Виды новообразования
Остеома может иметь различные структуры, которые влияют на клинические проявления заболевания.
Врачи отмечают, что остеома, доброкачественная опухоль костной ткани, чаще всего проявляется в виде безболезненных образований, которые могут быть случайно обнаружены при рентгенологическом исследовании. Основные симптомы могут включать локальную боль или дискомфорт, особенно если опухоль находится в области суставов или позвоночника. Лечение остеомы, как правило, хирургическое, особенно если опухоль вызывает симптомы или находится в труднодоступных местах. Врачи подчеркивают важность индивидуального подхода к каждому пациенту, учитывая размер и расположение остеомы, а также общее состояние здоровья. В большинстве случаев прогноз после удаления остеомы благоприятный, и рецидивы встречаются крайне редко.
https://youtube.com/watch?v=Ha4gfd486i8
Виды опухоли по плотности:
-
Твердая. Обладает высокой плотностью, состоит из концентрических слоев и напоминает слоновую кость. В такой остеоме содержится минимальное количество костномозговой ткани, и практически отсутствуют гаверсовые каналы.
-
Губчатая. При разрезе имеет пористую структуру, схожую с губкой. Она пронизана кровеносными сосудами и содержит значительное количество мягкой жировой и соединительной ткани. Губчатая остеома чаще всего встречается на трубчатых костях и может отдаляться от кости в результате интенсивного роста.
-
Мозговидная. Характеризуется наличием полостей, заполненных мозговым веществом. Эта форма чаще всего развивается в лицевых костях черепа.
В зависимости от расположения образования относительно кости, остеомы делятся на внутрикостные и компактные. Компактные остеомы формируются на поверхности кости и соединяются с ней широким основанием или ножкой. Внутрикостные образования имеют четкие границы и отделены от здоровых тканей.
| Симптом/Локализация | Особенности проявления остеомы | Методы лечения |
|---|---|---|
| Бессимптомное течение | Часто обнаруживается случайно при рентгенологическом исследовании, проводимом по другому поводу. | Наблюдение (при отсутствии роста и симптомов) |
| Головная боль (при локализации в черепе) | Может быть постоянной или периодической, интенсивность варьируется. | Хирургическое удаление (при выраженной симптоматике) |
| Деформация кости | Визуально заметное изменение формы кости в месте локализации остеомы. | Хирургическое удаление (в эстетических целях или при функциональных нарушениях) |
| Неврологическая симптоматика (при компрессии нервов) | Зависит от локализации и степени компрессии нерва (парезы, параличи, нарушения чувствительности). | Хирургическое удаление (для декомпрессии нерва) |
| Боль в месте локализации (редко) | Может быть тупой, ноющей или острой, усиливающейся при пальпации. | Анальгетики (при умеренной боли), хирургическое удаление (при выраженной боли) |
| Нарушение функции органа (при локализации вблизи суставов или полостей) | Ограничение подвижности сустава, затруднение дыхания (при локализации в носовой полости). | Хирургическое удаление (для восстановления функции) |
| Остеома в пазухах носа | Может вызывать заложенность носа, ринит, синусит. | Эндоскопическая хирургия |
| Остеома в челюсти | Может вызывать асимметрию лица, затруднение жевания. | Хирургическое удаление |
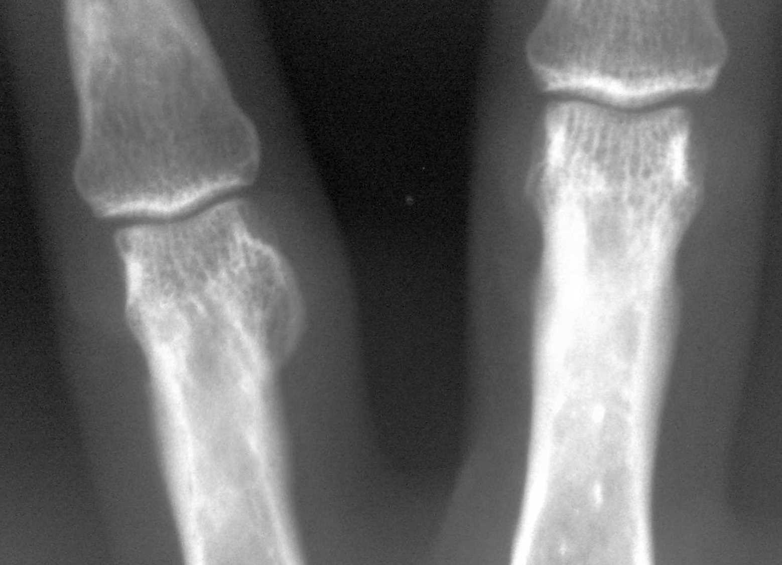
Диагностика заболевания
Поставить диагноз на ранних этапах остеомы сложно, так как характерные симптомы отсутствуют. Внешний вид кости остается нормальным, и только при значительном увеличении опухоли можно заподозрить проблему. Обычно заболевание выявляется случайно во время рентгенологического обследования по другим причинам.
