Признаки остеопороза
Данное заболевание является системным, так как возникает из-за изменений в одной из функциональных систем организма. Остеопороз развивается при преобладании процессов разрушения костной ткани над ее восстановлением.
В результате кости теряют способность удерживать основной структурный элемент — кальций. Нарушение баланса между поступлением и выведением кальция приводит к его быстрому вымыванию из костной ткани.
Со временем кости становятся пористыми и губчатыми, что делает их хрупкими и увеличивает риск переломов даже при минимальных физических нагрузках, неосторожных движениях, ушибах или ударах.
Наиболее подвержены этому
Врачи отмечают, что выбор эффективных лекарств от остеопороза зависит от индивидуальных особенностей пациента и стадии заболевания. Наиболее распространенными средствами являются бисфосфонаты, которые помогают замедлить потерю костной массы и снижают риск переломов. Также врачи рекомендуют препараты на основе деносумаба, которые действуют на клетки, отвечающие за разрушение костной ткани. В последние годы на рынке появились новые препараты, такие как терипаратид, который стимулирует образование новой костной ткани. Однако, несмотря на эффективность, важно учитывать возможные побочные эффекты и противопоказания. Врачи подчеркивают, что комплексный подход, включающий физическую активность и правильное питание, играет не менее важную роль в лечении остеопороза. Регулярные обследования и консультации со специалистами помогут подобрать оптимальную терапию для каждого пациента.
https://youtube.com/watch?v=D1cxUOCSdgQ
Классификация остеопороза
На первый взгляд, это заболевание может показаться простым для диагностики, понимания его причин и оценки последствий. Однако на деле ситуация оказывается более сложной. Остеопороз делится на две основные категории: первичный и вторичный.
Первичный остеопороз возникает у женщин в период постменопаузы и подразделяется на несколько возрастных групп:
- сенильный (старческий);
- идиопатический — заболевание, характерное для мужчин в возрасте от 20 до 50 лет;
- ювенальный (подростковый), проявляющийся до 20 лет.
Вторичный остеопороз развивается как следствие перенесенных заболеваний. Его классифицируют в зависимости от болезней, которые стали причиной разрушения костной ткани. К факторам, вызывающим дисбаланс, относятся:
- ревматические заболевания;
- эндокринные расстройства, затрагивающие щитовидную и паращитовидную железы;
- онкологические заболевания, особенно миелома и метастазы в костях;
- влияние медикаментов, содержащих гормоны.
Лекарственный остеопороз — одна из наиболее распространенных форм этого заболевания. Он может возникнуть в результате применения глюкокортикостероидов, противосудорожных препаратов, гепаринов и других медикаментов.
| Лекарственное средство | Механизм действия | Побочные эффекты (частые) |
|---|---|---|
| Бифосфонаты (например, Аллендронат, Ризедронат) | Ингибируют резорбцию костной ткани остеокластами | Диспепсия, эзофагит, боль в костях и мышцах |
| Денсумаб | Моноклональное антитело, ингибирующее RANKL, фактор, необходимый для образования остеокластов | Инфекции, боль в костях |
| Ранэлаат | Увеличивает костную массу, стимулируя образование кости и уменьшая резорбцию | Запор, тошнота, отеки |
| Кальцитонин | Снижает активность остеокластов | Тошнота, покраснение лица |
| Терипаратид | Паратгормон, стимулирующий образование костной ткани | Головная боль, тошнота, головокружение |
Факторы риска возникновения остеопороза
Ранее упоминалось, что это заболевание чаще всего встречается у пожилых людей, особенно у женщин. Однако классификация недуга показывает, что существуют значительные исключения.
Вероятность возникновения заболевания возрастает при наличии следующих факторов:
-
Низкое содержание кальция в рационе. Это может быть связано с несбалансированным питанием или длительным соблюдением лечебных диет, в которых недостаточно продуктов, богатых кальцием. Проблемы с усвоением этого минерала могут возникнуть при нарушениях всасывания витаминов и минералов.
-
Недостаток физической активности. Речь идет не о полном отсутствии нагрузки, а о малоподвижном образе жизни, который может возникнуть из-за длительного постельного режима при тяжелых заболеваниях или после переломов. Даже отсутствие видимых причин для малоподвижности может привести к проблемам с костями в любом возрасте.
