Признаки заболевания
Симптоматика данной патологии не проявляется сразу после появления суставной мыши. В течение некоторого времени она может оставаться незамеченной, периодически вызывая дискомфорт в области колена.
Тем не менее, боль и неприятные ощущения быстро проходят, и пациент не обращает на это внимания.
Существует два основных варианта развития заболевания:
-
Скрытая форма. Постоянная боль в суставе отсутствует. Обнаружить суставную мышь в коленном суставе можно только с помощью рентгеновского обследования, особенно если образование расположено в области заворота синовиальной оболочки.
-
Период с выраженными клиническими проявлениями. Суставная мышь может вызывать дискомфорт при движении и полностью блокировать сустав, если окажется между двумя суставными поверхностями. В этом случае возникает сильная боль, сустав отекает и становится гиперемированным. Объем движений в суставе значительно ограничивается, вплоть до полной блокады.
Одной из характерных особенностей заболевания является внезапное восстановление утраченных функций и улучшение состояния пациента. При повторяющихся блокадах происходят необратимые изменения в хрящевой ткани, что приводит к нарушению движений. Если суставная мышь возникла в результате травмы, клинические проявления развиваются постепенно. Сначала отросток может оставаться на кости, мениске или хрящевой ткани, и только после полного отрыва от своей материнской части возникает сильная боль и блокировка сустава.
Врачи отмечают, что лечение суставной мыши коленного сустава требует комплексного подхода. Суставная мышь, представляющая собой свободно плавающий фрагмент хряща или костной ткани, может вызывать болевые ощущения и ограничение подвижности. Специалисты подчеркивают важность ранней диагностики, которая позволяет избежать серьезных осложнений. В зависимости от размера и расположения мыши, лечение может варьироваться от консервативных методов, таких как физиотерапия и инъекции кортикостероидов, до хирургического вмешательства. Хирурги рекомендуют артроскопию как минимально инвазивный способ удаления суставной мыши, что способствует быстрому восстановлению пациента. Врачи также акцентируют внимание на необходимости реабилитации после операции для восстановления функции сустава и предотвращения рецидивов.
https://youtube.com/watch?v=NyUBWMbllhY
Диагностика и терапия патологии
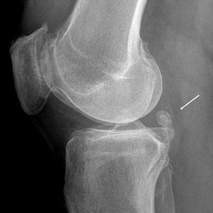
Диагностика суставной мыши осуществляется с помощью дополнительных методов обследования, среди которых наиболее важным является рентгенография. Лишь в случае значительных размеров образования его можно прощупать.
На рентгеновских снимках видно количество и форму отростков. Однако у этого метода есть серьезный недостаток: некоторые ткани не восприимчивы к рентгеновским лучам, что затрудняет получение точных данных.
Для более детального изучения локализации, формы и других характеристик суставной мыши применяются МРТ, КТ и артроскопия. Последний метод позволяет не только визуализировать осколок, но и при небольших размерах сразу же удалить его из суставной полости.
Если поражен коленный сустав, лечение должно быть исключительно хирургическим. Консервативная терапия не способна растворить или удалить образование. Даже если осколок не вызывает дискомфорта, никто не может гарантировать отсутствие проблем в будущем.
Безоперационное лечение включает симптоматическую терапию для улучшения состояния пациента. Для этого используются препараты из группы неспецифических противовоспалительных средств, которые помогают снять боль, отек и воспаление. К НПВС относятся такие препараты, как Парацетамол, Ибупрофен, Нимесил, Мовалис, Мелоксикам и другие. Однако это лишь временное решение, и ущемление суставной мыши может произойти снова.
Удаление небольшого образования осуществляется с помощью артроскопа — специального инструмента. Этот малоинвазивный метод предполагает всего два прокола в суставной капсуле: в один вводится оптический прибор, в другой — хирургические инструменты. Процедура проводится под местным или спинномозговым обезболиванием. Преимуществом данного подхода является короткий период восстановления после операции, и уже через несколько дней пациент может начать ходить.
При наличии большого осколка или нескольких меньших образований требуется традиционное хирургическое вмешательство. В этом случае врач вскрывает суставную полость и удаляет мышь, одновременно осматривая ткани и при необходимости проводя пластику для снижения риска появления новых осколков. Длительность послеоперационного периода может составлять от 1 до 3 месяцев, и пациенту предстоит пройти длительную реабилитацию, включающую физиотерапию и лечебную физкультуру.
Лечение суставной мыши коленного сустава вызывает множество обсуждений среди пациентов и специалистов. Многие отмечают, что данное состояние, когда свободное тело в суставе вызывает боль и ограничение движений, требует индивидуального подхода. Врачи рекомендуют сначала провести тщательную диагностику, чтобы определить точное местоположение и размер мыши.
Некоторые пациенты делятся положительным опытом консервативного лечения, включая физиотерапию и инъекции кортикостероидов, которые помогают уменьшить воспаление и боль. Однако, если симптомы не проходят, хирургическое вмешательство становится необходимым. Операция по удалению суставной мыши часто приводит к быстрому облегчению и восстановлению функции сустава.
