Симптомы
Артроз проявляется рядом клинических признаков:
-
Болевые ощущения. На начальных этапах заболевания они обычно незначительные и непостоянные. Боль возникает при физической активности и движениях в области плеча. На более поздних стадиях она становится постоянной, может беспокоить ночью и в состоянии покоя, отдавая в локоть и кисть. Обезболивающие средства, такие как НПВС, могут облегчить состояние. Чаще всего боль ноющая, но с прогрессированием разрушительных процессов она может стать резкой.
-
Хруст в пораженной конечности. Этот симптом часто предшествует болевым ощущениям и является одним из первых признаков заболевания.
-
Небольшая отечность мягких тканей. Она может возникать при переохлаждении или значительной нагрузке на сустав.
-
Боль в области спины и шеи.
-
Утренние скованности в плечевом суставе. Они обычно длятся не более получаса, в отличие от артрита.
-
Ограничение объема движений в пораженной конечности.
Для остеоартроза не характерны покраснение кожи вокруг сустава и выраженный отек. При значительном разрушении хрящевой ткани может развиться контрактура, что приводит к стойкому ограничению подвижности.
При недостаточном или неправильном лечении может возникнуть анкилоз, что приводит к длительной неподвижности. Такие пациенты сталкиваются с трудностями в выполнении работы и повседневных дел.
Врачи отмечают, что артроз плечевого сустава проявляется постепенно, и его первые признаки могут быть незаметны. Пациенты часто жалуются на боль в области плеча, особенно при движении, а также на скованность и хруст в суставе. С течением времени симптомы могут усиливаться, что приводит к ограничению подвижности и снижению качества жизни.
Для диагностики артроза специалисты рекомендуют проводить рентгенографию и МРТ, что позволяет оценить состояние суставного хряща и окружающих тканей. Лечение включает в себя как консервативные методы, такие как физиотерапия и медикаментозная терапия, так и более радикальные подходы, включая хирургическое вмешательство в запущенных случаях. Врачи подчеркивают важность раннего обращения за медицинской помощью, так как своевременное лечение может значительно замедлить прогрессирование заболевания и улучшить функциональность сустава.
https://youtube.com/watch?v=1Hz8ySDGMq4
Причины артроза плеча
Артроз может развиваться по нескольким причинам:
- Микротравмы.
- Механическое воздействие на сустав.
- Наследственная предрасположенность.
- Спортивные нагрузки. Постоянное напряжение в суставах наблюдается у людей, занимающихся волейболом, тяжелой атлетикой, теннисом, метанием ядра и молота, а также баскетболом.
- Избыточный вес. Увеличенная нагрузка на суставы может повредить хрящевую ткань.
- Физически тяжелая работа.
- Внутрикапсульные переломы.
- Ушибы.
- Вывихи.
- Сахарный диабет. Это связано с нарушением питания суставов из-за проблем с кровообращением.
- Генетические мутации.
- Нарушения в образовании коллагена.
- Врожденные аномалии.
- Периартрит.
- Инфекционные болезни (такие как туберкулез, хламидиоз, гонорея, сифилис).
- Аутоиммунные заболевания (например, ревматоидный артрит, системная красная волчанка).
- Метаболические нарушения.
- Заболевания соединительной ткани.
- Эндокринные расстройства.
При наличии этих факторов могут наблюдаться изменения в составе синовиальной жидкости, ухудшение питания тканей, истончение хрящевой прокладки, снижение амортизирующих свойств сустава и образование костных шипов.
Артроз классифицируется на три степени, которые представляют собой стадии заболевания:
- На первой стадии происходит нарушение питания хряща, но его целостность сохраняется.
- На второй стадии хрящ становится бугристым и истончается, в тканях образуются кисты, а по краям формируются костные наросты.
