Cимптоматика, указывающая на стадию заболевания
При коксартрозе второй степени наблюдаются выраженные дегенеративно-дистрофические изменения суставной капсулы и хрящевой ткани, покрывающей головку бедра и вертлужную впадину. На этом этапе заболевания деформация тазовых суставов еще не заметна. У пациентов возникает значительная скованность в движениях ноги после ночного сна.
На второй стадии деформирующего остеоартроза отмечается выраженный болевой синдром. Дискомфорт может возникать как после физической активности, так и в состоянии покоя. В этот период также может наблюдаться небольшое укорочение пораженной ноги и наклон таза, что часто приводит к изменению походки и появлению хромоты. При движении в суставе слышны характерные щелчки и хруст. Могут проявляться и другие симптомы артроза.
Часто наблюдаются отечность и припухлость мягких тканей в области пораженного сустава. Увеличивается ослабление мышц бедра. Некоторые пациенты сообщают о слабости в колене. Снижается амплитуда движений в суставе, что затрудняет передвижение из-за усиливающейся боли. У многих пациентов также возникают мышечные спазмы.
Врачи отмечают, что артроз тазобедренного сустава 2 степени проявляется характерными симптомами, такими как боль в области бедра, ограничение подвижности и хруст при движении. Эти признаки могут значительно ухудшить качество жизни пациента, поэтому важно своевременно обратиться за медицинской помощью. Лечение на этой стадии включает как консервативные методы, так и, в некоторых случаях, хирургическое вмешательство. Врачи рекомендуют начинать с физиотерапии, лечебной физкультуры и применения противовоспалительных препаратов. Также полезно использовать ортопедические средства, такие как трости или специальные стельки, чтобы снизить нагрузку на сустав. Важно, чтобы пациенты следовали рекомендациям специалистов и не игнорировали симптомы, так как это может привести к прогрессированию заболевания и необходимости более радикальных мер.
https://youtube.com/watch?v=t-a-Ch__tME
Причины
Развитие первичного коксартроза у пожилых людей
Развитие первичного коксартроза у пожилых людей связано с естественным износом суставных структур и замедлением обменных процессов. С возрастом ухудшается кровоснабжение хрящевой ткани, что приводит к недостатку кислорода, воды и необходимых питательных веществ.
Уменьшение толщины хряща запускает процессы регенерации и способствует образованию остеофитов, что ограничивает подвижность сустава. Первичный артроз тазобедренных суставов является наиболее распространенной формой этого заболевания. Вторичный артроз может развиваться как у молодых, так и у пожилых людей.
Наиболее часто предрасположенность к данной патологии формируется при постоянных чрезмерных нагрузках на суставы. Артроз в молодом возрасте часто встречается у людей, занимающихся физическим трудом, а также у профессиональных спортсменов.
Второй по распространенности причиной возникновения заболевания являются травмы. Даже незначительные повреждения сустава, полученные в результате падений, могут стать основой для развития проблемы. На возникновение вторичного артроза тазобедренных суставов могут влиять следующие неблагоприятные факторы:
- гормональные нарушения;
- раннее наступление климакса;
- интоксикация организма;
- недостаток физической активности;
- обменные расстройства;
- эндокринные заболевания;
- врожденная дисплазия тазобедренных суставов;
- избыточный вес и другие.
Чаще всего артроз развивается у людей с генетической предрасположенностью к этому заболеванию. Хотя конкретные гены, передающиеся по наследству, пока не выявлены, при анализе семейного анамнеза у многих пациентов с артрозом обнаруживается высокая частота случаев заболевания среди близких родственников.
