Когда назначают процедуру?
Исследование назначается при подозрениях на проблемы с опорно-двигательной системой. Рентгенография грудного отдела выполняется в следующих случаях:
- При болях в спине при наклонах и поворотах, а также дискомфорте в области грудной клетки для выявления заболеваний позвоночника.
- При наличии сколиоза. Регулярные обследования важны для мониторинга прогрессирования заболевания.
- Если есть подозрения на травму грудного отдела позвоночника.
- При подозрении на опухоль.
- Если есть основания полагать, что пациент страдает от инфекционного заболевания.
- После операций по восстановлению позвоночника.
- Если существует вероятность попадания инородного тела в дыхательные пути.
Врачи отмечают, что рентгенограмма грудного отдела позвоночника является важным инструментом в диагностике различных заболеваний и травм. Она позволяет визуализировать костные структуры, выявлять деформации, опухоли и признаки остеопороза. Специалисты подчеркивают, что правильная интерпретация рентгеновских снимков требует высокой квалификации и опыта, так как многие патологии могут проявляться схожими признаками. Кроме того, рентгенография помогает в оценке состояния после травм и хирургических вмешательств. Врачи рекомендуют использовать этот метод в сочетании с другими диагностическими процедурами для более точной оценки состояния пациента и выбора оптимального лечения.
https://youtube.com/watch?v=ZINVhvmb_uw
Подготовка и проведение рентгенографии
Рентгенография не требует специальной подготовки. Однако для повышения комфорта перед процедурой рекомендуется избегать продуктов, вызывающих повышенное газообразование в кишечнике.
Перед началом исследования пациенту нужно раздеться до пояса и снять все металлические аксессуары. Во время процедуры важно оставаться неподвижным.
Для достижения более точных результатов рентгенографию проводят в двух проекциях:
- Прямой.
- Боковой.
Процесс выполнения процедуры:
- В боковой проекции пациент располагается на диагностическом столе, лежа на боку. Рука с той стороны, на которой он лежит, должна быть поднята вверх, а голова положена на нее. Ноги сгибаются, а другой рукой пациент обнимает колени и прижимает их к животу.
- В прямой проекции пациент укладывается на спину, ноги выпрямлены, а руки располагаются вдоль тела.
Функциональные пробы для исследования грудного отдела применяются крайне редко, так как этот участок имеет низкую подвижность. Если врач считает такую пробу необходимой, он определяет, в какой позе следует провести обследование для установления причины боли.
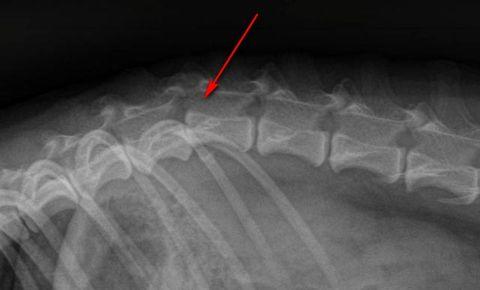
| Название структуры | Описание на рентгенограмме | Патологические изменения |
|---|---|---|
| Тела позвонков | Квадратные структуры, расположенные друг над другом. | Уменьшение высоты, компрессионные переломы, деформации, склероз, очаги разрушения |
| Межпозвонковые диски | Пространства между телами позвонков. | Уменьшение высоты, протрузии, грыжи, остеофиты |
| Остистые отростки | Задние выступы позвонков. | Деформации, переломы |
| Суставные отростки | Соединяют позвонки сзади. | Остеоартроз, анкилоз |
| Реберно-позвоночные суставы | Место соединения ребер и позвонков. | Остеоартроз |
| Позвоночный канал | Пространство, в котором находится спинной мозг. | Стеноз |
| Передняя продольная связка | Видна на боковой проекции. | Оссификация |
| Задняя продольная связка | Видна на боковой проекции. | Оссификация |
Что можно увидеть на снимке?
Только врач может оценить и проанализировать результаты рентгеновского исследования. Снимки, полученные в ходе процедуры, обычно становятся доступны на следующий день.
Что можно увидеть на рентгене:
- состояние суставных щелей;
- наличие или отсутствие переломов и смещений;
- состояние костной ткани позвонков;
- состояние поверхностей позвонков;
- форму позвонков;
- размеры и расположение остистых отростков позвонков.
Рентгеновское исследование не позволяет визуализировать мышцы, связки и мягкие ткани, которые также могут вызывать болевые ощущения. Если рентгенограмма не выявила патологий, но боли при движении продолжаются, необходимо провести дополнительные исследования для оценки состояния мышц и связок.