- Третья степень артроза характеризуется деформацией сустава, атрофией мышц, ослаблением связок и значительным поражением хряща.
| Признак артроза плечевого сустава | Стадия развития | Методы лечения |
|---|---|---|
| Тупая, ноющая боль в плече, усиливающаяся при движении | Начальная | Физиотерапия (УВЧ, магнитотерапия), лечебная физкультура, обезболивающие мази |
| Ограничение подвижности плеча, хруст при движениях | Средняя | Инъекции гиалуроновой кислоты, плазмолифтинг, НПВС (нестероидные противовоспалительные препараты) в таблетках или инъекциях, лечебная физкультура, ортезы |
| Сильная боль в покое и при движении, деформация сустава, атрофия мышц плеча | Тяжелая | Хирургическое вмешательство (артроскопия, эндопротезирование), обезболивающие препараты, физиотерапия (в послеоперационном периоде), лечебная физкультура (в послеоперационном периоде) |
| Утренняя скованность в плечевом суставе | Все стадии | Лечебная физкультура, растяжки |
| Слабость мышц плеча | Средняя и тяжелая | Лечебная физкультура, физиотерапия |
| Ночная боль | Средняя и тяжелая | Обезболивающие препараты, коррекция положения тела во время сна |
Диагностика
Для постановки диагноза необходимо выполнить следующие шаги:
- Сбор анамнеза заболевания и жизненного анамнеза. В процессе опроса выявляются симптомы, время их появления и факторы, способствующие развитию артроза.
- Внешний осмотр. Специалист осматривает плечевые суставы и окружающие ткани. Деформация может указывать на разрушение сустава, при этом признаки воспаления, такие как покраснение и отек, могут отсутствовать.
- Физикальный осмотр. Наиболее информативным является пальпация, во время которой может быть выявлена умеренная болезненность тканей.
- Общий и биохимический анализы крови. При наличии воспалительного процесса в суставе наблюдаются ускорение СОЭ, повышение гематокрита, лейкоцитоз и тромбоцитоз. Однако в большинстве случаев эти показатели могут быть в норме.
- Анализ крови на ревматоидный фактор. Этот тест необходим для исключения ревматоидного артрита.
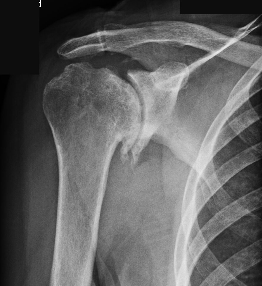
- Рентгенография в двух проекциях. Данный метод отличается доступностью, простотой и низкой стоимостью (в большинстве поликлиник он бесплатный). Деформирующий артроз на рентгеновском снимке проявляется сужением суставной щели, наличием микрокист, остеофитов, признаками склероза подхрящевых структур, подвывихами и зонами окостенения в области суставной щели.
- УЗИ. Этот метод позволяет оценить толщину хрящевой прослойки, состояние мягких тканей (связок и сухожилий) и выявить кисты с изъязвлениями.
- МРТ (магнитно-резонансная томография). Это самый точный способ диагностики артроза, однако он не подходит для людей с металлическими имплантами и страдающих клаустрофобией.
- Компьютерная томография.
- Артроскопия. Это инвазивная процедура, при которой плечевой сустав осматривается с помощью артроскопа. В ходе этой процедуры врач может выполнять микрохирургические манипуляции.
- Сцинтиграфия. Это разновидность рентгенологического исследования, при котором снимок делается после введения контрастного вещества.
- Термография. Это ориентировочный метод диагностики, который позволяет исключить опухоли. Исследование основано на способности прибора фиксировать инфракрасные лучи с различных участков тела, и по их интенсивности врач может оценить наличие патологии.
Дифференциальная диагностика включает исключение ревматоидного, подагрического, реактивного и псориатического артритов, а также туберкулеза костей и опухолей.
Артроз плечевого сустава — это распространенное заболевание, которое вызывает значительный дискомфорт и ограничение движений. Люди, сталкивающиеся с этой проблемой, часто отмечают такие признаки, как боль при движении, хруст в суставе и снижение подвижности. На начальных стадиях пациенты могут испытывать дискомфорт только при физической активности, но со временем симптомы становятся более выраженными и могут беспокоить даже в покое.