| Симптом | Степень выраженности при артрозе 2 степени | Методы лечения |
|---|---|---|
| Боль в тазобедренном суставе | Умеренная, может быть постоянной или возникать при нагрузке, ограничивает активность. Иррадиирует в пах, ягодицу, бедро. | Нестероидные противовоспалительные препараты (НПВП), анальгетики, физиотерапия (УВЧ, магнитотерапия, электрофорез), лечебная физкультура (ЛФК), массаж. В некоторых случаях – внутрисуставные инъекции гиалуроновой кислоты. |
| Ограничение подвижности | Заметное ограничение амплитуды движений в тазобедренном суставе, особенно при сгибании, разгибании и вращении. | ЛФК, мануальная терапия, плавание. |
| Скованность в суставе | Утренняя скованность, продолжающаяся более 30 минут. | ЛФК, тепловые процедуры. |
| Хруст и щелчки в суставе | Могут присутствовать, но не всегда являются обязательным симптомом. | В данном случае лечение симптоматическое, направлено на уменьшение боли и улучшение функции сустава. |
| Мышечная атрофия | Легкая атрофия мышц бедра. | ЛФК, упражнения на укрепление мышц. |
| Деформация сустава | Может быть незначительной или отсутствовать на этой стадии. | В основном консервативное лечение, хирургическое вмешательство – редко. |
Диагностика
При первых признаках заболевания важно незамедлительно обратиться к врачу. Лечением артроза занимаются ортопеды, вертебрологи и травматологи. В начале приема врач проводит визуальный осмотр пораженной конечности и выполняет тесты для оценки подвижности суставов. Лабораторные анализы не всегда информативны, но могут помочь выявить воспалительный процесс в организме.
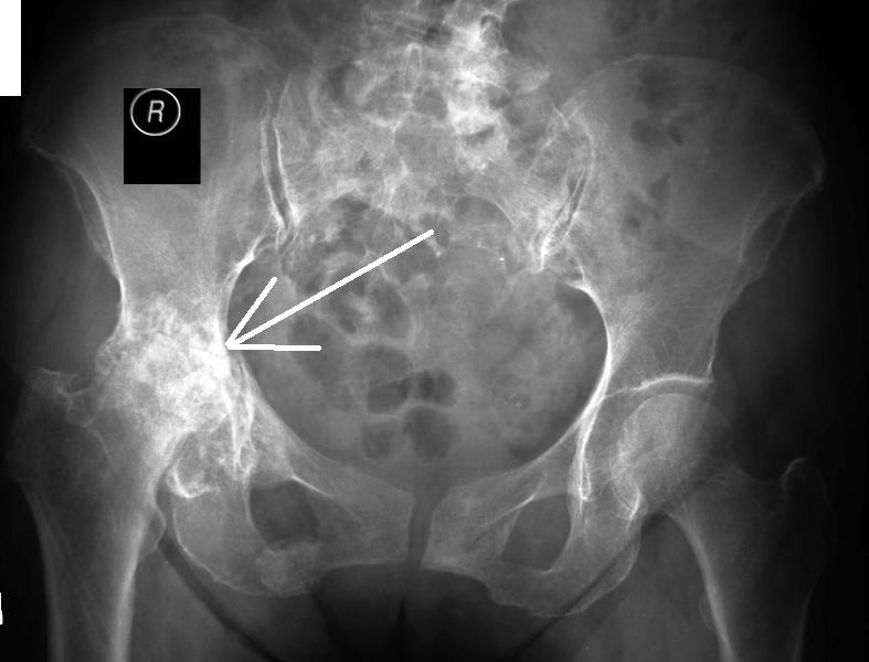
Для более точной оценки состояния суставов назначается рентгенография. Это исследование позволяет обнаружить увеличение головки бедренной кости, признаки деформации, сужение суставных щелей и наличие костных наростов. В некоторых случаях для детального изучения изменений и определения стадии заболевания могут быть рекомендованы компьютерная томография (КТ) или магнитно-резонансная томография (МРТ). Также может быть назначено ультразвуковое исследование и другие диагностические процедуры.
