Стадии заболевания
-
На первом этапе диагностики выявляется незначительное сужение суставной щели. Пациент может испытывать дискомфорт и боль при значительных нагрузках на локтевой сустав. Хрящ имеет шероховатую поверхность.
-
На втором этапе наблюдаются постоянные боли в локте, особенно усиливающиеся ночью. Движения рукой становятся крайне ограниченными. Суставная щель сужается вдвое по сравнению с нормой.
-
На третьем этапе связки значительно утолщаются, а объем жидкости в них минимален. Это приводит к серьезному ограничению подвижности всей руки. При попытке совершить движения через силу возникает невыносимая боль. Хрящ локтевого сустава сильно изношен или полностью отсутствует.
Врачи отмечают, что остеоартроз локтевого сустава 1 и 2 степени проявляется различными симптомами, которые могут существенно влиять на качество жизни пациента. На первой стадии заболевания пациенты часто жалуются на легкую боль и дискомфорт при движении, особенно после физической нагрузки. Врачам важно подчеркнуть, что на этом этапе изменения в суставе могут быть минимальными, и своевременная диагностика может предотвратить дальнейшее развитие болезни.
На второй стадии симптомы становятся более выраженными: боль усиливается, могут возникать хруст и ограничение подвижности. Врачи рекомендуют обратить внимание на эти признаки и не откладывать визит к специалисту. Ранняя диагностика и адекватное лечение, включая физиотерапию и медикаментозную терапию, могут значительно замедлить прогрессирование заболевания и улучшить функциональное состояние сустава. Важно помнить, что индивидуальный подход к каждому пациенту играет ключевую роль в успешном лечении остеоартроза.
https://youtube.com/watch?v=cYNdfgqSzC0
Причины патологии
Деформирующая патология может затрагивать людей всех возрастов, и причины этого явления разнообразны. Одной из наиболее распространенных является возрастное изменение организма. Со временем хрящи изнашиваются, теряя эластичность, и не могут выполнять свои функции так эффективно, как в молодости.
Среди других факторов, способствующих развитию патологии, выделяют:
-
Травмы суставов. Важно, чтобы они были правильно вылечены квалифицированным специалистом. Неправильная диагностика может привести к серьезным осложнениям. Часто разрывы или растяжения связок остаются без внимания или лечатся неправильно, что вызывает дегенеративные изменения в тканях и усугубляет остеоартроз. Даже незначительный ушиб локтя может стать причиной его остеоартроза. Поэтому самолечение недопустимо — необходимо обратиться в медицинское учреждение.
-
Нарушения обмена веществ. Неполноценное питание и недостаток необходимых минералов и витаминов могут изменить структуру хрящевых тканей, что ускоряет их износ.
-
Генетическая предрасположенность. У некоторых людей с рождения наблюдаются слабые суставы и связки.
-
Ожирение или избыточный вес. У таких людей наблюдается значительная нагрузка на суставы. Практика показывает, что полные люди чаще страдают от данной патологии, и прогрессирование болезни у них происходит быстрее.
-
Инфекционные процессы в организме могут стать «катализатором» для развития заболевания.
Остеоартроз локтевого сустава первой степени — это начальная стадия заболевания, которая может затрагивать людей любого возраста. Симптомы на этом этапе еще не выражены ярко, поэтому многие пациенты не придают им особого значения. Легкое недомогание или дискомфорт часто списываются на усталость. Из-за этого бывает сложно определить, когда именно началось развитие болезни.
| Симптом | Остеоартроз локтевого сустава 1 степени | Остеоартроз локтевого сустава 2 степени |
|---|---|---|
| Боль | Периодическая, лёгкая, возникает при физической нагрузке, проходит в покое. | Более выраженная, постоянная, может беспокоить и в покое. |
| Ограничение подвижности | Незначительное, заметно только при специальных тестах. | Умеренное, ограничение движений в полном объёме. |
| Утренняя скованность | Кратковременная (менее 30 минут). | Более длительная (более 30 минут). |
| Крепитация (хруст) | Может присутствовать, но слабо выражена. | Выражена, слышна и пальпируется. |
| Деформация сустава | Отсутствует. | Может быть незначительная деформация. |
| Рентгенологические изменения | Минимальные изменения суставного хряща. | Умеренные изменения суставного хряща, возможно сужение суставной щели. |
Симптоматика первой степени
На первой стадии заболевания боли могут быть незначительными или отсутствовать. Однако это не единственный симптом. Важно обратить внимание на легкий дискомфорт в пораженном суставе, который может возникать под воздействием следующих факторов:
- переохлаждение организма;
- сильные физические нагрузки, приводящие к болям в локте;
- общее чувство усталости;
- болезненность и дискомфорт после травм;
- неприятные ощущения в плечелучевом суставе при движении.
