Причины и факторы риска
Среди факторов, способствующих возникновению сарком, выделяют:
- воздействие радиации;
- инфекции, вызванные вирусами и бактериями;
- химические соединения;
- ультрафиолетовое излучение;
- трансформация доброкачественных опухолей;
- предраковые состояния;
- гормональные сбои;
- применение лучевой терапии;
- образование рубцов после хирургических операций;
- частые травмы конечностей;
- врожденные генетические мутации и аномалии развития.
К рисковым факторам относятся трудовая деятельность в химической или другой опасной отрасли, ослабленный иммунитет, предрасположенность к онкологическим заболеваниям и вредные привычки, включая курение.
Под воздействием этих факторов происходит генетическая мутация клеток организма.
Врачи отмечают, что саркома нижних конечностей может проявляться различными симптомами, включая боль, отек и ограничение подвижности. На ранних стадиях заболевания пациенты могут не замечать значительных изменений, что затрудняет диагностику. Важно, чтобы при появлении подозрительных симптомов пациенты обращались за медицинской помощью.
Методы лечения саркомы зависят от стадии заболевания и могут включать хирургическое вмешательство, химиотерапию и радиотерапию. Хирургия часто является основным методом, позволяющим удалить опухоль и окружающие ткани. Врачи подчеркивают, что ранняя диагностика и комплексный подход к лечению значительно повышают шансы на успешный исход. Современные методы, такие как таргетная терапия, также начинают использоваться, что открывает новые горизонты в борьбе с этим заболеванием.
https://youtube.com/watch?v=KwNRtSnbanU
Симптоматика патологии
Симптоматика саркомы варьируется в зависимости от локализации и размеров опухоли. В начале заболевания появляется уплотнение, которое постепенно увеличивается. Со временем оно начинает давить на окружающие ткани, вызывая интенсивные боли, которые не поддаются облегчению обезболивающими средствами. Позже над зоной припухлости наблюдается покраснение кожи, повышается температура, расширяются вены, может развиться тромбофлебит, а также постоянные болевые ощущения. Подвижность ног значительно ухудшается.
Саркома нижних конечностей может проявляться в области бедра, коленного сустава, голени или стопы. Симптомы различаются в зависимости от локализации:
- Опухоль в области тазобедренного сустава сложно выявить на ранних стадиях. По мере прогрессирования заболевания появляются новые признаки, помогающие диагностировать саркому. Острая боль чаще всего возникает ночью и может иррадиировать в область мочеполовой системы и бедра. Также наблюдаются ограничения в движении сустава.
- При саркоме бедра нижние конечности становятся холодными, кожа бледнеет и со временем может покрываться язвами. Развивается венозный застой, что приводит к отечности ног.
- Саркома голени имеет скрытое течение. Боль появляется позже, когда происходит сжатие нервов и сосудов, нарушающее кровоснабжение тканей. Боль может ощущаться в стопе и пальцах. Если уплотнение расположено спереди, его можно прощупать, в то время как опухоль на задней части ноги может оставаться незамеченной под мышцами длительное время.
- Опухоль на пальце ноги вызывает дискомфорт из-за давления на ногтевое ложе. При саркоме стопы наблюдаются изменения цвета кожи над опухолью, могут возникать кровоизлияния и нарушения двигательной функции.
При появлении любых подозрительных симптомов важно незамедлительно обратиться к врачу-онкологу. Специалист сможет определить характер опухоли и различить доброкачественные и злокачественные образования по характеру ощущений.
| Признак саркомы нижних конечностей | Метод диагностики | Метод лечения |
|---|---|---|
| Безболезненная припухлость или уплотнение в мягких тканях | Биопсия с гистологическим исследованием | Хирургическое удаление опухоли |
| Боль, усиливающаяся при движении | Рентгенография, КТ, МРТ | Лучевая терапия |
| Ограничение подвижности сустава | УЗИ | Химиотерапия |
| Появление видимых вен на коже над опухолью | Ангиография | Таргетная терапия |
| Быстрый рост опухоли | Биопсия с иммуногистохимическим исследованием | Комбинированное лечение (хирургия, лучевая терапия, химиотерапия) |
| Появление язв или кровотечений из опухоли | ПЭТ-КТ | Ампутация конечности (в запущенных случаях) |
| Поражение лимфатических узлов | ||
| Метастазы в другие органы |
Методы диагностики и лечения
Саркома конечностей развивается без выраженных болей. Дискомфорт возникает только при сдавлении нервов и сосудов в пораженных тканях. На ранних стадиях опухоль трудно обнаружить. Для диагностики применяются пальпация и анализ состояния пациента. У таких больных часто наблюдаются общая слабость, повышение температуры и потеря веса.
Для точного определения диагноза назначаются следующие исследования:
- магнитно-резонансная и компьютерная томография;
- рентгенография в двух проекциях;
- биопсия;
- ультразвуковое исследование;
- ангиография;
- гистологические исследования;
- цитологические исследования;
- цитохимические исследования;
- радионуклидная диагностика;
- расширенные анализы крови;
- консультация онкоортопеда.
