Характерные симптомы
К основным признакам гонартроза на разных стадиях относятся:
- боль в колене;
- синовит — избыточное накопление суставной жидкости, что может привести к образованию кист на задней стенке сустава;
- хруст и щелчки при сгибании и разгибании колена;
- изменение формы сустава;
- ограничение подвижности.
Гонартроз, или остеоартрит коленного сустава, представляет собой дегенеративное заболевание, которое часто встречается у людей старше 50 лет. Врачи отмечают, что основными факторами риска являются возраст, избыточный вес, травмы и наследственная предрасположенность. Симптомы гонартроза включают боль, скованность и ограничение подвижности колена.
Для лечения заболевания специалисты рекомендуют комплексный подход. На ранних стадиях эффективны физиотерапия, лечебная физкультура и медикаментозное лечение, включая нестероидные противовоспалительные препараты. В более запущенных случаях может потребоваться инъекция гиалуроновой кислоты или даже хирургическое вмешательство, такое как артропластика. Врачи подчеркивают важность ранней диагностики и индивидуального подхода к каждому пациенту для достижения наилучших результатов в лечении.
https://youtube.com/watch?v=AZS6c5ObRlY
Дискомфорт в колене
На ранних стадиях заболевания человек может не испытывать дискомфорта или чувствовать лишь легкую боль, которую не связывает с артрозом. Это состояние может продолжаться много лет, пока болезнь не перейдет в следующую стадию. На этом этапе появляются слабые, но постоянные боли при ходьбе, беге и других физических нагрузках. Резкая боль во время физической активности не указывает на артроз, а скорее свидетельствует о травме, такой как защемление, вывих или перелом.
При артрозе второй степени (умеренной тяжести) болевые ощущения становятся более выраженными. Они могут возникать не только при нагрузках, но и в состоянии покоя. После длительных прогулок боль может стать невыносимой. Для облегчения состояния требуется увеличивать время отдыха, однако стоит только возобновить движение, как боль и дискомфорт возвращаются.
На последней стадии (третьей) наблюдаются сильные и постоянные боли, которые могут проявляться как ноющие, так и острые. Дискомфорт усиливается при изменении погоды и особенно беспокоит ночью. Для облегчения состояния часто необходимы нестероидные противовоспалительные препараты (НПВП).
| Симптом | Возможная причина (в контексте гонартроза) | Методы лечения |
|---|---|---|
| Боль в колене | Дегенеративные изменения хряща, воспаление синовиальной оболочки, остеофиты (костные наросты) | Нестероидные противовоспалительные препараты (НПВП), физиотерапия (УВЧ, магнитотерапия, лазерная терапия), инъекции гиалуроновой кислоты, хондропротекторы, упражнения для укрепления мышц бедра, снижение веса |
| Ограничение подвижности колена | Уменьшение объема суставной щели, остеофиты, воспаление, мышечная слабость | Физиотерапия (ЛФК, кинезитерапия), массаж, инъекции гиалуроновой кислоты, оперативное вмешательство (в запущенных случаях) |
| Утренняя скованность | Воспаление в суставе, отек | НПВП, физиотерапия, упражнения для улучшения подвижности |
| Хруст в колене | Дегенеративные изменения хряща, остеофиты | Физиотерапия, упражнения для укрепления мышц, снижение нагрузки на сустав |
| Отек колена | Воспаление синовиальной оболочки, выпот в суставе | НПВП, покой, холодные компрессы, в некоторых случаях пункция сустава |
| Деформация колена (вальгусная или варусная) | Неравномерное разрушение хряща, остеофиты | Ортезы, оперативное вмешательство (в запущенных случаях) |
Хруст и щелчки
Хруст в коленях — явление, которое наблюдается не только у людей с заболеваниями, но и у совершенно здоровых. У здоровых людей щелкающие и хрустящие звуки при сгибании коленей могут указывать на недостаточную крепость связок или избыточную подвижность сустава. При этом болевых ощущений не возникает.
При артрозе хруст и щелчки становятся резкими и сопровождаются болями. Этот признак свидетельствует о том, что заболевание достигло 2 или даже 3 стадии.
