Как распознать заболевание?
Для успешного начала лечения туберкулезного спондилита важно своевременно выявить заболевание. Первые признаки обычно проявляются через поражение легких. У пациентов наблюдаются интенсивный кашель с обильным выделением мокроты и кровохарканье. Также могут возникать одышка и сильные боли в области грудной клетки.
Туберкулезный спондилит развивается постепенно. Сначала пациенты ощущают общее недомогание, проявляющееся в слабости, быстрой утомляемости, тошноте, снижении работоспособности, рассеянности и невнимательности. У них могут также возникать головные боли и повышенная температура, характерная для туберкулеза, в пределах 37–37,5°С. Эти симптомы могут беспокоить пациентов от 2 до 3 месяцев и даже продолжаться до 1–2 лет. Если лечение не начато вовремя, инфекция может распространиться на позвоночник. В дальнейшем у больных появляются новые симптомы:
- болезненные ощущения в области спины и нарушения координации движений;
- искривление позвоночника;
- головокружение и неустойчивая походка;
- онемение в пораженной области;
- покалывание в ногах;
- проблемы с работой органов таза;
- образование туберкулезного абсцесса;
- появление горба;
- возникновение натечников;
- паралич рук и ног (утрата чувствительности и двигательной активности конечностей).
При наличии подобных симптомов важно незамедлительно обратиться к врачу для назначения соответствующего лечения.
Врачи отмечают, что болезнь Потта, или туберкулезный спондилит, проявляется разнообразными симптомами, которые могут варьироваться от болей в спине до неврологических нарушений. На ранних стадиях пациенты часто жалуются на локализованную боль, которая усиливается при движении. Важно отметить, что симптомы могут быть не специфичными, что затрудняет диагностику на начальных этапах.
Лечение болезни Потта требует комплексного подхода. Врачи подчеркивают необходимость раннего выявления и назначения противотуберкулезной терапии, которая является основой лечения. В некоторых случаях может потребоваться хирургическое вмешательство для устранения деформаций позвоночника или стабилизации пораженных участков. Регулярное наблюдение и контроль состояния пациента играют ключевую роль в успешном лечении и предотвращении осложнений.
https://youtube.com/watch?v=LLXOjGhQWEI
Откуда берется болезнь Потта?
Пути передачи туберкулезного спондилита, также известного как болезнь Потта, связаны с инфекциями, которые могут переносить люди, зараженные микобактериями. В некоторых случаях источником инфекции могут быть и животные. Основным источником спондилита являются пациенты с активной формой туберкулеза. Поэтому важно избегать контактов с такими людьми, особенно если есть подозрения на наличие у них заболевания. Некоторые из них могут даже не подозревать о своем состоянии. В связи с этим следует соблюдать правила личной гигиены и регулярно мыть руки после возвращения с улицы.
Наиболее распространенный способ передачи инфекции — воздушно-капельный. В этом случае мельчайшие капли мокроты, содержащие бактерии, проникают в легкие здорового человека. Наибольшую опасность представляют те, кто активно выделяет бактерии, так как они могут распространять инфицированные капли даже во время обычного разговора. Инфекция выделяется в воздух при чихании, кашле или громкой беседе. Аэрозоль с бактериями может оставаться в закрытом помещении до одного часа, после чего оседает на мебели, полу, стенах и продуктах питания.
Закрытые, плохо проветриваемые помещения создают наилучшие условия для передачи инфекции. Поэтому важно регулярно проветривать как жилые, так и рабочие пространства. Кроме того, существует риск заражения и от животных. Контакт с ними не всегда необходим, так как бактерии могут попасть в организм через продукты питания, такие как молоко от коров и коз или мясо от свиней и овец.
| Симптом | Стадия заболевания | Лечение |
|---|---|---|
| Боль в спине (часто в поясничном отделе), усиливающаяся при движении и ночью | Ранняя | Противотуберкулезная терапия (многокомпонентная, длительная, подбирается индивидуально врачом) |
| Сколиоз (искривление позвоночника) | Ранняя/средняя | Иммобилизация (гипсовый корсет, ортез), физиотерапия |
| Ограничение подвижности позвоночника | Средняя | Хирургическое вмешательство (в случае неэффективности консервативного лечения, абсцессов, нестабильности позвоночника) |
| Мышечная слабость | Средняя/поздняя | Лечебная физкультура (после снятия острой фазы) |
| Лихорадка, потливость, слабость | Ранняя/средняя/поздняя | Противотуберкулезная терапия, симптоматическое лечение |
| Абсцесс (гнойное скопление) | Средняя/поздняя | Хирургическое дренирование абсцесса, антибиотикотерапия |
| Неврологические симптомы (парезы, параличи) | Поздняя | Хирургическое вмешательство (декомпрессия спинного мозга), противотуберкулезная терапия |
| Деформация позвоночника | Поздняя | Хирургическая коррекция деформации (в некоторых случаях) |
| Потеря веса | Ранняя/средняя/поздняя | Противотуберкулезная терапия, диета, витаминотерапия |
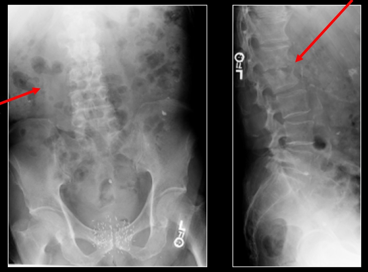
Как проводят диагностику болезни?
