Виды и характерные признаки травмы
Симптоматика травмы зависит от типа перелома: открытого или закрытого. При открытом переломе наблюдается значительное повреждение кожи, и рана активно кровоточит. В некоторых случаях фрагменты сломанной кости могут быть видны через кожу.
При закрытом переломе сразу возникают боль и отечность в области пятки, которые могут распространяться до ахиллова сухожилия или средней части голени. В центре подошвы образуется гематома. Закрытый перелом считается более опасным, так как пострадавший может продолжать наступать на ногу, что приводит к ошибочному восприятию повреждения кости как ушиба.
При переломе средней тяжести наступать на ногу становится невозможно из-за сильной боли, которая может вызвать потерю сознания. Гематомы появляются по бокам пятки и на подошве из-за повреждений мягких тканей осколками костей.
Иногда наблюдается деформация стопы из-за смещения костных обломков. При пальпации возникает болезненность, а движения в голеностопном суставе становятся невозможными.
Переломы классифицируются по нескольким критериям.
По отношению к суставу:
- Внутрисуставные — переломы, находящиеся в пределах суставной полости. Они делятся на изолированные, компрессионные, краевые, а также переломы со смещением и без смещения отломков.
- Внесуставные — переломы тела кости и бугра пятки.
По степени тяжести:
- легкие;
- средние;
- тяжелые.
По механизму:
- оскольчатый перелом — с образованием одного или нескольких обломков кости, может быть со смещением или без него;
- компрессионный — с уплотнением свода стопы и нарушением суставных отношений;
- раздробленный — с множеством мелких костных отломков.
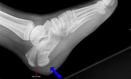
Врачи отмечают, что перелом пяточной кости часто сопровождается сильной болью в области пятки, отеком и затруднением при ходьбе. Основными признаками являются также синяки и изменение формы стопы. При подозрении на перелом важно обратиться к специалисту для проведения рентгенографического исследования, которое поможет подтвердить диагноз и определить степень повреждения.
Лечение перелома пяточной кости зависит от его тяжести. В большинстве случаев врачи рекомендуют консервативный подход, включающий иммобилизацию с помощью гипса или ортопедической обуви на срок от 6 до 12 недель. В более сложных случаях может потребоваться хирургическое вмешательство для восстановления нормальной анатомии кости. В процессе реабилитации важны физиотерапевтические процедуры и упражнения для восстановления подвижности и силы стопы. Врачи подчеркивают, что своевременное обращение за медицинской помощью и соблюдение рекомендаций специалистов способствуют успешному восстановлению.
https://youtube.com/watch?v=sDIvQttSTjM
Первая помощь
При таком типе перелома важно оказать первую помощь пострадавшему. Сначала зафиксируйте его положение, уложив на спину на кушетку или кровать. Снимите обувь, так как нога может отекать, что усилит боль и усложнит процесс снятия обуви позже.
Поврежденная область ноги должна быть надежно зафиксирована:
- голеностопный и коленный суставы закрепите с использованием подручных материалов (например, платка, полотенца или палок);
- под колено положите мягкий валик из одежды или полотенца.
На место перелома приложите холодный компресс. Если пострадавший испытывает сильную боль, предложите ему обезболивающее и противовоспалительное средство. Обязательно вызовите бригаду скорой помощи.
В случае открытого перелома для предотвращения инфекции обработайте рану антисептиком и наложите асептическую стерильную повязку из ватно-марлевой подушечки и бинта. При сильном кровотечении наложите тугой жгут на область коленного сустава. Такой жгут можно держать не более 2 часов.
| Признак перелома пяточной кости | Способ диагностики | Способ лечения |
|---|---|---|
| Сильная боль в области пятки, усиливающаяся при нагрузке | Рентгенография, КТ, МРТ | Иммобилизация гипсовой повязкой, оперативное лечение (остеосинтез, артродез), физиотерапия, ЛФК |
| Отек и припухлость в области пятки | Клинический осмотр | |
| Деформация пятки | ||
| Гематома в области пятки | ||
| Ограничение подвижности стопы | ||
| Хруст при пальпации | ||
| Потеря функции стопы | ||
| Боль при опоре на ногу |
Лечебные мероприятия
Перелом пяточной кости лечит травматолог. Специалист осматривает повреждение и назначает рентгенографию, а при необходимости — компьютерную томографию. Затем он решает, нужно ли хирургическое вмешательство или можно обойтись консервативным методом лечения.
