Причины развития
При выполнении действий, таких как ходьба, бег и прыжки, на пяточные кости стопы, которые являются как крупными, так и хрупкими, приходится наибольшая нагрузка. К этим костям прикрепляются мышцы с помощью множества связок. Одним из самых известных является ахиллесово сухожилие, способное выдерживать вес до 400 кг. Однако именно оно чаще всего подвергается травмам. За этой костью располагается выпуклость — пяточный бугор, который также подвержен заболеваниям, названным в честь докторов Хаглунда и Шинца, изучавших данную патологию.
Что вызывает остеохондропатию апофизов — отростков кости, находящихся вблизи округлых концов трубчатой ткани, формирующих сустав? Научные исследования пока не установили точные причины возникновения этого заболевания. Однако выделены основные факторы, которые могут способствовать его развитию:
- регулярные чрезмерные нагрузки на мышцы ног;
- множественные микротравмы сухожилий;
- нарушения кровообращения в области пяточной кости;
- сердечно-сосудистые заболевания;
- эндокринные расстройства.
Остеохондропатия пяточного бугра, известная как болезнь Хаглунда-Шинца, чаще всего возникает в результате:
- повторяющихся травм стопы;
- перенесенных инфекционных заболеваний;
- нейротрофических нарушений;
- значительных обменных расстройств;
- наследственной предрасположенности.
Основным триггером заболевания являются чрезмерные физические нагрузки на пяточные бугры, ахиллесово сухожилие и связки стопы. Это приводит к страданиям сосудов и нарушению нормального кровоснабжения костных тканей. Они не получают достаточного количества питательных веществ, что может привести к омертвению пяточных костей, даже при отсутствии инфекций и воспалительных процессов. Особенно быстрое разрушение происходит, если количество кровеносных сосудов недостаточно или их просветы узкие от рождения, что связано с генетическими особенностями организма.
Врачи рекомендуют при остеохондропатии бугра пяточной кости прежде всего обратить внимание на снижение нагрузки на поражённую область. Это может включать использование ортопедических стелек или специальных обувных вставок, которые помогут распределить нагрузку более равномерно. Физиотерапия также играет важную роль в лечении: процедуры, такие как ультразвук и магнитотерапия, могут способствовать уменьшению воспаления и боли. Врач может назначить противовоспалительные препараты для облегчения симптомов. В некоторых случаях полезны специальные упражнения для укрепления мышц стопы и голеностопного сустава. Важно помнить, что самолечение может усугубить состояние, поэтому консультация с врачом является обязательной.
https://youtube.com/watch?v=zgoKZ_aSIfw
Этапы заболевания
Выделяют пять этапов заболевания Хаглунда-Шинца:
- Асептический некроз. На этом этапе образуется участок омертвения.
- Импрессионный (внутрисуставной) перелом. Происходит «продавливание» мертвой части кости, которая не справляется с нагрузками.
- Фрагментация кости. Кость разбивается на отдельные фрагменты.
- Рассасывание мертвых тканей.
- Репарация. Некротический участок сначала замещается соединительной тканью, а затем вновь образующейся костью.
| Симптом | Возможные действия | Когда обратиться к врачу |
|---|---|---|
| Боль в пятке, усиливающаяся при нагрузке | Покой, лед, компрессионная повязка, обезболивающие средства (без рецепта) | Если боль сильная, не проходит после нескольких дней домашнего лечения, или сопровождается отеком, покраснением, лихорадкой |
| Отек пятки | Поднятие ноги, лед, компрессионная повязка | Если отек значительный, не уменьшается, или сопровождается другими симптомами (боль, покраснение, лихорадка) |
| Жесткость в пятке | Растяжка икроножных мышц, легкие упражнения на растяжку | Если жесткость сильная, ограничивает движения, или сопровождается болью |
| Ограничение подвижности стопы | Покой, лед, физиотерапия (после консультации с врачом) | Если ограничение подвижности значительное, мешает повседневной жизни |
| Хруст в пятке | Покой, избегать резких движений | Если хруст сопровождается болью или другими симптомами |
Симптоматические проявления
Симптомы остеохондропатии Хаглунда-Шинца:
- болезненные ощущения при стоянии на пятках, а также при сгибании и разгибании стоп;
- легкое подскакивание при ходьбе;
- отечность в области пятки или всей стопы;
- повышенная чувствительность при прикосновении к пораженной зоне;
- атрофия мышц голени;
- хромота.
