Кто входит в группу риска
Гематогенный остеомиелит обычно развивается у людей с ослабленным иммунитетом. К группе риска относятся:
- дети до 6 лет;
- люди старше 60 лет;
- пациенты с врожденными или приобретенными иммунными недостатками;
- больные с сепсисом;
- пациенты с онкологическими заболеваниями;
- лица с хроническими инфекциями.
Исследования показывают, что симптомы гематогенного остеомиелита чаще всего наблюдаются у детей. Это связано с высокой восприимчивостью детского организма к инфекциям.
Основным возбудителем заболевания является золотистый стафилококк. В редких случаях гематогенный остеомиелит может быть вызван кишечной палочкой, стрептококком или пневмококком. Началу болезни предшествует попадание бактерий в кровь (бактериемия). Острый остеомиелит у новорожденных может возникнуть в результате инфицирования через пуповину.
Врачи отмечают, что гематогенный остеомиелит, возникающий в результате попадания инфекции в кость через кровеносные сосуды, может проявляться в различных формах. Наиболее распространены остеомиелит у детей, часто связанный с инфекциями, и у взрослых, возникающий на фоне хронических заболеваний. Специалисты подчеркивают, что ранняя диагностика и правильное лечение играют ключевую роль в успешном исходе. В зависимости от стадии заболевания, терапия может включать антибиотики, хирургическое вмешательство и физиотерапию. Врачи также акцентируют внимание на важности индивидуального подхода к каждому пациенту, учитывая его общее состояние и сопутствующие заболевания, что позволяет значительно повысить эффективность лечения и снизить риск рецидивов.
https://youtube.com/watch?v=JB9JBMoD2Nk
Виды и стадии развития заболевания
Существует три основных типа остеомиелита:
- острый гематогенный остеомиелит;
- посттравматический остеомиелит;
- первичный хронический остеомиелит.
Острый остеомиелит развивается типично. Заболевание возникает, когда патогенные микроорганизмы проникают в сосуды костной ткани, вызывая воспалительный процесс. Чаще всего оно наблюдается у подростков мужского пола, но может возникнуть и у новорожденных или пожилых людей.
Эта форма недуга чаще всего локализуется в бедренной, плечевой и большеберцовой костях, что создает зависимость между длиной кости и вероятностью развития заболевания. У детей острый гематогенный остеомиелит обычно начинается как серьезная инфекция, при этом общие симптомы на первых порах преобладают над местными.
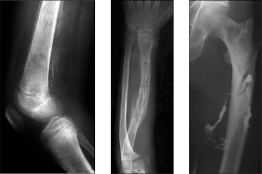
Рентгенологические исследования выделяют четыре варианта течения остеомиелита:
- Обрывной — симптомы ярко выражены, восстановление происходит активно. Прогноз благоприятный, полное выздоровление может наступить в течение 2–3 месяцев.
- Затяжной — симптомы проявляются слабо, восстановление идет медленно, но через полгода организм справляется с заболеванием.
- Молниеносный — самый быстрый и тяжелый вариант болезни, наблюдаемый при гематогенном остеомиелите, вызванном золотистым стафилококком. В кровь попадает большое количество бактерий, которые выделяют агрессивный эндотоксин, что приводит к резкому падению артериального давления до нуля и может вызвать гибель головного мозга.
- Хронический — характеризуется длительным течением (более 6–8 месяцев) с периодами ремиссий и обострений. В переходный период от острого к хроническому состоянию пациент может ощущать облегчение и ошибочно считать это началом выздоровления. Последствия хронического остеомиелита могут быть серьезными, негативно сказываясь на качестве жизни и приводя к разрушению сустава.
Посттравматический остеомиелит возникает из-за попадания патогенных микроорганизмов в кость открытым путем, например, при контакте с загрязненными предметами или средой. В зависимости от причин, вызвавших заболевание, выделяют следующие виды:
- послеоперационный;
- огнестрельный;
- в результате открытого перелома и другие.
