Причины возникновения заболевания
Опухоль — это новообразование из хрящевой ткани, возникающее в местах, где она не должна находиться. Образование имеет дольчатую структуру и характеризуется быстрым ростом. Основная причина появления хрящевой ткани вместо костной заключается в нарушении процесса окостенения во время внутриутробного развития.
На процесс окостенения могут влиять следующие факторы:
- Развитие рахита, а также острый недостаток кальция и витамина D, необходимого для его усвоения. Эта патология чаще всего встречается у детей дошкольного возраста и связана с неправильным питанием и нарушениями усвоения питательных веществ.
- Частые травмы костей, приводящие к повреждению костной ткани. Процессы восстановления могут вызывать активный синтез гиалиновых клеток, что приводит к их избытку и накоплению в костной полости.
- Воспалительные заболевания, затрагивающие костные структуры. Хронические патологии, такие как ревматоидный артрит, могут снижать местный иммунитет, что запускает процессы регенерации с участием хрящевых клеток.
В группу риска входят люди, активно занимающиеся спортом, дети дошкольного возраста, предрасположенные к рахиту, и пожилые люди, страдающие от ревматоидных форм артрита.
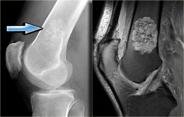
Врачи отмечают, что энхондрома, доброкачественная опухоль хрящевой ткани, часто проявляется бессимптомно, что затрудняет ее раннюю диагностику. Однако в некоторых случаях пациенты могут испытывать боль в области пораженной кости, особенно при физической нагрузке. Также возможны отеки и деформация конечностей. При подозрении на энхондрому важно провести рентгенографию или МРТ для точного определения локализации и размера опухоли.
Методы лечения зависят от размера и симптоматики образования. Врачами рекомендуется наблюдение за небольшими, бессимптомными энхондромами. В случаях, когда опухоль вызывает дискомфорт или увеличивается в размерах, может потребоваться хирургическое вмешательство для удаления образования. Важно, чтобы лечение проводилось под контролем опытного специалиста, чтобы избежать возможных осложнений и обеспечить правильное восстановление.
https://youtube.com/watch?v=Vv5K1MNGn2E
Локализация и характерные симптомы
Энхондрома чаще всего затрагивает трубчатые кости конечностей, но может также возникать в следующих местах:
- кисти;
- ребра;
- бедренные кости;
- фаланги пальцев;
- плечевой и коленный суставы.
Опасность этого заболевания заключается в том, что на ранних стадиях его проявления практически незаметны. Небольшие одиночные новообразования внутри кости начинают проявлять себя только при достижении значительных размеров. Обычно заболевание выявляется случайно во время рентгенографического исследования по другим причинам.
Когда энхондрома достигает размеров, способных оказывать давление на соседние костные структуры, начинается их деформация. Это может проявляться в виде шишки в области коленного сустава, пальца или ступни. При пальпации острые болезненные ощущения, как правило, отсутствуют.
Кожа в области новообразования может быть умеренно покрасневшей. Увеличение болезненности связано с ростом опухоли и сдавливанием близлежащих сосудов и нервных окончаний. Нарушение кровообращения приводит к местной гипоксии и интоксикации из-за сбоя обменных процессов в клетках. Недостаток кровоснабжения не позволяет клеткам получать кислород и выводить токсины.
Хрящевая ткань, прорастающая в кость, снижает её прочность, что увеличивает риск переломов даже при незначительных травмах.
Дополнительные симптомы могут проявляться при запущенных формах заболевания:
- тупая, ноющая боль, которая не исчезает в покое;
- усиление боли при движении;
- ограничение подвижности;
- скованность движений;
- изменения в области сустава или костных структур.
Если энхондрома располагается в большеберцовой кости, это может привести к изменению походки и появлению хромоты, что связано с уменьшением длины пораженной кости по сравнению со здоровой конечностью.
Локализация опухоли в области суставов может вызвать синовиты. Застойные процессы, возникающие из-за нарушения оттока экссудата, способствуют развитию воспалительного процесса, что усложняет диагностику и лечение.
| Симптом | Стадия заболевания | Метод лечения |
|---|---|---|
| Бессимптомное течение (часто обнаруживается случайно на рентгене) | Ранняя | Наблюдение (если энхондрома небольшая и не вызывает симптомов) |
| Боль (тупая, ноющая) | Любая, чаще поздняя | Аналгетики, физиотерапия |
| Ограничение подвижности сустава | Поздняя | Хирургическое вмешательство (куретаж, резекция) |
| Припухлость в области поражения | Поздняя | Хирургическое вмешательство (куретаж, резекция) |
| Патологический перелом | Поздняя | Иммобилизация, хирургическое вмешательство (остеосинтез, куретаж, резекция) |
| Деформация кости | Поздняя | Хирургическое вмешательство (коррекционная остеотомия) |
| Злокачественное перерождение (редко) | Поздняя | Хирургическое вмешательство (широкая резекция, ампутация), лучевая терапия, химиотерапия |
Методы диагностики
Постановка диагноза и его подтверждение происходит поэтапно. Сначала собирается анамнез, выявляются предрасполагающие факторы и патологии, способствующие развитию заболевания. Затем проводится осмотр пациента и пальпация выступающего участка кости. Для подтверждения диагноза и определения типа опухоли используется аппаратная диагностика:
- МРТ и КТ — позволяют увидеть наличие опухоли, её структуру и тип. Злокачественные формы хорошо визуализируются на рентген-контрасте.
- Рентгенография — помогает определить наличие опухоли и её локализацию, но не предоставляет точной информации о структуре и типе новообразования.
- Биопсия — позволяет установить тип опухоли и выявить наличие рака. Процедура выполняется с помощью пункции, а полученное содержимое отправляется на цитологическое и гистологическое исследование.