Артроз тазобедренного сустава 2 степени — это распространенное заболевание, которое вызывает множество дискуссий среди пациентов и врачей. Люди часто отмечают, что на этой стадии боли становятся более выраженными, особенно при физической активности. Многие жалуются на утреннюю скованность и дискомфорт при длительном сидении. Важно, что пациенты начинают осознавать необходимость комплексного подхода к лечению. Врачи рекомендуют сочетание медикаментозной терапии с физиотерапией и лечебной физкультурой. Некоторые пациенты делятся положительным опытом использования хондропротекторов и противовоспалительных средств. Также популярны методы альтернативной медицины, такие как массаж и иглоукалывание. Однако важно помнить, что индивидуальный подход к каждому случаю и консультация специалиста играют ключевую роль в успешном лечении.
https://youtube.com/watch?v=2EmOQBTMpjo
Нюансы лечения
Вторая стадия артроза тазобедренного сустава требует применения консервативных методов лечения. В первую очередь необходимо подобрать медикаменты для снятия симптомов и улучшения кровоснабжения тканей.
В лечебный процесс также включаются физиотерапевтические процедуры, лечебная физкультура и массаж. В ограниченных количествах могут использоваться некоторые народные средства. Пациентам с артрозом рекомендуется пересмотреть образ жизни и придерживаться специальной щадящей диеты.
При комплексном подходе к лечению возможно восстановление подвижности сустава и предотвращение дальнейшего дегенеративно-дистрофического процесса. Полное излечение артроза с помощью консервативных методов невозможно, поэтому после стабилизации состояния сустава пациенту следует на протяжении всей жизни продолжать поддерживающую терапию и проходить лечение в санаторно-курортных условиях.
Физиотерапия
Методы лечения коксартроза подбираются врачами индивидуально, с учетом особенностей повреждений сустава. Одним из популярных способов терапии является лазерное воздействие. В этой процедуре используется специализированный аппарат, который генерирует низкоинтенсивные инфракрасные лазерные лучи, проникающие на глубину 6–8 см через мягкие ткани к пораженному суставу.
Эта методика позволяет прогреть суставные структуры, снять воспаление, улучшить питание тканей, уменьшить отечность и активировать процессы регенерации. Продолжительность одного сеанса лазерной терапии составляет 25–35 минут. Для достижения эффекта требуется пройти курс из 10–15 процедур, проводимых ежедневно.
Среди противопоказаний к лазерной терапии выделяются системные заболевания крови и повышенная склонность к кровотечениям. С осторожностью следует применять этот метод при анемии и тиреотоксикозе.
Еще одним распространенным методом лечения коксартроза является электрофорез. Эта процедура включает воздействие на пораженную область с помощью специальных гальванических токов. Электрофорез помогает уменьшить отечность и снять воспаление. Он также способствует расширению сосудов, улучшению обмена веществ и снятию спазмов.
Курс электрофореза ускоряет синтез коллагена и активирует восстановление поврежденных структур сустава. Длительность одной процедуры составляет всего 15 минут, а для улучшения состояния сустава достаточно пройти 30 сеансов ежедневно. Противопоказаниями к электрофорезу являются активная форма туберкулеза, психические расстройства, нарушения функции печени и почек, гепатит и гнойные поражения кожи.
Магнитотерапия также часто используется в лечении данного заболевания. Эта процедура позволяет за счет воздействия магнитных полей высокой частоты эффективно прогреть мягкие ткани и структуры тазобедренного сустава. Магнитотерапия обладает выраженным обезболивающим эффектом, так как помогает устранить воспаление и улучшить местное кровообращение.
Кроме того, магнитотерапия способствует снятию мышечных спазмов и улучшению подвижности пораженного сустава. Продолжительность процедуры составляет около 20 минут, а для достижения заметного результата достаточно пройти 20 сеансов. Не рекомендуется применять магнитотерапию пациентам с заболеваниями крови, нарушениями мозгового кровообращения и сниженной функцией щитовидной железы.
Также при артрозе часто используется ударно-волновая терапия. Этот метод предполагает воздействие на поврежденный сустав и окружающие ткани с помощью акустических инфракрасных волн. Ударно-волновая терапия улучшает кровообращение и устраняет застойные процессы в тканях, а также помогает снять болевой синдром и воспаление. Процедуры проводятся с интервалами в 5, 7 или 10 дней.
