Показания к оперативному вмешательству
Операции по лечению травм лодыжки назначаются пациентам, у которых сращение костей невозможно или затруднено стандартным наложением гипса. Хирургическое вмешательство может быть рекомендовано при следующих условиях:
- значительная раздробленность костных тканей;
- наличие двойного перелома;
- открытый перелом с смещением;
- нарушение работы голеностопного сустава;
- травма с повреждением обеих лодыжек;
- перелом винтообразного или спирального типа;
- неэффективность ручного вправления смещенных фрагментов;
- старая травма или неправильное сращение костей;
- трехлодыжечный перелом с повреждением большеберцовой кости;
- разрывы связок лодыжки.
Ручное вправление костей с последующим наложением гипса возможно при травмах голеностопа без смещения, закрытых переломах и некоторых других травматических повреждениях. В редких случаях более сложные травмы могут быть устранены без хирургического вмешательства.
Для выбора метода лечения необходима диагностика. Пациенту рекомендуется пройти рентгенографию или МРТ лодыжки. Полученные изображения анализируются хирургом или травматологом для точной диагностики и определения необходимости операции. При выборе хирургического вмешательства пациенту также назначаются анализы крови и мочи, а также проводится оценка риска аллергических реакций на анестезирующие препараты.
Операция необходима для достижения следующих целей:
- остановка кровотечения из раны;
- правильное сопоставление костных фрагментов;
- восстановление анатомической формы голеностопного сустава;
- фиксация поврежденных отломков;
- сращивание поврежденных связок и соединений;
- полное восстановление функции мышц, суставов и связок лодыжки.
Хирургическое вмешательство обычно проводится под общим наркозом. Местная анестезия используется реже, когда операция занимает короткое время. Обезболивание только одной лодыжки применяется при ручном вправлении костных отломков.
Врачи отмечают, что операция при переломе лодыжки со смещением является необходимой мерой для восстановления нормальной функции конечности. При таком типе перелома важно правильно сопоставить костные фрагменты, чтобы избежать осложнений, таких как неправильное сращение или хроническая боль. Хирургическое вмешательство позволяет не только восстановить анатомическую целостность, но и обеспечить стабильность сустава. Врачи подчеркивают, что своевременное обращение за медицинской помощью и выполнение операции в первые дни после травмы значительно увеличивает шансы на успешное восстановление. После операции пациентам рекомендуется пройти курс реабилитации, что поможет вернуть подвижность и укрепить мышцы. В целом, мнение специалистов сводится к тому, что хирургическое лечение переломов лодыжки со смещением является эффективным и обоснованным подходом в травматологии.
https://youtube.com/watch?v=_8bHYDv7tdw
Процесс хирургического лечения
Существует несколько методов хирургического вмешательства, и выбор техники зависит от анализа диагностических изображений. Основные виды операций включают:
-
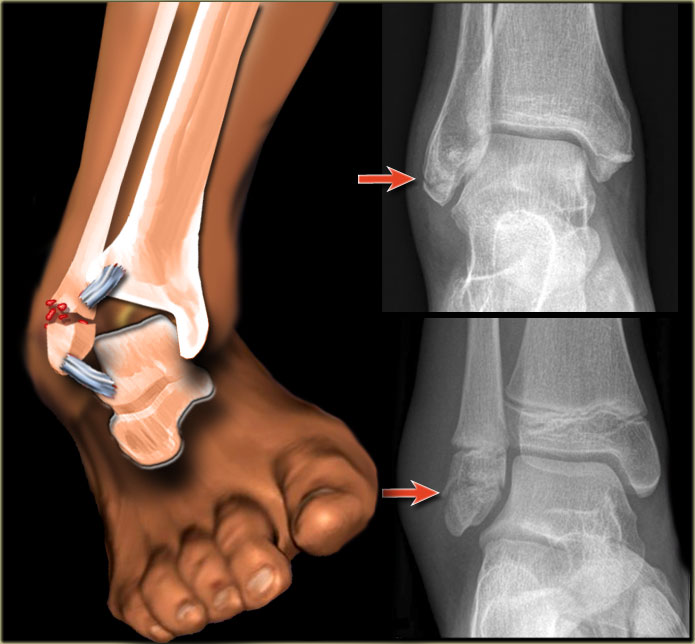
Перелом наружной лодыжки. Операция начинается с разреза кожи рядом с малоберцовой костью, который продолжается вдоль стопы. Удаляются сгустки крови и мелкие костные фрагменты. Затем фиксируются поврежденные участки, устанавливаются металлические пластины и винты для поддержки.
-
Травма медиальной лодыжки. Разрез выполняется на внутренней стороне ноги вдоль стопы. Удаляются кровяные сгустки и мелкие осколки, после чего поврежденные участки фиксируются металлическими спицами.
-
Двойной перелом. Для фиксации костей используется остеосинтез с применением различных конструкций, ограничивающих подвижность поврежденной лодыжки. Операция требует разрезов с обеих сторон стопы.
-
Перелом с вывихом внутрь. Операция включает разрез кожи и рассечение сухожилий голеностопа. Кости фиксируются штырями и пластинами, после чего мягкие ткани зашиваются.
-
Травма задней части голени с смещением. Это экстренная операция, при которой разрез выполняется вдоль ахиллова сухожилия. Удаляются сгустки крови и мелкие осколки, крупные фрагменты крепятся к большеберцовой кости с помощью винтов.