На начальных стадиях заболевание может проявляться как постепенно, так и резко, с сильными болями даже при минимальных нагрузках на пяточный бугор. В этой области возникает отек, но покраснения и жжения не наблюдается. Вскоре пальпация стопы становится болезненной, особенно при движении. Со временем человек начинает хромать, смещая центр тяжести на пальцы ног во время ходьбы. В состоянии покоя болевые ощущения отсутствуют.
У детей боли в пятке могут сохраняться длительное время, иногда до завершения полового созревания. Однако недуг иногда проходит самостоятельно с возрастом. Ортопед устанавливает диагноз патологии пяточной кости на основе анамнеза, течения болезни и результатов обследования.
Остеохондропатия бугра пяточной кости — это заболевание, которое вызывает беспокойство у многих людей, особенно у тех, кто активно занимается спортом или ведет подвижный образ жизни. Многие отмечают, что при первых симптомах, таких как боль и отечность в области пятки, важно не игнорировать сигнал своего организма. В первую очередь, рекомендуется снизить физическую нагрузку и обеспечить отдых пораженной области.
Некоторые пациенты делятся опытом использования холодных компрессов для уменьшения воспаления и боли. Физиотерапия также часто упоминается как эффективный метод лечения, включая специальные упражнения для укрепления мышц и связок. Важно помнить о необходимости консультации с врачом, который может назначить индивидуальный план лечения. Многие отмечают, что комплексный подход, включающий медикаментозное лечение и реабилитацию, помогает значительно улучшить состояние и вернуть активность в повседневную жизнь.
https://youtube.com/watch?v=JhTQw0d8vlU
Диагностика
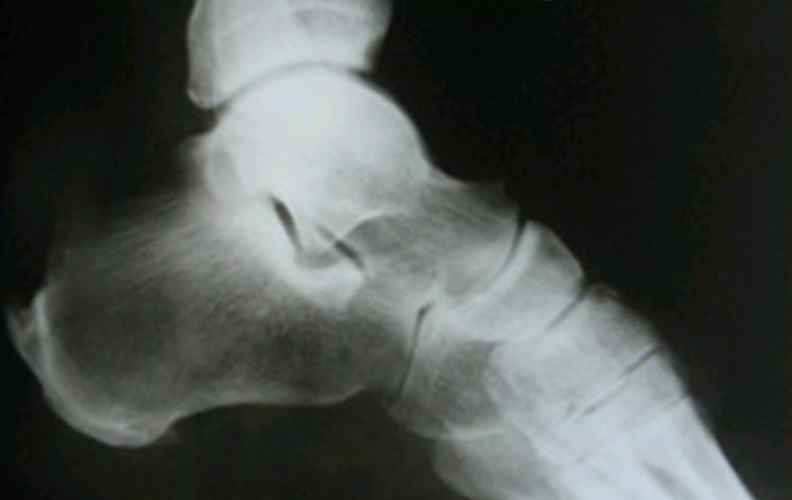
Рентгенография предоставляет полную информацию о состоянии пациента. Снимок выполняется в боковой проекции, и на основании полученных данных врач может определить прогрессирование болезни Хаглунда-Шинца. Это основано на уплотнении бугра, увеличенной щели между ним и пяточной костью, а также на неравномерной, пятнистой структуре ядра окостенения (см. фото).
На поздних стадиях заболевания на рентгеновском снимке четко видна губчатая структура новой костной ткани. В сложных случаях для более точной диагностики полезно сравнить рентгенограммы больной и здоровой стопы. Важно провести дифференциальную диагностику, чтобы исключить:
- острые воспалительные процессы;
- бурсит и периостит пятки;
- остеомиелит;
- пяточную шпору;
- туберкулез костей;
- злокачественные новообразования.
Об отсутствии воспалительных процессов можно судить по показателям лейкоцитов и скорости оседания эритроцитов (СОЭ) в анализе крови. Бурсит и периостит чаще встречаются у взрослых, тогда как пяточные шпоры характерны для пожилых людей. Симптомы, такие как повышенная утомляемость и раздражительность, которые могут наблюдаться при туберкулезе костей и онкологических заболеваниях, не проявляются при болезни Хаглунда-Шинца.
Для окончательной диагностики врач может назначить компьютерную или магнитно-резонансную томографию пяточной кости. В сложных случаях ортопед может обратиться за консультацией к фтизиатру или онкологу.