Гонартроз — это заболевание, которое вызывает значительный дискомфорт и ограничивает подвижность коленного сустава. Многие люди, столкнувшиеся с этой проблемой, отмечают, что боли усиливаются при физической активности и в конце дня. Важно понимать, что гонартроз требует комплексного подхода к лечению. Врачи рекомендуют сочетание медикаментозной терапии, физиотерапии и, в некоторых случаях, хирургического вмешательства. Также многие пациенты делятся положительным опытом использования специальных упражнений для укрепления мышц вокруг колена и улучшения его подвижности. Не менее важным аспектом является контроль веса, так как избыточная масса тела создает дополнительную нагрузку на суставы. В целом, своевременная диагностика и правильное лечение могут значительно улучшить качество жизни людей с гонартрозом.
https://youtube.com/watch?v=wUcdkw6YmFU
Нарушение подвижности
Проблемы с подвижностью возникают на завершающем этапе болезни. Ногу нельзя ни сгибать, ни разгибать; она может двигаться только под углом 90 градусов. Каждое движение требует значительных усилий и вызывает сильную боль. На этой стадии коленный сустав может стать неподвижным. Часто пациенты передвигаются, опираясь на полусогнутые ноги.
Деформирование сустава
С нарушением подвижности возникает деформация сустава, которая становится заметной на завершающем этапе. На ранней стадии колено может выглядеть отечным, но его форма остается неизменной.
https://youtube.com/watch?v=GeTOqrPb5bo
Причины деформирующего артроза
К факторам, способствующим развитию гонартроза, относятся:
-
Травмы коленного сустава. К ним относятся повреждения мениска, вывихи и переломы. Эти травмы чаще встречаются у молодежи, активно занимающейся спортом. В результате повреждений колено может потерять способность сгибаться. Для восстановления подвижности требуется временная фиксация, что нарушает кровообращение и может привести к гонартрозу. Если во время лечения потребуется удалить мениск, риск развития заболевания возрастает до 90%.
-
Избыточные физические нагрузки. Спортивные тренировки должны соответствовать возрасту. Часто люди старше 40 или 50 лет продолжают заниматься спортом по тем же схемам, что и в молодости, что не приносит пользы. С возрастом хрящевая ткань истончается и становится более подверженной повреждениям. Даже без вывихов или переломов перегрузка приводит к быстрому износу хряща. Наиболее негативное воздействие на коленные суставы оказывают приседания и бег по асфальту.
-
Избыточный вес. Эта причина является косвенной. Ожирение само по себе не вызывает артроз, но постоянная нагрузка на коленные суставы и мениски часто приводит к их травмированию. У людей с избыточным весом такие повреждения заживают медленно, что в конечном итоге может привести к гонартрозу. Наиболее неблагоприятный сценарий — сочетание избыточного веса с варикозным расширением вен, что значительно увеличивает риск тяжелой формы заболевания.
-
Слабый связочный аппарат. Это состояние характеризуется чрезмерной подвижностью связок. Такие люди обладают высокой гибкостью и могут выполнять растяжки, но это может вызывать микротравмы, которые со временем приводят к артрозу.
-
Заболевания суставов. Артриты, такие как реактивный, ревматоидный и псориатический, способствуют развитию артроза. Воспаление приводит к накоплению жидкости в суставе и образованию отеков, что разрушительно влияет на хрящевую ткань.
-
Нарушение обменных процессов. В результате этих сбоев суставы не получают необходимые микроэлементы, такие как кальций, что негативно сказывается на состоянии хрящей и костей.
Диагностирование
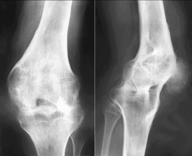
Для диагностики гонартроза применяются рентгенография коленного сустава и лабораторные анализы крови. Увеличение скорости оседания эритроцитов (СОЭ) указывает на воспалительный процесс в организме. Рентгеновские снимки помогают выявить изменения в суставе и определить стадию заболевания.
Степени, виды и механизм развития
Выделяют три степени заболевания.
Легкая (1 степень). На этой стадии начинается разрушение хрящевой ткани. Хрящ не содержит сосудов и нервных окончаний, поэтому болевые ощущения практически отсутствуют. Они могут возникнуть только при значительных физических нагрузках или максимальном разгибании сустава. На рентгеновских снимках заметны небольшие изменения: легкое сужение суставной щели и образование мелких костных выростов — остеофитов. Обычно заболевание выявляется случайно, но при этом его лечение, как правило, эффективно.