Первичный хронический остеомиелит в последние годы стал довольно распространенным. Это связано с загрязнением окружающей среды, некачественными продуктами питания, низким уровнем иммунитета у населения, неправильным использованием медикаментов и другими факторами. Эта форма заболевания протекает медленно, что затрудняет его диагностику.
| Вид гематогенного остеомиелита | Особенности течения | Особенности лечения |
|---|---|---|
| Острый гематогенный остеомиелит | Быстрое начало, высокая температура, выраженная интоксикация, локальные признаки воспаления (боль, отек, гиперемия), лейкоцитоз, увеличение СОЭ. | Антибиотикотерапия (внутривенно, с учетом чувствительности возбудителя), хирургическое лечение (дренирование гнойных очагов, некрэктомия, секвестрэктомия), иммобилизация пораженной конечности, симптоматическая терапия (жаропонижающие, обезболивающие). |
| Хронический гематогенный остеомиелит | Длительное течение, периодические обострения, образование секвестров, свищи, деформация кости, ограничение функции конечности. | Длительная антибиотикотерапия (внутривенно и перорально), хирургическое лечение (секвестрэктомия, пластика костных дефектов, удаление свищей), физиотерапия, санация очага инфекции, иммуномодулирующая терапия. |
| Специфический гематогенный остеомиелит (туберкулезный, сифилитический) | Специфические клинические проявления, характерные рентгенологические изменения, положительные серологические реакции. | Противотуберкулезная или противосифилитическая терапия, хирургическое лечение (в случае необходимости), симптоматическая терапия. |
Симптомы гематогенного воспаления
Различные формы заболевания позволяют классифицировать его на две категории: локальную и генерализованную.
Локальный остеомиелит проявляется интенсивной распирающей болью в пораженной области. Определить место воспаления несложно, так как даже легкое постукивание по больному участку вызывает неприятные ощущения. Движения пациента ограничены, кожа над воспаленным участком горячая и может иметь красноватый оттенок, также часто наблюдается выраженный отек.
Начало генерализованного остеомиелита похоже на локальную форму, но вскоре появляются симптомы интоксикации. Температура тела пациента резко поднимается до 39–40°С, возникают озноб и обильное потоотделение.
Множественные метастатические очаги, распространяющиеся на другие органы, усугубляют ситуацию. Это может привести к гнойным поражениям почек или легких, гнойному перикардиту, эндокардиту и поражению головного мозга. Часто наблюдаются сыпь, сильные головные боли и судороги. По мере прогрессирования инфекции может наступить неподвижность, прекома и кома. Общее состояние пациента крайне тяжелое.
К сожалению, часто применяемая терапия оказывается неэффективной, и пациент может скончаться в течение нескольких часов.
Гематогенный остеомиелит — это инфекционное заболевание, которое возникает в результате попадания бактерий в кость через кровоток. Люди, сталкивающиеся с этой проблемой, отмечают, что симптомы могут проявляться внезапно: сильная боль в области пораженной кости, отек и покраснение. Важно понимать, что заболевание чаще всего встречается у детей и людей с ослабленным иммунитетом. Лечение включает антибиотикотерапию, которая может длиться несколько недель, а в тяжелых случаях может потребоваться хирургическое вмешательство для удаления некротических тканей. Многие пациенты подчеркивают важность ранней диагностики, так как это значительно увеличивает шансы на полное выздоровление. Также стоит отметить, что реабилитация после лечения может занять длительное время, и восстановление функций конечности требует терпения и усилий.
https://youtube.com/watch?v=p4sMEUVo1Fg
Современный подход к диагностике
Заболевание диагностируется врачом на основе жалоб пациента, визуального осмотра и лабораторных анализов, подтверждающих наличие инфекции. Если специалист обнаруживает нарушения в работе других органов или видит, что болезнь затрагивает новые области, он может направить пациента к другим врачам. Для оценки состояния костной ткани и выявления гнойных образований используются следующие методы:
- УЗИ;
- рентгенография;
- пункция кости;
- денситометрия;
- МРТ;
- фистулография.
Рекомендуется проводить рентгенологическое исследование несколько раз с определенными интервалами. Это важно, так как на ранних стадиях заболевания изменения могут быть не видны на рентгенограммах.