Основная задача диагностики — не только установить диагноз, но и определить размеры образования, его структуру, границы и возможные осложнения. Крайне важно провести дифференциальную диагностику с остеохондромой, фиброзной дисплазией, саркомой и другими злокачественными образованиями, чтобы избежать прогрессирования рака, приняв его за доброкачественную опухоль.
Ключевые методы диагностики:
- Рентгенография. Исследование проводится в двух проекциях, что позволяет точно определить локализацию и размеры остеомы, а также степень разрушения окружающих тканей. Однако небольшая опухоль может быть не видна на рентгеновском снимке, поэтому этот метод не отличается высокой точностью.
- МРТ и КТ. Эти методы обладают высокой чувствительностью и позволяют получить множество снимков кости в разрезе. С помощью МРТ можно уточнить тип новообразования и установить его границы.
- Гистологическое исследование. Образец ткани получают через пункцию или во время хирургического вмешательства. Этот метод позволяет точно определить тип опухоли, ее структуру и каналы, а также наличие или отсутствие очагов склерозирования.
- Риноскопия носа при расположении опухоли в лицевых костях. Исследование проводится с использованием специального зеркала, что позволяет визуально осмотреть слизистую оболочку носовых раковин и выявить признаки заболевания.
- Сцинтиграфия костей. Это радиоизотопное исследование помогает обнаружить аномальные ткани на ранних стадиях заболевания.
Остеома — это доброкачественная опухоль, которая чаще всего возникает в костной ткани черепа и лицевой области. Люди, столкнувшиеся с этой проблемой, отмечают, что проявления остеомы могут быть разнообразными: от бессимптомного течения до болей и дискомфорта в области опухоли. Некоторые пациенты сообщают о визуальных изменениях, таких как выпуклости на черепе. Лечение остеомы обычно хирургическое, и многие специалисты подчеркивают важность ранней диагностики. Важно, чтобы пациент прошел полное обследование, так как остеомы могут быть похожи на другие образования. После удаления опухоли, как правило, прогноз благоприятный, и рецидивы встречаются крайне редко. Однако, несмотря на доброкачественный характер, важно следить за состоянием и регулярно консультироваться с врачом.
https://youtube.com/watch?v=Vfw14ZEliXI
Терапия заболевания
Многих пациентов интересует, возможно ли рассасывание остеомы. К сожалению, обратное развитие этого новообразования не происходит. Однако в некоторых случаях опухоль может прекратить свой рост, что позволяет избежать хирургического вмешательства.
Выбор метода лечения остеомы осуществляется после тщательного обследования пациента. Если заболевание протекает без симптомов, операция может не проводиться, но рекомендуется регулярное наблюдение за образованием для контроля его динамики.
Хирургическое вмешательство не рекомендуется пожилым людям, так как анестезия может вызвать осложнения со стороны сердечно-сосудистой системы. Кроме того, если опухоль расположена в труднодоступных областях, операция может быть связана с высоким риском кровотечений.
Хирургическое удаление остеомы необходимо в следующих случаях:
- активный рост опухоли;
- нарушение функции органа или конечности;
- ухудшение статики ног;
- выраженные болевые ощущения;
- значительное увеличение опухоли, заметное невооруженным глазом;
- деформация костей.
Оперативное лечение остеомы включает удаление не только самой опухоли, но и части пораженной кости, сохраняя при этом здоровые ткани. Это поможет предотвратить рецидив заболевания. В случае необходимости резекции значительной части кости может потребоваться установка имплантата.
Консервативное лечение направлено на облегчение симптомов и включает использование обезболивающих средств для уменьшения боли и дискомфорта. В этом случае могут применяться мази Финалгон, Капсикан, а также таблетки Диклофенак, Ибупрофен, Найз и инъекционные препараты, такие как Вольтарен из группы НПВС.
Народные методы терапии
Лечение остеомы народными средствами может существенно облегчить симптомы заболевания, уменьшить болевые ощущения и воспалительные процессы. Эти методы также помогают укрепить иммунную систему и повысить защитные функции организма.
Применять народные рецепты для лечения остеомы следует только после консультации с врачом. Самолечение может привести к нежелательным последствиям и ухудшению состояния.