Что касается лечения, многие рекомендуют комплексный подход, включающий физиотерапию, лечебную физкультуру и медикаментозное лечение. Важно также обратить внимание на изменение образа жизни: правильное питание и контроль веса могут существенно облегчить состояние. Некоторые пациенты делятся положительным опытом использования народных средств, таких как компрессы и настои, однако важно помнить, что перед началом любого лечения стоит проконсультироваться с врачом.
https://youtube.com/watch?v=KWtj4t1u02M
Лечение
Лечение данной патологии обычно проводится в домашних условиях. Основные цели терапии:
- снятие симптомов;
- предотвращение осложнений (контрактур, анкилоза);
- улучшение питания хрящевой ткани;
- замедление разрушительных процессов в хряще;
- укрепление мышц и связок;
- устранение факторов, способствующих заболеванию (коррекция веса, улучшение условий труда, снижение нагрузки на плечевой сустав).
При значительной деформации сустава и разрушении хряща может быть рекомендовано эндопротезирование.
Лучшие упражнения ЛФК при омартрозе
Для пациентов разработан набор упражнений, который помогает замедлить разрушение тканей. При выполнении лечебной гимнастики важно учитывать следующие моменты:
- вес поднимаемого предмета не должен превышать 5 кг;
- при артрозе следует избегать чрезмерных нагрузок;
- занятия должны проводиться не менее трех раз в неделю;
- перед основными упражнениями необходимо размять мышцы.
Во время тренировок можно выполнять такие упражнения:
- вращательные движения;
- рывки руками;
- прижатие руки к груди;
- круговые движения;
- сцепление рук за спиной;
- силовые упражнения (разведение конечностей, подъем рук).
Всем пациентам рекомендуется делать утреннюю зарядку.
https://youtube.com/watch?v=KOIj1undqtY
От мазей до уколов
При артрозе могут быть рекомендованы следующие группы медикаментов:
-
Местные препараты в виде кремов, мазей и гелей с обезболивающим и противовоспалительным действием. Наиболее распространенные из них: Диклофенак, Найз, Нимесулид, Нимулид, Сулайдин, Вольтарен Эмульгель, Дикловит, Долгит, Матарен Плюс, Кетопрофен, Фастум, Флексен, Кетонал, Быструмгель, Нурофен Экспресс, Ибупрофен, Кеторол и Пенталгин Эстра–Гель. Эти средства следует наносить на кожу в области пораженного сустава несколько раз в день.
-
Инъекционные препараты применяются при выраженном болевом синдроме. К таким лекарствам относятся Ортофен, Вольтарен, Артрозилен и Диклак. В сложных случаях могут проводиться блокады с использованием анестетиков и кортикостероидов.
-
Кортикостероиды (Метипред, Солу–Медрол, Лемод, Медрол и Гидрокортизон) эффективны при наличии воспалительных процессов.
-
Хондропротекторы назначаются на ранних стадиях заболевания для улучшения обменных процессов в хрящевой ткани. Курс лечения обычно длится полгода и более. К хондропротекторам относятся Хондрогард, Артра, Дона, Терафлекс, Мукосат, Хондроксид, Инъектран, Хонсат и Сустилак.
При повышении температуры могут быть рекомендованы жаропонижающие средства, такие как Ибупрофен.
Физиотерапия
При заболеваниях плечевого сустава полезны следующие физиотерапевтические процедуры:
- гидротерапия (лечение с помощью лечебных ванн);
- магнитотерапия;
- грязевые процедуры;
- инфракрасная лазерная терапия;
- аппликации с парафином;
- ультразвуковая терапия.
В период ремиссии рекомендуется посещение санаториев и курортов.
Массаж
Массаж — полезная процедура при артрозе. Он может быть ручным или аппаратным. Эффективно воздействует на ткани плечевого пояса и рук, включая поглаживание, разминание и растирание. Рекомендуется проходить массаж в профессиональных салонах.
