Типы и характерные симптомы травмы
В области травматологии вывих надколенника классифицируется по различным критериям:
Он может быть как приобретенным (травматический вывих), так и врожденным.
По времени травмы:
- острый;
- хронический;
- застарелый;
- привычный.
По характеру смещения:
- боковые (наружные и внутренние);
- ротационные (поворот надколенника вокруг вертикальной оси);
- вертикальные (при вращении надколенника вокруг горизонтальной оси).
По степени смещения суставных поверхностей:
- полные;
- неполные (подвывихи).
По состоянию кожи и мягких тканей:
- закрытые;
- открытые (с наличием раны на коже и мягких тканях).
По наличию осложнений:
- осложненные (с переломами костей, разрывами сухожилий и мышц);
- неосложненные (без смещения).
По причинам возникновения:
- механические (в результате удара или резкого движения);
- патологические (при дегенеративных, воспалительных и деструктивных процессах в костно-суставной системе, таких как остеопороз, деформирующий артроз, артриты);
- хронические или привычные (обусловлены анатомическими особенностями коленного сустава).
Острый вывих надколенника сопровождается резкой болью и полной утратой двигательной функции колена. Травмированное колено выглядит деформированным и отечным, а надколенник смещен от бедренной кости. Любые движения в суставе и его пальпация вызывают сильную боль.
При неполном и привычном вывихе часто происходит самостоятельное вправление надколенника. В случае осложненного вывиха могут наблюдаться разрывы сухожилий, суставной капсулы, повреждения хрящей и кровоизлияния в суставную полость (гемартроз).
Врачи отмечают, что вывих коленной чашечки проявляется характерной симптоматикой, включая резкую боль в колене, отек и ограничение подвижности сустава. Пациенты часто жалуются на ощущение “выскальзывания” чашечки, что может сопровождаться хрустом при движении. Важно своевременно обратиться за медицинской помощью, так как неправильное лечение может привести к хроническим проблемам.
Способы лечения зависят от степени вывиха. В легких случаях может быть достаточно консервативной терапии, включающей иммобилизацию и физиотерапию. В более серьезных ситуациях может потребоваться хирургическое вмешательство для восстановления нормального положения коленной чашечки. Врачи подчеркивают важность реабилитации после лечения, чтобы предотвратить повторные вывихи и восстановить функциональность сустава.
https://youtube.com/watch?v=qgXbfqEiysY
Первая помощь
Каждый должен знать, как оказать первую помощь при вывихе коленной чашечки. Правильные действия в этот критический момент могут существенно повлиять на эффективность дальнейшего лечения.
Основные рекомендации по оказанию первой помощи:
- Обеспечьте покой поврежденной конечности. Исключите любые физические нагрузки на травмированную ногу.
- Зафиксируйте пострадавшую конечность. Для этого используйте шину. Во время транспортировки в медицинское учреждение ногу следует надежно обездвижить.
- Не пытайтесь самостоятельно вправить сустав. Неправильные действия могут повредить структуры подколенной ямки и сам сустав. Эту процедуру должен выполнять только квалифицированный специалист.
- Примените холод. Лед поможет облегчить боль, предотвратить образование синяков, уменьшить отечность и остановить кровотечение из мелких сосудов. Холод важен не только в первой помощи, но и в первые дни после травмы в рамках криотерапии.
- Установите пораженную конечность в приподнятом положении. Подложите под нее валик, подушку или другие доступные предметы. Это снизит приток крови к суставу и уменьшит риск кровоизлияния.
