Причины заболевания сочленения
Сустав выполняет несколько ключевых функций:
- вращательные и колебательные движения;
- сгибание и разгибание.
Боковые щели (трещины сустава Крювелье) размером от 1,8 до 2,2 см позволяют осуществлять все перечисленные движения. Сустав испытывает значительные нагрузки из-за своего анатомического положения, которое обеспечивает поддержку головы.
Опасность патологических изменений заключается в том, что они могут долго оставаться незаметными, что негативно сказывается на своевременной диагностике и лечении.
Врачи отмечают, что артроз сустава Крювелье, как и другие формы артроза, проявляется рядом характерных признаков. Среди них – боль в области сустава, ограничение подвижности и хруст при движении. На начальных стадиях заболевания пациенты могут испытывать дискомфорт только после физической нагрузки, однако со временем симптомы становятся более выраженными и постоянными.
Для диагностики артроза врачи рекомендуют проводить рентгенографию, которая позволяет выявить изменения в суставе. Лечение включает как консервативные методы, так и хирургическое вмешательство в запущенных случаях. Врачи подчеркивают важность раннего обращения за медицинской помощью, так как своевременная терапия может значительно замедлить прогрессирование заболевания и улучшить качество жизни пациента. Физиотерапия, медикаментозное лечение и специальные упражнения играют ключевую роль в восстановлении функции сустава и уменьшении болевого синдрома.
https://youtube.com/watch?v=34msL4d2Cec
Признаки патологии
Медицинская практика выделяет четыре стадии развития заболевания:
- На первой стадии наблюдаются незначительные дегенеративные изменения, а симптомы проявляются слабо. Рентгеновские снимки могут не показать отклонений в мягких тканях, связках и суставной оболочке.
- На второй стадии возникают периодические ноющие боли и ощущение усталости в области шеи. Движения могут сопровождаться скованностью. Ультразвуковое исследование демонстрирует заметные изменения в суставах.
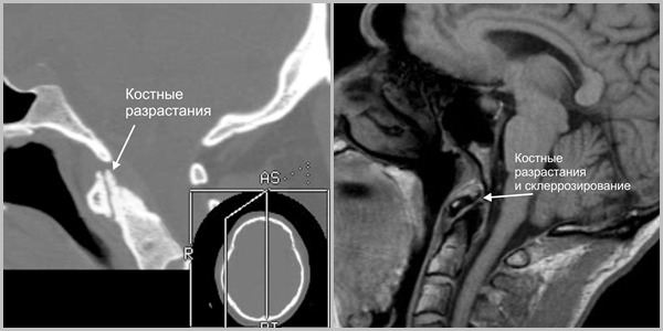
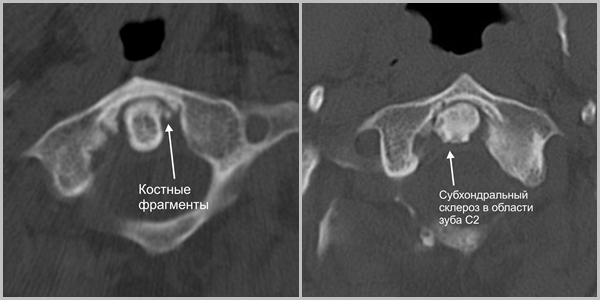
- Третья стадия характеризуется образованием наростов на суставе из-за локального воспалительного процесса. Функции сухожилий и связок нарушаются, боль усиливается и плохо поддается обезболивающим. Рентгенография выявляет изменения в суставе и окружающих тканях.
- На четвертой стадии наблюдается значительное увеличение наростов, что негативно сказывается на функционировании сустава. Врач при осмотре может заметить ассиметричность шейных контуров. Вращение головы становится затруднительным. Процессы на этой стадии могут привести к необратимым последствиям.
Ключевые признаки заболевания:
- боли в шейной области;
- скованность при движении головой;
- проблемы со сном;
- характерный хруст при движении шеи.
В редких случаях могут наблюдаться следующие симптомы:
- головокружение;
- шум в ушах;
- нарушения зрения;
- головные боли;
- повышение артериального давления;
- ассиметрия шейных контуров;
- проблемы с координацией.
| Признак развития артроза сустава Крювелье | Стадия заболевания | Методы лечения |
|---|---|---|
| Легкая боль и скованность в суставе, особенно после отдыха или физической нагрузки | I стадия | Физиотерапия (УВЧ, магнитотерапия), лечебная физкультура, массаж, нестероидные противовоспалительные препараты (НПВП) местно |
| Усиление боли, ограничение подвижности сустава, хруст при движении | II стадия | НПВП системно, хондропротекторы, внутрисуставные инъекции гиалуроновой кислоты, физиотерапия, лечебная физкультура |
| Сильная боль, выраженная деформация сустава, значительное ограничение подвижности, ограничение повседневной активности | III стадия | НПВП, хондропротекторы, внутрисуставные инъекции кортикостероидов (с осторожностью), физиотерапия, ортезирование, хирургическое вмешательство (в крайних случаях) |
| Появление контрактур (стойкое ограничение подвижности сустава) | III-IV стадии | Хирургическое вмешательство (артропластика, артродез), реабилитация |
Методы диагностики
Диагностические процедуры включают:
- сбор медицинской истории;
- осмотр шейных позвонков;
- рентгенографию шейного отдела в различных проекциях;
- ультразвуковое исследование;
- магнитно-резонансную томографию;
- ангиографическое исследование;
- компьютерную томографию;
- диагностическую блокаду;
- анализы крови, мочи и кала.
Артроз сустава Крювелье — это заболевание, которое вызывает множество обсуждений среди пациентов и специалистов. Многие люди отмечают, что первые признаки артроза могут проявляться в виде болей и скованности в суставе, особенно после физической нагрузки. Важно не игнорировать эти симптомы, так как ранняя диагностика может значительно улучшить качество жизни.