-
Гормональный дисбаланс. Обычно вымывание кальция из костей связано с нарушениями в работе паращитовидной и щитовидной желез, гипофиза и половых желез.
-
Вторичный остеопороз. Может развиться на фоне заболеваний крови, пищеварительной и сердечно-сосудистой систем. Проблемы с кальцием в костях могут возникнуть после ревматизма, при почечной недостаточности и сахарном диабете.
-
Недостаток кальция в костях. Может быть вызван чрезмерным потреблением алкоголя, курением и крепким кофе. Удивительно, но газированные напитки также представляют серьезную угрозу, так как способствуют вымыванию кальция.
Таким образом, остеопороз не является исключительно следствием возрастных изменений и не затрагивает только женщин. Тем не менее, женщины старше пятидесяти лет определенно попадают в группу риска.
Мнения людей о лекарствах от остеопороза варьируются, но многие отмечают их значимость в поддержании здоровья костей. Пациенты, принимающие бисфосфонаты, часто делятся положительными отзывами о снижении риска переломов и улучшении плотности костной ткани. Однако некоторые выражают беспокойство по поводу побочных эффектов, таких как желудочно-кишечные расстройства. Другие предпочитают препараты на основе деносумаба, отмечая удобство инъекций раз в полгода. Важно, что многие пациенты подчеркивают необходимость комплексного подхода, включая физическую активность и правильное питание, что в сочетании с медикаментозной терапией помогает достичь наилучших результатов. Общая тенденция — стремление к более активной жизни и улучшению качества жизни, что вдохновляет людей продолжать лечение и следить за своим состоянием.
https://youtube.com/watch?v=IdHLUtO4CQQ
Последствия остеопороза
Основной проблемой данной болезни являются изменения в организме. Поражаются не только кости, но и зубы, волосы, ногти. Нехватка кальция в костях, вызванная нарушениями его поступления и усвоения, приводит к сбоям в обмене веществ. Это, в свою очередь, снижает иммунитет и может способствовать образованию новообразований.
Деформация костей вызывает проблемы с осанкой, может привести к образованию грудного горба (выраженной сутулости) и быстрому уменьшению роста. Человек как бы “оседает” из-за уменьшения объема костей. На ранних стадиях заболевания снижение роста может достигать 2,5 см в год. Внешний вид человека также меняется из-за искривления позвоночника, что делает его ниже привычного роста.
Подвижность позвоночника снижается. Похожая ситуация наблюдается и в суставной системе. Мелкие суставы становятся менее подвижными, что затрудняет выполнение мелкой работы.
Изменения в костях тазобедренной области, стопах и голенях создают трудности при ходьбе. Человек быстро утомляется, а при незначительных физических нагрузках может ощущать боль в костях и суставах, а также судороги в мышцах нижних конечностей, усиливающиеся ночью.
В суставах и позвоночнике возникают ноющие, тупые и иногда острые боли. Эти симптомы особенно выражены в сидячем или стоячем положении, а также при изменении погоды.
При травматических воздействиях увеличивается риск компрессионных переломов позвонков, а также переломов и трещин в лучевой кости и тазобедренных суставах. Позвонки могут быть повреждены при резких поворотах, в том числе в постели, или при поднятии тяжестей в неудобной позе. В момент перелома возникает острая боль, и меняется характер движения поврежденной конечности.
Остеопороз можно вылечить, если его возникновение не связано с необратимыми возрастными изменениями. Лечение направлено на компенсацию потери кальция и замедление процесса деградации костей. Однако для этого необходимо точно установить диагноз, так как именно от него зависит правильность и эффективность лечения.
Как проводится диагностика заболевания
При установлении диагноза в первую очередь учитываются начальные симптомы, факторы, способствующие заболеванию, прогрессирование признаков и история болезни. Врач сначала формирует общее представление о болезни на основе жалоб пациента, а затем собирает объективные данные с помощью различных методов.
-
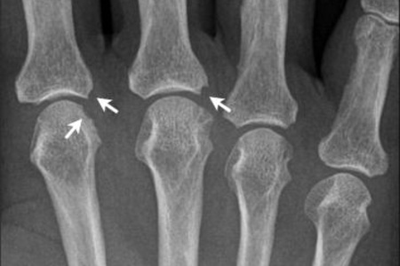
Рентгенологические исследования. Снимки костей помогают выявить характерные изменения, однако их можно заметить только при потере более трети костной массы. Лечение остеопороза на этой стадии представляет значительные трудности.
