Причины возникновения заболевания
Природа юношеского эпифизеолиза до конца не изучена.
Среди известных причин данной патологии выделяют:
- травматические переломы, часто приводящие к повреждениям лучевой кости, бедренной кости при ушибах коленного сустава, а также плечевой кости при падениях, особенно с высоты;
- дисбаланс между секрецией половых желез и гормонами роста, что может вызвать эпифизеолиз головки бедренной кости;
- худощавое и высокое телосложение детей, затрудняющее кровообращение и минеральный обмен в области головки бедра;
- генетическую предрасположенность.
Кроме того, заболевание у подростков может развиваться при:
- слабом связочном аппарате;
- серьезных эндокринных расстройствах;
- хронической почечной недостаточности;
- проведении рентгенотерапии.
К группе риска относятся:
- мальчики;
- гиперактивные дети с быстрым ростом;
- подростки, занимающиеся травмоопасными видами спорта.
Эпифизеолиз, или смещение эпифиза, чаще всего наблюдается у подростков и связан с несколькими факторами. Врачи отмечают, что одной из основных причин является нарушение гормонального фона, особенно в период активного роста. Также важную роль играют травмы, которые могут возникнуть как в результате спортивных нагрузок, так и в повседневной жизни. В некоторых случаях предрасположенность к эпифизеолизу может быть связана с наследственными факторами.
Лечение эпифизеолиза зависит от степени смещения и состояния пациента. Врачами рекомендуется консервативный подход для легких случаев, который включает покой, иммобилизацию и физиотерапию. В более серьезных ситуациях может потребоваться хирургическое вмешательство для восстановления нормального положения эпифиза. Важно, чтобы лечение проводилось под наблюдением специалиста, так как неправильное обращение с данной травмой может привести к долгосрочным последствиям для здоровья пациента.
https://youtube.com/watch?v=q0uoOThwJWc
Локализация и характерные симптомы
Существует несколько типов эпифизеолиза, классифицируемых по особенностям и локализации перелома:
- закрытый;
- наружной лодыжки;
- головки тазобедренного сустава;
- локтевой кости.
Основные признаки заболевания:
- увеличение амплитуды наружной ротации (движение конечности вокруг своей оси);
- ограничение внутренней ротации;
- затруднение в отведении бедра при попытке выпрямить ногу;
- частичный наклон корпуса вперед.
Симптомы травм могут проявляться следующим образом:
- боли, усиливающиеся под нагрузкой;
- гематомы;
- отеки;
- ограниченная подвижность поврежденной конечности.
Признаки заболеваний, вызванных гормональным дисбалансом:
- длительные боли в области паха, иррадиирующие в коленный сустав;
- нарушение равновесия при движении, хромота, «утиная походка» при поражении обеих ног;
- потеря способности переносить центр тяжести на больную ногу.
Кроме того, заболеванию часто сопутствуют:
- атрофия мышц голени и ягодиц;
- кожные стрии (растяжки);
- повышение артериального давления;
- недоразвитие или гипофункция половых желез.
С прогрессированием смещения головки бедра наблюдаются следующие изменения:
- при попытке сгибания ноги возникает латеральное (боковое) отклонение и наружная ротация бедра;
- при опоре на больную ногу таз опускается с противоположной стороны;
- при попытке совместить стопы таз смещается вперед.