Перелом пяточной кости — это серьезная травма, которая требует внимательного подхода. Люди, столкнувшиеся с этой проблемой, часто отмечают, что основными признаками являются сильная боль в области пятки, отек и затрудненная ходьба. Многие делятся опытом, что при первых симптомах важно обратиться к врачу для диагностики, так как неправильное лечение может привести к осложнениям.
В качестве методов лечения врачи рекомендуют покой, использование ортопедических стелек и, в некоторых случаях, хирургическое вмешательство. Реабилитация также играет ключевую роль: физические упражнения помогают восстановить подвижность и укрепить мышцы. Важно помнить, что каждый случай индивидуален, и подход к лечению должен быть комплексным, чтобы избежать повторных травм и обеспечить полноценное восстановление.
https://youtube.com/watch?v=puAvsqoehWE
Консервативная терапия
Суть лечения заключается в следующем: при переломе без смещения отломков конечность нужно поднять, а пациенту назначается постельный режим на срок до двух недель.
При небольшом смещении поврежденную конечность фиксируют от колена до пальцев с помощью гипсовой лонгеты на срок от 3 до 8 недель. Между гипсом и стопой устанавливается супинатор — гибкая металлическая стелька. В этом случае пациенту запрещается наступать на травмированную ногу, и для передвижения ему понадобятся костыли.
Хирургическое вмешательство
При необходимости перед наложением гипса под местной анестезией выполняется закрытая репозиция осколков. Эта процедура направлена на правильное сопоставление костных фрагментов.
После удаления гипса проводится повторное рентгенографическое исследование для оценки процесса заживления конечности.
В случаях сложных переломов или неэффективности консервативного лечения требуется хирургическое вмешательство. Хирург делает разрез кожи, выравнивает костные отломки и фиксирует их в нужном положении с помощью специальных винтов или спиц.
https://youtube.com/watch?v=f4HKD3XtTow
Ношение ортеза
После хирургического вмешательства или удаления гипса для ускорения восстановления рекомендуется использовать ортез — специальное устройство для поддержки при травмах опорно-двигательного аппарата. Ортез снижает нагрузку на пяточную кость, поддерживает свод стопы и уменьшает болевые ощущения и отечность, предотвращая атрофию мышц.
Решение о начале опоры на травмированную ногу принимает лечащий врач.
Реабилитационные меры
Длительная иммобилизация может негативно сказаться на состоянии мышц и кровоснабжении поврежденной конечности. Если пациент долго находится в постели, это приводит к атрофии мышц. Больная нога теряет потребность в прежнем объеме крови, и в результате снижения кровотока происходит сужение сосудов. Чтобы избежать атрофии, врач рекомендует меры по восстановлению функции конечности.
В течение первой недели не следует начинать реабилитационные мероприятия, так как это может увеличить риск повторного смещения костных фрагментов.
Для улучшения кровообращения назначают физиотерапевтические процедуры, травяные ванночки, массаж и растирания. После операции можно начинать массировать бедро пострадавшей ноги, а после снятия гипса — голень и стопу. Физиотерапия помогает уменьшить отеки и болевые ощущения. К числу таких процедур относятся:
- электрофорез;
- ультрафиолетовое облучение;
- магнитотерапия;
- фонофорез;
- согревающие ванны для ног.
Преимуществом этих процедур является возможность их выполнения в домашних условиях.
Существует специальный комплекс упражнений лечебной физкультуры, необходимый для восстановления двигательных функций ноги, улучшения подвижности и гибкости суставов. Гимнастику следует выполнять ежедневно в несколько подходов, постепенно увеличивая нагрузку.
