Принципы определения степеней заболевания
Магнитно-резонансная томография (МРТ)
Магнитно-резонансная томография (МРТ) — это неинвазивный метод диагностики, который визуализирует костные структуры на экране компьютера. Этот томограф способен обнаруживать даже незначительные нарушения в целостности хрящей. Патологические изменения менисков отображаются на экране и анализируются врачом-специалистом. Метод основан на послойном сканировании тканей, а создание качественного изображения осуществляется благодаря магнитному полю. В процессе происходит эффект ядерного резонанса, в котором участвуют протоны атомов мениска. Энергия, выделяемая в ходе этого процесса, фиксируется специальным датчиком, а изображение формируется с помощью цифровой обработки.
Ортопед определяет стадии патологического процесса в мениске коленного сустава, опираясь на результаты МРТ.
В современной медицине выделяют четыре ключевых принципа, которые помогают диагностировать степень запущенности заболевания:
- анализ степени повреждения;
- оценка интенсивности сигнала;
- определение локализации нарушения;
- выявление распространенности патологического процесса.
Основным критерием классификации по Столлеру является степень тяжести разрушения хрящевой ткани мениска коленного сустава. Ортопеды по всему миру используют методику, разработанную американским доктором медицинских наук, для постановки диагноза и назначения эффективного лечения. Классификация Столлера позволяет своевременно провести хирургическое вмешательство и сохранить полную подвижность колена пациента.
Врачи отмечают, что классификация повреждений мениска по Столлеру является важным инструментом для диагностики и выбора тактики лечения. Согласно этой системе, выделяют три степени повреждения. Первая степень характеризуется небольшими разрывами, которые не влияют на функцию мениска. Вторая степень включает более серьезные повреждения, такие как частичные разрывы, которые могут вызывать боль и ограничение подвижности. Третья степень представляет собой полный разрыв мениска, что требует более агрессивного подхода к лечению, включая возможное хирургическое вмешательство. Врачи подчеркивают, что правильная диагностика и понимание степени повреждения критически важны для успешного восстановления пациента.
https://youtube.com/watch?v=6GZZ22TH-eg
Начальная стадия патологического процесса
Наиболее часто повреждается задний рог медиального мениска, что связано с физиологическими особенностями. С этого момента начинается развитие патологического процесса. Если у вас диагностирована первая степень заболевания, не стоит паниковать. Результаты МРТ показывают, что сигнал повышенной интенсивности имеет точечный характер и не затрагивает хрящ. Патологический очаг располагается внутри мениска. Разница в плотности между пораженными и здоровыми тканями хорошо видна на экране во время МРТ.
На начальном этапе повреждение медиального мениска проявляется слабо. Многие люди даже не подозревают о наличии проблем в коленном суставе. Мениск и его отдельные участки повреждаются лишь частично.
На ранних стадиях развития патологии могут наблюдаться следующие симптомы:
- легкая боль в колене при физической активности;
- небольшая припухлость;
- хруст в суставе при приседаниях или сгибании ноги;
- периодическая неустойчивость и шаткость походки.
Организм адаптируется к возникшим нарушениям. Спустя три недели активируются компенсаторные механизмы, и симптомы становятся менее заметными. В таких случаях выявить патологию бывает сложно, так как у пациента нет явных причин для обращения к врачу. Начальная степень повреждения может быть обнаружена во время планового обследования или при проведении МРТ коленного сустава по другой причине.
| Степень повреждения мениска по Столлеру | Описание повреждения | Клинические проявления |
|---|---|---|
| I степень (незначительное повреждение) | Небольшие трещины, надрывы волокон, без нарушения целостности мениска. | Минимальная боль, незначительный отек, ограничение подвижности незначительное. |
| II степень (повреждение средней степени тяжести) | Разрыв мениска, но с сохранением частичной целостности. | Умеренная боль, отек, ограничение подвижности. Возможно ощущение “щелчка” в колене. |
| III степень (полный разрыв) | Полное разрыв мениска, с нарушением его целостности. Может быть горизонтальный, вертикальный, радиальный разрыв. | Сильная боль, выраженный отек, значительное ограничение подвижности, гемартроз (кровоизлияние в сустав). |
Что представляет собой 2-я степень повреждения
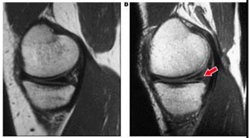
Результаты магнитно-резонансной томографии позволяют различать начальную стадию повреждений и более серьезные состояния. Линейные сигналы повышенной интенсивности, не выходящие за пределы хряща, указывают на повреждение мениска второй степени. При этом анатомическая структура костной ткани остается неизменной, хрящ не отрывается и сохраняет свою форму.