С течением времени симптомы усиливаются, но пока они не настолько выражены, чтобы пациент решил обратиться к врачу. Позже, когда специалист будет собирать анамнез и спрашивать о начальных проявлениях деформирующего остеоартроза, больной может вспомнить, что дискомфорт чаще всего ощущался по утрам, после сна, когда суставы долго оставались в покое.
Боль также может появляться после длительного пребывания в одной позе. Однако, как только пациент начинает разрабатывать суставы, неприятные ощущения исчезают. Эта симптоматика указывает на начальные дегенеративные изменения и прогрессирование болезни.
В редких случаях может наблюдаться слабость в мышцах, окружающих пораженный сустав. Такие проявления возникают эпизодически и не имеют выраженной интенсивности, поэтому пациент часто не придает им значения.
Именно поэтому большинство людей начинают лечение, когда заболевание переходит во вторую стадию.
Остеоартроз локтевого сустава 1 и 2 степени вызывает у людей различные мнения и переживания. Многие отмечают, что на ранних стадиях заболевания симптомы могут быть незначительными, что порой затрудняет диагностику. Пациенты жалуются на легкую боль и скованность, особенно после физической активности. С течением времени, когда болезнь прогрессирует до 2 степени, дискомфорт усиливается, и появляется хруст при движении. Люди часто делятся опытом о том, как изменения в образе жизни, такие как физическая терапия и упражнения, помогают облегчить симптомы. Некоторые отмечают, что применение противовоспалительных средств приносит временное облегчение, но не решает проблему. Важно, что многие пациенты осознают необходимость регулярного контроля состояния и обращения к врачу для предотвращения дальнейшего ухудшения.
https://youtube.com/watch?v=fBfh1ysM-vI
Вторая стадия
Со временем в тканях суставов нарушается кровообращение. Это приводит к ощущению скованности, а при резких движениях возникает характерный хруст.
Игнорировать эти симптомы нельзя, так как это может привести к разрушению хряща и снижению его эластичности.
Остеоартроз локтевого сустава второй степени проявляется выраженной болью и значительным ограничением подвижности. Хруст может ощущаться даже при незначительных движениях. В процессе заболевания хрящ начинает разрушаться, в его структуре возникают эрозивные изменения, а также наблюдается отечность. Этот участок может быть теплее окружающих тканей.
С течением времени остеоартроз приводит к деформации костей. У пациента возникает постоянная ноющая боль, что затрудняет выполнение даже простых физических действий. Мышцы предплечья и плеча значительно ослаблены. Из-за деформации костей формируются наросты, известные как остеофиты, что приводит к увеличению скованности и сильной болезненности.
Диагностика и лечение
Поставить точный диагноз, основываясь только на жалобах пациента, сложно, а определить стадию остеоартроза еще труднее. Поэтому в медицинских учреждениях часто назначают рентгенографию или магнитно-резонансную томографию.
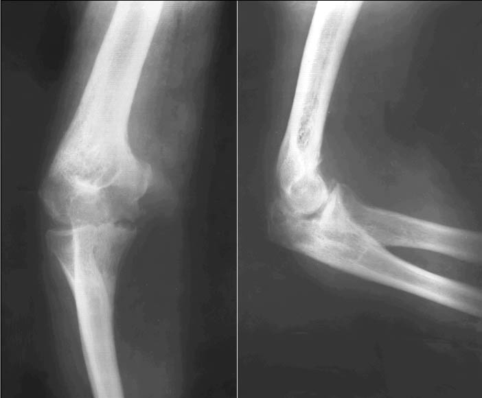
На рентгеновских снимках изменения в суставах становятся заметными даже на первой стадии заболевания. Врач обращает внимание на сужение суставной щели между элементами сустава.
Лечение остеоартроза локтевого сустава на первой стадии обычно проходит без особых трудностей. Чем раньше начнется комплексное лечение, тем выше вероятность полного избавления от заболевания.
Ключевым моментом в этом процессе является остановка дегенеративных изменений. Для этого необходимо снизить нагрузку на пораженный сустав, что поможет уменьшить болевые ощущения.
