Типы и характерные симптомы травмы
Существует несколько разновидностей трехлодыжечного перелома. Для оказания правильной помощи пострадавшему врачу необходимо точно определить тип перелома. Наиболее распространенная классификация переломов лодыжек выглядит следующим образом:
- Двухлодыжечный перелом — травма, при которой повреждаются внутренняя и внешняя лодыжки. Обычно такой перелом сопровождается разрывом связок голеностопного сустава. Он может быть открытым или закрытым.
- Сгибательный — возникает из-за резкого сгибания стопы.
- Супинаторный — происходит, когда нога резко заворачивается внутрь.
- Ротационный — повреждение голеностопа, возникающее при неожиданном повороте конечности внутрь или наружу.
- Пронаторный — лодыжка выворачивается наружу.
В большинстве случаев трехлодыжечные переломы являются закрытыми и затрагивают три кости. Переломы правой голени встречаются чаще, чем левой. Нарушение целостности этих костей приводит к сильной боли и потере функций голеностопного сустава.
Внешние признаки перелома лодыжки:
- интенсивная боль, при которой невозможно наступить на ногу;
- отек, который появляется в первые минуты после травмы.
При трехлодыжечном переломе часто наблюдается смещение большеберцовой кости. Если произошло смещение, это может проявляться следующими симптомами:
- изменение формы сустава;
- сильное натяжение кожи над травмированным участком, помимо отека;
- невозможность двигать пальцами ноги;
- место повреждения начинает синеть.
Если после травмы появились какие-либо из этих симптомов, необходимо немедленно оказать первую помощь пострадавшему. Важно помнить, что неправильные действия в качестве доврачебной помощи могут усугубить ситуацию. Поэтому лучше всего оставить поврежденную ногу в покое и вызвать скорую помощь.
Врачи подчеркивают, что лечение и реабилитация после трехлодыжечного перелома требуют комплексного подхода. Первоначально важно правильно зафиксировать перелом, что может включать хирургическое вмешательство. После операции начинается этап восстановления, который включает физиотерапию и специальные упражнения для укрепления мышц и улучшения подвижности. Врачи отмечают, что индивидуальный план реабилитации должен разрабатываться с учетом возраста пациента, его физического состояния и уровня активности до травмы. Регулярные консультации с врачом помогут избежать осложнений и ускорить процесс восстановления. Специалисты также акцентируют внимание на важности соблюдения рекомендаций по нагрузке на конечность, чтобы предотвратить повторные травмы и обеспечить полноценное возвращение к привычной жизни.
https://youtube.com/watch?v=mA_IbfHMkRw
Первая помощь
При возникновении такой травмы у человека рекомендуется немедленно вызвать скорую помощь. Не стоит пытаться самостоятельно наложить шину, так как это может усугубить ситуацию. До прибытия медиков можно выполнить следующие действия:
- Чтобы избежать сильного отека, приложите холод к поврежденному участку. Холодный компресс следует накладывать только поверх одежды и не дольше 20 минут. Через 10-15 минут можно повторить процедуру.
- Обезболивание. Можно предложить пострадавшему анальгетики для облегчения боли. Однако перед этим уточните, нет ли у него аллергии на эти препараты.
- Если наблюдается повышение артериального давления, предложите таблетки для его снижения.
Если пострадавший испытывает жажду, можно предложить ему горячий чай. Однако в случае перелома со смещением может потребоваться хирургическое вмешательство для восстановления целостности костей. Операция проводится под наркозом, поэтому перед ней желательно ограничить потребление жидкости.
Важно сообщить медикам, как произошла травма, какую помощь уже оказали пострадавшему и изменилось ли его состояние с момента получения травмы. Эти данные необходимы для правильного выбора дальнейшей тактики лечения.
| Этап лечения/реабилитации | Процедуры и мероприятия | Ожидаемые результаты/цели |
|---|---|---|
| Острый период (первые 6-8 недель) | Операция (остеосинтез, артродез), иммобилизация гипсовой повязкой или внешней фиксацией, обезболивание (анальгетики, НПВС), профилактика тромбоэмболии | Стабилизация перелома, уменьшение боли и отека, профилактика осложнений |
| Ранняя реабилитация (6-8 недель – 3 месяца) | Физиотерапия (УВЧ, электрофорез, магнитотерапия), лечебная гимнастика (пассивные и активные упражнения в пределах допустимого объема движений), массаж, контроль за заживлением перелома (рентген-контроль) | Восстановление подвижности в суставах, уменьшение отека, улучшение кровообращения, профилактика контрактур |
| Поздняя реабилитация (3-6 месяцев и более) | Упражнения для укрепления мышц голени и стопы, восстановительная гимнастика, плавание, эрготерапия (восстановление бытовых навыков), протезирование (при необходимости), регулярный контроль у врача | Полное восстановление функции голеностопного сустава, возвращение к привычной активности, минимизация остаточных явлений |
| Долгосрочная реабилитация (более 6 месяцев) | Поддерживающая физическая активность (ходьба, плавание, велосипед), контроль за состоянием сустава, профилактика рецидивов | Поддержание функциональной активности, предотвращение повторных травм |
Лечебные мероприятия
Лечебный процесс включает два основных этапа: восстановление структуры костей и восстановление подвижности конечности. Параллельно с основным лечением проводится профилактика возможных посттравматических осложнений. В большинстве случаев используется консервативный подход, но в некоторых ситуациях может потребоваться хирургическое вмешательство.
После трехлодыжечного перелома многие пациенты сталкиваются с множеством вопросов о процессе лечения и реабилитации. Люди отмечают, что важным этапом является правильная диагностика и своевременное хирургическое вмешательство, если это необходимо. Восстановление требует терпения и настойчивости, так как реабилитация может занять от нескольких месяцев до года.
