Проявление болезни
Болезнь Кинбека, или остеонекроз полулунной кости, занимает важное место среди восьми костей запястья и подвержена перегрузкам и микротравмам. При регулярных нагрузках или единственной травме запястья ухудшается кровоснабжение, что приводит к омертвению тканей полулунной кости, ее фрагментации и, в конечном итоге, разрушению.
Медики выделяют четыре стадии прогрессирования этого заболевания:
-
Первая стадия чаще всего протекает бессимптомно. На этом этапе ухудшается кровоснабжение кости, иногда возникают временные дискомфортные ощущения или незначительная боль в области запястья. Диагностика болезни затруднена, и многие люди не подозревают о ее наличии.
-
На второй стадии происходит склероз кости — ее затвердение из-за недостатка питательных веществ. В этот период наблюдаются постоянные отеки кисти у основания, ограниченность движений и боль при резких движениях или нагрузках. Однако могут быть и периоды ремиссии, когда пациент не испытывает дискомфорта. Прогрессирование заболевания приводит к изменению контуров кости, что видно на рентгеновских снимках.
-
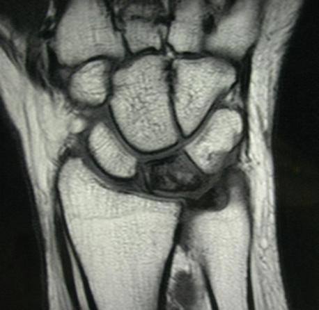
Третья стадия характеризуется уменьшением размеров лучезапястной кости, ее распадом на отдельные фрагменты и миграцией этих частиц. Симптомы болезни Кинбека становятся более выраженными, боли усиливаются. Изменения хорошо визуализируются с помощью рентгенографии или магнитно-резонансной томографии. На снимках отчетливо видны патологии полулунной кости, неровности контуров и начальные признаки распада на фрагменты.
-
Четвертая стадия сопровождается повреждением соседних костей запястья, что может привести к развитию артроза суставов. Движения запястья могут сопровождаться характерным хрустом.
Врачи отмечают, что болезнь Кинбека, характеризующаяся некрозом полулунной кости запястья, часто проявляется у молодых людей, занимающихся спортом или физическим трудом. Симптомы включают боль в запястье, ограничение движений и отек. Важно своевременно обратиться к специалисту, так как ранняя диагностика может предотвратить прогрессирование заболевания.
Лечение болезни Кинбека может варьироваться в зависимости от стадии. На ранних этапах рекомендуется консервативная терапия, включая иммобилизацию и физиотерапию. В более запущенных случаях врачи могут предложить хирургическое вмешательство, направленное на восстановление кровоснабжения или коррекцию анатомии запястья. Важно, чтобы пациенты следовали рекомендациям врачей и не игнорировали симптомы, чтобы избежать серьезных последствий для функции руки.
Болезнь Кинбека, или остеохондрит головки лучевой кости, вызывает множество обсуждений среди пациентов и специалистов. Люди, столкнувшиеся с этой проблемой, часто описывают сильные боли в запястье, ограничение движений и отечность. Многие отмечают, что симптомы могут усиливаться при физической активности, что значительно влияет на качество жизни.
В лечении болезни Кинбека применяются различные подходы. Консервативные методы, такие как физиотерапия и использование ортезов, помогают уменьшить болевые ощущения и восстановить функцию сустава. В более сложных случаях может потребоваться хирургическое вмешательство, например, остеотомия или артроскопия, что позволяет устранить поврежденные участки и восстановить кровоснабжение.
Пациенты делятся опытом, что важно не откладывать визит к врачу при первых симптомах, так как ранняя диагностика и лечение могут значительно улучшить прогноз.
https://youtube.com/watch?v=M7ly345kGBg
Лечение заболевания
Лечение болезни Кинбека
Лечение болезни Кинбека зависит от стадии заболевания и включает как консервативные, так и хирургические методы. При ранней диагностике возможно применение консервативного подхода, который включает временное обездвиживание запястья (иммобилизацию) и физиотерапию. Для этого на сустав накладывают пластиковую или гипсовую лонгету на срок до 21 дня.
Основная цель этой процедуры — восстановление кровоснабжения через существующие сосуды или формирование новых.
Если результаты лечения положительные, иммобилизацию можно прекратить. Однако в течение года необходимо проводить контрольные рентгенограммы каждые 1–1,5 месяца, чтобы подтвердить ремиссию или выявить возможное прогрессирование заболевания.