Рекомендуются следующие методы:
- Нормализация массы тела. Уменьшение лишнего веса снижает давление на суставы, облегчая их работу. Сбросив хотя бы 5 кг, можно значительно улучшить состояние суставов и уменьшить болевые ощущения.
- Физиотерапевтические процедуры. Они положительно влияют на суставы. Обычно назначают прогревания, лечебную гимнастику и массаж.
- Обезболивающие и нестероидные противовоспалительные препараты. Даже если на начальном этапе болей нет, эти лекарства помогают купировать воспалительный процесс.
При второй стадии заболевания лечение становится более комплексным. Врач может рекомендовать и другие методы, такие как:
- Лазеротерапия. Это биостимулирующее воздействие на пораженные ткани, улучшающее кровообращение в локтевом суставе и усиливающее лимфоотток, что способствует регенерации тканей.
- Магнитотерапия. Обычно назначают сеансы продолжительностью 15 минут в течение 10—15 дней. Магнитное воздействие направлено на область локтевого сустава, помогает уменьшить боль и продлить период ремиссии.
- УФ-облучение. Эта процедура активизирует антиоксидантную систему крови и оказывает бактерицидное и противовирусное действие. Она направлена на уменьшение отечности и стимуляцию восстановления тканей.
https://youtube.com/watch?v=80M_aTuzIl4
Народные методы
Лечение народными средствами должно сочетаться с методами, назначенными врачом. Рецепты направлены на облегчение боли, снижение воспаления и улучшение работы суставного хряща:
- Компресс из соды, соли, горчицы и меда — накладывается на локтевой сустав, затем покрывается пленкой и оставляется на ночь.
- Смесь белой глины и растительного масла — для борьбы с воспалением рекомендуется втирать ее в пораженную область несколько раз в день.
- Пихтовое масло — подогрейте его, смочите в нем кусок холщовой ткани, посыпьте солью и прикладывайте к больному месту на 2 часа.
Соблюдение режима питания
Для нормального функционирования суставов организму необходимы мукополисахариды. Эти вещества играют ключевую роль в образовании смазки, важной для здоровья хрящей. Правильное и сбалансированное питание поможет обеспечить их поступление.
Вот основные рекомендации:
- Питайтесь не три, а шесть раз в день, дробно.
- Уменьшите потребление углеводов и животных жиров.
- Увеличьте количество фруктов и овощей в рационе для обогащения клетчаткой.
- Исключите алкоголь, соль и приправы.
Не игнорируйте болевые ощущения. В противном случае проблемы с суставами в пожилом возрасте могут значительно снизить качество жизни. Своевременные меры помогут замедлить негативные процессы в суставных тканях.
Вопрос-ответ
Можно ли вылечить артроз 1-2 степени?
На 1-2 стадии артроз лечится вполне успешно.
Что такое артроз локтевого сустава первой степени?
Артроз локтевого сустава первой степени — это начальная стадия дегенеративно-дистрофического заболевания, характеризующаяся незначительными изменениями в хрящевой ткани и легким сужением суставной щели. На этом этапе могут наблюдаться незначительные боли и дискомфорт при движении, но выраженных симптомов и ограничений в подвижности обычно нет. Диагностика часто основывается на рентгенографических данных, и лечение может включать физическую терапию, медикаменты и изменение образа жизни.
Советы
СОВЕТ №1
Регулярно выполняйте упражнения для укрепления мышц вокруг локтевого сустава. Это поможет улучшить стабильность сустава и снизить нагрузку на него. Консультируйтесь с физиотерапевтом для разработки индивидуальной программы упражнений.
СОВЕТ №2
Следите за своим весом. Избыточный вес увеличивает нагрузку на суставы, что может усугубить симптомы остеоартроза. Постарайтесь придерживаться сбалансированной диеты и заниматься физической активностью для поддержания здорового веса.
СОВЕТ №3
Используйте холодные и горячие компрессы для облегчения боли и воспаления. Холодные компрессы могут помочь уменьшить отек, а горячие — расслабить мышцы и улучшить кровообращение в области сустава.
СОВЕТ №4
Обратитесь к врачу для регулярного мониторинга состояния вашего локтевого сустава. Раннее выявление изменений и корректировка лечения могут значительно замедлить прогрессирование остеоартроза и улучшить качество жизни.