В дополнение к этим методам при лечении коксартроза могут назначаться мануальная терапия, лечебные ванны, а также аппликации воска и глины.
https://youtube.com/watch?v=NyUBWMbllhY
Медикаменты
Для снятия болевого синдрома и воспалительных процессов при коксартрозе часто назначают нестероидные противовоспалительные средства (НВПС). Эти препараты могут быть в форме таблеток. К ним относятся:
- Нимесулид.
- Ибупрофен.
- Эторикоксиб.
- Индометацин.
- Диклофенак.
Для местного применения доступны мази и гели с противовоспалительными и обезболивающими свойствами. К ним относятся Фастум-гель, Вольтарен, Бутадион и другие. Применение лечебных гелей или кремов, благодаря массажному эффекту при втирании в пораженную область, улучшает питание тканей.
В лечении часто используются хондропротекторы, которые принимаются длительное время. Эти препараты помогают улучшить состояние хрящевых структур. При выраженном болевом синдроме могут назначаться кортикостероиды, вводимые в сустав инъекциями. Также может быть рекомендовано введение гиалуроновой кислоты в сустав, что активирует регенерационные процессы. В терапии данного заболевания часто применяются спазмолитики и миорелаксанты.
Эффективным методом является плазмолифтинг. Эта процедура включает введение в поврежденный сустав собственной плазмы крови пациента. Курс лечения состоит из 4-6 инъекций с интервалом в 7 дней.
Массаж
Массажные процедуры при артрозе следует начинать только после устранения воспаления и уменьшения отека. Эти процедуры должен выполнять квалифицированный специалист, так как самостоятельный массаж может ухудшить состояние. Обычно для достижения положительного эффекта достаточно пройти курс из 10–15 сеансов.
ЛФК
Занятия лечебной физкультурой при артрозе тазобедренных суставов разрешены только после устранения воспалительного процесса и исчезновения острых симптомов. Комплекс упражнений должен разрабатывать специалист по ЛФК или физиотерапевт. При выполнении гимнастики важно избегать чрезмерных нагрузок на суставы. Все движения должны быть плавными и аккуратными, так как резкие движения могут привести к микротравмам и обострению заболевания.
Существует ряд простых и эффективных упражнений, которые можно выполнять дома. Для улучшения подвижности суставов полезно делать приседания. Выполняйте их медленно, держась за спинку стула для сохранения равновесия. Достаточно сделать 10–15 приседаний. Также полезно отводить каждую ногу назад поочередно, опираясь на стул для лучшего контроля равновесия.
Многочисленные упражнения можно выполнять в положении лежа, что помогает развивать суставы без риска перегрузки и травм. Для начала лягте на ровную поверхность, положив руки ладонями вниз под ягодицы. Затем начните сгибать ногу в колене, а затем разгибать ее. Это движение следует повторить не менее 15–20 раз для каждой ноги.
Чтобы развить подвижность сустава, лежа на спине, выполняйте движения ногами, имитируя кручение велосипедных педалей. Всего 3–5 минут выполнения этого упражнения достаточно для достижения положительного эффекта.
Народная медицина
Народные средства могут быть лишь дополнением к традиционным методам лечения. Хорошие результаты показывают компоненты, такие как аптечная желчь, мед и жгучий перец. Для приготовления смеси возьмите по 30 г желчи и меда и тщательно перемешайте. Затем добавьте 1 чайную ложку молотого жгучего перца. Полученную массу снова хорошо размешайте и оставьте настаиваться на 10 часов. Готовое средство нанесите на область сустава, накройте полиэтиленовой пленкой и утеплите. Компресс рекомендуется держать в течение 3 часов.
При артрозе на ночь можно использовать компрессы из капустных листьев. Для снятия болей и устранения ломоты прикрепите несколько капустных листьев к пораженному суставу. Затем закройте область полиэтиленовой пленкой и утеплите. Такие процедуры можно проводить ежедневно.
Санаторно-курортное лечение
Людям с артрозом рекомендуется дважды в год проходить курс лечения в санатории. Улучшение состояния суставов достигается благодаря физиотерапевтическим процедурам, индивидуально подобранному комплексу лечебной физкультуры, минеральным водам и другим методам.
