже между пальцами.
При плоскостопии рекомендуется использовать ортопедические стельки и супинаторы, которые помогают восстановить свод стопы. Все ортопедические аксессуары уменьшают симптомы, такие как боль, мышечная атония и нарушения походки, а также замедляют процесс деформации.
Медикаментозное лечение
Лечение шишки медикаментами имеет симптоматический характер. Врач может назначить препараты для наружного применения:
- Гомеопатические средства — такие как Траумель С и Цель Т. Эти мази обладают анальгезирующим, противовоспалительным и регенерирующим эффектом.
- Обезболивающие и отвлекающие средства — например, Финалгон, Капсикам, Эфкамон и Апизартрон. Разогревающие компоненты этих мазей улучшают кровообращение и питание сустава, а также воздействуют на болевые рецепторы, уменьшая дискомфорт.
- Нестероидные противовоспалительные препараты (НПВП) — такие как Кетопрофен, Нимесулид, Вольтарен и Пироксикам, помогают облегчить состояние и снять боль в области патологии.
- Хондропротекторы — при дегенеративных изменениях хрящевой ткани в суставе большого пальца ноги применяются Хондроитина сульфат, Терафлекс М и комплекс Софья.
Эффективность наружных медикаментов значительно возрастает при их сочетании с системными лекарственными средствами и физиотерапевтическими процедурами.
Физиотерапия при вальгусной деформации
Терапия заболеваний с использованием аппаратных методов включает:
- электрофорез;
- магнитотерапию;
- парафиновые аппликации;
- озокеритотерапию;
- массаж;
- лечебную физкультуру;
- гидротерапию.
Физиотерапевтические методы улучшают кровообращение, восстанавливают трофические процессы, уменьшают воспаление и отеки, а также оказывают мягкое обезболивающее действие.
Физиотерапия не может полностью устранить шишки на ногах, но массаж и комплекс физических упражнений укрепляют мышечно-связочный аппарат стопы и предотвращают осложнения.
Средства народной медицины
Народная медицина предлагает множество рецептов для лечения косточек на ногах. Хотя эффективность большинства из них может вызывать сомнения, они могут быть полезны как дополнительные методы терапии.
Одним из проверенных способов облегчения симптомов являются ванночки для ног с травами, обладающими болеутоляющими и противовоспалительными свойствами. К таким травам относятся белокопытник, бодяк обыкновенный, болиголов, буквицей, донник лекарственный, жабник полевой, зизифус и золотая розга.
Способы лечения косточки на ноге:
- компрессы из ржаной муки, кефира, соли и скипидара;
- йодная сетка на пораженном участке;
- обертывание больного сустава листьями мать-и-мачехи или лопуха;
- прикладывание кашицы из позеленевших клубней картофеля;
- компрессы из смеси редьки, хрена и репы, а сок можно втирать в сустав.
Еще один метод — приготовление домашней лечебной мази и ее регулярное использование. Для этого нужно взять березовые почки, несоленое сливочное масло и камфару. Слои березовых почек и масла чередуются и настаиваются в течение двух суток. Затем массу процеживают и добавляют камфару в порошке. Мазь наносят на ноги, начиная с верхней части стопы, и оборачивают хлопковой тканью. Сверху надевают шерстяные носки.
Что делать, если консервативные методы не приносят результата? В случае запущенной формы заболевания ортопеды рекомендуют рассмотреть возможность хирургического вмешательства.
Оперативное лечение
В настоящее время существует более ста хирургических методов для лечения косточки на большом пальце ноги. Наиболее распространенные из них:
- шевронная остеотомия;
- плюсневая остеотомия;
- остеотомия по Шарфу.
Эти процедуры направлены на коррекцию угла между плюсневыми костями стопы. Если сустав поврежден и стал причиной образования шишки у основания большого пальца, лечение может включать операцию по его восстановлению.
Хирургическое вмешательство является травматичным и требует значительного времени для восстановления. Поэтому не стоит откладывать визит к врачу. Ранняя медицинская помощь и комплексный подход к лечению обеспечивают благоприятный прогноз в борьбе с шишками на ногах.
Вопрос-ответ
Какая мазь помогает от шишек на ногах?
Как лечить шишки на ногах медикаментозными средствами? Мазь для наружного применения «Индометацин», мазь ВальгусСтоп, основанная на использовании мочевины, желчи и салициловой кислоты, мазь с акульим жиром на основе акации.
Можно ли мазать йодом косточки на ногах?
Сразу скажем, ответ на вопрос вроде «Можно ли вылечить косточку на ноге йодом?» отрицательный. Это касается и других домашних средств; они могут только на время уменьшить болезненные ощущения.
Советы
СОВЕТ №1
Обратитесь к врачу-ортопеду для диагностики и определения степени развития шишки. Специалист сможет предложить наиболее подходящие методы лечения, включая консервативные и хирургические варианты.
СОВЕТ №2
Используйте ортопедические стельки и специальные бандажи для поддержки стопы и уменьшения нагрузки на суставы. Это может помочь снизить болевые ощущения и замедлить прогрессирование заболевания.
СОВЕТ №3
Регулярно выполняйте упражнения для укрепления мышц стопы и улучшения гибкости. Это поможет улучшить кровообращение и снизить риск возникновения шишек на ногах.
СОВЕТ №4
Обратите внимание на свою обувь: выбирайте модели с широким носком и низким каблуком, чтобы избежать излишнего давления на суставы. Правильная обувь может значительно облегчить состояние и предотвратить дальнейшее развитие проблемы.










