Когда возникает боль
Болевые ощущения могут усиливаться или возникать из-за физической активности. Фасциит развивается в результате воспалительных и разрушительных процессов в костной ткани пятки. В этом случае плантарная фасция воспаляется и разрушается.
Болевой синдром также может быть вызван травмами кожных тканей, сопровождающимися образованием костных наростов. В обиходе подошвенный фасциит часто называют пяточной шпорой, однако это определение не совсем корректно. Если у пациента появляются костные наросты, подошвенный фасциит может указывать на более серьезное заболевание.
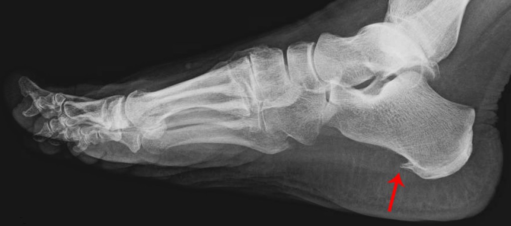
На рентгеновских снимках пяточная шпора выглядит как шиповидный нарост на пятке. Основные причины ее появления включают:
- значительные физические нагрузки;
- плоскостопие;
- длительное ношение неудобной обуви;
- травмы.
Иногда возникновению болевого синдрома могут предшествовать инфекционные заболевания, такие как грипп, ангина и другие недуги.
Врачи отмечают, что эффективные способы избавления от пяточной шпоры включают комплексный подход к лечению. Первоначально рекомендуется изменить обувь на более удобную, с хорошей амортизацией. Физиотерапия, включая ультразвук и магнитотерапию, помогает уменьшить воспаление и боль. Врачами также часто назначаются специальные упражнения для растяжки икроножных мышц и подошвенной фасции, что способствует улучшению гибкости и снижению нагрузки на пятку. В некоторых случаях может быть рекомендовано использование ортопедических стелек или супинаторов. Если консервативные методы не приносят облегчения, специалисты могут рассмотреть возможность инъекций кортикостероидов или даже хирургического вмешательства. Важно, чтобы лечение проводилось под контролем квалифицированного специалиста, что позволит избежать осложнений и достичь наилучших результатов.
https://youtube.com/watch?v=Z7jNCjMuvlQ
Описание недуга
Пациенты, испытывающие дискомфорт при нажатии на пятку, знакомы с резкой и интенсивной болью, которая часто возникает внезапно, особенно при поднятии тяжестей. Это колющее ощущение проявляется, когда человек пытается встать на ноги. Облегчение боли возможно в сидячем или лежачем положении, когда нагрузка на стопу отсутствует.
Болевые эпизоды чаще всего наблюдаются утром. В течение дня они могут утихать, но к вечеру снова усиливаются. Если состояние не лечить длительное время, боль может прогрессировать и беспокоить даже в состоянии покоя. В некоторых случаях пациенты не могут передвигаться без помощи костылей, так как наступать на ногу становится крайне неприятно. Основной причиной таких ощущений является хроническое воспаление. О наличии шпоры можно предположить только по симптомам, а для точной диагностики рекомендуется провести рентгенологическое исследование.
| Метод лечения | Описание метода | Плюсы/Минусы |
|---|---|---|
| Ортопедические стельки/вкладыши | Специальные стельки, распределяющие нагрузку на стопу и снижающие давление на пяточную кость. | + Снижают боль, улучшают амортизацию; – Не всегда эффективны при сильной боли, требуют подбора индивидуально. |
| Физиотерапия (УВЧ, лазерная терапия, магнитотерапия) | Применение физических факторов для уменьшения воспаления и боли. | + Безболезненно, способствует заживлению; – Может потребоваться длительный курс, не всегда эффективно. |
| Лечебная физкультура (ЛФК) | Специальные упражнения для укрепления мышц стопы и голени, улучшения гибкости. | + Укрепляет мышцы, улучшает подвижность; – Требует регулярных занятий, может быть болезненно на начальном этапе. |
| Массаж | Расслабление мышц стопы и голени, улучшение кровообращения. | + Снимает напряжение, улучшает кровообращение; – Может быть болезненно, требует квалифицированного специалиста. |
| Медикаментозное лечение (НПВС, кортикостероиды) | Применение противовоспалительных и обезболивающих препаратов. | + Быстрое снятие боли и воспаления; – Возможны побочные эффекты, не лечит причину. |
| Инъекции (кортикостероиды) | Введение кортикостероидов непосредственно в область пяточной шпоры. | + Быстрое и эффективное снятие боли и воспаления; – Возможны побочные эффекты, временный эффект. |
| Хирургическое вмешательство | Оперативное удаление пяточной шпоры. | + Полное избавление от шпоры; – Риск осложнений, длительный период реабилитации. |
| Экстракорпоральная ударно-волновая терапия (УВТ) | Воздействие ударных волн на область пяточной шпоры. | + Эффективно при хронической боли, минимально инвазивно; – Может быть болезненно, требуется несколько сеансов. |
Лечение болезни
Даже такое серьезное заболевание, как пяточная шпора, можно успешно лечить. Для этого применяются ультразвук и ударно-волновая терапия. Эти методы широко используются специалистами благодаря высокой эффективности. Процедура может быть болезненной, но результаты оправдывают дискомфорт.