Физиотерапия включает сероводородные ванны, грязелечение и новокаиновые блокады. Однако их эффективность не была научно обоснована.
Для улучшения кровоснабжения можно использовать простые народные средства, например, прикладывать к пораженной области мешочек с горячей гречневой крупой или песком. Такие тепловые процедуры могут способствовать улучшению кровотока.
Хирургическое лечение также зависит от стадии болезни. При раннем обнаружении (1 и 2 стадии) существует высокая вероятность восстановления кровоснабжения с помощью реваскулиризующей операции. Она заключается в пересадке здорового костного фрагмента с кровеносными сосудами на полулунную кость. Запястье фиксируется лонгетой на 4 недели, что позволяет имплантату успешно прижиться и восстановить кровоток.
Если полулунная кость начинает разрушаться, применение консервативных методов или трансплантации становится нецелесообразным.
Ранее фрагментированную кость просто удаляли, что значительно ограничивало амплитуду движений запястья, но предотвращало развитие артроза.
Современные медицинские технологии позволяют сохранить структуру сустава с помощью силиконовых эндопротезов. В особенно запущенных случаях может потребоваться полное удаление суставов с последующей фиксацией костей с помощью пластин и винтов. Подвижность кисти при этом полностью утрачивается, но пациент избавляется от постоянной сильной боли.
| Стадия болезни Кинбека | Симптомы | Методы лечения |
|---|---|---|
| I (ранняя) | Незначительная боль, ограничение подвижности запястья, незначительное уплощение лучезапястного сустава. | Консервативное лечение: иммобилизация гипсовой повязкой на 6-8 недель, физиотерапия, обезболивающие препараты. |
| II (промежуточная) | Увеличение боли, выраженное ограничение подвижности, заметное уплощение лучезапястного сустава, возможна атрофия мышц кисти. | Консервативное лечение (как на I стадии), возможно добавление ортезов. В некоторых случаях – пункционная артроскопия с промыванием сустава. |
| III (поздняя) | Сильная боль, выраженное ограничение подвижности, значительное уплощение лучезапястного сустава, деформация кисти, атрофия мышц, ограничение функции кисти. | Хирургическое лечение: остеотомия, артродез, протезирование лучезапястного сустава. |
| IV (терминальная) | Выраженная деформация кисти, значительное ограничение функции, сильные боли, артроз. | Хирургическое лечение: артродез, протезирование (в зависимости от состояния сустава и пожеланий пациента). |
Вопрос-ответ
https://youtube.com/watch?v=uMS8dgM7bbU
Чем опасна болезнь Кинбека?
Болезнь Кинбека может приводить к болям в запястье, ограничению его движений и развитию дегенеративных изменений в суставе. Раннее обнаружение и лечение могут помочь предотвратить дальнейшее развитие болезни и ее осложнений.
Болезнь Кинбека — это то же самое, что и аваскулярный некроз?
Болезнь Кинбека также известна как аваскулярный некроз (АВН) полулунной кости. Полулунная кость — одна из восьми малых костей запястья. При этом заболевании полулунная кость теряет кровоснабжение, что приводит к её отмиранию.
https://youtube.com/watch?v=3-rxmc6MzBw
Что такое карпэктомия?
Карпэктомия – удаление нескольких поврежденных костей запястья. Васкуляризационная костная пластика – предусматривает установку имплантов. Артродез – создание неподвижности в суставе.
Советы
СОВЕТ №1
Обратите внимание на ранние симптомы. Если вы замечаете боль в запястье или ограничение движений, не откладывайте визит к врачу. Раннее выявление болезни Кинбека может значительно улучшить прогноз и облегчить лечение.
СОВЕТ №2
Изучите методы консервативного лечения. В некоторых случаях болезнь Кинбека можно лечить без хирургического вмешательства, используя физиотерапию, ортезы или противовоспалительные препараты. Обсудите с врачом все доступные варианты.
СОВЕТ №3
Следите за своим образом жизни. Избегайте чрезмерных нагрузок на запястье и старайтесь поддерживать здоровый вес. Регулярные упражнения для укрепления мышц и суставов помогут снизить риск обострения болезни.
СОВЕТ №4
Не забывайте о регулярных осмотрах. Если у вас уже диагностирована болезнь Кинбека, важно регулярно посещать врача для мониторинга состояния и корректировки лечения при необходимости.

