Клиническая картина заболевания
ению физической активности;
* избыточном весе;
* неправильной обуви.
Лечение артроза пяточной кости направлено на уменьшение болевого синдрома, восстановление функции сустава и замедление прогрессирования заболевания. Основные методы включают:
- Медикаментозная терапия. Применяются нестероидные противовоспалительные препараты (НПВП) для снятия боли и воспаления. В некоторых случаях назначают хондропротекторы для восстановления хрящевой ткани.
- Физиотерапия. Используются процедуры, такие как ультразвук, магнитотерапия и электрофорез, которые помогают улучшить кровообращение и снизить воспаление.
- Лечебная физкультура. Специальные упражнения помогают укрепить мышцы и улучшить подвижность сустава.
- Ортопедические средства. Использование стелек, бандажей и специализированной обуви может снизить нагрузку на суставы и улучшить комфорт при ходьбе.
- Хирургическое вмешательство. В тяжелых случаях может потребоваться операция, например, артроскопия или эндопротезирование.
Важно помнить, что ранняя диагностика и комплексный подход к лечению могут значительно улучшить качество жизни пациента и замедлить прогрессирование заболевания. Регулярные осмотры у врача и соблюдение рекомендаций помогут контролировать состояние суставов и предотвратить осложнения.
Врачи отмечают, что лечение артроза суставов стопы требует комплексного подхода. В первую очередь, важно провести точную диагностику, чтобы определить степень заболевания и сопутствующие патологии. Консервативные методы, такие как физиотерапия, лечебная физкультура и использование ортопедических стелек, могут значительно облегчить состояние пациента. Врачами также рекомендуется применение противовоспалительных препаратов и хондропротекторов для замедления прогрессирования заболевания. В случаях, когда консервативные методы не приносят облегчения, может потребоваться хирургическое вмешательство. Специалисты подчеркивают, что раннее обращение к врачу и соблюдение рекомендаций помогут сохранить подвижность суставов и улучшить качество жизни пациентов.
https://youtube.com/watch?v=5HcJHGuybqU
Классификация заболевания
Как и любая другая болезнь опорно-двигательного аппарата, артроз суставов ног проходит несколько этапов развития:
- На начальной стадии возникают легкие болевые ощущения в области стоп. При физической активности они усиливаются, и пациент начинает быстро утомляться.
- Артроз второй степени характеризуется усилением дискомфорта, ощущением скованности в суставах и появлением небольших узелков в области деформированных суставов.
- На последней стадии заболевания изменения формы сустава становятся заметными, а двигательные рефлексы практически полностью отсутствуют.
Артроз стопы затрагивает хрящи, защищающие костные поверхности. Ткани теряют эластичность, начинают разрушаться, а их амортизационные свойства ухудшаются. Из-за постоянных внешних воздействий костные поверхности испытывают значительные нагрузки. Уменьшение толщины хряща нарушает кровоснабжение тканей и приводит к образованию костных наростов. Тяжесть заболевания усугубляется искривлением пальцев и их неподвижностью. Эта форма артроза сложно поддается лечению. На фоне заболевания могут развиться бурсит, артрит и синовит.
Запущенный артроз суставов стопы может полностью лишить человека возможности двигаться, что приводит к утрате трудоспособности. В некоторых случаях изменения становятся необратимыми.
| Метод лечения | Описание | Плюсы/Минусы |
|---|---|---|
| Медикаментозная терапия (НПВС, хондропротекторы, глюкокортикоиды) | Применение лекарственных препаратов для снятия боли, воспаления и замедления разрушения хряща. | Плюсы: Быстрое снятие боли и воспаления. Минусы: Возможны побочные эффекты, не лечит причину заболевания, эффект временный. |
| Физиотерапия (УВЧ, магнитотерапия, лазерная терапия) | Использование физических факторов для улучшения кровообращения, уменьшения боли и воспаления. | Плюсы: Безболезненно, мало побочных эффектов. Минусы: Не всегда эффективно, требуется курс процедур. |
| Лечебная физкультура (ЛФК) | Специально подобранные упражнения для укрепления мышц, улучшения подвижности суставов и снижения нагрузки на пораженные участки. | Плюсы: Укрепляет мышцы, улучшает подвижность, предотвращает дальнейшее разрушение суставов. Минусы: Требует регулярных занятий, может быть болезненно на начальных этапах. |
| Ортопедические средства (ортезы, стельки) | Использование специальных приспособлений для поддержки стопы, снижения нагрузки на суставы и коррекции деформаций. | Плюсы: Снижает боль, улучшает биомеханику стопы. Минусы: Не лечит причину заболевания, может быть неудобно. |
| Хирургическое вмешательство (артроскопия, артропластика) | Оперативное лечение в запущенных случаях, когда консервативные методы неэффективны. | Плюсы: Возможность восстановления функции сустава. Минусы: Риск осложнений, длительный реабилитационный период. |
| Инъекции гиалуроновой кислоты | Введение препарата в сустав для улучшения амортизации и смазки. | Плюсы: Улучшение подвижности и снижение боли. Минусы: Временный эффект, дорогостоящая процедура. |
Как выявляют артроз стопы
Опытный специалист может заметить признаки деформации суставов уже при первом осмотре пациента. Важно выяснить причину заболевания и исключить другие патологии. Для диагностики артроза используются несколько методов.