После всех операций на лодыжке накладывается гипс для обеспечения стабильности и правильного заживления.
| Этап операции | Действия хирурга | Возможные осложнения |
|---|---|---|
| Предоперационная подготовка | Оценка состояния пациента, анестезия, антисептика, позиционирование конечности | Аллергические реакции на анестезию, кровотечение |
| Открытая репозиция | Вскрытие кожных покровов, визуализация места перелома, удаление гематом и фрагментов кости, репозиция отломков | Повреждение нервов и сосудов, инфекция |
| Остеосинтез | Фиксация отломков кости с помощью пластин, винтов, спиц или внешней фиксации | Неправильное сращение костей, инфекция, повреждение мягких тканей |
| Закрытие раны | Зашивание мягких тканей, установка дренажа | Нагноение, образование гематом |
| Послеоперационный период | Иммобилизация конечности, назначение обезболивающих и антибиотиков, контроль за состоянием пациента | Тромбоэмболия, инфекция, замедленное сращение костей, невропатия |
Реабилитация
В течение первого месяца после хирургического вмешательства необходимо полностью исключить любую нагрузку на поврежденную ногу. Костыли можно использовать только через месяц после операции. Через 1-2 месяца гипс снимается и заменяется эластичным бинтом. В период реабилитации важно беречь лодыжку и избегать занятий спортом — разрешены лишь легкие прогулки.
Процесс восстановления щиколотки проходит быстрее при следующих условиях:
- молодой возраст пациента;
- отсутствие хронических заболеваний костной системы;
- строгое соблюдение рекомендаций врача;
- успешное выполнение операции;
- соблюдение диеты, богатой кальцием;
- регулярные сеансы массажа и физиотерапии;
- использование ортопедической обуви;
- выполнение легкой лечебной физкультуры;
- отсутствие чрезмерных физических нагрузок в период восстановления.
Удаление металлических пластин и винтов обычно происходит через 4-6 месяцев, реже — через год после операции, и только при условии надежного сращивания костей. В некоторых случаях инородные тела могут быть удалены раньше, если наблюдаются отторжение металлических конструкций, неправильное сращение, недостаточная фиксация или нагноение в области перелома. После повторной операции полное восстановление тканей занимает несколько месяцев.
Удаление металлических элементов не требуется, если они находятся в организме более трех лет, при глубоком врастании или в пожилом возрасте пациента. Металлоконструкции могут оставаться в лодыжке также при сложных переломах, когда нервные окончания и сосуды расположены близко к фиксаторам.
Мнения людей о проведении операции при переломе лодыжки со смещением варьируются. Многие отмечают, что хирургическое вмешательство значительно ускоряет процесс восстановления и позволяет избежать долгих периодов реабилитации. Пациенты, прошедшие операцию, часто говорят о том, что после установки металлических конструкций чувствуют себя более уверенно, так как это обеспечивает стабильность и правильное сращение костей. Однако некоторые выражают опасения по поводу возможных осложнений и длительного периода восстановления. Важным аспектом является индивидуальный подход: для одних операция становится спасением, для других — источником стресса. В целом, большинство людей согласны с тем, что своевременное обращение к врачу и правильное лечение играют ключевую роль в успешном исходе.
https://youtube.com/watch?v=n1rMSUWBa9U
Возможные осложнения
Осложнения могут возникнуть из-за неправильного лечения травмы лодыжки, задержки с обращением к врачу, наличия хронических заболеваний суставов или пожилого возраста. Они могут проявляться следующими симптомами и состояниями:
- гнойное воспаление раны;
- развитие артроза, артрита и других заболеваний суставов;
- повреждение сосудов, нервных окончаний и мягких тканей из-за неаккуратного выполнения операции;
- неправильное срастание костей;
- формирование ложного сустава;
- некротические изменения в мягких тканях;
- послеоперационные кровотечения;
- образование тромбов.
Риск возникновения осложнений значительно снижается при строгом соблюдении рекомендаций врача и прохождении полного курса лечения. Если вы заметили ухудшение состояния, обязательно обратитесь к специалисту.
Вопрос-ответ
https://youtube.com/watch?v=tV04X0NgUEY
Как делают операцию при переломе лодыжки со смещением?
Во время репозиции перелома голеностопа через несколько надрезов хирург вручную сопоставляет костные отломки, затем фиксирует их пластиной к кости через специальные отверстия посредством винтов. Для точного восстановления анатомии и правильной установки фиксирующих элементов в ходе операции проводится рентгенография.
Как долго лежат в больнице после операции на лодыжке?
Пребывание в клинике: 4 – 6 часов. Во сне без боли. Реабилитация: наступать на ногу без больших нагрузок можно через месяц, полное восстановление от 2 до 5 месяцев.
Нужно ли делать операцию при переломе со смещением?
Если у пострадавшего оскольчатый или открытый перелом со смещением, то требуется операция.
Можно ли обойтись без операции при переломе лодыжки со смещением?
При смещенных или сложных переломах лодыжки может потребоваться хирургическое вмешательство для восстановления правильного положения костей.
Советы
СОВЕТ №1
Перед операцией обязательно проконсультируйтесь с врачом о всех возможных методах лечения и их последствиях. Убедитесь, что вы понимаете, как будет проходить операция и какие материалы будут использованы для фиксации кости.
СОВЕТ №2
Подготовьтесь к операции заранее: пройдите все необходимые анализы и обследования, а также обсудите с врачом все ваши текущие лекарства и аллергии. Это поможет избежать осложнений во время и после процедуры.
СОВЕТ №3
После операции следуйте рекомендациям врача по реабилитации. Это может включать физиотерапию, специальные упражнения и ограничения в активности, которые помогут вам быстрее восстановиться и избежать повторных травм.
СОВЕТ №4
Обратите внимание на питание в период восстановления. Употребление продуктов, богатых кальцием и витамином D, поможет ускорить процесс заживления костей и улучшить общее состояние организма.



