Отличительные черты патологии, ее виды
Плечевое сплетение состоит из нервных волокон, исходящих от шейного, спинномозгового и грудного отделов позвоночника. Эти волокна соединяют шею с грудиной и формируют пучки, окружающие подмышечную артерию. Они отвечают за работу верхних конечностей. Воспалительные процессы в плечевых нервах могут вызывать болезненные ощущения в руке с пораженной стороны. Это приводит к снижению подвижности конечности и затруднениям в выполнении простых действий, таких как держание ручки, чистка зубов или вставка ключа в замок.
Тяжелая форма плексопатии может привести к полной утрате чувствительности конечности, атрофии мышц и даже параличу.
В зависимости от места воспалительного процесса врачи выделяют три типа плексита:
- тотальный (распространяется на все плечевое сплетение);
- верхний, или паралич Дюшена-Эрба (возникает при воспалении верхнего ствола плечевого сплетения);
- нижний, или паралич Дежерин-Клюмпке (затрагивает нижние ветви плечевого сплетения).
Плексит плечевого сплетения обычно поражает одну руку, но в тяжелых случаях может затронуть обе верхние конечности. Эта патология не является исключительно возрастной; ею могут страдать как взрослые, так и дети. Наиболее часто плексит диагностируется у людей в возрасте от 20 до 60 лет, причем мужчины подвержены этому заболеванию значительно чаще, чем женщины.
Врачи отмечают, что проявления плексопатии плечевого сплетения могут варьироваться в зависимости от причины и степени повреждения нервов. Основные симптомы включают боль, онемение и слабость в области плеча и руки. Специалисты подчеркивают, что ранняя диагностика и правильное лечение играют ключевую роль в восстановлении функции конечности. В некоторых случаях плексопатия может быть связана с травмами, опухолями или воспалительными процессами. Врачи рекомендуют комплексный подход к лечению, включая физиотерапию, медикаментозную терапию и, в редких случаях, хирургическое вмешательство. Важно также учитывать индивидуальные особенности пациента, чтобы выбрать наиболее эффективную стратегию лечения.
https://youtube.com/watch?v=YhE–Sw6sug
Причины
Плексит может развиваться по различным причинам. К факторам, способным его вызвать, относятся:
- травмы плечевых или шейных нервных сплетений, возникающие при растяжении связок, вывихах, ушибах плеча, переломах ключицы и ранениях;
- родовые травмы у новорожденных, возникающие из-за неправильного положения плода или длительного пребывания ребенка в родовых путях;
- синдром реберно-ключичного соединения;
- длительное нахождение в неудобной позе, что может привести к сжатию плечевых нервов (это часто наблюдается у людей, которые долго лежат или ведут малоподвижный образ жизни);
- остеохондроз в шейной или грудной области;
- заболевания, связанные с нарушениями обмена веществ, такие как подагра или сахарный диабет;
- патологии лимфатической системы;
- инфекции, например, герпес или грипп, и другие инфекционные заболевания;
- наличие доброкачественных или злокачественных опухолей;
- длительное переохлаждение организма.
| Симптом | Возможная причина (в рамках плечевого плексита) | Локализация боли/онемения |
|---|---|---|
| Боль в плече, шее, руке | Повреждение нервных корешков C5-T1 | Плечо, шея, рука (часто распространяется по всей руке) |
| Онемение и парестезии | Сжатие или повреждение нервных волокон | Рука, пальцы (часто в определённых областях, в зависимости от затронутого нерва) |
| Мышечная слабость | Повреждение нервных волокон, иннервирующих мышцы | Плечо, рука, предплечье (зависит от затронутых нервов) |
| Атрофия мышц | Длительное нарушение иннервации мышц | Плечо, рука, предплечье (зависит от затронутых нервов) |
| Ограничение подвижности | Боль, мышечная слабость, атрофия | Плечо, локоть, кисть |
| Изменение рефлексов | Повреждение нервных путей | Бицепс, трицепс, другие рефлексы руки |
| Синдром Горнера (редко) | Поражение шейного симпатического ствола | Птоз (опущение верхнего века), миоз (сужение зрачка), энофтальм (втяжение глазного яблока) |
Симптоматика
Плексопатия плечевого сустава определяется по характерным симптомам:
- Боль различной интенсивности, локализующаяся в области плечевого сплетения и на внутренней стороне кисти.