Диета
Сбалансированное питание ускоряет обмен веществ, улучшает состояние суставов и помогает избавиться от лишнего веса. При артрозе важно, чтобы в рационе были продукты, богатые белками, витаминами и минералами. Рекомендуется включить в меню:
- крупы;
- мясо кролика;
- куриное мясо;
- индейку;
- молочные изделия;
- нежирную рыбу;
- овощи;
- фрукты.
Рекомендуется питаться 5–6 раз в день небольшими порциями. Это активизирует обмен веществ и способствует снижению веса. Оптимальные способы приготовления пищи — варка, тушение и готовка на пару.
Возможные осложнения
Если не лечить коксартроз, это может привести к серьезным осложнениям. Наиболее распространенные из них:
- сложные переломы;
- значительное истончение хрящевой ткани;
- ограничение подвижности сустава из-за анкилоза;
- некроз головки бедренной кости и другие.
При возникновении таких осложнений восстановить нормальную подвижность пациента можно только хирургическим вмешательством.
Профилактические меры
Чтобы предотвратить артроз, важно вести активный образ жизни и регулярно заниматься физическими упражнениями. Это поможет поддерживать тонус мышц и связок в области бедра. Также следует придерживаться сбалансированной диеты и контролировать вес. Ключевыми аспектами профилактики артроза являются избегание травм, переохлаждений и чрезмерных нагрузок на суставы.
Заключение
На стадии второго уровня артроза процессы в суставе все еще можно скорректировать при комплексном лечении. Не стоит заниматься самолечением, так как это может ухудшить состояние сустава и привести к серьезным осложнениям.
Вопрос-ответ
Какие симптомы характерны для артроза тазобедренного сустава 2 степени?
Симптомы артроза тазобедренного сустава 2 степени могут включать умеренную боль в области сустава, которая усиливается при физической активности и уменьшается в покое. Также могут наблюдаться ограничения в движении, хруст при движении и утренняя скованность, которая проходит после разминки.
Каковы основные методы лечения артроза тазобедренного сустава 2 степени?
Лечение артроза тазобедренного сустава 2 степени может включать консервативные методы, такие как физиотерапия, применение нестероидных противовоспалительных препаратов, а также использование хондропротекторов. В некоторых случаях может быть рекомендовано изменение образа жизни, включая снижение нагрузки на сустав и выполнение специальных упражнений для укрепления мышц вокруг сустава.
Когда следует рассмотреть возможность хирургического вмешательства при артрозе тазобедренного сустава?
Хирургическое вмешательство может рассматриваться, если консервативные методы лечения не приносят облегчения, и симптомы значительно ухудшают качество жизни пациента. Обычно это происходит на более поздних стадиях заболевания, когда наблюдается выраженное ограничение подвижности и сильная боль, не поддающаяся медикаментозному лечению.
Советы
СОВЕТ №1
Регулярно выполняйте физические упражнения, которые помогут укрепить мышцы вокруг тазобедренного сустава. Это может включать в себя легкую растяжку, плавание или специальные упражнения, рекомендованные физиотерапевтом. Укрепление мышц поможет снизить нагрузку на сустав и улучшить его подвижность.
СОВЕТ №2
Следите за своим весом. Избыточный вес создает дополнительную нагрузку на тазобедренные суставы, что может усугубить симптомы артроза. Сбалансированное питание и регулярные физические нагрузки помогут поддерживать здоровый вес и снизить риск прогрессирования заболевания.
СОВЕТ №3
Используйте ортопедические средства, такие как специальные стельки или трости, чтобы уменьшить нагрузку на суставы и улучшить их функциональность. Консультация с ортопедом поможет выбрать подходящие средства для вашей ситуации.
СОВЕТ №4
Обратите внимание на медикаментозное лечение. Обсудите с врачом возможность применения противовоспалительных и обезболивающих препаратов, которые могут помочь облегчить симптомы артроза. Не забывайте о важности регулярного контроля состояния суставов и корректировки лечения при необходимости.







