Характерные признаки травмы
Лонное сочленение — это парная структура, состоящая из нижней ветви, тела и верхней ветви. Парные лобковые кости соединяются симфизом, который в детском и подростковом возрасте имеет хрящевую природу, а к 18–20 годам превращается в костную ткань. Переломы могут варьироваться по степени тяжести:
- повреждение без смещения;
- перелом со смещением;
- травма односторонняя или двухсторонняя.
Наиболее часто повреждения лобковой кости происходят в результате дорожно-транспортных происшествий или сильного сжатия нижней части тела. Такие травмы также могут возникать во время сложных родов или у пожилых людей. Для данного типа травм характерны интенсивные болевые ощущения, вплоть до шокового состояния, а также обильное кровотечение. Основные симптомы повреждения лонной области:
- резкая и сильная боль в области лобковой кости и седалищного нерва, иногда до потери сознания;
- значительное внутреннее кровотечение;
- при переломе со смещением слышен хруст костных обломков;
- невозможность поднять нижние конечности от поверхности, на которой находится пострадавший;
- сжатие мочевого пузыря, повреждение уретры;
- асимметрия тазовых костей и выворот конечностей;
- пониженное артериальное давление из-за открывшегося кровотечения;
- общая слабость, ощущение холодного, липкого пота;
- повреждение мышечных тканей;
- нарушение чувствительности в нижней части тела из-за повреждения нервов.
Может развиваться гиперчувствительность или полная утрата чувствительности.
Если перелом лобковой области сопровождается смещением, серьезную угрозу представляют повреждения органов малого таза, которые могут возникать при таких травмах.
Врачи отмечают, что перелом лонной кости таза может проявляться различными симптомами, которые важно распознать на ранних стадиях. Основными признаками являются резкая боль в области таза, затрудненное движение, а также отечность и синяки в пораженной области. Иногда пациенты могут испытывать дискомфорт при попытке встать или при ходьбе. Важно помнить, что такие симптомы могут быть схожи с другими травмами, поэтому необходима тщательная диагностика.
Лечебные меры зависят от степени перелома. В легких случаях может быть достаточно консервативного лечения, включающего покой, применение льда и обезболивающих средств. В более серьезных ситуациях может потребоваться хирургическое вмешательство для восстановления целостности кости. Врачи подчеркивают важность своевременного обращения за медицинской помощью, чтобы избежать осложнений и обеспечить правильное восстановление. Реабилитация после перелома также играет ключевую роль в возвращении пациента к нормальной жизни.
https://youtube.com/watch?v=DbNvP5Y8suY
Первая помощь
При подозрении на травмы необходимо немедленно вызвать скорую помощь и уложить пострадавшего на ровную поверхность. Если перелом не сопровождается смещением, кожные покровы остаются целыми, и внутренние органы, скорее всего, не повреждены. В этом случае пострадавшему следует дать обезболивающее и обеспечить неподвижность, чтобы избежать ухудшения состояния.
При смещенном переломе происходит разрыв кожи, что может привести к значительному кровотечению. Первая помощь включает остановку кровотечения, обезболивание пострадавшего и вызов медицинской бригады.
Пострадавшего следует уложить на жесткую поверхность и провести иммобилизацию. Для этого рекомендуется немного развести ноги, согнуть их в коленях и подложить под коленные суставы одеяло, плед или свернутую одежду. Важно сообщить врачам детали происшествия, чтобы они могли точно оценить ситуацию с внутренними повреждениями и своевременно оказать необходимую помощь.
| Симптом | Тяжесть симптома | Лечебные меры |
|---|---|---|
| Сильная боль в области лобка, усиливающаяся при движении, кашле или чихании | От умеренной до сильной | Покой, обезболивание (анальгетики, НПВС), иммобилизация (повязка, костыли), в тяжелых случаях – операция |
| Припухлость и гематома в области лобка | От легкой до выраженной | Холодные компрессы, покой |
| Ограничение подвижности в тазобедренных суставах | От легкого до полного ограничения | Физиотерапия, ЛФК (после заживления) |
| Деформация таза (редко, при тяжелых переломах) | Выраженная | Оперативное вмешательство |
| Кровотечение из уретры или влагалища (при повреждении мочевого пузыря или уретры) | Критическое | Немедленная госпитализация, хирургическое вмешательство |
| Положительный симптом Вернейля (боль при надавливании на лобковую кость) | Умеренный | Покой, обезболивание |
| Положительный симптом Ланге (боль при сжатии таза) | Умеренный | Покой, обезболивание |
| Нарушение функции мочеиспускания или дефекации | От легкого до полного нарушения | Катетеризация мочевого пузыря, клизмы, в тяжелых случаях – операция |
| Шоковое состояние (при тяжелых переломах с кровопотерей) | Критическое | Немедленная госпитализация, инфузионная терапия, операция |
Лечение
Перед началом лечения в медицинском учреждении проводится тщательная диагностика травмы. Первым этапом является ручной осмотр. Во время пальпации специалисты определяют точное месторасположение перелома, тип повреждения (одностороннее или двухстороннее) и могут обнаружить осколки костей.
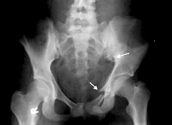
Для получения более детальной информации о травме и степени повреждения используется рентген. Это исследование позволяет увидеть место перелома и наличие смещения. Разрывы связок и мышечной ткани, а также повреждения внутренних органов выявляются с помощью УЗИ и МРТ.