По классификации Столлера, вторая степень характеризуется ярко выраженной клинической симптоматикой. Патология выявляется сразу после появления первых признаков и обращения пациента к ортопеду. Чаще всего повреждается внутренний мениск, который менее подвижен, чем наружный, и требует применения хондропротекторов. Для второй степени повреждения характерны следующие симптомы:
- постоянная боль в суставе;
- усиление дискомфорта при длительном стоянии;
- хруст и щелчки в коленном суставе во время движения;
- отечность и покраснение колена;
- болезненность мягких тканей;
- потеря равновесия;
- нарушение координации движений.
Если у пациента диагностировано повреждение мениска второй степени по Столлеру, назначается консервативное лечение. Эта стадия заболевания может прогрессировать, поэтому важно строго следовать рекомендациям ортопеда. Развитие дегенеративно-дистрофического процесса иногда может привести к разрыву мениска.
Не стоит игнорировать симптомы, характерные для второй степени патологии. Ранняя диагностика имеет решающее значение для сохранения подвижности коленного сустава. Пациентам с выявленной второй стадией нарушения еще возможно оказать помощь с минимальным вмешательством.
Мнения людей о классификации повреждений мениска по Столлеру варьируются. Многие специалисты отмечают, что эта система позволяет четко и наглядно оценить степень повреждения, что особенно важно для выбора правильной тактики лечения. Врачи подчеркивают, что деление на четыре степени помогает не только в диагностике, но и в прогнозировании восстановления пациента. Некоторые пациенты, столкнувшиеся с проблемами мениска, отмечают, что понимание степени повреждения помогает им лучше осознать свою ситуацию и настроиться на лечение. Однако есть и критики, которые считают, что классификация может быть слишком упрощенной и не всегда учитывает индивидуальные особенности каждого случая. В целом, система Столлера остается популярной и широко используемой в спортивной медицине и ортопедии.
https://youtube.com/watch?v=P96e44Ge9HA
Что представляет собой 3-я степень повреждения
Наиболее тяжелая стадия патологического процесса требует повышенного внимания как со стороны врача, так и пациента. Важную роль играют своевременное обращение за медицинской помощью и профессионализм ортопеда. Третья степень заболевания характеризуется полным разрывом мениска коленного сустава. При этом сигналы высокой интенсивности имеют горизонтальную направленность и достигают поверхности хряща. Анатомическая структура нарушается, что четко видно на МРТ. В медицине выделяют подстепень 3а, которая включает не только отрыв, но и смещение хряща.
Третья стадия патологии редко возникает из-за возрастных изменений или врожденных аномалий. Чаще всего разрыв мениска происходит в результате травм. Приседания с тяжелыми весами, высокие прыжки, а также несчастные случаи в быту или на производстве могут привести к повреждению хрящевой ткани. Клинические проявления возникают резко и остро. Для третьей стадии патологии характерны следующие симптомы:
- гемартроз (кровоизлияние в сустав);
- резкая или быстро усиливающаяся боль;
- ограничение движений;
- вынужденное положение голени под углом 30°;
- накопление реактивного выпота;
- покраснение колена.
При третьей степени повреждения мениска заболевание может перейти из острого состояния в хроническое. В любой момент болезнь может обостриться. Рецидив проявляется ярко: сустав может внезапно заклинить, что лишает человека возможности разогнуть ногу. В таких случаях необходимо хирургическое вмешательство.
К ортопеду следует обращаться при первых признаках нарушения. Врач направит пациента на МРТ для определения степени тяжести заболевания. Результаты исследования помогут установить диагноз и назначить адекватное лечение.
Вопрос-ответ
https://youtube.com/watch?v=MVaKfVsJd10
Что такое повреждение мениска 2 степени по Столлер?
Горизонтальное повреждение мениска 2 степени по Stoller указывает на частичное нарушение целостности хрящевой ткани без нарушения общей анатомической структуры. Полного отрыва части хряща ещё нет.
Сколько стадий мениска?
В настоящее время выделяют 4 степени разрыва мениска: 1-я, 2-я, 3а и 3б.
Какая степень тяжести при разрыве мениска?
Степени тяжести повреждения: II степень (средняя) — частичный разрыв, боль при движении, отек, ограничение подвижности. III степень (тяжелая) — полный разрыв мениска, выраженная боль, блокада сустава, значительный отек.
Советы
СОВЕТ №1
Изучите классификацию повреждений мениска по Столлеру, чтобы лучше понимать степень травмы и возможные последствия. Это поможет вам более осознанно подходить к лечению и реабилитации.
СОВЕТ №2
Обратите внимание на симптомы, которые могут указывать на повреждение мениска, такие как боль, отек и ограничение подвижности. Чем раньше вы обратитесь к врачу, тем быстрее сможете начать лечение.
СОВЕТ №3
Не забывайте о важности диагностики. Используйте МРТ для точного определения степени повреждения мениска, так как это поможет врачу выбрать наиболее эффективный метод лечения.
СОВЕТ №4
После получения диагноза следуйте рекомендациям врача и не пренебрегайте реабилитационными упражнениями. Это поможет восстановить функцию колена и предотвратить повторные травмы в будущем.