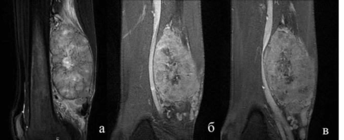
МРТ и КТ помогают установить размеры опухоли, ее расположение и наличие метастазов. УЗИ позволяет оценить внутреннюю структуру новообразования и выявить мутированные клетки в мягких тканях. Рентгенография показывает изменения в костях и хрящах. Для повышения информативности рентгеновских снимков иногда используют контрастные вещества (ангиография). Разнообразные методы исследования материала помогают определить стадию заболевания, наличие метастазов, подтвердить или опровергнуть диагноз и отслеживать динамику патологии.
Комплексная диагностика позволяет собрать полную информацию о местоположении саркомы, ее размерах, консистенции, наличии метастазов и их кровоснабжении, а также о готовности клеток к делению.
Эффективное лечение, которое может привести к положительному результату, включает хирургическое вмешательство, химиотерапию и лучевую терапию. Современные медицинские технологии позволяют избежать операции, если заболевание диагностировано на ранней стадии и начато своевременное лечение.
Если опухоль прорастает в кости, крупные сосуды и нервы, может возникнуть необходимость в ампутации конечности. Радикальное вмешательство оправдано при отсутствии вторичных очагов в других органах.
Химиотерапия проводится как до, так и после операции. До вмешательства она направлена на уменьшение размеров опухоли, а после — на уничтожение возникших метастазов.
На терминальной стадии онкологического заболевания результаты лечения, как правило, не оправдывают ожиданий. Чаще всего саркома нижних конечностей дает метастазы в легкие. В таких случаях терапия сосредоточена на облегчении болевых симптомов и улучшении качества жизни пациентов.
Саркома нижних конечностей — это редкое, но серьезное заболевание, вызывающее много вопросов и опасений у пациентов и их близких. Люди часто отмечают, что первыми признаками могут быть необычные боли, отеки или изменения в форме конечности. Некоторые пациенты делятся опытом, что игнорирование этих симптомов может привести к запущенной стадии болезни. Методы лечения варьируются от хирургического вмешательства до химиотерапии и радиотерапии. Многие отмечают важность ранней диагностики, которая значительно увеличивает шансы на успешное лечение. Также пациенты подчеркивают необходимость комплексного подхода, включая поддержку психологов и реабилитологов, что помогает справиться с эмоциональными и физическими последствиями болезни. Обсуждение этих вопросов в сообществах и форумах позволяет людям делиться опытом и находить поддержку в трудные времена.
https://youtube.com/watch?v=jiHlLokDGNk
Прогнозы
Оптимистичные прогнозы выздоровления зависят от размеров опухоли, её локализации, наличия метастазов, стадии болезни и уровня злокачественности. При лечении саркомы конечностей пятилетняя выживаемость достигает 75%. Успех восстановления во многом зависит от эффективности терапии. Ключевым моментом является своевременное начало лечения.
После завершения терапии саркомы конечностей пациенту необходима ортопедическая реабилитация.
Вопрос-ответ
https://youtube.com/watch?v=tbhRui2bW8c
Какие основные симптомы могут указывать на саркому нижних конечностей?
Симптомы саркомы нижних конечностей могут включать опухолевидное образование, которое может быть безболезненным или болезненным, отек в области опухоли, ограничение подвижности сустава, а также возможные изменения в коже над опухолью, такие как покраснение или изменение температуры. В некоторых случаях могут наблюдаться симптомы, связанные с метастазами, такие как потеря веса или усталость.
Каковы основные методы диагностики саркомы нижних конечностей?
Диагностика саркомы нижних конечностей обычно включает физикальное обследование, рентгенографию, магнитно-резонансную томографию (МРТ) и компьютерную томографию (КТ). Также может потребоваться биопсия для подтверждения диагноза и определения типа саркомы. Эти методы помогают врачам оценить размер, расположение и степень распространения опухоли.
Какие существуют подходы к лечению саркомы нижних конечностей?
Лечение саркомы нижних конечностей может включать хирургическое вмешательство для удаления опухоли, химиотерапию и радиотерапию. В зависимости от стадии заболевания и типа саркомы, может быть рекомендован комбинированный подход, включающий несколько методов. Хирургия часто является основным методом лечения, особенно если опухоль локализована и не имеет метастазов.
Советы
СОВЕТ №1
Регулярно проходите медицинские обследования, особенно если у вас есть предрасположенность к онкологическим заболеваниям. Раннее выявление саркомы может значительно повысить шансы на успешное лечение.
СОВЕТ №2
Обратите внимание на любые необычные изменения в вашем теле, такие как опухоли, боли или отеки в области нижних конечностей. Не игнорируйте эти симптомы и обязательно проконсультируйтесь с врачом.
СОВЕТ №3
Изучите доступные методы лечения саркомы, включая хирургическое вмешательство, химиотерапию и радиотерапию. Обсудите с вашим врачом наиболее подходящий план лечения, учитывая индивидуальные особенности вашего состояния.
СОВЕТ №4
Поддерживайте здоровый образ жизни, включая сбалансированное питание и регулярные физические нагрузки. Это поможет укрепить иммунную систему и улучшить общее состояние здоровья во время лечения.