Обследование позволяет выявить патологии костной и хрящевой системы. На снимках можно обнаружить следующие заболевания:
- остеохондроз;
- сколиоз;
- переломы;
- опухоли позвоночника;
- смещения позвонков;
- патологические изменения костной ткани позвоночника;
- туберкулез позвоночника;
- нарушения строения суставов;
- протрузии;
- истончение межпозвоночных дисков;
- генетические аномалии позвоночного столба;
- трещины позвонков;
- аутоиммунные заболевания — болезнь Бехтерева, ревматоидный артрит, ревматизм.
Рентгеновский снимок представляет собой черно-белое изображение, где белые области соответствуют костной ткани. Хрящевая ткань на снимках не видна, однако врач может оценить толщину межпозвоночного диска по расстоянию между позвонками. Темные пятна могут указывать на наличие новообразований.
Рентгенограмма грудного отдела позвоночника — это важный диагностический инструмент, который позволяет врачам оценить состояние костной структуры и выявить возможные патологии. Многие пациенты отмечают, что процедура проходит быстро и безболезненно, что значительно снижает уровень стресса. Однако некоторые выражают опасения по поводу радиационного облучения, хотя современные технологии минимизируют этот риск. Врачам рентген помогает диагностировать такие заболевания, как остеохондроз, грыжи межпозвоночных дисков и травмы. Люди также подчеркивают важность консультации с врачом после получения результатов, чтобы правильно интерпретировать данные и определить дальнейшие шаги в лечении. В целом, рентгенография остается незаменимым методом в современной медицине, позволяя своевременно выявлять и лечить заболевания позвоночника.
https://youtube.com/watch?v=tsBf_veYaYE
Противопоказания
Рентгеновское исследование позвоночника, как и любая другая диагностическая процедура, имеет противопоказания. Его не следует проводить беременным женщинам, так как даже минимальная доза облучения, безопасная для взрослых, может негативно повлиять на развивающийся плод.
Исключение составляют критические состояния, когда риск от выполнения процедуры значительно меньше, чем угроза для жизни женщины при отказе от исследования.
Рентгенография не рекомендуется детям младше 15 лет по той же причине: воздействие радиации может быть опасным для еще не полностью сформировавшегося организма.
Кроме того, рентгеновское оборудование не предназначено для пациентов с весом более 130 кг. Люди с выраженной степенью ожирения не могут пройти данное обследование из-за своего веса. Процедура не имеет смысла для тех, кто страдает от избыточной массы тела, так как большое количество жировой ткани может привести к нечетким снимкам, затрудняющим диагностику.
Также нельзя проводить рентген, если ранее были выполнены исследования с использованием бариевой взвеси, так как ее присутствие в организме может исказить результаты. В этом случае необходимо подождать 4–5 дней, пока барий не выведется из организма.
Рентгенография считается безопасной при соблюдении всех рекомендаций. Однако частое проведение таких обследований может негативно сказаться на здоровье. Тем не менее, это воздействие менее опасно, чем отсутствие достоверной информации о состоянии здоровья, поэтому при наличии показаний рентген необходимо выполнять.
Вопрос-ответ
https://youtube.com/watch?v=wYj9Xs15AtU
Что нельзя делать перед рентгеном грудного отдела?
Перед рентгеном грудного блока позвоночника надо: выспаться, сделать клизму за 10 минут до рентгена отдела (присутствие переработанных продуктов в тракте может исказить клинику позвоночника), не завтракать (перед рентгеном отдела грудины нельзя потреблять даже кофе или чай).
Какие болезни покажет рентген грудной клетки?
Исследование показывает различные опухоли, профессиональные заболевания, пневмонию, туберкулез и многое другое. Также рентген грудной клетки помогает выявить патологии лимфоузлов и позвоночного столба, болезни перикарда и другие сердечные пороки.
Советы
СОВЕТ №1
Перед проведением рентгенографии грудного отдела позвоночника обязательно проконсультируйтесь с врачом. Он поможет определить необходимость исследования и объяснит, как правильно подготовиться к процедуре.
СОВЕТ №2
Убедитесь, что вы сняли все металлические предметы, такие как украшения, ремни и часы, перед рентгеном. Это поможет избежать искажений на снимках и обеспечит более точные результаты.
СОВЕТ №3
Обсудите с врачом возможные риски и преимущества рентгенографии, особенно если вы беременны или планируете беременность. В некоторых случаях могут быть предложены альтернативные методы диагностики.
СОВЕТ №4
После получения результатов рентгенографии обязательно обсудите их с вашим врачом. Он поможет интерпретировать снимки и предложит дальнейшие шаги в лечении или диагностике.