| Причина эпифизеолиза | Симптомы эпифизеолиза | Методы лечения эпифизеолиза |
|---|---|---|
| Быстрый рост в подростковом возрасте | Боль в бедре, ограничение подвижности, хромота, припухлость в области бедра | Консервативное лечение (постельный режим, ограничение физической активности, обезболивающие препараты) |
| Наследственная предрасположенность (генетические факторы) | Изменение походки, боль усиливается при нагрузке, ощущение “щелчка” в бедре | Хирургическое лечение (остеотомия, фиксация винтом) |
| Гормональные нарушения (гипотиреоз, гипогонадизм) | Укорочение ноги, нарушение осанки, атрофия мышц бедра | Гормональная заместительная терапия |
| Дефицит витамина D | Слабость в ноге, боль в колене (иногда) | Прием витаминно-минеральных комплексов, коррекция питания |
| Травмы (микротравмы, переломы) | Отек, гематома, деформация ноги | Иммобилизация, хирургическое вмешательство (в случае перелома) |
| Ожирение | Боль в бедре, ограничение подвижности | Похудение, физиотерапия |
| Некоторые заболевания (например, гипофосфатемия) | Боль, ограничение движений, деформация сустава | Лечение основного заболевания |
Методы диагностики
Выявление эпифизеолиза начинается с тщательного сбора анамнеза. У мальчиков основными причинами обращения к врачу часто становятся травмы бедренной кости и падения с высоты. У девочек это могут быть резкие движения при выполнении «шпагата». После сбора анамнеза проводится ортопедическое и общее клиническое обследование пациентов.
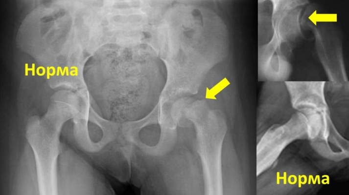
Для окончательной диагностики эпифизеолиза применяются инструментальные методы, такие как рентгенография и магнитно-резонансная томография. На рентгеновских снимках в двух проекциях можно заметить размытые границы эпифиза и увеличение ростковой хрящевой ткани. В области метафиза, рядом с эпифизарной пластинкой, отсутствует характерный сетчатый рисунок в зоне роста. Костная структура головки бедра остается неизменной, тогда как шейка приобретает слоисто-пятнистый вид.
В более запущенных случаях могут наблюдаться следующие изменения:
- выпрямление верхнего контура шейки бедра, имеющего полуовальную форму;
- уменьшение высоты эпифиза;
- утолщение и укорочение шейки бедра с образованием шипа.
При прогрессировании заболевания эпифиз смещается назад, под ним формируется «шпора», а суставная щель начинает сужаться.
Радионуклидное обследование позволяет оценить прогноз функционирования бедренной кости.
Эпифизеолиз — это состояние, при котором происходит смещение эпифиза кости, что может привести к серьезным последствиям, особенно у детей и подростков. Основные причины его развития включают травмы, чрезмерные физические нагрузки, а также некоторые генетические и эндокринные факторы. Люди часто отмечают, что неправильная техника выполнения упражнений или недостаточная подготовка перед физической активностью могут способствовать возникновению этой проблемы.
Лечение эпифизеолиза зависит от степени смещения и состояния пациента. В большинстве случаев требуется хирургическое вмешательство для восстановления нормального положения кости. После операции важно пройти реабилитацию, которая включает физиотерапию и постепенное возвращение к физической активности. Многие специалисты подчеркивают важность профилактики, включая регулярные осмотры у врача и соблюдение правил безопасности при занятиях спортом, чтобы избежать повторного возникновения эпифизеолиза.
https://youtube.com/watch?v=tmC3jbvl_aI
Лечебные меры
Опасные изменения в конечностях можно предотвратить только при быстром обращении к специалистам: ортопедам, травматологам или хирургам. После диагностики эпифизеолиза шейки бедренной кости или наружной лодыжки у детей врачи разрабатывают план лечения, учитывая тип перелома и стадию заболевания.
Болезнь может прогрессировать даже при длительной иммобилизации поврежденной кости и отсутствии нагрузок на нее, поэтому в большинстве случаев требуется хирургическое вмешательство. В настоящее время внутрисуставные операции не проводятся, так как открытое вправление головки бедра может привести к ограничению подвижности сустава и асептическому некрозу (разрушению костной ткани из-за нарушения кровоснабжения).
Применяются следующие методы лечения:
- На первой стадии заболевания иногда достаточно гипсовой повязки. Однако чаще всего в шейку и головку бедра устанавливают штифт для фиксации отломков или используют спицы и тонкие гвозди, которые удаляются после закрытия зоны роста.
- На второй стадии (хроническая форма с смещением эпифиза назад менее чем на 30°) применяются спицы и трансплантаты.