Дифференциальная диагностика болезни Потта включает обзорную рентгенографию и томографию пораженного участка позвоночника в двух проекциях.
Для определения источника инфекции применяются стереофистулография и абсцессография. Оценка уровня и степени распространения патологии спинного мозга осуществляется с помощью пневмомиелографии, при которой контрастом служит кислород, вводимый во время люмбальной пункции.
Также необходимо провести веноспондилографию позвоночника, что позволяет точно оценить степень сосудистых нарушений при туберкулезном спондилите. Эффективность диагностики во многом зависит от качества рентгеновских снимков.
Для выявления заболевания часто используют компьютерную томографию и боковые рентгенограммы грудной клетки (переднезадние). Современно оборудованные медицинские центры предлагают анализ титров тифоидных и паратифоидных инфекций для диагностики болезни Потта. В сложных случаях может потребоваться игловая биопсия.
Своевременная диагностика и адекватное лечение позволяют достичь быстрого и положительного результата.
Болезнь Потта, или туберкулезный спондилит, вызывает много обсуждений среди пациентов и врачей. Люди отмечают, что симптомы часто проявляются постепенно: сначала появляются боли в спине, которые могут усиливаться при движении. Некоторые пациенты жалуются на утреннюю скованность и общую слабость. Важно, что многие не связывают эти симптомы с туберкулезом, что затягивает диагностику. Лечение обычно включает длительный курс противотуберкулезных препаратов, а также физиотерапию для восстановления подвижности. Некоторые пациенты делятся положительным опытом, отмечая, что комплексный подход к лечению помогает значительно улучшить качество жизни. Однако важно помнить, что каждый случай индивидуален, и необходима консультация специалиста для выбора оптимальной терапии.
https://youtube.com/watch?v=NIx84YXg3S4
Методы терапии
Лечебные мероприятия включают комбинацию антибиотикотерапии и хирургического вмешательства. Антибактериальные препараты назначаются как до операции, так и после. Обычно врачи рекомендуют следующие средства:
- Рифампицин;
- Изониазид;
- Пиразинамид;
- Этамбутол.
Эти лекарства принимаются в комплексе на протяжении длительного времени по установленной схеме. В некоторых случаях пациентам могут назначаться капельницы. Если консервативное лечение не приносит результатов, специалисты рекомендуют хирургическое вмешательство. Хотя операция в более позднем возрасте не всегда может полностью устранить инвалидность, она значительно облегчает состояние пациента.
Основные показания для проведения операции включают:
- разрушение тел позвонков;
- абсцессы в тканях;
- нарушения в работе спинного мозга и его корешков;
- наличие свищей с гнойными выделениями;
- болевые ощущения в области спины и нестабильность позвоночника.
Важно отметить, что операция противопоказана пациентам с тяжелыми сердечно-сосудистыми заболеваниями.
Перед хирургическим вмешательством необходимо провести процедуры, направленные на укрепление позвонков с использованием специальных металлических конструкций. Установка таких устройств осуществляется со стороны остистых отростков. Через 2–3 дня выполняется следующий этап операции, в ходе которого удаляется поврежденная ткань и заменяется трансплантатом. В качестве трансплантата может использоваться кусок собственной костной ткани, взятый из удаленного ребра или крыла подвздошной кости. Также для замены поврежденной части применяются гидроксиапатитные, углеродные имплантаты или изделия из никелида титана.
После операции назначается курс реабилитации. Основная цель на этом этапе — полное восстановление функций позвоночника и возвращение пациента к привычной жизни. Для этого используются специальные ортопедические бандажи, массаж и лечебная физкультура. Врачи также рекомендуют посещение санаториев или теплых курортов для улучшения состояния пациента.