Средняя (2 степень). На этой стадии продолжается разрушение хряща: он становится рыхлым и начинает отслаиваться от кости, образуя чешуйки. Эти частицы попадают в суставную щель и механически воздействуют на синовиальную оболочку и поверхности сустава, что приводит к дальнейшему стиранию хрящевой ткани. Суставная оболочка воспаляется и выделяет больше жидкости, что усугубляет разрушение хряща. Сустав становится горячим и отекает.
Процесс сопровождается выраженными болевыми ощущениями, которые трудно игнорировать. Боли становятся постоянными и могут проявляться не только при движении, но и в состоянии покоя, усиливаясь утром и вечером. Движения затруднены и замедлены, в колене могут возникать резкие хрустящие звуки или щелчки, наблюдается деформация, а при ощупывании возникают болезненные ощущения. На рентгеновских снимках видно значительное сужение суставной щели, деформацию сустава и костей, а также осложнения в виде разросшихся остеофитов.
Тяжелая (3 степень). На этой стадии изменения в суставе становятся необратимыми. Под разрушенным хрящом начинает проявляться кость, в которой нарушается кровообращение. Избыточное количество синовиальной жидкости приводит к изменению формы колена. Ситуацию усугубляют сильно разросшиеся остеофиты, которые становятся дополнительным фактором деформации.
Эта стадия характеризуется невыносимой постоянной болью. Либо движения сустава ограничены, либо он становится полностью неподвижным. Ходьба становится практически невозможной. На рентгеновских снимках видны разросшиеся остеофиты, стертая хрящевая ткань, а также разрушенные мениски и связки.
Способы комплексного лечения
Лечение артроза требует комплексного и системного подхода. Хотя народные средства и рекламируемые мази могут временно облегчить боль, они не устраняют само заболевание. За помощью следует обращаться к специалистам в области ортопедии, которые подберут индивидуальные схемы терапии.
Методы лечения гонартроза можно разделить на две категории:
- консервативные;
- хирургические.
Медикаментозные препараты
Лекарственные средства при артрозе применяются для:
- облегчения болей, уменьшения воспаления и отечности;
- восстановления обменных процессов в организме;
- стимуляции регенерации хрящевой ткани.
Наиболее часто используются:
- мази, таблетки и инъекции нестероидных противовоспалительных средств (НПВС), таких как Диклофенак, Нимесулид, Пироксикам;
- инъекции глюкокортикостероидов (например, Кеналог, Гидрокортизон);
- инъекции анестетиков (Лидокаин, Новокаин, Тримекаин);
- таблетки хондропротекторов (таких как Дона, Хондроитин, Хондролон, Терафлекс, Структум).
Инъекции вводятся непосредственно в сустав. Хондропротекторы — это препараты, способствующие восстановлению костной ткани. Они блокируют ферменты, разрушающие хрящ, и участвуют в образовании новых клеток хрящевой и костной тканей. Эти средства принимаются курсами продолжительностью от 3 до 6 месяцев.
Физиопроцедуры
Физиотерапевтические процедуры предназначены для:
- устранения болевых симптомов и отеков;
- улучшения обменных процессов в пораженном суставе;
- поддержания подвижности сустава.
Существует множество физиотерапевтических методов для лечения заболеваний коленного сустава:
-
Ударно-волновая терапия. Каждая сессия длится от 30 до 40 минут. В зависимости от тяжести заболевания курс может включать от 4 до 10 процедур. Компактный излучатель создает локальное волновое воздействие, благодаря которому: разрушаются солевые отложения; рассасываются фиброзные образования; повышается эластичность связок; улучшается кровообращение; уменьшается воспаление.
-
Миостимуляция. Эта процедура помогает снять мышечные спазмы и предотвратить атрофию мышц вокруг пораженного колена с помощью электрических импульсов.
-
Фонофорез. Этот метод сочетает использование мази с противовоспалительным действием (чаще всего Гидрокортизон) и ультразвук. Ультразвук способствует более быстрому всасыванию активного вещества.
-
Ванны с добавлением скипидара, радона или сероводорода. Эти процедуры обладают мощным обезболивающим и противовоспалительным эффектом.
-
Иглотерапия. Если артроз находится на начальной стадии, этот метод может помочь уменьшить боль и отеки, что способствует восстановлению подвижности сустава.