- На третьей стадии (при смещении головки более чем на 30°) необходимо провести остеотомию (удаление дефекта путем искусственного рассечения костной ткани). Отломки удаляются, а фрагменты костей фиксируются спицами, винтами или пластинами. Операция выполняется поэтапно: сначала создается соединение между эпифизом и метафизом, а после закрытия ростковой зоны проводится коррекционная остеотомия.
- На четвертой стадии (полное смещение эпифиза) применяется закрытая репозиция (совмещение отломков кости без повреждения тканей) с последующим вытяжением скелета на срок около одного месяца. Затем выполняется остеосинтез головки и шейки бедра с использованием спиц и костного трансплантата. Репозиция может осуществляться как вручную хирургом, так и с помощью специального аппарата.
- При пятой стадии заболевания (закрыта ростковая зона, смещение эпифиза превышает 30°, имеются остаточные деформации) проводится коррекционная остеотомия, но чаще ограничиваются наложением гипсовой повязки.
Внимание! Видео — операция. Не рекомендуется для лиц до 18 лет, беременных и людей с нестабильным психическим состоянием.
Заключение
Необходимо предотвратить прогрессирование заболевания у ребенка. Поздняя диагностика и отсутствие терапии могут привести к полной остановке роста кости, затронутой эпифизеолизом. Это увеличивает риск асимметрии нижних конечностей и хромоты в зрелом возрасте. Последствия могут быть серьезными: существует вероятность асептического некроза кости и хондролиза (разрушения хрящевой ткани).
Единственный способ избежать этого заболевания у подростков — соблюдать меры предосторожности во время физических нагрузок, активных игр и занятий спортом.
Родители должны внимательно следить за состоянием здоровья детей и при любых травмах верхних или нижних конечностей незамедлительно обращаться к врачу.
https://youtube.com/watch?v=vsGxprKVAoo
Вопрос-ответ
Как лечить эпифизеолиз?
Лечение эпифизеолиза зависит от его типа и степени. В некоторых случаях оно подразумевает консервативные методы — физиотерапия, наложение гипса или использование специальных ортопедических стелек для обуви.
Что такое эпифизеолиз простыми словами?
Эпифизеолиз (перелом Салтера-Харриса) – травматическое повреждение костей, которое развивается только у пациентов детского возраста в период продолжающегося роста скелета. Впервые был описан. Составляет около 15% от общего количества переломов у детей.
Что такое эпифизеолиз позвонка?
Эпифизеолиз – это нарушение целостности кости по линии, которая полностью или частично проходит через хрящевую эпифизарную пластинку (зону роста). Возникает в детском возрасте, до закрытия ростковых зон. Проявляется отеком, болью и нарушением функции.
Что такое эпифизеолиз тазобедренного сустава?
Эпифизеолиз головки бедренной кости – это смещение шейки бедра вверх и вперед относительно эпифиза бедра. Диагноз ставится на основании рентгенографии обоих бедер; иногда требуется дополнительная визуализация. Лечение подразумевает проведение восстановительной операции.
Советы
СОВЕТ №1
Регулярно проходите медицинские осмотры, особенно если у вас есть предрасположенность к заболеваниям опорно-двигательного аппарата. Это поможет выявить проблемы на ранних стадиях и предотвратить развитие эпифизеолиза.
СОВЕТ №2
Обратите внимание на свой рацион питания. Убедитесь, что в вашем меню достаточно кальция и витамина D, которые необходимы для здоровья костей. Это может снизить риск развития заболеваний, связанных с эпифизеолизом.
СОВЕТ №3
Избегайте чрезмерных физических нагрузок и травм, особенно в подростковом возрасте, когда кости и суставы еще формируются. Правильная техника выполнения упражнений и использование защитного снаряжения могут помочь предотвратить травмы.
СОВЕТ №4
Если у вас уже диагностирован эпифизеолиз, следуйте рекомендациям врача и не пренебрегайте реабилитацией. Это поможет восстановить функцию сустава и предотвратить дальнейшие осложнения.