Методы лечения заболевания
Лечение проводится амбулаторно с регулярным наблюдением врача. Родителям не стоит паниковать при диагнозе патологии Хаглунда-Шинца у ребенка, так как в большинстве случаев возможно полное выздоровление без серьезных осложнений. Основная цель лечения — снизить болевые ощущения и быстро восстановить функции пораженной ноги. На ранних стадиях заболевания применяются методы консервативной терапии.
https://youtube.com/watch?v=WFaoerCuBls
Оперативное вмешательство
Хирургическое вмешательство применяется только в самых серьезных случаях. Когда консервативные методы лечения не приносят результатов, а болевые ощущения остаются интенсивными, врачи прибегают к операции — невротомии. Эта процедура заключается в иссечении нервов в области стопы.
Важно отметить, что после операции не только исчезает боль, но и полностью теряется тактильная чувствительность в области пятки.
Консервативное лечение
Одним из ключевых аспектов успешного консервативного лечения является полное ограничение подвижности стопы на протяжении всего периода обострения заболевания.
Для этого применяется жесткая фиксация с помощью лонгеты. В случаях острых болей может быть временно наложена гипсовая повязка.
Чтобы помочь подростку справиться с болевыми ощущениями, используются анальгетики, противовоспалительные средства, инъекции Мильгаммы и холодные компрессы.
Для улучшения кровообращения назначаются сосудорасширяющие препараты. Мышечные спазмы снимаются с помощью Но-шпы и никотиновой кислоты.
Какие обезболивающие средства лучше использовать при остеохондрозе?
Физиотерапия
Замечательный терапевтический эффект достигается благодаря комплексному подходу в физиотерапии. Процедуры назначаются после устранения острых болевых ощущений. К ним относятся:
- электрофорез с Новокаином;
- ультразвуковая и микроволновая терапия;
- озокеритовые «сапожки»;
- магнитотерапия;
- диадинамотерапия;
- хлоридно-натриевые ванны;
- гелиотерапия и другие методы.
Восстановительный период
После завершения основного курса лечения необходимо значительно снизить физическую нагрузку на пятки.
Рекомендуется выбирать обувь с устойчивым широким каблуком и ортопедическими стельками-супинаторами или гелевыми подпяточниками. Носить такую обувь следует постоянно. Обувь с сплошной подошвой не подходит, так как она может замедлить процесс выздоровления.
Когда болевые ощущения значительно уменьшатся, можно постепенно увеличивать нагрузки на ноги. Прогноз при остеохондропатии Хаглунда-Шинца в целом положительный. Обычно все болезненные симптомы исчезают в течение 1,5–2 лет.
Вопрос-ответ
Какие симптомы могут указывать на остеохондропатию бугра пяточной кости?
Симптомы остеохондропатии бугра пяточной кости могут включать боль в области пятки, особенно при нагрузке, отек и чувствительность в этой области, а также ограничение подвижности стопы. Часто пациенты отмечают, что боль усиливается при длительной ходьбе или стоянии.
Каковы основные методы лечения остеохондропатии бугра пяточной кости?
Лечение остеохондропатии бугра пяточной кости может включать консервативные методы, такие как физиотерапия, использование ортопедических стелек, противовоспалительные препараты и покой. В некоторых случаях может потребоваться хирургическое вмешательство, если консервативные методы не приносят облегчения.
Как долго может длиться восстановление после лечения остеохондропатии бугра пяточной кости?
Время восстановления после лечения остеохондропатии бугра пяточной кости может варьироваться в зависимости от степени поражения и выбранного метода лечения. Обычно процесс восстановления занимает от нескольких недель до нескольких месяцев, и важно следовать рекомендациям врача для достижения наилучших результатов.
Советы
СОВЕТ №1
Обратитесь к врачу для точной диагностики и назначения лечения. Остеохондропатия бугра пяточной кости требует профессионального подхода, поэтому важно получить рекомендации от специалиста, который сможет оценить степень заболевания и предложить индивидуальную терапию.
СОВЕТ №2
Регулярно выполняйте рекомендованные упражнения для укрепления мышц стопы и голеностопного сустава. Физическая активность поможет улучшить кровообращение и снизить нагрузку на поражённую область, что может способствовать восстановлению.
СОВЕТ №3
Используйте ортопедические стельки или обувь, чтобы снизить нагрузку на пяточную кость. Правильная поддержка стопы может уменьшить болевые ощущения и предотвратить дальнейшее ухудшение состояния.
СОВЕТ №4
Следите за своим весом и старайтесь избегать избыточной нагрузки на ноги. Избыточный вес может усугубить симптомы остеохондропатии, поэтому важно поддерживать здоровый образ жизни и сбалансированное питание.