- Общий и биохимический анализы крови помогают выявить метаболические и эндокринные нарушения.
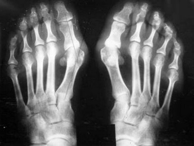
- Рентгенологическое исследование является основным методом диагностики деформирующего артроза. На рентгеновских снимках можно увидеть патологические изменения в хрящах и костях.
- Артроскопия применяется для окончательной диагностики. Этот метод позволяет оценить состояние внутренних структур сустава.
Лечение артроза суставов стопы вызывает множество обсуждений среди пациентов и специалистов. Многие отмечают, что комплексный подход, включающий медикаментозную терапию, физиотерапию и лечебную физкультуру, дает хорошие результаты. Пациенты делятся положительными отзывами о применении хондропротекторов, которые помогают восстановить хрящевую ткань. Однако не все методы подходят каждому: некоторые отмечают, что традиционные обезболивающие не всегда эффективны и могут вызывать побочные эффекты.
Также популярны альтернативные методы, такие как иглоукалывание и массаж, которые помогают облегчить симптомы. Важно, что многие люди подчеркивают необходимость индивидуального подхода к лечению и консультации с врачом, чтобы избежать усугубления проблемы. В целом, обсуждения показывают, что артроз суставов стопы — это серьезное заболевание, требующее внимательного и комплексного подхода к лечению.
https://youtube.com/watch?v=34msL4d2Cec
Как помочь человеку
При артрозе стопы лечение подбирается с учетом специфики и стадии заболевания. Основная цель терапии — восстановление подвижности ног. Упражнения для стоп улучшают обмен веществ и кровообращение, а также помогают избавиться от дискомфорта. План тренировок должен составлять врач, чтобы предотвратить обострение болезни. Упражнения при артрозе направлены на:
- увеличение эластичности ахиллова сухожилия;
- растяжение пальцев ног;
- укрепление мышечной массы;
- восстановление подвижности суставов.
Лечение артроза стопы также включает соблюдение специальной диеты. В рацион должны входить продукты, богатые кальцием, а также витаминами Е и В. Эти вещества содержатся в проросшей пшенице, орехах и молочных продуктах. Можно использовать аптечные витаминные добавки. Артроз требует ограничения потребления соли.
В домашних условиях полезно делать ножные ванночки с отварами трав. Они помогают снять болевые ощущения и чувство тяжести в ногах. Примочки с медом и солью также показывают отличные результаты.
Хороший эффект можно получить от ванн с бишофитом. Этот природный минерал содержит микроэлементы, которые положительно влияют на состояние мышечных и хрящевых тканей. Бишофит можно использовать и в виде компрессов.
Диета должна быть направлена на устранение причин, вызывающих дегенеративные изменения в хрящах и костях. Лишний вес — главный фактор, способствующий возникновению проблем с суставами. Из рациона следует исключить:
- кондитерские изделия;
- шоколад;
- продукты с высоким содержанием быстрых углеводов.
Необходимо полностью отказаться от алкоголя. Рекомендуется употреблять как можно больше:
- молочных продуктов;
- нежирной рыбы;
- овощей;
- фруктов.
Перед выбором диеты обязательно проконсультируйтесь с лечащим врачом.