Помощь народной терапии
На начальных этапах болезни Потта часто применяются народные методы лечения, в частности, травяные сборы. Наиболее распространенные составы для внутреннего употребления готовятся из равных пропорций листьев березы, каштана, брусники, цветков липы, вязолистного лабазника, корней бузины и петрушки. Ингредиенты заливаются 1 литром кипятка и настаиваются 2–3 часа. Затем настой процеживают и принимают по 1 столовой ложке трижды в день.
В терапии туберкулезного спондилита также используют плоды шиповника, которые завариваются как чай. Такой напиток можно пить по 1 кружке до 5 раз в сутки. Эффективный настой готовят из зверобоя: 10 граммов сушеной травы заливают 250 мл кипяченой воды, настаивают 20 минут, процеживают и принимают по 1 столовой ложке после еды трижды в день.
Для отваров часто используют:
- солодку;
- мать-и-мачеху;
- сосновые почки;
- сельдерей;
- облепиху.
Врачи рекомендуют употреблять много морковного и свекольного сока, так как они помогают в борьбе с заболеванием. Лучше пить натуральные соки перед обедом (в 12–14 часов). Часто готовят лечебные смеси на основе грецкого ореха: 3 столовые ложки измельченного ореха смешивают с 2 чайными ложками меда. Употреблять такую смесь следует утром (после пробуждения) и вечером (перед сном) по 1 столовой ложке.
Для лечения туберкулезного спондилита также используют пчелиный подмор. Готовят настойку из 100 граммов измельченного подмора, заливая его 1 литром водки и настаивая в темном месте 20 дней. Настойку принимают внутрь по 1 столовой ложке дважды в день на протяжении месяца.
Часто применяют хвойный экстракт, который добавляют в горячую ванну. Рекомендуется проводить такие процедуры ежедневно в течение 15 минут. Хороший эффект дает лавандовое масло, которое можно добавлять в ванну или использовать для растирания больных участков. При спондилите полезно пить сок из свежего винограда: сначала по 1 стакану трижды в день, затем постепенно увеличивать дозу вдвое на протяжении 4 недель, после чего следует уменьшать количество сока.
Лечение болезни Потта требует строгого соблюдения правильного питания. Рекомендуется увеличивать потребление белковой пищи и витаминов, а также исключить жирные блюда и алкогольные напитки.
Если заболевание выявлено на ранней стадии, есть возможность избавиться от него без серьезных последствий для здоровья.
https://youtube.com/watch?v=vuAO9EGPIOU
Вопрос-ответ
Как лечить туберкулезный спондилит?
Медицинская терапия. Наиболее частым протоколом, используемым для лечения туберкулеза позвоночника, является комбинация рифампицина, изониазида, этамбутола и пиразинамида в течение двух месяцев, а затем комбинация рифампицина и изониазида в течение общего периода 6, 9, 12 или 18 месяцев.
Каковы симптомы туберкулеза позвоночника?
Туберкулез позвоночника — часто встречающаяся внелегочная форма туберкулеза, характеризующаяся формированием гранулемы (узелок), постепенной деструкцией костей осевого скелета и развитием стойких органических и функциональных нарушений.
Как лечится туберкулез позвоночника?
Как лечится болезнь Потта? Лечение болезни Потта происходит поэтапно, с приемом определенных лекарств в течение нескольких месяцев. Ваш лечащий врач может порекомендовать вам прием следующих химиотерапевтических препаратов: изониазид, рифампицин, пиразинамид, этамбутол и/или стрептомицин в течение двух месяцев.
Советы
СОВЕТ №1
Обратите внимание на ранние симптомы. Если вы испытываете постоянную боль в спине, особенно в нижней части, или замечаете ограничение подвижности, не откладывайте визит к врачу. Раннее выявление болезни Потта может значительно улучшить прогноз лечения.
СОВЕТ №2
Следите за своим иммунитетом. Укрепление иммунной системы с помощью правильного питания, регулярной физической активности и достаточного сна может помочь в профилактике туберкулезного спондилита. Также избегайте стрессов и курения, так как они могут ослабить защитные функции организма.
СОВЕТ №3
Соблюдайте предписания врача. Если вам поставили диагноз, строго следуйте рекомендациям по лечению, включая прием назначенных медикаментов и регулярные обследования. Пропуск лекарств или несоблюдение режима может привести к ухудшению состояния и развитию осложнений.
СОВЕТ №4
Обсуждайте свои опасения с медицинским специалистом. Не стесняйтесь задавать вопросы о своем состоянии и лечении. Понимание процесса и активное участие в своем лечении могут помочь вам лучше справляться с болезнью и улучшить качество жизни.