- Если у пострадавшего сильная боль, предложите обезболивающее средство (например, Анальгин, Аспирин, Ибупрофен, Диклофенак или Кеторолак).
| Признак вывиха коленной чашечки | Способ лечения | Дополнительные замечания |
|---|---|---|
| Резкая боль в колене | Иммобилизация колена (гипсовая повязка, ортез) | Необходимо обеспечить полную неподвижность сустава. |
| Деформация колена (изменение формы) | Вправление вывиха (мануальная репозиция) | Процедура должна проводиться врачом. |
| Отек и припухлость колена | Холод на место повреждения | Прикладывать холодные компрессы в течение первых 24-48 часов. |
| Ограничение подвижности колена | Физиотерапия (УВЧ, электрофорез, магнитотерапия) | Назначается после снятия острой боли и воспаления. |
| Покраснение кожи вокруг колена | Противовоспалительные препараты (НПВС) | Снимают боль и воспаление. |
| Чувство нестабильности в колене | ЛФК (лечебная физкультура) | Восстанавливает подвижность и укрепляет мышцы. |
| Хруст в колене | Хирургическое вмешательство (в сложных случаях) | При неэффективности консервативного лечения. |
| Сильная боль при попытке согнуть или разогнуть ногу | Постельный режим | Обеспечивает отдых поврежденному суставу. |
Лечебные мероприятия
Вывих коленной чашечки
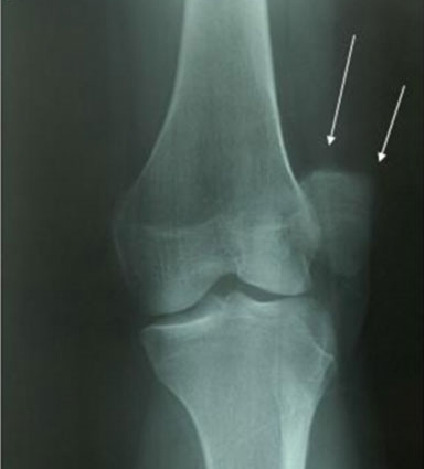
Вывих коленной чашечки требует обязательного лечения. Самостоятельное лечение строго запрещено, за исключением случаев неотложной помощи. Важно обратиться к врачу-травматологу, который назначит необходимые процедуры. Эффективность терапии во многом зависит от правильной диагностики. Для этого необходимо сделать рентгенографию коленного сустава, а при необходимости — томографию.
Если требуется хирургическое вмешательство, проводится артроскопия коленного сустава. Эта процедура позволяет точно определить положение надколенника и состояние сустава.
Консервативное лечение включает вправление поврежденного сустава и использование медикаментов. Острый вывих чашечки коленного сустава вправляется под местной анестезией. Для снижения натяжения сухожилий поврежденную конечность сгибают в области тазобедренного сустава и разгибают в колене. Врач вправляет надколенник и накладывает гипсовую повязку.
Для проверки правильности выполненных манипуляций проводится рентген. Иногда в процессе этой процедуры могут быть обнаружены костно-хрящевые обломки, которые не были видны на первоначальном рентгене.
В качестве лекарственных средств применяются обезболивающие, противовоспалительные, противоотечные и хондропротекторные препараты.
Вывих коленной чашечки — это травма, о которой часто говорят как о болезненном и неприятном опыте. Люди отмечают, что основными признаками являются резкая боль в колене, отек и ограничение подвижности. Многие описывают, как коленная чашечка может смещаться в сторону, что вызывает дискомфорт при ходьбе. Важно помнить, что при подозрении на вывих необходимо обратиться к врачу для точной диагностики.
Что касается лечения, то мнения разделяются. Некоторые предпочитают консервативные методы, такие как иммобилизация и физиотерапия, которые помогают восстановить функции сустава. Другие говорят о необходимости хирургического вмешательства в более сложных случаях. В любом случае, реабилитация играет ключевую роль в восстановлении, и многие отмечают, что регулярные упражнения помогают вернуть колену прежнюю подвижность и силу.
https://youtube.com/watch?v=gsh693WlYxA
Оперативное лечение
Хирургическое вмешательство необходимо при гемартрозе и серьезных повреждениях мениска колена, когда закрытое вправление невозможно.
Операцию проводят при хронических и повторяющихся вывихах коленного сустава. Одним из современных и эффективных методов является артроскопия. В ходе этой процедуры на коже делают два небольших прокола: через один вводят артроскоп, а через другой — хирургические инструменты. Затем осуществляется вправление коленной чашечки, что занимает немного времени.
Операцию также можно провести у детей с врожденным вывихом. В этом случае используется артроскопический метод с швом Ямамото. Этот подход показывает хорошие результаты, особенно при латеральном подвывихе надколенника.