-
Компьютерная томография. Этот метод обеспечивает раннюю диагностику и эффективное лечение. Однако его недостаток — невозможность обследовать весь скелет одновременно, что делает процесс томографического исследования трудоемким.
-
Денситометрия. Этот метод оценивает темпы утраты костной массы. С его помощью можно обнаружить потерю костной массы в диапазоне от 2 до 5%, а также определить уровень кальция, мышечную массу и количество жира в организме. Измерения проводятся с учетом возраста и пола пациента. Денситометрия безопасна, безболезненна и занимает всего несколько минут. Она не вызывает побочных эффектов и предоставляет наиболее точные данные о состоянии костей, поэтому ее можно проводить многократно.
https://youtube.com/watch?v=FbTl1qwGzTk
Основные принципы лечения остеопороза
Для назначения адекватного лечения важно определить степень тяжести заболевания. Они классифицируются следующим образом:
- первая степень — пограничные изменения;
- вторая степень — легкая, характеризующаяся снижением плотности костной ткани;
- третья степень — умеренная, с выраженным уменьшением плотности костей;
- четвертая степень — тяжелая форма, проявляющаяся резким увеличением прозрачности кости и клиновидной деформацией более одного позвонка.
Эти методы позволяют установить наличие заболевания, его стадию и степень изменений. Чтобы подобрать подходящие медикаменты, необходимо выяснить причину болезни.
Пациенты с данным диагнозом делятся на две группы. Первая группа состоит из людей, страдающих заболеваниями, связанными с возрастом. Им нужны препараты, которые помогут снизить последствия разрушения костной ткани и восполнить нехватку кальция.
Лечение вторичного остеопороза должно решать две основные задачи: устранение причин заболевания и восполнение потерь кальция.
Из-за разнообразия причин этого заболевания терапия делится на несколько категорий:
- Основная терапия. Она включает препараты, воздействующие на обменные процессы в костях и нормализующие уровень кальция. Эти лекарства принимаются длительными курсами или с периодическими перерывами.
- Гормонозаместительная терапия. Она направлена на коррекцию гормонального дисбаланса, ставшего причиной заболевания, особенно у женщин в период раннего климакса. Лекарства помогают уменьшить симптомы климакса и снизить риск остеопороза.
- Симптоматическая терапия. Остеопороз может вызывать болевые ощущения и провоцировать воспалительные процессы в суставах, сухожилиях и мышцах. Эти проявления являются не только следствием заболевания, но и дополнительными симптомами.
- Если остеопороз затрагивает суставы, особенно тазобедренный или коленный, это может потребовать хирургического вмешательства.
- В случаях, когда консервативное лечение не приносит результатов, может потребоваться эндопротезирование суставов. Это крайняя мера, но в некоторых ситуациях она может стать единственным способом избежать серьезной инвалидности.
Этот список охватывает все возможные методы борьбы с разрушением костной ткани, однако приоритет всегда отдается медикаментозным средствам основной терапии.
Средства лечения остеопороза
Лечение остеопороза требует применения препаратов, замедляющих разрушение костной ткани. Важно также обеспечить организм достаточным количеством кальция.
Люди из группы риска часто начинают активно употреблять продукты, богатые кальцием, добавляют в рацион толченую яичную скорлупу и приобретают витаминно-минеральные комплексы с высоким содержанием кальция.
Однако такие меры могут оказаться неэффективными без соблюдения определенных рекомендаций. Прием кальция не должен основываться на принципе “чем больше, тем лучше”. Суточная доза не должна превышать 1 грамма, а разовая — 600 мг.
Для полноценного усвоения кальция организму необходимы витамины D и В12. Это означает, что препараты для восполнения дефицита кальция должны содержать и эти витамины.
Другой подход заключается в дополнении потребления кальция витамином D в дозировке 800 МЕ. Однако стоит помнить, что жирорастворимые витамины, такие как D, могут накапливаться в организме и вызывать интоксикацию при передозировке.
Рекомендуется принимать витамин D в форме эргокальциферола (D2) или холекальциферола (D3). Для восстановления баланса кальция, витамина D и В12 лучше использовать специализированные препараты, адаптированные для лечения остеопороза.