Важно регулярно сгибать и разгибать пальцы на ноге и колено, а также катать стопой предмет цилиндрической формы (например, банку) вперед и назад.
Для ускорения восстановления и снижения нагрузки на стопу врач рекомендует носить ортопедическую обувь с вкладышами. Срок ее использования зависит от степени тяжести травмы.
Для формирования и укрепления костной ткани пациентам назначается диета, богатая витаминами A, C, D, PP, B, а также кальцием, кремнием и белками. В рацион должны входить молоко, кисломолочные продукты (сметана, простокваша, ряженка, кефир, творог), сыр, свежие овощи, фрукты, ягоды, мясо, рыба, морепродукты, орехи и бобовые.
Если следовать всем рекомендациям врача, вернуться к привычной жизни можно примерно через 4 месяца.
Читайте подробнее: Виды физиотерапевтических процедур после переломов
Возможные последствия
Если лечение проведено правильно и все указания врача соблюдаются, травма заживает без негативных последствий. В противном случае могут возникнуть осложнения:
- затянутое заживление;
- отсутствие сращения перелома;
- уменьшение высоты и увеличение ширины области пятки;
- развитие инфекции;
- раздражение мягких тканей;
- хронические болевые ощущения.
Наиболее частым осложнением является послеоперационное инфицирование, связанное с недостаточным кровоснабжением области доступа к кости во время операции.
Также могут развиваться посттравматическое плоскостопие и другие деформации стопы, а также артрозы, например, подтаранного сустава или сустава Шопара, что приводит к разрушению хрящей внутри суставов.
После перелома часто возникает тромбоз — закупорка сосудов тромбами, образующимися из-за сгустков крови. Вероятность тромбоза возрастает, если для лечения перелома была проведена операция. Венозные сосуды могут быть повреждены отломками костей или кровью, вытекшей в мышечную ткань в области перелома, что сжимает вены.
Также распространено повреждение сухожилий малоберцовых мышц и длинного сгибателя большого пальца, так как они находятся в непосредственной близости к пяточной кости.
Кроме того, существует риск образования костных наростов, которые могут нарушить опорную функцию нижней конечности.
Вопрос-ответ
Каковы основные признаки перелома пяточной кости?
Основные признаки перелома пяточной кости включают сильную боль в области пятки, отек, синяки, затруднение при ходьбе и изменение формы стопы. В некоторых случаях может наблюдаться хруст при движении.
Какие методы лечения применяются при переломе пяточной кости?
Лечение перелома пяточной кости может включать консервативные методы, такие как иммобилизация с помощью гипса или ортопедической обуви, а также хирургическое вмешательство в случае сложных переломов. Важно также проводить реабилитацию для восстановления функции стопы.
Как долго длится восстановление после перелома пяточной кости?
Время восстановления после перелома пяточной кости может варьироваться в зависимости от тяжести травмы и метода лечения. Обычно процесс заживления занимает от 6 до 12 недель, но полное восстановление функций стопы может занять несколько месяцев.
Советы
СОВЕТ №1
Обратите внимание на симптомы: если вы испытываете сильную боль в области пятки, отек, синяки или затруднения при ходьбе, это может указывать на перелом. Не откладывайте визит к врачу для диагностики и лечения.
СОВЕТ №2
При подозрении на перелом пяточной кости старайтесь не нагружать поврежденную ногу. Используйте костыли или другие средства передвижения, чтобы избежать дальнейших травм и облегчить процесс восстановления.
СОВЕТ №3
Следуйте рекомендациям врача по лечению: это может включать иммобилизацию с помощью гипса, физиотерапию и, в некоторых случаях, хирургическое вмешательство. Регулярно посещайте контрольные осмотры для оценки процесса заживления.
СОВЕТ №4
После снятия гипса или завершения лечения начните с легких упражнений для восстановления подвижности и силы в ноге. Консультируйтесь с физиотерапевтом для разработки индивидуальной программы реабилитации.