Артроз стопы сопровождается нарушением кровообращения и оттока лимфы. Лечебный массаж помогает восстановить эти процессы. Начинать массаж следует с кончиков пальцев, двигаясь к голеностопному суставу. Эффективность процедуры возрастает, если завершить ее прогреванием или парафиновыми аппликациями. Специальные стельки, используемые при плоскостопии и артрозе, оказывают лечебное действие. Они помогают предотвратить деформацию суставов и восстанавливают функции стопы. Правильно подобранные стельки позволяют пациенту передвигаться без боли.
Хирургическое вмешательство применяется, если медикаментозные и физиотерапевтические методы не дают результатов. Существует несколько видов операций, применяемых при артрозе стопы:
- Сращение суставов — фиксация костей в пораженной области с помощью пластин или винтов. После заживления палец становится неподвижным.
- Эндопротезирование — замена частей голеностопного сустава на искусственные аналоги. Эта операция позволяет лечить запущенные формы заболевания.
Медикаментозное лечение направлено на снятие воспалительного процесса и улучшение состояния хрящевой ткани. Гормональные препараты могут вводиться в полость сустава. Для местного лечения используются согревающие и обезболивающие гели. Физиотерапевтические процедуры включают прогревание пораженной области. Наиболее эффективными являются:
- лазеротерапия;
- УВЧ;
- УФО;
- электрофорез.
Профилактика
Люди с артрозом стопы должны выбирать свободную и комфортную обувь, которая не ограничивает движения. Обувь должна иметь гибкую подошву и хорошую амортизацию. В теплое время года полезно гулять босиком по траве. Важно следить за питанием и контролировать вес. Специальные физические упражнения помогают предотвратить заболевания, такие как артрит и артроз.
Не стоит дожидаться запущенной стадии заболевания, так как лечение в этом случае станет крайне затруднительным.
Как лечить артроз стопы в домашних условиях?
https://youtube.com/watch?v=YQHbOz_fhkQ
Народные способы лечения
Методы альтернативной медицины следует использовать в сочетании с традиционными подходами:
-
Настойка сабельника считается одной из самых эффективных. Это подтверждают многочисленные положительные отзывы пациентов. Для ее приготовления нужно взять 100 г сухого сырья и 1 литр водки. Смесь настаивается в темном и прохладном месте в течение 21 дня. После этого настой процеживают и принимают по 1 столовой ложке трижды в день. Также ее можно использовать для растирания пораженных участков, что рекомендуется делать на ночь.
-
Эвкалиптовую настойку готовят из 100 г измельченных листьев, которые заливают 0,5 литра водки. Это средство настаивается в течение недели, после чего его применяют для нанесения на область больного сустава.
-
Листья алоэ тщательно промывают и мелко нарезают. 50 мл сока смешивают с 100 г меда и 100 мл водки. Полученную смесь настаивают в течение двух недель, после чего используют в виде компрессов.
-
Пчелиный яд помогает устранить боль и симптомы воспаления, восстанавливая подвижность сустава стопы. Его применяют для растирания пораженных участков.
Вопрос-ответ
Какой самый лучший препарат при артрозе?
Наиболее эффективными препаратами для лечения артроза являются нестероидные противовоспалительные средства. Парацетамол – препарат выбора для лечения артроза коленного сустава и других локализаций у пациентов с умеренным болевым синдромом.
Можно ли много ходить при артрозе стопы?
Занятия не имеют противопоказаний. Ходить можно в любом возрасте, даже при сильно развитом артрозе суставов.
Советы
СОВЕТ №1
Регулярно выполняйте специальные упражнения для укрепления мышц и связок стопы. Это поможет улучшить подвижность суставов и снизить болевые ощущения. Консультируйтесь с врачом или физиотерапевтом для подбора индивидуального комплекса упражнений.
СОВЕТ №2
Обратите внимание на свою обувь. Выбирайте удобную и поддерживающую обувь с амортизацией, чтобы снизить нагрузку на суставы. Избегайте высоких каблуков и узкой обуви, которые могут усугубить состояние суставов.
СОВЕТ №3
Следите за своим весом. Избыточный вес создает дополнительную нагрузку на суставы, что может ухудшить состояние при артрозе. Правильное питание и физическая активность помогут контролировать вес и улучшить общее состояние здоровья.
СОВЕТ №4
Используйте холодные и горячие компрессы для облегчения боли и воспаления. Холодные компрессы помогают уменьшить отек, а горячие — расслабить мышцы и улучшить кровообращение. Чередуйте эти методы для достижения наилучшего эффекта.