- Нарушение мелкой моторики затронутой части тела.
- Парестезия внутренней поверхности кисти.
При инфекционном плексите у пациента часто наблюдаются изменения в органах зрения на стороне пораженной конечности. Это может проявляться в сужении зрачка, нарушениях работы глазодвигательных мышц и энофтальме глазного яблока.
Посттравматическая плексопатия обычно сопровождается болями в области надключичной и подключичной зон, которые могут иррадиировать в руку. Для этого состояния характерны отечность пораженной руки, посинение кожных покровов, повышенная потливость ладони, изменения в форме и цвете ногтей, а также атрофические парезы и параличи. Также может наблюдаться слабый пульс на лучевой артерии.
Верхняя плечевая плексопатия (паралич Дюшена-Эрба) имеет свои специфические проявления. Этот тип патологии сопровождается снижением чувствительности внешней поверхности плеча и предплечья, а также затруднениями при отведении руки в стороны или сгибании в локтевом суставе.
Плексопатия плечевого сплетения, или плексит, вызывает множество обсуждений среди пациентов и специалистов. Люди, столкнувшиеся с этой проблемой, часто описывают сильные боли в области плеча и руки, которые могут сопровождаться онемением и слабостью. Многие отмечают, что симптомы могут возникать после травм или физических нагрузок, что делает их особенно актуальными для спортсменов и активных людей.
Некоторые пациенты делятся своим опытом лечения, включая физиотерапию и медикаментозную терапию, которые помогают облегчить состояние. В то же время, существует и множество мифов о плексите, например, о том, что он всегда требует хирургического вмешательства. На практике же большинство случаев можно успешно лечить консервативными методами. Важно, чтобы люди не игнорировали первые признаки заболевания и обращались за медицинской помощью, чтобы избежать осложнений и восстановить нормальную функцию руки.
https://youtube.com/watch?v=dppj3yl5wbU
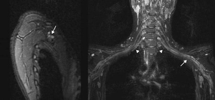
Диагностические методы
Современная диагностика плексита не вызывает затруднений. В большинстве случаев её проводит врач (травматолог, невропатолог или ортопед) на основе жалоб пациента и данных различных исследований, включая:
- рентгенографию;
- электромиографию;
- ультразвуковое обследование;
- магнитно-резонансную томографию.
Традиционные подходы к терапии
Лечение плексита плечевого сустава назначается врачом на основе результатов обследования. Если заболевание выявлено на ранней стадии, его можно успешно лечить в домашних условиях, следуя рекомендациям специалиста. Запущенные формы плексопатии требуют стационарного лечения.
В борьбе с этой болезнью медики применяют комплексный подход, который помогает устранить симптомы и воздействует на причины, способствующие развитию заболевания. Пациентам с диагнозом плексопатия плечевого сплетения врачи рекомендуют медикаментозное лечение. Традиционная терапия включает препараты с обезболивающим и противовоспалительным эффектом, а также средства, улучшающие проводимость нервных волокон и кровообращение, такие как цианокобаламин и тиамин.
В дополнение к медикаментозной терапии назначают физиотерапевтические процедуры. К методам физиотерапии, применяемым при данной патологии, относятся:
- массаж;
- бальнео- и лазеротерапия;
- грязелечение;
- электрофорез;
- УВЧ-терапия;
- индуктофорез;
- использование импульсных токов;
- ультрафонотерапия с гидрокортизоном и другие.
Физиопроцедуры повышают эффективность лекарств и ускоряют процесс выздоровления.
Дополнительным методом лечения плексопатии плечевого сплетения является лечебная физкультура, которую рекомендуется начинать после окончания острого периода заболевания. ЛФК при плексите помогает уменьшить болевые ощущения в руке и улучшить её чувствительность. Комплекс упражнений направлен на укрепление мышц плеча, предплечья и кисти.