ЛФК
Лечебная физкультура играет важную роль в поддержании подвижности суставов и предотвращении застойных процессов, а также мышечной атрофии. Рекомендуется выполнять специальный комплекс упражнений ежедневно, 3–4 раза в день. Первую серию следует начинать утром, не вставая с постели. Упражнения для суставов можно выполнять с использованием специализированных тренажеров, например, велотренажера.
Курс мануальной терапии
После занятий лечебной физкультурой рекомендуется проходить сеансы мануальной терапии. Специалист выполняет манипуляции, направленные на улучшение подвижности суставов, сочетая их с массажными техниками. Обычно курс включает от 5 до 10 сеансов.
Народные средства
Методы народной медицины являются эффективными способами лечения артроза суставов на ранних стадиях и помогают облегчить болевые ощущения на более поздних этапах. Вот некоторые из наиболее популярных и действенных средств:
- компресс из отвара одуванчика;
- растирание на основе корня девясила, настоянного на спирте;
- примочка из свежевыжатого сока капусты;
- компресс из овсяных хлопьев;
- компресс из кефира и яичной скорлупы;
- растирание из меда, глицерина, спирта и йода;
- хвойные ванны для всего тела;
- компресс с отваром лука;
- ванны для ног с использованием сенной трухи.
Хирургическое лечение
Хирургическое вмешательство сегодня направлено не только на облегчение болевого синдрома и других симптомов, но и на устранение первопричин заболеваний, когда консервативные методы оказываются неэффективными. К числу таких хирургических методов относятся:
-
Пункция — процедура, в ходе которой откачивается избыточная жидкость из суставной полости. Этот малоинвазивный метод выполняется амбулаторно и не требует госпитализации. Удаление лишней жидкости снижает отек, уменьшает давление на сустав, облегчает воспалительные процессы и, как следствие, уменьшает болевые ощущения, а также восстанавливает подвижность.
-
Артроскопия — операция, предназначенная для удаления осколков разрушенных хрящей из сустава. Она выполняется в стационаре с использованием эндоскопических технологий и микровидеокамеры. Процедура считается относительно легкой, хорошо переносится пациентами и не требует длительного периода восстановления.
-
Околосуставная остеотомия — традиционная операция, в процессе которой колено распиливается, устраняются деформации, и суставу придается правильная форма. Изменения фиксируются с помощью металлических пластин и аппарата Илизарова. Реабилитация после такой операции занимает несколько месяцев.
-
Эндопротезирование — операция, применяемая, когда восстановление сустава колена невозможно. Сустав заменяется на искусственный, изготовленный из биосовместимого титана. Эта процедура позволяет пациенту вернуться к привычной жизни даже на третьей стадии заболевания, однако период восстановления может занять не менее года.
Диета
При лечении артроза важно исключить из рациона следующие продукты:
- свинину и говядину (слишком жирные);
- виноград и бананы (высокая калорийность);
- цитрусовые (апельсины, лимоны);
- помидоры, болгарский перец и белокочанную капусту;
- сладкие газированные напитки;
- полуфабрикаты;
- продукты с высоким содержанием жира;
- шоколад;
- кондитерские изделия.
Рацион следует формировать на основе следующих продуктов:
- куриное, индюшачье или кроличье мясо, запеченное в духовке;
- бобовые (горох, фасоль);
- орехи (миндаль, кешью);
- морепродукты;
- нежирные молочные продукты (сыр, кефир, творог);
- фруктовое желе;
- различные каши;
- зелень;
- овощи и фрукты.
Противопоказания при заболевании
Дегенеративные изменения в коленном суставе, возникающие при гонартрозе, накладывают ограничения на жизнь пациента. Однако, отказываясь от некоторых привычных действий, можно замедлить прогрессирование заболевания и избежать длительных болей. Ограничения касаются физической активности, питания и выбора обуви.
При гонартрозе занятия спортом не только допустимы, но и рекомендуются, так как суставу необходимо движение. Все упражнения следует выполнять в сидячем или лежачем положении, избегая болевых ощущений в суставе. Запрещены любые ударные и осевые нагрузки, к которым относятся:
- бег;
- приседания с весом или без, жимы и тяги;
- аэробика;
- прыжки;
- асимметричные упражнения.
Асимметричные упражнения, такие как работа с гантелями на бицепс или трицепс, могут перегружать коленные суставы и должны быть исключены.
