Основные причины
Острая боль в ладонях может возникать из-за перенапряжения или травм. Длительные неприятные ощущения в кистях рук часто связаны с воспалительными процессами в связках, сухожилиях, нервах и костях. К таким заболеваниям относятся ревматоидный артрит, остеоартрит, подагрический артрит и тендиниты. Часто причиной болей становится сжатие нервов (туннельный синдром), повреждение сосудов, питающих ткани ладони (синдром Рейно), а также ишемическая болезнь сердца.
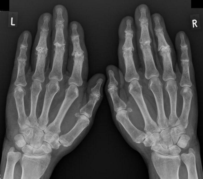
Ревматоидный артрит — распространенное заболевание, затрагивающее мелкие суставы пальцев. Боль может быть интенсивной, особенно в области ладони под большим пальцем правой руки. Чаще всего этим заболеванием страдают женщины. Причинами могут быть инфекционные агенты, гормональные изменения и наличие артрита у близких родственников. Симптомы включают:
- боль и дискомфорт в ладонях и пальцах при нажатии;
- ограничение подвижности в пораженных суставах;
- покраснение в центре ладоней;
- отечность;
- деформацию суставов, напоминающую «лебединую шею».
Подагрический артрит также может вызывать боли в ладонях. При этом заболевании нарушается обмен мочевой кислоты, что приводит к ее накоплению в мелких суставах. Образуются тофусы — характерный признак подагры. Чаще всего подагрой страдают мужчины. Основные симптомы подагрического артрита:
- боль и отечность суставов;
- наличие «тофусов»;
- покраснение кожи над пораженным суставом;
- ограничение подвижности.
Подозрение на подагру можно высказать уже на первичном приеме у врача. Окончательный диагноз ставит ревматолог после рентгена суставов, анализа содержимого «тофусов» и измерения уровня мочевой кислоты в спинномозговой жидкости.
Туннельный синдром, или синдром запястного канала, часто становится причиной болей в ладонях у людей, занимающихся мелкой рутинной работой. Пианисты, скрипачи, офисные работники и художники часто сталкиваются с этой проблемой. Сжатие срединного нерва, расположенного в запястном канале, проявляется следующими симптомами:
- слабость кисти;
- ноющая боль в кистях рук;
- покалывание и онемение пальцев.
Остеоартроз — это дегенеративно-дистрофическое заболевание суставов, характеризующееся разрушением хрящей и костей. Чаще всего оно встречается у пожилых женщин с избыточным весом. Причинами могут быть лишний вес и наследственная предрасположенность. Симптомы остеоартроза включают:
- утреннюю скованность;
- пульсирующую боль в мизинцах и отечность суставов;
- ограничение подвижности;
- появление узелков над пораженными суставами.
Боль в кистях рук может быть вызвана и другими заболеваниями, такими как перитендинит, шейный остеохондроз и протрузия. В любом случае необходимо обратиться к врачу для проведения необходимых диагностических процедур.
Боль в ладонях рук может быть вызвана различными факторами, и врачи подчеркивают важность правильной диагностики. Часто причиной являются травмы, такие как растяжения или вывихи, а также хронические заболевания, включая артрит и туннельный синдром. Врачи рекомендуют обратить внимание на характер боли: если она острая и сопровождается отеком, стоит немедленно обратиться за медицинской помощью. Для облегчения состояния можно использовать холодные компрессы и противовоспалительные препараты. Также важно следить за осанкой и избегать длительных нагрузок на руки. Регулярные перерывы в работе за компьютером и специальные упражнения для рук помогут предотвратить возникновение болей в будущем. В случае хронических болей рекомендуется консультация специалиста для назначения индивидуального лечения.
https://youtube.com/watch?v=61bHvMPHzbE
Диагностика
Диагностика неприятных ощущений в ладонях зависит от их причины. Например, при подозрении на ревматоидный артрит врач соберет анамнез, выясняя возможные семейные предрасположенности. Также он назначит анализ крови и рентген суставов. Для диагностики синдрома запястного канала используют электродиагностические методы и физиотерапевтические тесты. Если есть подозрение на остеоартроз, могут быть назначены рентгенография, УЗИ суставов и артроскопия.
| Возможная причина боли в ладонях | Симптомы | Способы справления/Лечение |
|---|---|---|
| Артрит (ревматоидный, остеоартрит) | Боль, скованность, припухлость, покраснение, деформация суставов | Нестероидные противовоспалительные препараты (НПВП), кортикостероиды, физиотерапия, изменение образа жизни, лечебная гимнастика, ортезы |
| Карпальный туннельный синдром | Боль, онемение, покалывание в большом, указательном, среднем и безымянном пальцах, слабость кисти | Ортезы, физиотерапия, инъекции кортикостероидов, хирургическое вмешательство |
| Тендинит (воспаление сухожилий) | Боль, припухлость, болезненность при движении | Покой, лед, НПВП, физиотерапия, ортезы |
| Киста ганглия | Уплотнение на тыльной стороне запястья или ладони | Покой, лед, пункция кисты, хирургическое удаление |
| Перегрузка/перенапряжение мышц | Боль, усталость, скованность | Покой, лед, НПВП, физиотерапия, изменение техники выполнения работы |
| Остеопороз | Боль, хрупкость костей, переломы | Лекарственные препараты, укрепление костей, диета, богатая кальцием и витамином D |
| Нейропатия | Боль, онемение, покалывание, жжение | Лечение основного заболевания, медикаментозная терапия, физиотерапия |
Что предпринять при боли
Если вы ощущаете дискомфорт в ладонях, выполните следующие упражнения:
- Опустите руки вниз, максимально расслабьте их и несколько раз встряхните.