Народные средства
При артрозе могут быть полезны следующие средства народной медицины:
- отвары из целебных трав: лопух, чабрец, березовые почки и зверобой;
- мази и компрессы на основе капусты, редьки и одуванчика;
- примочки;
- настои из кукурузных рылец.
Однако народные средства не заменяют основные методы терапии артроза.
Диета
При повреждении плечевого сустава важно соблюдать специальную лечебную диету. Она включает следующие рекомендации:
- Увеличьте потребление продуктов, богатых омега-3 и омега-6 жирными кислотами, а также витаминами и микроэлементами.
- Исключите крепкие бульоны, тяжелые жиры, алкоголь, копчености, консервы и полуфабрикаты.
- Снизьте суточное потребление соли.
- Включите в рацион продукты с натуральными хондропротекторами (мукополисахариды), такие как твердый сыр, куриное мясо и красная рыба.
- Организуйте разгрузочные дни.
Возможные осложнения
Артроз может вызывать осложнения, такие как деформация сустава, значительное ограничение подвижности, асептический некроз и сращение суставных поверхностей. Эти последствия могут привести к потере трудоспособности.
Профилактика
Для предотвращения артроза важно:
- поддерживать здоровый вес;
- соблюдать сбалансированное питание;
- принимать витамины и минеральные комплексы;
- избегать чрезмерных физических нагрузок;
- защищать плечи от травм;
- своевременно лечить инфекционные и эндокринные заболевания;
- вести здоровый образ жизни.
Заключение
Артроз — это хроническое заболевание, которое невозможно полностью вылечить. Однако прогноз зависит от самого пациента. Раннее и комплексное лечение, а также изменение образа жизни могут помочь сохранить работоспособность и поддерживать высокое качество жизни.
Вопрос-ответ
Какие основные симптомы указывают на развитие артроза плечевого сустава?
Основные симптомы артроза плечевого сустава включают боль в области плеча, особенно при движении, ограничение подвижности, хруст или щелчки при движении, а также возможное отекание и воспаление в суставе. Эти признаки могут усиливаться при физической нагрузке и ослабевать в состоянии покоя.
Каковы современные методы лечения артроза плечевого сустава?
Современные методы лечения артроза плечевого сустава могут включать консервативные подходы, такие как физиотерапия, медикаментозное лечение (обезболивающие и противовоспалительные препараты), инъекции кортикостероидов и хондропротекторов. В более тяжелых случаях может потребоваться хирургическое вмешательство, например, артроскопия или эндопротезирование сустава.
Как можно предотвратить развитие артроза плечевого сустава?
Для предотвращения развития артроза плечевого сустава рекомендуется поддерживать активный образ жизни, заниматься физической активностью, укрепляющей мышцы плечевого пояса, следить за правильной осанкой и избегать травм. Также важно контролировать вес и правильно питаться, чтобы снизить нагрузку на суставы.
Советы
СОВЕТ №1
Регулярно выполняйте упражнения для укрепления мышц плечевого пояса. Это поможет улучшить подвижность сустава и снизить риск развития артроза. Консультируйтесь с врачом или физиотерапевтом для подбора безопасного комплекса упражнений.
СОВЕТ №2
Обратите внимание на свой рацион. Употребление продуктов, богатых омега-3 жирными кислотами (рыба, орехи), а также антиоксидантами (фрукты и овощи) может помочь снизить воспаление и поддержать здоровье суставов.
СОВЕТ №3
Не игнорируйте первые признаки боли и дискомфорта в плечевом суставе. Чем раньше вы обратитесь к врачу, тем больше шансов на успешное лечение и предотвращение прогрессирования артроза.
СОВЕТ №4
Избегайте чрезмерных нагрузок на плечевой сустав, особенно если у вас уже есть предрасположенность к артрозу. Правильная техника выполнения физических упражнений и использование защитного снаряжения помогут снизить риск травм.