Массаж колена при гонартрозе противопоказан. Механическое воздействие на пораженный сустав может вызвать раздражение и усугубить воспалительный процесс.
Избыточный вес является серьезным фактором, усугубляющим течение заболевания, так как коленный сустав испытывает повышенную нагрузку на фоне нарушенного обмена веществ. Однако строгие диеты, такие как низкоуглеводные, вегетарианские или монодиеты (например, только кефир или гречка), могут негативно сказаться на состоянии суставов, так как организм не будет получать необходимые микроэлементы, что затруднит восстановление хряща.
Поэтому строгие диеты не рекомендуются при гонартрозе.
Неустойчивая походка увеличивает риск воспаления и повреждения коленных суставов. Поэтому при данном диагнозе следует избегать обуви:
- на тонких высоких каблуках;
- слишком узкой, с давлением на подъеме;
- с жесткой подошвой;
- большего размера.
При артрозе также вредны фиксированные позы, которые могут нарушать кровообращение в ногах (например, когда ноги затекают). Поэтому следует избегать мебели, на которой в сидячем положении колени находятся выше уровня бедер (низкие диваны, кресла и т.д.).
Чем опасен дефартроз колена?
Игнорирование лечения деформирующего артроза может привести к тому, что колено перестанет сгибаться. Это вызовет деформацию пораженного участка, что приведет к эстетическим и физическим неудобствам. На последней стадии заболевания конечность может полностью утратить функциональность, что приведет к потере подвижности и инвалидности.
Профилактика
Регулярные профилактические мероприятия помогут пациентам поддерживать здоровье коленных суставов, предотвращая прогрессирование заболеваний и минимизируя риск обострений. Сбалансированное питание и умеренные физические нагрузки должны стать частью повседневной жизни. Рекомендуется проходить комплекс мероприятий не реже одного раза в год, а при возможности — 2-3 раза. В этот комплекс входят:
- физиотерапевтические процедуры;
- массажи;
- грязевые ванны;
- лечебная физкультура.
Полезными дополнительными мерами профилактики являются смена обстановки, прогулки на свежем воздухе и участие в мероприятиях, снижающих уровень стресса.
Заключение
Чтобы избежать гонартроза, важно сочетать сбалансированное питание с умеренными физическими упражнениями. Если вы в группе риска, регулярно проходите медицинские обследования.
Вопрос-ответ
Что такое гонартроз и какие его основные симптомы?
Гонартроз — это дегенеративное заболевание коленного сустава, которое характеризуется разрушением хрящевой ткани и изменениями в костной структуре. Основные симптомы включают боль в колене, ограничение подвижности, хруст при движении и отечность сустава.
Какие методы лечения гонартроза существуют?
Лечение гонартроза может включать консервативные методы, такие как физиотерапия, медикаментозная терапия (обезболивающие и противовоспалительные препараты), а также инъекции гиалуроновой кислоты. В более тяжелых случаях может потребоваться хирургическое вмешательство, например, артроскопия или эндопротезирование коленного сустава.
Как можно предотвратить развитие гонартроза?
Для предотвращения гонартроза рекомендуется поддерживать нормальный вес, заниматься регулярной физической активностью, избегать травм коленного сустава и следить за правильной осанкой. Также полезно укреплять мышцы ног и соблюдать сбалансированную диету, богатую витаминами и минералами.
Советы
СОВЕТ №1
Регулярно консультируйтесь с врачом-ортопедом. Гонартроз — это прогрессирующее заболевание, и важно следить за его развитием. Специалист поможет вам выбрать оптимальную стратегию лечения и даст рекомендации по физической активности.
СОВЕТ №2
Поддерживайте здоровый вес. Избыточная масса тела создает дополнительную нагрузку на суставы, что может усугубить симптомы гонартроза. Правильное питание и физическая активность помогут вам контролировать вес и улучшить общее состояние здоровья.
СОВЕТ №3
Используйте специальные ортопедические средства. Ортезы, стельки и другие устройства могут помочь снизить нагрузку на коленный сустав и улучшить его функциональность. Обсудите с врачом, какие средства подойдут именно вам.
СОВЕТ №4
Занимайтесь физической терапией. Упражнения, подобранные специалистом, помогут укрепить мышцы вокруг коленного сустава, улучшить его подвижность и снизить болевые ощущения. Регулярные занятия физической терапией могут значительно улучшить качество жизни.