В качестве дополнительных средств врачи могут назначить медикаменты, которые временно облегчают боль и уменьшают воспаление. Чаще всего рекомендуются инъекции, так как они действуют быстрее, чем таблетки. Они идеально подходят для снятия острого болевого синдрома, хотя их применение может быть неудобным.
Для уменьшения сильного воспаления лечащий врач может предложить уколы со стероидными препаратами, такими как Гидрокортизон или Дипроспан. Эти инъекции могут быть болезненными, так как вводятся в область пятки, но обеспечивают длительное облегчение. Процедура особенно эффективна для пациентов с хронической болью.
Лазерная терапия может улучшить состояние и нормализовать кровообращение в области пятки. Однако она не приводит к мгновенному облегчению и не устраняет боль и воспаление. Многие интересуются, как быстро избавиться от шпоры. Быстрое выздоровление возможно только после удаления нароста, поэтому к радикальным методам можно отнести и хирургическое вмешательство.
Если заболевание прогрессирует и симптомы становятся все более выраженными, врачи могут рекомендовать оперативное вмешательство. Эта процедура может быть болезненной и требует длительного восстановления. Она подходит тем пациентам, которым не помогли другие методы лечения.
Многие люди, столкнувшиеся с пяточной шпорой, делятся своим опытом и советами по избавлению от этой неприятной проблемы. Одним из самых популярных методов является использование ортопедических стелек, которые помогают правильно распределить нагрузку на стопу. Также часто упоминаются физиотерапевтические процедуры, такие как ультразвук и лазерная терапия, которые способствуют уменьшению воспаления и боли.
Некоторые рекомендуют регулярные занятия физической терапией, включая упражнения на растяжку, что помогает укрепить мышцы и связки. Важным аспектом является и правильный выбор обуви: удобные и поддерживающие модели могут значительно облегчить состояние.
Не обошлось и без народных методов — компрессы с уксусом или медом, а также ванночки с морской солью. Однако, прежде чем прибегать к любому из способов, многие советуют проконсультироваться с врачом, чтобы выбрать наиболее подходящий и безопасный вариант лечения.
https://youtube.com/watch?v=20mZvW0ujgI
Народные методики
Многие люди прибегают к самолечению из-за страха перед врачами, недоверия к ним или желания сэкономить время и деньги. В интернете можно найти множество отзывов о старинных народных методах лечения. Как же лечить пяточную шпору? Этот выбор остается за пациентом, так как существует множество различных рецептов.
Народные целители часто советуют использовать компрессы, массажи и растирания. Некоторые пациенты утверждают, что всего за 2–3 процедуры по народным рецептам им удалось избавиться от постоянной боли. Другие отмечают, что курс лечения занял от 1 до 3 недель.
Перед началом самолечения важно обратиться к специалисту для точной диагностики. Иногда люди, пытаясь вылечить пяточную шпору, не подозревают, что у них может быть бородавка на подошве. Неправильное лечение не приведет к выздоровлению.
Для быстрого избавления от шпоры можно использовать соляные ванны. Они помогают размягчить наросты и снизить болевые ощущения. Чтобы приготовить ванну, необходимо взять 1 кг соли на 5 литров воды. Ноги следует погружать в теплую воду, которая не должна быть слишком горячей или холодной.
Парить ноги нужно до тех пор, пока вода не остынет. Рекомендуется проводить такую процедуру не менее 10 раз. Это поможет достичь положительного результата. Чтобы избавиться от шпоры, стоит сделать вечерние соляные ванны привычкой. Эта процедура улучшит состояние кожи, пяток и ногтей.