Пациенты делятся опытом о том, как важно следовать рекомендациям врачей и физиотерапевтов. Многие подчеркивают, что регулярные занятия физической терапией помогают восстановить подвижность и силу ноги. Также отмечается, что поддержка близких играет значительную роль в моральном состоянии во время реабилитации.
Некоторые люди рассказывают о своих страхах и сомнениях, связанных с возвращением к активной жизни, но большинство уверены, что с правильным подходом и настойчивостью можно добиться отличных результатов. В конечном итоге, каждый опыт уникален, но общая тенденция говорит о том, что позитивный настрой и соблюдение рекомендаций специалистов — ключ к успешному восстановлению.
https://youtube.com/watch?v=fKPvFNh80zY
Консервативное лечение
Закрытый перелом без смещения фрагментов лечится консервативно. Репозиция проводится под местной анестезией. Основная задача — правильно сопоставить костные обломки и устранить подвывих стопы. После процедуры врач накладывает гипс и выполняет рентгенографию для проверки правильности расположения обломков. Через две недели проводится повторное рентгеновское исследование, так как возможно смещение. Если смещения не обнаружено, гипсовую повязку можно заменить на более легкий фиксирующий материал.
Общий период иммобилизации составляет не менее шести недель и зависит от возраста пациента, сложности травмы и наличия сопутствующих заболеваний.
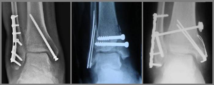
Оперативное вмешательство
Данный тип перелома считается нестабильным и требует хирургического вмешательства.
Основные показания для операции:
- отсутствие эффекта от консервативного лечения;
- наличие нескольких повреждений;
- разрывы связок в области голеностопа.
Остеометаллосинтез — основной метод хирургического лечения. Он выполняется с использованием спиц, стержней, пластин и винтов. При оскольчатом переломе часто применяется аппарат Илизарова, который сокращает время восстановления функциональности конечности.
Примерные сроки лечения:
- одиночные переломы правой или левой голени — около месяца;
- при наличии смещения — 42 дня;
- перелом с вывихом — до 60 дней;
- перелом со смещением — от 80 дней и более.
Важно строго следовать всем рекомендациям врача, чтобы ускорить процесс восстановления.
https://youtube.com/watch?v=WB22WwgHBrg
Реабилитация и восстановление
После снятия гипсовой повязки важно восстановить атрофированные мышцы и вернуть тонус сосудам. Для этого назначаются следующие реабилитационные процедуры:
- Массаж. Улучшает кровообращение и активизирует нервные окончания.
- Лечебная физкультура. Небольшие дозированные нагрузки на ногу укрепляют мышцы.
- Электрофорез и УВЧ с использованием обезболивающих средств.
- Витаминотерапия. Витамины назначаются для общего укрепления организма.
Продолжительность реабилитационного периода зависит от степени тяжести травмы. Восстановление нервных окончаний происходит медленно, поэтому даже после завершения реабилитации болевые ощущения могут сохраняться длительное время.
Возможные последствия
Артроз голеностопного сустава, часто приводящий к ограничению подвижности, является одним из серьезных последствий трехлодыжечного перелома. Повреждение нервных окончаний во время травмы может вызвать атрофию мышц и ухудшение кровообращения.
При своевременном и качественном медицинском вмешательстве, а также правильной реабилитации, такой перелом обычно заживает без серьезных последствий.
Несмотря на тяжесть травмы, в большинстве случаев удается восстановить подвижность конечности.
Вопрос-ответ
Как долго длится восстановление после трехлодыжечного перелома?
Сколько времени требуется на восстановление? Период реабилитации и восстановления зависит от степени повреждения сустава и связок. Влияющими факторами являются своевременное обращение к доктору и соблюдение рекомендаций. Пациентам на восстановление требуется (в среднем) 1,5-2 месяца.
Как лечить трехлодыжечные переломы?
Трехлодыжечные переломы лечатся хирургическим путем, включая физиотерапию. Большинство трехлодыжечных переломов лечат методом открытой репозиции с внутренней фиксацией (ORIF). Цель операции ORIF — выровнять сломанные кости для правильного срастания.
Сколько нужно ходить на костылях после перелома лодыжки?
В среднем, если перелом несложный и без смещения, костыли могут понадобиться 2–4 недели (иногда до 6 недель) после снятия гипса или операции. При этом на ранних этапах реабилитации опора на поврежденную ногу минимальна или вообще исключена.
Советы
СОВЕТ №1
Обязательно следуйте указаниям врача. После трехлодыжечного перелома важно соблюдать все рекомендации по лечению и реабилитации, чтобы избежать осложнений и ускорить процесс восстановления. Регулярно посещайте контрольные осмотры и не стесняйтесь задавать вопросы о своем состоянии.
СОВЕТ №2
Начните с легкой физической активности. После снятия гипса или шины постепенно вводите легкие упражнения для укрепления мышц и улучшения подвижности. Консультируйтесь с физиотерапевтом, чтобы разработать индивидуальную программу реабилитации, которая поможет восстановить функции ноги.
СОВЕТ №3
Обратите внимание на питание. Правильное питание играет важную роль в процессе восстановления. Убедитесь, что ваш рацион богат кальцием, витамином D и белками, которые способствуют заживлению костей и восстановлению тканей. Рассмотрите возможность добавления в рацион продуктов, богатых антиоксидантами, чтобы поддержать иммунную систему.
СОВЕТ №4
Не забывайте о психоэмоциональном состоянии. Перелом и длительная реабилитация могут вызывать стресс и депрессию. Поддерживайте общение с близкими, занимайтесь любимыми хобби и, при необходимости, обращайтесь за помощью к психологу, чтобы справиться с эмоциональными трудностями в процессе восстановления.