Терапевтические методы
Лечение гематогенного остеомиелита в домашних условиях невозможно. Обычно пациента направляют в травматологическое отделение. Основные цели терапии:
- уничтожение патогенных микроорганизмов;
- предотвращение распространения инфекции;
- удаление некротических тканей;
- восстановление утраченных функций.
Лечение основывается на трех ключевых принципах:
- Хирургическая обработка гнойных участков. Это включает вскрытие области с гнойным содержимым, санацию и последующую тампонаду. Важно ограничить движение пораженной кости.
- Антибактериальная терапия. Выбор препаратов осуществляется лечащим врачом с учетом индивидуальных особенностей пациента и клинической картины.
- Симптоматическая терапия.
Для улучшения состояния и ускорения выздоровления рекомендуется комплексный подход. Он включает общие терапевтические методы, физиотерапевтические процедуры, иммунокоррекцию и прием поливитаминных комплексов. При хроническом течении заболевания целесообразно санаторно-курортное лечение, например, использование лечебных грязей.
https://youtube.com/watch?v=y-EOG5RUZ04
Профилактика гематогенного остеомиелита
Говорить о полном выздоровлении можно только в том случае, если болезнь не возвращается. Симптомы недуга не должны проявляться в течение 2–3 лет. Однако гораздо проще предотвратить заболевание, чем лечить его. Профилактика заболеваний костей включает:
- ведение здорового образа жизни;
- сбалансированное питание;
- минимизацию стрессов;
- регулярную поддержку иммунной системы;
- своевременное устранение источников инфекции, таких как кариес или гайморит;
- оперативное обращение к врачам при травмах и огнестрельных ранениях;
- отказ от самолечения.
Гематогенный остеомиелит — серьезное заболевание, лечение которого требует адекватной медицинской терапии и активного участия пациента.
Соблюдение всех рекомендаций врача поможет сохранить здоровье и избежать серьезных нарушений в функционировании организма.
Вопрос-ответ
Какова классификация гематогенного остеомиелита?
Классификация острого гематогенного остеомиелита – Издательство – Российская Академия Естествознания Миелита, предложенная Т. П. Краснобаевым, которая предусматривает 3 основные формы заболевания: 1) токсическую, или адинамическую; 2) септическую; 3) местно-очаговую.
Какие бывают виды остеомиелита?
Выделяют следующие клинические формы: острый гематогенный, посттравматический, ятрогенный, огнестрельный, пострадиционный, хронический гематогенный остеомиелит.
Что такое гематогенный остеомиелит?
Гематогенный остеомиелит – это гнойное поражение костного мозга и прилежащей костной основы, которое затем вовлекает в патологический процесс надкостницу и окружающие мягкие ткани. Инфекционные агенты при этом заболевании попадают в костный мозг с током крови.
Какой основной метод хирургического лечения острого гематогенного остеомиелита?
Основным методом лечения ХГО является хирургический. Задачи хирургического лечения заболевания включают в себя удаление секвестров и нежизнеспособных участков костной ткани, дренирование костной полости. В ряде случаев возникает необходимость пломбировки или пластики костной полости.
Советы
СОВЕТ №1
Обратите внимание на ранние симптомы остеомиелита, такие как боль в костях, отек и покраснение в области поражения. Чем раньше вы обратитесь к врачу, тем выше шансы на успешное лечение и минимизацию осложнений.
СОВЕТ №2
При наличии хронических заболеваний, таких как диабет или заболевания иммунной системы, регулярно проходите медицинские осмотры и следите за состоянием здоровья. Это поможет предотвратить развитие гематогенного остеомиелита.
СОВЕТ №3
Не пренебрегайте назначениями врача и строго следуйте курсу лечения, включая прием антибиотиков и, при необходимости, хирургическое вмешательство. Неполное лечение может привести к рецидиву заболевания.
СОВЕТ №4
Поддерживайте здоровый образ жизни: правильно питайтесь, занимайтесь физической активностью и избегайте вредных привычек. Это поможет укрепить иммунную систему и снизить риск инфекций, способствующих остеомиелиту.