Одним из популярных средств в борьбе с новообразованиями является трава чистотела. Она помогает снять боль, воспаление и спазмы, а также нормализовать работу центральной нервной системы и очистить организм от токсинов и аллергенов.
Чистотел можно использовать в различных формах:
-
Квас на основе чистотела. Для его приготовления возьмите 100 г сухой травы, поместите в хлопчатобумажный мешочек, завяжите и опустите в 3-литровую банку. Затем влейте сыворотку, добавьте 1 стакан сахара и 1 столовую ложку нежирной сметаны. Все тщательно перемешайте, закройте горлышко марлей и оставьте в теплом месте на 2 недели. По истечении этого времени аккуратно перелите жидкость в другую емкость, избегая осадка. Готовность кваса определяется по появлению пленки, яблочному аромату и горьковатому вкусу. Рекомендуется принимать по 100 мл перед каждым приемом пищи.
-
Настойка чистотела. Для ее приготовления 100 г сухих измельченных листьев и корней растения поместите в полулитровую банку и залейте водкой. Настойку оставьте в прохладном месте на 10-14 дней, периодически встряхивая. Перед употреблением настойку процедите и принимайте по 15 капель, растворив в 100-150 мл воды. Будьте осторожны с дозировкой, так как превышение может вызвать тошноту, рвоту и головокружение из-за токсичных веществ в чистотеле. При появлении побочных эффектов немедленно прекратите прием и обратитесь к врачу.
-
Сок чистотела. Свежие растения измельчите или пропустите через мясорубку, затем отожмите сок. Для лечения остеомы сок разбавьте в равных пропорциях с кипяченой водой, чтобы избежать ожога кожи. Наносите сок на область новообразования 3-4 раза в день, не втирая, а позволяя жидкости впитаться.
-
Мазь из чистотела. Это средство легко приготовить самостоятельно. Сухую траву измельчите в порошок и смешайте с вазелином или детским кремом. Мазь втирайте в пораженные участки трижды в день.
Кроме чистотела, в лечении остеомы можно использовать и другие растения с противовоспалительными, анальгезирующими и иммуномодулирующими свойствами.
Хорошие результаты дает отвар бузины. Для его приготовления 20 г сухих ягод залейте 1 стаканом кипятка и поставьте на водяную баню на 10-15 минут. После охлаждения и процеживания отвар принимайте по 50 мл трижды в день за 20-30 минут до еды.
При сильных болях можно использовать компрессы из меда, красного перца и яблочного уксуса. Все ингредиенты смешайте в равных пропорциях, затем в растворе смочите хлопчатобумажную ткань и прикладывайте к больному месту до полного высыхания. Это средство обладает выраженным отвлекающим эффектом, что помогает быстро облегчить боль и другие неприятные ощущения.
Лечение остеомы должно проходить под наблюдением врача.
Не стоит игнорировать рекомендации специалиста и пропускать плановые осмотры. Только врач может вовремя заметить рост опухоли и направить пациента на операцию.
Меньший размер остеомы способствует более быстрому восстановлению и реабилитации пациента, что снижает риск рецидива и развития послеоперационных осложнений.
https://youtube.com/watch?v=-mDP-1G46WE
Вопрос-ответ
Каковы симптомы остеомы зуба?
Остеома — это доброкачественная опухоль, развивающаяся из костной ткани, которая обычно растёт медленно и может формироваться в различных частях тела, включая челюсти. Хотя остеомы челюсти встречаются редко, их выявление важно, поскольку они могут вызвать функциональные и эстетические нарушения.
Методом лечения остеомы является?
Единственный метод радикального лечения остеомы лобной пазухи – это полное удаление патологического образования и восстановление дренажной функции синуса.
Советы
СОВЕТ №1
Регулярно проходите медицинские осмотры, особенно если у вас есть предрасположенность к образованию остеом. Раннее выявление может значительно упростить лечение и предотвратить осложнения.
СОВЕТ №2
Обратите внимание на любые изменения в состоянии костей, такие как боль или отечность. Не игнорируйте эти симптомы и обращайтесь к врачу для диагностики, так как остеомы могут проявляться различными способами.
СОВЕТ №3
Изучите доступные методы лечения остеомы, включая наблюдение, медикаментозную терапию и хирургическое вмешательство. Обсудите с врачом, какой подход будет наиболее эффективным в вашем случае.
СОВЕТ №4
Поддерживайте здоровый образ жизни, включая сбалансированное питание и регулярные физические нагрузки. Это поможет укрепить костную ткань и снизить риск развития различных заболеваний, включая остеомы.