Важно отметить, что реабилитация после операции также играет ключевую роль в успешном лечении. Многие люди подчеркивают, что соблюдение рекомендаций врача и регулярные занятия физической терапией помогают избежать рецидивов и вернуть активность.
| Стадия заболевания | Методы лечения | Прогноз |
|---|---|---|
| Начальная (легкая боль, незначительное ограничение подвижности) | Консервативное лечение: физиотерапия (УВЧ, магнитотерапия, лазеротерапия), лечебная физкультура (ЛФК), массаж, нестероидные противовоспалительные препараты (НПВП) | Благоприятный. Полное выздоровление возможно при своевременном лечении. |
| Умеренная (усиление боли, выраженное ограничение подвижности, отечность) | Консервативное лечение + внутрисуставные инъекции гиалуроновой кислоты или кортикостероидов. Возможно использование ортезов. | Благоприятный при адекватном лечении. Возможно сохранение остаточных явлений. |
| Тяжелая (сильная боль, значительное ограничение подвижности, деформация сустава, хроническое воспаление) | Хирургическое вмешательство (артроскопия, частичная или полная замена коленного сустава). Консервативное лечение применяется как вспомогательная терапия. | Зависит от степени повреждения сустава и эффективности хирургического лечения. Возможно значительное улучшение качества жизни, но полное восстановление функции сустава не всегда достижимо. |
Народные способы лечения
Методы альтернативной медицины при лечении суставной мыши или в восстановительный период после удаления образования используются исключительно как вспомогательные. Их основная задача — облегчить боль и отечность, снизить воспалительные процессы в суставе и восстановить утраченные функции.
Использование народных средств включает следующие рецепты:
-
Смешайте 1 столовую ложку свежего меда с 3 столовыми ложками яблочного уксуса. Нанесите полученную массу на пораженный сустав и накройте капустным листом. Сверху наложите компресс из хлопчатобумажной ткани, полиэтиленового пакета или вощеной бумаги, затем оберните теплым шарфом. Зафиксируйте аппликацию, чтобы она не смещалась при движениях. Для наилучшего результата рекомендуется проводить процедуру на ночь. Курс лечения может длиться до 1 месяца.
-
Компрессы с красной и голубой глиной. Смешайте компоненты в равных пропорциях и добавьте немного воды, чтобы получить консистенцию, напоминающую сметану. Нанесите глину на кусок ткани и приложите к больному суставу. Утеплите и зафиксируйте. Время процедуры — 2 часа, после чего средство следует смыть теплой водой.
-
Ванночка с листьями топинамбура. Измельчите 1,5 кг свежих листьев и залейте 8 литрами кипятка. Когда раствор остынет, погрузите в него ногу так, чтобы он полностью покрывал больное колено. Продолжительность процедуры — 20–30 минут, до полного остывания раствора. Курс терапии включает 10 сеансов.
Лечение суставной мыши должно проходить под наблюдением врача. Не стоит отказываться от операции, так как других радикальных методов решения проблемы не существует.
Предпочтительнее планово удалить образования с помощью артроскопии, чем прибегать к экстренной операции открытым способом.
https://youtube.com/watch?v=VjdBGXsPFSc
Вопрос-ответ
Как лечится суставная мышь?
Лечение рассекающего остеохондрита локтевого сустава. Пациентам старше 18 лет проводят только оперативное лечение болезни. Артроскопическая операция является оптимальным вариантом, при которой свободный костно-хрящевой фрагмент рефиксируют или удаляют полностью для избежания блокад и повреждений суставного хряща.
https://youtube.com/watch?v=22u9frLBB5o
Что нового в лечении артроза коленного сустава?
Самые современные, эффективные и безопасные методы в лечении артроза суставов: биоимплантация коленного сустава Bio-Osteo. Это инновационный метод восстановления поврежденных коленных и тазобедренных суставов с помощью собственных клеток пациента (из жировой ткани и плазмы крови).
Как лечить хондроматоз коленного сустава?
Хондроматоз – заболевание синовиальной оболочки коленного сустава, достаточно редкое. Для данного заболевания характерно хроническое воспаление с выпотом жидкости в полости сустава. При развитии болезни возможно появление инородных тел в суставе и его блокирование.
Советы
СОВЕТ №1
Перед началом лечения суставной мыши обязательно проконсультируйтесь с врачом-ортопедом или ревматологом. Самолечение может привести к ухудшению состояния и осложнениям, поэтому важно получить профессиональную оценку и рекомендации.
СОВЕТ №2
Обратите внимание на физическую активность. Умеренные упражнения, такие как плавание или йога, могут помочь укрепить мышцы вокруг коленного сустава и улучшить его подвижность. Однако избегайте высоких нагрузок и резких движений, которые могут усугубить проблему.
СОВЕТ №3
Следите за своим весом. Избыточная масса тела создает дополнительную нагрузку на суставы, что может усугубить симптомы суставной мыши. Правильное питание и поддержание здорового веса помогут снизить нагрузку на коленный сустав и улучшить общее состояние.
СОВЕТ №4
Регулярно проходите обследования и следите за состоянием суставов. Это поможет вовремя выявить изменения и скорректировать лечение, что может предотвратить развитие более серьезных заболеваний и улучшить качество жизни.

