Хирургическое вмешательство: показания и противопказания
Операция по исправлению вальгусной деформации большого пальца рекомендуется на 3–4 стадиях развития проблемы. В этот период большой палец отклоняется наружу под углом от 25 до 35 градусов, а плюсневая кость смещается внутрь не менее чем на 18 градусов, что изменяет форму остальных пальцев.
Правильно подобранное лечение может полностью устранить дефект только у детей и подростков, пока их скелет еще формируется. У взрослых медикаментозная терапия и физиотерапевтические процедуры могут лишь замедлить процесс деформации. Окончательное решение проблемы возможно только с помощью операции при халюс вальгус.
Часто к хирургическому вмешательству прибегают уже при угле отклонения сустава в 20 градусов. В таких случаях показаниями для операции являются:
- сильные болевые ощущения;
- воспалительные процессы, мешающие нормальной ходьбе;
- значительная отечность тканей;
- плоскостопие;
- развитие осложнений, таких как язвы, инфекции, нарушения походки;
- низкая эффективность консервативного лечения.
Тем не менее, даже при выраженных симптомах не всегда возможно провести операцию по коррекции вальгусной деформации. К противопоказаниям относятся:
- декомпенсированный диабет;
- острая сердечная или легочная недостаточность;
- артериальная гипертензия;
- гнойные инфекции;
- нарушения свертываемости крови;
- заболевания кроветворной системы;
- хронические болезни опорно-двигательного аппарата;
- тромбофлебит вен ног.
Существуют также относительные противопоказания, такие как обострение хронического воспалительного процесса или острое инфекционное заболевание. При наличии артрита или артроза хирургическая коррекция возможна, но в этом случае возрастает риск послеоперационных осложнений. В этот период могут возникнуть:
- тромбообразование в сосудах нижних конечностей;
- инфицирование раны;
- асептический некроз головки плюсневой кости;
- нарушения в нервных связках;
- аллергические отеки;
- ограничение подвижности сустава;
- онемение в стопе.
Хотя подобные осложнения случаются редко, полностью исключить риск их возникновения невозможно. Важно, чтобы врачи подбирали оптимальный метод операции для каждого пациента на основе тщательной диагностики, а пациенты строго следовали всем рекомендациям медицинских специалистов.
Врачи отмечают, что оперативное лечение Hallux Valgus, или “бурсита большого пальца”, является эффективным способом устранения деформации и улучшения качества жизни пациентов. Существует несколько методов хирургического вмешательства, каждый из которых имеет свои показания и противопоказания. Одним из наиболее распространенных является остеотомия, при которой происходит коррекция угла между первым и вторым пальцами. Специалисты подчеркивают важность индивидуального подхода к каждому пациенту, так как выбор метода зависит от степени деформации, возраста и общего состояния здоровья. Врачи также акцентируют внимание на необходимости реабилитации после операции, которая включает физиотерапию и ношение специальной обуви для достижения наилучших результатов. Правильное выполнение всех рекомендаций способствует быстрому восстановлению и снижению риска рецидивов.
https://youtube.com/watch?v=K_SjTtJtPKc
Щадящее хирургическое вмешательство
Оперативные методы лечения вальгусной деформации насчитывают более 300 различных вариантов. Однако все эти подходы можно сгруппировать в несколько ключевых категорий:
- воздействие на костные структуры;
- воздействие на мягкие ткани;
- комплексные операции, затрагивающие как костные, так и мягкие ткани.
Ранее при диагностировании hallux valgus специалисты часто прибегали к иссечению головки сустава, что негативно сказывалось на функциональности стопы. Сегодня существуют более щадящие методы лечения этой проблемы.
Малоинвазивные операции при вальгусных деформациях рекомендуются на ранних стадиях заболевания. В таких случаях акцент делается на воздействие на сухожилия и мышечные ткани. Хирургическое вмешательство устраняет дискомфорт при ходьбе и внешний дефект, однако существует вероятность рецидива патологии.
Процесс малоинвазивного вмешательства состоит из нескольких этапов:
- С обеих сторон большого пальца выполняются проколы размером не более 3-4 мм.
- Через проколы вводятся микроинструменты для вскрытия сжатой суставной сумки.
- Даже небольшой надрез суставной сумки помогает восстановить правильное положение пальца.
- Для устранения кривизны кости используется обработка с помощью микрофрез.
- Все действия контролируются на экране монитора.