- Сжимайте и разжимайте пальцы (7–10 повторений).
- Сожмите пальцы в кулаки и выполните 7–10 вращательных движений.
- Надавливайте ладонью одной руки на другую, как будто пытаетесь оттолкнуть кисть наружу.
Если вы внезапно испытываете острую боль в ладони, сопровождающуюся учащенным сердцебиением, болями за грудиной и слабостью в кисти, срочно обратитесь к врачу. Может потребоваться неотложная помощь, и любое промедление может иметь серьезные последствия.
При любой травме кисти, вызывающей боль в ладони, первой мерой является иммобилизация — обездвиживание конечности и обращение в травмпункт. Если боль возникла без видимых причин на фоне хорошего самочувствия, можно сделать разминку ладоней, сжимая и разжимая их.
Многие люди сталкиваются с болью в ладонях, и это может вызывать беспокойство. Чаще всего такие ощущения связаны с перенапряжением, длительной работой за компьютером или физической активностью. Некоторые отмечают, что боль усиливается при выполнении повторяющихся движений, например, при наборе текста или игре на музыкальных инструментах.
Справляться с этой проблемой можно различными способами. Важно делать регулярные перерывы, чтобы дать рукам отдохнуть. Простые упражнения на растяжку и укрепление мышц ладоней также могут помочь снизить напряжение. Массаж и теплые компрессы способствуют улучшению кровообращения и снятию дискомфорта. Если боль не проходит, стоит обратиться к врачу, чтобы исключить более серьезные заболевания, такие как артрит или туннельный синдром. Забота о своих руках — залог их здоровья и комфорта в повседневной жизни.
https://youtube.com/watch?v=XB5LU7Kn9Vk
Лечение
Лечение болей в ладонях зависит от причины этого состояния. Например, при остеоартрозе первым шагом будет снижение избыточного веса. Также важно использовать препараты, способствующие частичному восстановлению хрящевой ткани, такие как хондроитин сульфат. Заболеванием занимается ревматолог.
При ревматоидном артрите терапия включает применение как стероидных, так и нестероидных противовоспалительных средств. Врач может назначить биологически активные препараты по своему усмотрению.
При подагрическом артрите лечение состоит из соблюдения специальной диеты и применения медикаментов, нормализующих обмен мочевой кислоты. Если у пациента выявлен туннельный синдром, лечением занимаются невропатолог и физиотерапевт.
Важно устранить факторы, вызывающие повреждение. В терапии используются противовоспалительные средства в сочетании с физиотерапевтическими процедурами. Кроме того, пациента обучают специальным упражнениям, которые следует выполнять в перерывах между работой кистей.
Меры профилактики
Профилактика включает активное участие в физической активности и поддержание здорового веса. Рекомендуется ежедневно выполнять упражнения для кистей рук. Полезно также несколько раз в неделю делать теплые ванночки с травяными отварами. Время нахождения рук в таких ванночках должно составлять 10–15 минут. Эти меры помогут избежать болевых ощущений в кистях.
https://youtube.com/watch?v=wgYR-dfB3hw
Вопрос-ответ
Что пить, если болят руки?
Если болят руки, полезно пить теплые травяные чаи, такие как имбирный или куркуминовый, которые обладают противовоспалительными свойствами. Также стоит увеличить потребление воды для поддержания гидратации и, возможно, добавить в рацион напитки с высоким содержанием омега-3 жирных кислот, такие как сок из семян льна или чиа, которые могут помочь уменьшить воспаление.
Как снять воспаление кистей рук?
Применяют следующие методы: микроволновую терапию, ультразвук, ударно-волновую терапию (УВТ), ультрафиолетовые лучи, лечебную физкультуру. УВТ особенно эффективна в борьбе с этим заболеванием. Сфокусированные волны достигают очага поражения сухожилия, нормализуют его тонус и уменьшают болевой синдром.
При каких заболеваниях болят руки?
Боль в руке – одна из самых распространенных жалоб пациентов, обращающихся к неврологу или ортопеду. Данный симптом не является специфическим, так как может говорить о развитии сразу нескольких заболеваний – артрита, артроза, остеохондроза, грыжи, локализованной в шейном или грудном отделе позвоночника.
Советы
СОВЕТ №1
Обратите внимание на свою осанку и положение рук во время работы. Неправильная поза может приводить к перенапряжению мышц и суставов, что вызывает боль. Убедитесь, что ваши руки находятся на уровне локтей, а запястья не перегибаются.
СОВЕТ №2
Регулярно делайте перерывы во время работы, особенно если вы проводите много времени за компьютером или выполняете однообразные движения. Каждые 30-60 минут вставайте, размягчайте руки и делайте легкие упражнения для запястий и пальцев.
СОВЕТ №3
Используйте специальные ортопедические подушки или поддерживающие устройства для рук, если ваша работа требует длительного нахождения в одном положении. Это поможет снизить нагрузку на суставы и предотвратить развитие болей.
СОВЕТ №4
Если боль не проходит, обратитесь к врачу для диагностики. Это может быть признаком более серьезных заболеваний, таких как синдром запястного канала или артрит. Раннее обращение за медицинской помощью поможет избежать осложнений.