Упражнения при плексите следует выполнять 2–3 раза в день, уделяя каждому занятию не менее 15 минут. В лечебный комплекс входят следующие упражнения:
- поочередное поднятие и опускание плеч;
- разведение и сведение лопаток;
- медленное сгибание рук в локтях и плечевых суставах;
- круговые и перекрестные махи руками;
- подъем прямых рук над головой;
- упражнения на шведской стенке и тренажерах (под контролем инструктора).
Занятия физкультурой пациентам с плекситом плечевого сустава рекомендуется проводить стоя, выполняя каждое упражнение по 7–10 раз. Кроме лечебной физкультуры полезны занятия плаванием и умеренные физические нагрузки.
Хирургическое вмешательство для лечения плечевой плексопатии рекомендуется только в крайних случаях, когда причиной заболевания являются травматический плексит, реберно-ключичный синдром и другие патологии, которые невозможно устранить консервативными методами.
https://youtube.com/watch?v=q9KMsvPRDVk
Борьба с болезнью народными методами
Люди с диагнозом плексит плечевого сустава могут дополнить традиционное лечение альтернативными средствами. Эти методы способны облегчить состояние пациента и повысить эффективность терапии.
-
Специалисты в области нетрадиционной медицины рекомендуют использовать кору белой ивы (ветлы). Для этого 15 г измельченной коры заливают 200 мл кипятка и настаивают 40 минут. Затем марлю, сложенную в четыре слоя, смочите в настое и приложите к пораженному участку на 1 час. Такой компресс помогает уменьшить болевые ощущения и замедлить развитие болезни.
-
Также рекомендуется спиртовой настой мумие (10%) для лечения. Для восстановления чувствительности руки раствор необходимо втирать в пораженный сустав ежедневно в течение 5 минут.
-
При плексите плечевого сплетения пациентам советуют каждый вечер перед сном принимать теплые ванны с добавлением отвара мяты. Эти процедуры помогают снизить воспаление и болевой синдром в проблемной области, способствуя более быстрому выздоровлению.
Вопрос-ответ
Каковы симптомы плексалгии плечевого сустава?
Плечевой плексит манифестирует болевым синдромом — плексалгией, носящей стреляющий, ноющий, сверлящий, ломящий характер. Боль локализуется в области ключицы, плеча и распространяется на всю верхнюю конечность. Усиление болевых ощущений наблюдается в ночное время, провоцируется движениями в плечевом суставе и руке.
Является ли плечевой плексит серьезным заболеванием?
Боль при повреждении плечевого сплетения может быть как лёгкой, так и сильной, и временной или хронической, в зависимости от типа и степени травмы. Например, простое растяжение нерва может болеть около недели, но разрыв нерва может вызвать серьёзную, длительную боль, которая может потребовать физиотерапии и, возможно, хирургического вмешательства.
Советы
СОВЕТ №1
Обратитесь к врачу при первых симптомах. Если вы заметили боль, онемение или слабость в руке, не откладывайте визит к специалисту. Раннее обращение поможет избежать осложнений и ускорит процесс восстановления.
СОВЕТ №2
Регулярно выполняйте упражнения для укрепления плечевого пояса. Легкие растяжки и укрепляющие упражнения помогут улучшить кровообращение и снизить риск возникновения плексопатии. Обязательно проконсультируйтесь с физиотерапевтом для подбора безопасного комплекса.
СОВЕТ №3
Избегайте длительных нагрузок на плечевой пояс. Если ваша работа или хобби связаны с постоянным напряжением в области плеч, старайтесь делать перерывы и менять положение тела, чтобы снизить риск травмирования плечевого сплетения.
СОВЕТ №4
Следите за осанкой. Правильная осанка помогает распределить нагрузку на плечи и спину, что может снизить риск развития плексопатии. Убедитесь, что ваше рабочее место организовано эргономично, и старайтесь поддерживать спину в прямом положении.