Пациенты отмечают, что такие процедуры не требуют длительного восстановления. Однако из-за риска повторной деформации сустава рекомендуется носить удобную обувь, избегать туфель на высоких каблуках и использовать ортопедические стельки для снижения нагрузки на стопы.
| Способ оперативного лечения Hallux Valgus | Описание процедуры | Показания/Противопоказания |
|---|---|---|
| Остеотомия первого плюснефалангового сустава (например, Chevron, Akin) | Изменение формы плюсневой кости для коррекции вальгусной деформации. | Легкая-средняя степень деформации, хорошая подвижность сустава. Противопоказано при тяжелом артрозе, деформации других пальцев, недостаточной плотности костной ткани. |
| Артродез первого плюснефалангового сустава | Фиксация сустава в правильном положении с помощью винтов или пластин. | Тяжелая деформация, выраженный артроз, неэффективность других методов лечения. Противопоказано при активном воспалении, плохом состоянии мягких тканей. |
| Резекция головки первой плюсневой кости | Удаление части головки первой плюсневой кости для уменьшения выступа. | Легкая степень деформации, преимущественно косметический дефект. Противопоказано при выраженной деформации, артрозе. |
| Имплантация эндопротеза первого плюснефалангового сустава | Замена поврежденного сустава на искусственный. | Тяжелый артроз, неэффективность других методов лечения. Противопоказано при инфекции, плохом состоянии мягких тканей, активном воспалении. |
| Комбинированные операции | Сочетание нескольких методов (например, остеотомия и артропластика). | Сложные случаи деформации, требующие комплексного подхода. |
Хирургическая реконструкция
Реконструктивные операции при вальгусной деформации стопы могут проводиться как при умеренных, так и при легких нарушениях. Основные этапы процедуры включают:
- В боковой части стопы выполняется продольный разрез длиной 2–4 см.
- Удаляется нарост, и сустав устанавливается в правильное физиологическое положение.
- Восстанавливается связочный аппарат.
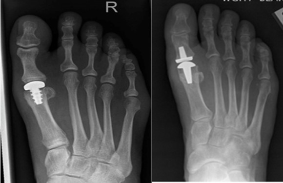
- Костные элементы фиксируются компрессионными винтами из титана. Эти винты обычно не вызывают дискомфорта у пациента, поэтому их не удаляют. Однако, если через три месяца после операции возникает необходимость, их можно извлечь.
Отзывы пациентов подтверждают высокую эффективность реконструкции даже при незначительных дефектах.
В случаях, когда патология обнаруживается на поздних стадиях, малоинвазивные и реконструктивные вмешательства оказываются неэффективными, и приходится прибегать к радикальным хирургическим методам.
Многие пациенты, страдающие от Hallux Valgus, делятся своим опытом оперативного лечения, и мнения о методах варьируются. Некоторые отмечают, что после хирургического вмешательства значительно уменьшилась боль и улучшилась функция стопы. Они подчеркивают важность выбора квалифицированного хирурга и тщательной подготовки к операции. Другие же высказывают опасения по поводу длительного восстановления и возможных осложнений. Некоторые пациенты отмечают, что после операции им удалось вернуться к активной жизни, но процесс реабилитации требует времени и терпения. Важно, чтобы каждый пациент получал полную информацию о возможных методах лечения и мог взвесить все “за” и “против”, прежде чем принимать решение о хирургическом вмешательстве.
https://youtube.com/watch?v=LV-bq1MWimY
Артродез — радикальная хирургия
При использовании данного метода вальгусная деформация большого пальца стопы устраняется с помощью фиксированных соединений. Это не влияет на походку и физическую активность пациента. Напротив, операция позволяет быстро устранить дефект и избавить человека от сильной боли.
Артродез применяется, когда другие методы не дали ожидаемого результата.
Основные этапы хирургического вмешательства:
- Производится открытый разрез.
- Удаляются верхние части головки проксимальной фаланги и первой плюсны.
- Фрагменты сустава надежно фиксируются с помощью винтов.
Эти действия восстанавливают структуру сустава, что приводит к полному исчезновению симптомов. Винты после операции не удаляются.
Послеоперационный период
Программа реабилитации после операции по исправлению халюс вальгус разрабатывается индивидуально для каждого пациента. Учитываются общее состояние здоровья, тип хирургического вмешательства, вероятность осложнений и наличие сопутствующих заболеваний.