Для мониторинга возможного внутреннего кровотечения назначаются УЗИ и ряд других исследований:
- МРТ;
- цитограмма;
- проверка проходимости мочеиспускательного канала у мужчин с использованием контрастного вещества;
- осмотр влагалища у женщин.
После установления точного диагноза начинается лечение, которое включает регулярное обезболивание и обеспечение полной неподвижности для срастания костей лонного сочленения. Если травма не сопровождается смещением, назначается постельный режим на срок от 21 до 30 дней.
При сложном одностороннем переломе необходимо обеспечить иммобилизацию в положении “лягушка”. В случае сложного двухстороннего повреждения требуется постельный режим с вытяжением. Оба случая требуют стационарного лечения. Длительность постельного режима зависит от степени травмы и может составлять от 2 до 4 месяцев. В тяжелых ситуациях может потребоваться хирургическое вмешательство для вправления костей, сшивания разорванных связок и устранения повреждений внутренних органов.
Перелом лонной кости таза — это серьезная травма, которая может вызвать значительные боли и ограничение подвижности. Люди, столкнувшиеся с этой проблемой, часто описывают резкие боли в области паха и нижней части живота, которые усиливаются при движении или попытке встать. Отечность и синяки в области травмы также являются распространенными симптомами. Важно отметить, что перелом может сопровождаться повреждением окружающих мягких тканей и органов, что требует внимательного медицинского обследования.
Лечебные меры зависят от степени тяжести перелома. В легких случаях может быть достаточно покоя, применения льда и обезболивающих средств. Однако при более серьезных травмах может потребоваться хирургическое вмешательство для восстановления целостности кости. Реабилитация включает физиотерапию, направленную на восстановление подвижности иStrengthening мышц. Важно следовать рекомендациям врачей и не игнорировать симптомы, чтобы избежать осложнений и ускорить процесс выздоровления.
https://youtube.com/watch?v=a4n9X7BqIOg
Реабилитация и восстановление
Реабилитационные мероприятия начинаются на этапе полной неподвижности пациента. В это время назначается массаж, который помогает предотвратить атрофию мышц из-за отсутствия движения. Как только врач разрешает вставать, пациенту рекомендуется проявлять минимальную физическую активность. Эту нагрузку обеспечивают занятия в кабинете лечебной физкультуры (ЛФК), где специалист подбирает подходящие нагрузки для данного этапа восстановления. Также больному назначаются физиотерапевтические процедуры:
- электрофорез;
- магнитотерапия;
- водные процедуры.
Для достижения полного восстановления необходимо соблюдать несколько важных условий:
- регулярная гимнастика для поддержания подвижности;
- сбалансированное питание, богатое кальцием;
- короткие прогулки на свежем воздухе.
Полное выздоровление может занять несколько лет, но в некоторых случаях добиться полного восстановления не удается.
Возможные последствия
Перелом лобковой кости таза — это серьезная травма, которая может вызвать различные осложнения:
- Без своевременной медицинской помощи может развиться сепсис, угрожающий жизни пациента.
- Повреждение внутренних органов может привести к длительным проблемам с функционированием органов малого таза и даже к инвалидности.
- Неправильное срастание костей может вызвать разную длину ног.
- Длительное пребывание в неподвижном состоянии может привести к атрофии мышц ног.
- Женщины с такой травмой часто не могут рожать естественным путем и нуждаются в плановом кесаревом сечении.
- Изменения в походке и постоянные болевые ощущения могут сохраняться даже при минимальных физических нагрузках.
Поэтому важно предотвращать подобные травмы: избегать опасных видов спорта и пожилым людям следует включать в рацион больше продуктов, богатых кальцием.
https://youtube.com/watch?v=-tFTEtYuAOo
Вопрос-ответ
Что делают при переломе лонной кости?
На сегодняшний момент есть три основных хирургических способа фиксации переломов лонной кости. Это применение аппаратов наружной фиксации, малоинвазивный остеосинтез переломов лонных костей полыми винтами и, наконец, открытая репозиция и внутренняя фиксация пластинами.
Как лечат перелом таза у пожилых людей?
Переломы таза у пожилых людей часто возникают в результате травм с небольшими ударами из-за ослабления костей, часто связанного с остеопорозом. Варианты лечения пожилых людей варьируются от нехирургических методов, таких как мобилизация, обезболивание и медикаментозное лечение остеопороза, до хирургического вмешательства в более тяжёлых случаях.
- Когда можно начинать ходить после перелома таза? Точные сроки зависят от тяжести перелома и общего состояния пациента. В среднем, первые попытки вставать под контролем врача и инструктора по ЛФК могут предприниматься спустя несколько недель после травмы.
Советы
СОВЕТ №1
Если вы подозреваете перелом лонной кости, немедленно обратитесь за медицинской помощью. Самостоятельная диагностика может привести к неправильному лечению и ухудшению состояния.
СОВЕТ №2
При наличии сильной боли в области таза и затруднении при движении, постарайтесь не нагружать поврежденную область. Лучше всего оставаться в покое до прибытия медицинских работников.
СОВЕТ №3
После получения медицинской помощи и подтверждения диагноза, следуйте указаниям врача по реабилитации. Это может включать физическую терапию и специальные упражнения для восстановления подвижности и силы.
СОВЕТ №4
Обратите внимание на свое питание. Убедитесь, что ваш рацион богат кальцием и витамином D, что поможет ускорить процесс заживления костей после перелома.