Специалисты советуют обратить внимание на следующие средства:
- “Остеогенон”;
- “Альфа Д3-Тева”;
- “Кальцемин Адванс”.
Особое внимание стоит уделить “Остеогенону”, который, помимо кальция и фосфатов, содержит оссеин — вещество, способствующее не только восполнению дефицита, но и активирующее остеосинтез.
Наиболее распространенными средствами от остеопороза являются бисфосфонаты. Эта группа препаратов отличается высокой эффективностью и удобством в применении. Бисфосфонаты имеют пролонгированное действие, что позволяет принимать их всего по одной таблетке раз в неделю. Однако выбор подходящего препарата из этой группы может быть сложной задачей.
Препараты нового поколения, такие как “Фороза”, требуют минимального количества — всего 70 мг один раз в неделю для поддержания терапевтического эффекта.
Хотя стоимость бисфосфонатов может быть высокой, их эффективность и экономичность делают их доступными в контексте серьезности заболевания.
Производители также разработали более эффективные средства на основе золедроновой кислоты, такие как “Резокластин” и “Акласта”. Несмотря на высокую цену (например, “Акласта” стоит около 19000 рублей), эти препараты обладают рядом привлекательных характеристик, так как курс лечения включает всего один укол в год.
Препараты золедроновой кислоты имеют минимальные побочные эффекты, которые, как правило, быстро проходят.
Кроме золедроновой кислоты, в современной терапии остеопороза применяются препараты ибандроновой кислоты, “Деносумаб” и “Форстео”.
Все эти средства прошли клинические испытания, получили положительные отзывы и зарекомендовали себя как эффективные в борьбе с остеопорозом.
Лечение бисфосфонатами отличается быстрым эффектом, позволяя избавиться от болей без инъекций или таблеток. В таких случаях достаточно использовать мази с противоболевым эффектом, а в экстренных ситуациях можно прибегнуть к обычным обезболивающим, таким как “Аспирин” или “Ибупрофен”.
Остеопороз — это заболевание, которое не является тяжелым, но представляет серьезную опасность. Проблема заключается не только в повышенном риске переломов, но и в том, что заболевание может привести к снижению работоспособности и жизненной активности, создавая предпосылки для развития других заболеваний.
Вопрос-ответ
Какие основные группы препаратов используются для лечения остеопороза?
Существует несколько основных групп препаратов для лечения остеопороза, включая бисфосфонаты, гормональные препараты (например, эстрогены и тестостерон), а также препараты на основе деносумаба и ралоксифена. Бисфосфонаты, такие как алендронат и ризедронат, являются наиболее распространенными и помогают замедлить потерю костной массы.
Как долго нужно принимать лекарства от остеопороза для достижения эффекта?
Длительность лечения остеопороза зависит от конкретного препарата и индивидуальных особенностей пациента. Обычно рекомендуется принимать бисфосфонаты в течение 3-5 лет, после чего может быть проведена оценка состояния костной ткани. В некоторых случаях может потребоваться продолжение терапии для поддержания здоровья костей.
Существуют ли побочные эффекты у препаратов для лечения остеопороза?
Да, как и у любых лекарств, у препаратов для лечения остеопороза могут быть побочные эффекты. Наиболее распространенные включают желудочно-кишечные расстройства, такие как тошнота и изжога, а также риск развития остеонекроза челюсти и переломов бедра при длительном применении бисфосфонатов. Важно обсудить возможные риски и преимущества с врачом перед началом лечения.
Советы
СОВЕТ №1
Перед началом приема любых лекарств от остеопороза обязательно проконсультируйтесь с врачом. Он поможет подобрать наиболее подходящее средство, учитывая ваши индивидуальные особенности и состояние здоровья.
СОВЕТ №2
Обратите внимание на дополнительные меры, которые могут усилить действие лекарств. Это включает в себя регулярные физические упражнения, богатые кальцием и витамином D продукты, а также отказ от курения и умеренное потребление алкоголя.
СОВЕТ №3
Следите за регулярностью приема назначенных препаратов. Создайте расписание или используйте напоминания, чтобы не пропускать дозы, так как это может снизить эффективность лечения.
СОВЕТ №4
Регулярно проходите обследования и контролируйте уровень минералов в костях. Это поможет оценить эффективность лечения и при необходимости скорректировать терапию.