Дифференциальная диагностика проводится с такими заболеваниями, как:
- киста костной ткани;
- фиброзная дисплазия;
- гигантоклеточная опухоль;
- рак кости.
С прогрессированием заболевания наблюдается негативное влияние на кровеносные сосуды и нервные окончания, поэтому может потребоваться консультация сосудистого хирурга и нейрохирурга.
Существуют риски злокачественных изменений опухоли, поэтому пациентам рекомендуется обратиться за консультацией к онкологу.
Энхондрома — это доброкачественная опухоль, которая развивается из хрящевой ткани и чаще всего поражает длинные кости, такие как бедренная или плечевая. Люди, столкнувшиеся с этой проблемой, отмечают, что симптомы могут быть неочевидными. На ранних стадиях энхондрома часто не вызывает боли, но по мере роста опухоли могут появляться дискомфорт и отечность в области пораженной кости. Некоторые пациенты сообщают о внезапных переломах даже при незначительных травмах, что может стать первым сигналом о наличии опухоли.
Методы лечения энхондромы зависят от ее размера и симптоматики. В большинстве случаев, если опухоль не вызывает болей и не растет, врачи могут рекомендовать наблюдение. Однако при наличии симптомов или значительном увеличении размера опухоли может потребоваться хирургическое вмешательство для удаления энхондромы. Важно отметить, что после операции большинство пациентов восстанавливаются без осложнений, и риск рецидива остается низким. Регулярные обследования и консультации с врачом помогают контролировать состояние и предотвращать возможные осложнения.
https://youtube.com/watch?v=j9mCpyYXR6o
Способы лечения
Эффективное лечение энхондромы возможно только при комплексном подходе, который включает следующие методы терапии:
-
Хирургическое вмешательство — опухоль удаляется вместе с частью здоровых тканей. В некоторых случаях может потребоваться частичное или полное протезирование. Если новообразование расположено в мелких костях, может понадобиться ампутация пальца или фаланги. Операция показана при быстром росте опухоли и ее близости к крупным сосудам, нервам и костным структурам.
-
Медикаментозное лечение — направлено на уменьшение болевых ощущений и замедление роста опухоли путем контроля кальцификационных процессов. Назначаются поливитамины для обеспечения организма необходимыми веществами. Рекомендуется также противовоспалительная терапия и анальгетики для облегчения боли.
-
Физиотерапия — помогает нормализовать обменные процессы в костной ткани и замедляет рост гиалинового хряща. Этот метод применяется при поражениях бедренной кости, колена, лопатки и конечностей. Включает магнитотерапию, лекарственный электрофорез и лазеротерапию.
Специалисты настоятельно советуют начинать лечение сразу после постановки диагноза. Не стоит дожидаться значительного увеличения опухоли. Ее следует удалить до того, как будут затронуты сосуды и нервные окончания. Прогрессирующая энхондрома имеет менее благоприятный прогноз и увеличивает риск осложнений, вплоть до инвалидности.
Важно также соблюдать соответствующую диету, способствующую нормализации обменных процессов в организме. Рекомендуется ограничить потребление соли, сахара, копченых и жареных блюд, солений и маринадов. Рацион должен состоять из нежирных сортов мяса и рыбы, свежих овощей и фруктов, а также кисломолочных продуктов.
Заключение
Энхондрома — это образование из хрящевых клеток, которые активно размножаются. Без необходимого лечения могут возникнуть серьезные осложнения. Комплексный подход к терапии обеспечивает положительные результаты. Ранняя диагностика и своевременное лечение способствуют благоприятному прогнозу на полное выздоровление.
Самолечение и использование методов альтернативной медицины не рекомендуются. Устранить опухоль без хирургического вмешательства невозможно. Современные медикаменты не способны полностью уничтожить энхондрому, поэтому лечение должно проводиться под тщательным наблюдением специалистов.
https://youtube.com/watch?v=QqEX9UgmF6c
Вопрос-ответ
Каковы симптомы энхондроматоза?
Наиболее частыми симптомами являются боль, отёк и деформация. Пациенты с энхондромами обычно находятся в возрасте от 15 до 35 лет, но энхондроматоз обычно проявляется в возрасте до 10 лет.
Каковы симптомы энхондромы кисти?
Энхондрома — доброкачественная опухоль, растущая из гиалиновой хрящевой ткани внутрь кости. Типичная локализация — зона диафизов и метадиафизов трубчатых костей. Новообразование чаще диагностируют у пациентов в возрасте 10-30 лет. Наиболее распространены первичные доброкачественные опухоли кости кисти/запястья.
Как выглядит энхондрома?
Энхондрома на рентгеновских снимках обычно выглядит как овальное или округлое просветление (участок пониженной плотности) внутри кости с тонкой кортикальной оболочкой и возможными внутренними кальцификациями.
Советы
СОВЕТ №1
Обратите внимание на симптомы: если вы заметили постоянную боль в области суставов или костей, а также отечность или изменение формы конечности, не откладывайте визит к врачу. Раннее выявление энхондромы может значительно улучшить прогноз лечения.
СОВЕТ №2
Регулярно проходите медицинские обследования, особенно если у вас есть предрасположенность к опухолям или заболеваниям костей. Это поможет выявить возможные проблемы на ранних стадиях и начать лечение вовремя.
СОВЕТ №3
Обсудите с врачом все доступные методы лечения, включая хирургическое вмешательство, радиотерапию и наблюдение. Выбор метода зависит от размера и расположения энхондромы, а также от ваших индивидуальных особенностей.
СОВЕТ №4
После лечения следуйте рекомендациям врача по реабилитации и восстановлению. Это может включать физическую терапию и ограничение физической активности, что поможет предотвратить рецидив и улучшить качество жизни.