Пациенты, которые попробовали этот метод, отмечают, что боль уходит уже на четвертый день после начала лечения. Некоторые целители утверждают, что молочная сыворотка также обладает подобным эффектом, поэтому ее можно использовать для удаления наростов. Перед применением сыворотку стоит немного подогреть.
Некоторые народные целители знают, что спирт может быть эффективным средством в борьбе с этой проблемой. Однако пациенты должны понимать, что быстро вылечить пяточную шпору народными методами невозможно.
Чтобы воспользоваться этим способом, нужно подогреть спирт и погрузить в него ноги. Рекомендуется держать конечности в теплом растворе не более 20 минут, после чего пяточная шпора со временем начнет растворяться. Людям с сердечными заболеваниями или постоянным повышенным давлением не следует парить ноги.
Преимущества чеснока и черного хлеба
-
Некоторые народные целители рекомендуют прикладывать компресс из чесночной кашицы к пораженному участку. Его следует держать 3–4 часа, лучше на ночь, чтобы избежать неприятного запаха в течение дня. Процедуру повторяют до полного исчезновения пяточной шпоры. Длительность терапии зависит от индивидуальных особенностей организма и стадии заболевания. В чесночную массу можно добавить растительное масло или жирный детский крем. Если появится жжение или покраснение кожи, компресс нужно немедленно убрать и прекратить лечение. В некоторых случаях в рецепт добавляют мел.
-
Компресс из корки черного хлеба также зарекомендовал себя как эффективное средство. Для его приготовления нужно измельчить хлеб, добавить 1 чайную ложку дегтя и приложить к больному месту. Иногда хлеб прикладывают целиком к пятке. Чтобы средство подействовало лучше, его обматывают пленкой, что помогает сохранить полезные свойства компонентов и предотвратить распространение запаха дегтя.
-
В народной медицине часто используется луковая каша в качестве компресса. Считается, что этот овощ помогает размягчить наросты и лечит фасциит. В луковую массу рекомендуется добавить несколько капель дегтя. Прикладывать такую смесь лучше всего на ночь.
Также можно использовать компрессы из хрена, медицинской желчи и других природных компонентов. Единственным недостатком таких методов является неприятный запах.
Народные средства, как правило, не вызывают побочных эффектов и считаются безопасными. Однако бывают случаи, когда начинать такое лечение уже поздно. Если терапия не приносит результатов и усугубляет состояние, необходимо срочно обратиться к врачу. Специалист направит на рентген, и на основе снимка сможет поставить точный диагноз и назначить соответствующее лечение.
https://youtube.com/watch?v=w-gqnMUn18Y
Вопрос-ответ
Что реально помогает от пяточной шпоры?
Для лечения пяточной шпоры используют йодистый калий, гидрокортизон, новокаин и прочие препараты. Эффективность таких методов физиолечения, как ультразвук и фонофорез (сочетанное применение ультразвука и лекарственного препарата) при пяточных шпорах составляет более 30%.
Как разрушить пяточную шпору?
Избавиться от крупной пяточной шпоры можно только хирургическим путем. При выборе классического варианта операции хирург разрезает фасцию полностью и сразу удаляет костный выступ.
Советы
СОВЕТ №1
Регулярно выполняйте упражнения для растяжки икроножных мышц и подошвенной фасции. Это поможет уменьшить напряжение в области пятки и снизить болевые ощущения. Простые упражнения, такие как подъемы на носки или растяжка с помощью полотенца, могут быть очень эффективными.
СОВЕТ №2
Используйте ортопедические стельки или специальные подушки для обуви. Они помогут распределить нагрузку на стопу и уменьшить давление на пятку, что может значительно снизить боль и дискомфорт при ходьбе.
СОВЕТ №3
Обратите внимание на свою обувь. Носите удобную обувь с хорошей амортизацией и поддержкой свода стопы. Избегайте высоких каблуков и жесткой обуви, которые могут усугубить состояние.
СОВЕТ №4
Не забывайте о методах физиотерапии, таких как ультразвук или лазерная терапия. Эти процедуры могут помочь уменьшить воспаление и ускорить процесс заживления. Консультируйтесь с врачом для выбора наиболее подходящих методов лечения.