После операции пациенту необходимо соблюдать постельный режим. Однако уже в первые сутки рекомендуется начинать легкую гимнастику для прооперированной области — шевелить пальцами ноги. Ходить разрешается на третий день с использованием специальных ортопедических устройств, которые помогают избежать нагрузки на прооперированную область.
Пребывание в стационаре обычно не превышает 10–14 дней. Затем реабилитационная программа продолжается самостоятельно под наблюдением ортопеда. Чтобы минимизировать риск осложнений, важно строго следовать рекомендациям:
- защищать прооперированную область полиэтиленовой пленкой во время водных процедур;
- не смещать повязку и избегать ее намокания;
- в течение 6 недель использовать костыль при передвижении;
- при отечности, которая может сохраняться до 3 месяцев, применять холодные компрессы.
Также назначается комплекс физиотерапевтических процедур, способствующих более быстрому заживлению и восстановлению костных структур. В программу входят:
- электрофорез;
- ударно-волновая терапия;
- массаж;
- лечебная физкультура.
Игнорировать эти процедуры не следует, так как без должной реабилитации операция по исправлению халюс вальгус может дать лишь временный результат, и проблема может вернуться.
Уже через 2 месяца после операции пациент может начать заниматься на велотренажере или посещать бассейн, но следует избегать чрезмерных нагрузок на стопу. Для эффективного восстановления рекомендуется периодически поднимать ногу выше уровня головы и делать массаж свода стопы с помощью теннисного мячика. На ночь желательно использовать корректирующую шину.
В зависимости от типа операции полное восстановление может занять от 4 до 6 месяцев. В течение этого времени необходимо носить специальную обувь, которая фиксирует прооперированную область и не создает на нее давления.
Если требуется операция на обеих стопах при вальгусной деформации, рекомендуется проводить лечение поочередно для каждой ноги, делая перерыв в 3–6 месяцев для полного восстановления уже прооперированного сустава.
Не стоит отчаиваться при диагнозе халюс вальгус, даже если форма деформации тяжелая. Современная медицина предлагает методы, позволяющие исправить искривление сустава или полностью устранить вальгусную деформацию.
https://youtube.com/watch?v=UA7TKAgXmCk
Вопрос-ответ
Какова хирургическая процедура при hallux valgus?
Бурионэктомия — это хирургическая процедура, при которой удаляют костную шишку на боковой стороне стопы (бурсит). Хирург сделает надрез сбоку стопы и удалит костный выступ. В некоторых случаях хирург может также выровнять мягкие ткани и кость, чтобы исправить деформацию.
Как делают операцию при вальгусной деформации?
Вмешательства выполняются через разрез на медиальной поверхности стопы длиной 2–4 см. Врач фиксирует I плюснеклиновидный сустав в анатомически правильной позиции и восстанавливает нормальное положение костей плюсны. По области вмешательства выделяют манипуляции на мягких тканях, на костях и комбинированные.
Что такое метод PBS?
PBS — «Percutaneous Bianchi System», уникальная методика избавления от вальгусной деформации стопы. Операция длится 15-20 минут. Пациент не испытывает боли после операции. Без гипса, шрамов, костылей.
- Хирург выполняет разрез на внутренней стороне первого пальца. 2) Капсула первого плюснефалангового сустава рассекается, сустав мобилизуется. 3) Удаляется костная мозоль (экзостозэктомия). 4) Первая плюсневая кость перепиливается.
Советы
СОВЕТ №1
Перед принятием решения о хирургическом вмешательстве, обязательно проконсультируйтесь с опытным ортопедом. Он поможет оценить степень деформации и предложит наиболее подходящий метод лечения, учитывая ваши индивидуальные особенности.
СОВЕТ №2
Обратите внимание на выбор обуви. Ношение удобной и правильно подобранной обуви может значительно снизить дискомфорт и замедлить прогрессирование Hallux Valgus. Избегайте узких и высоких каблуков.
СОВЕТ №3
Рассмотрите возможность использования ортопедических стелек или специальных корректоров для пальцев. Эти устройства могут помочь уменьшить нагрузку на суставы и улучшить положение стопы, что может отложить необходимость в операции.
СОВЕТ №4
Не забывайте о реабилитации после операции. Следуйте рекомендациям врача по восстановлению, включая физическую терапию и упражнения для укрепления мышц стопы, чтобы ускорить процесс восстановления и предотвратить рецидивы.