Лечение артроза часто включает комплексный подход: физиотерапия, медикаменты и, в некоторых случаях, хирургическое вмешательство. Пациенты делятся положительным опытом от использования хондропротекторов и противовоспалительных средств, которые помогают снизить болевые ощущения и замедлить прогрессирование заболевания.
Также многие отмечают важность регулярной физической активности и соблюдения диеты, богатой омега-3 жирными кислотами, что способствует улучшению состояния суставов. В целом, активное участие в процессе лечения и внимательное отношение к своему здоровью помогают людям справляться с артрозом и поддерживать активный образ жизни.
https://youtube.com/watch?v=vKWTo_iJs0g
Лечебные мероприятия
В зависимости от стадии заболевания терапевтические меры можно разделить на несколько категорий:
-
Для пациентов с избыточным весом разрабатывается специальная диета, направленная на нормализацию массы тела. Индекс массы тела (ИМТ) должен оставаться в пределах нормы. Рекомендуется сократить объем пищи и исключить продукты и напитки, негативно влияющие на здоровье.
-
Применяется лечебная физкультура (ЛФК), включающая упражнения с колебательными и вращательными движениями головой. Это улучшает кровообращение в области шеи и нормализует состояние хрящевой ткани. В начале занятий важно выполнять упражнения под контролем специалиста. Движения должны быть плавными и безболезненными, допускается похрустывание суставов.
-
Врач может назначить физиотерапевтические процедуры, такие как ультразвук и электрофорез. Эти методы помогают облегчить боль, улучшить кровообращение и восстановить подвижность сустава. Курс лечения обычно длится от 7 до 10 дней.
-
Консервативное лечение, рекомендованное специалистом, включает коррекцию питания, массаж и отдых в специализированных санаториях. Эта терапия наиболее эффективна на ранних стадиях заболевания.
-
Симптоматическая терапия направлена на устранение спазмов, снятие воспалительных процессов и болевого синдрома с помощью медикаментов.
Медикаментозное лечение включает следующие методы:
- прием таблеток;
- курс инъекций;
- использование гелей и мазей.
Симптоматическое лечение включает применение различных групп лекарственных средств:
-
Нестероидные противовоспалительные препараты, помогающие снять острые симптомы заболевания. Одним из часто назначаемых средств является Ибупрофен.
-
Хондропротекторы, способствующие восстановлению и питанию поврежденной хрящевой ткани.
-
Глюкокортикостероидные гормоны.
-
Препараты, улучшающие кровообращение.
-
Анальгетики, облегчающие боль различной степени тяжести.
-
Миорелаксанты.
-
Витаминно-минеральные комплексы.
-
Препарат Стекловидное тело (из глаза скота), используемый для содействия рассасыванию рубцовой ткани.
В некоторых случаях для устранения патологии может потребоваться хирургическое вмешательство. Операции проводятся редко и только тогда, когда другие методы лечения не дали ожидаемого результата.
Заключение
Корректно выбранная терапия — это длительный и сложный процесс, требующий внимательного контроля врача и самодисциплины пациента. Несмотря на достижения медицины, полностью восстановить истощённые хрящевые ткани невозможно.
https://youtube.com/watch?v=QMsJR084qQ4
Вопрос-ответ
- В головах и верхнешейном отделе позвоночника выявляется картина артроза Крювелье: краевые разрастания суставных поверхностей сустава.
Какое лечение эффективно от артроза?
Чаще всего используются следующие препараты: диклофенак, нимесулид, индометацин, парацетамол. Их можно применять в виде таблеток, ректальных свечей и порошка. Но помните, что самолечение недопустимо. Подбор и дозу лечебного препарата от артроза осуществляет врач-ревматолог.
Что значит начальные признаки артроза?
Признаки артроза. Утром после начала активных движений в суставах появляется сковывание и «стартовые боли». Болит вся конечность, ноют мышцы. Особенно часто развивается артроз коленного и тазобедренного суставов. Коленный сустав деформируется, и кость разрастается по краям.
Как можно остановить развитие артроза?
Остановить развитие артроза можно с помощью комплексного подхода, включающего регулярные физические упражнения для укрепления мышц и улучшения подвижности суставов, контроль веса для снижения нагрузки на суставы, применение противовоспалительных и обезболивающих препаратов, а также физиотерапию и массаж. Важно также соблюдать правильное питание, богатое омега-3 жирными кислотами и антиоксидантами, и избегать травм суставов. Консультация с врачом поможет разработать индивидуальный план лечения.
Советы
СОВЕТ №1
Регулярно следите за состоянием суставов. Обратите внимание на любые изменения в подвижности, болевые ощущения или отеки. Раннее выявление симптомов артроза может значительно облегчить лечение и замедлить прогрессирование заболевания.
СОВЕТ №2
Поддерживайте здоровый образ жизни. Правильное питание, регулярные физические нагрузки и поддержание нормального веса помогут снизить нагрузку на суставы и улучшить их состояние. Включите в рацион продукты, богатые омега-3 жирными кислотами и антиоксидантами.
СОВЕТ №3
Обратитесь к врачу при первых признаках артроза. Специалист сможет назначить необходимые обследования и предложить индивидуальный план лечения, включая медикаментозную терапию, физиотерапию и, при необходимости, хирургическое вмешательство.
СОВЕТ №4
Используйте специальные ортопедические средства. Подбор правильной обуви, использование стелек и бандажей может помочь снизить нагрузку на суставы и улучшить их функциональность. Не стесняйтесь проконсультироваться с ортопедом для выбора подходящих средств.