Важно помнить, что даже после операции коленный сустав может оставаться нестабильным на протяжении всей жизни. Рекомендуется избегать чрезмерных нагрузок на ноги, так как это увеличивает риск бокового смещения внутрь.
В некоторых случаях после хирургического лечения может потребоваться протезирование сустава. Замена тканей актуальна при некрозе костей и сопутствующих внутренних переломах. Искусственный протез устанавливается вместо вывихнутой коленной чашечки, однако такой подход не всегда оправдан для лечения поврежденного колена.
При полном разрыве тканей необходимо провести открытую пластику медиальной связки, для чего используются собственные подколенные сухожилия.
Срок ношения гипсовой повязки зависит от степени повреждения и возраста пациента. Обычно гипс носится около 6 недель.
Реабилитация и восстановление
Реабилитация играет ключевую роль в восстановлении. Она ускоряет заживление тканей поврежденной конечности и возвращает ей функциональность. В процессе восстановления проводятся следующие мероприятия:
- Массаж. Эта процедура может начинаться сразу после снятия повязки.
- Лечебная физкультура. На начальном этапе реабилитации ЛФК включает пассивные движения, выполняемые врачом. После проработки ноги пациент может постепенно переходить к активным упражнениям.
- Физиотерапия. В этот процесс входят такие процедуры:
- электрофорез;
- тепловые аппликации;
- вибромассаж;
- УВЧ-терапия;
- дарсонвализация.
Важно помнить, что лечение в домашних условиях возможно только при оказании экстренной помощи и выполнении некоторых реабилитационных процедур, таких как диетотерапия, прием медикаментов и легкие упражнения с разрешения врача. В остром периоде требуется обязательная госпитализация пострадавшего.
https://youtube.com/watch?v=noOYCstej0g
Заключение
Лечение вывиха коленной чашечки проводит врач-травматолог. При возникновении этой травмы важно как можно быстрее доставить пострадавшего в травматологическое отделение или круглосуточный травмпункт. На основе результатов диагностики травматолог выбирает методы терапии для каждого пациента. Для этого необходима консультация ортопеда и хирурга. Будущее состояние здоровья и трудоспособность пациента зависят от правильного выполнения лечебных и реабилитационных процедур.
Вопрос-ответ
Каковы основные симптомы вывиха коленной чашечки?
Основные симптомы вывиха коленной чашечки включают резкую боль в области колена, отек, деформацию сустава, ограничение подвижности и иногда видимое смещение коленной чашечки. Пациенты могут также испытывать трудности при попытке встать на ногу или согнуть колено.
Какие методы лечения применяются при вывихе коленной чашечки?
Лечение вывиха коленной чашечки может включать консервативные методы, такие как иммобилизация сустава с помощью шины или бандажа, применение льда для уменьшения отека и болеутоляющие препараты. В более серьезных случаях может потребоваться хирургическое вмешательство для восстановления нормального положения коленной чашечки и укрепления связок.
Как долго длится восстановление после вывиха коленной чашечки?
Время восстановления после вывиха коленной чашечки зависит от степени травмы и методов лечения. Обычно восстановление занимает от нескольких недель до нескольких месяцев. Физиотерапия может быть рекомендована для восстановления силы и подвижности колена, что также может повлиять на длительность реабилитации.
Советы
СОВЕТ №1
При подозрении на вывих коленной чашечки, немедленно обратитесь к врачу. Самостоятельные попытки вправить сустав могут привести к серьезным повреждениям и осложнениям.
СОВЕТ №2
После получения медицинской помощи следуйте рекомендациям врача по реабилитации. Упражнения на укрепление мышц вокруг колена помогут предотвратить повторные вывихи.
СОВЕТ №3
Используйте бандажи или ортезы для поддержки колена в период восстановления. Это поможет снизить нагрузку на сустав и уменьшить риск повторного вывиха.
СОВЕТ №4
Обратите внимание на свою физическую активность. Избегайте резких движений и высоких нагрузок на колени, особенно если у вас уже были вывихи в прошлом.




