Из-за чего возникает болезнь Дойчлендера?
В группе риска в первую очередь находятся призывники. Условия службы в армии, неудобная обувь и значительные физические нагрузки могут ослаблять хрупкие кости стопы, что приводит к их повреждениям под воздействием повышенного давления.
Наиболее часто подвержена переломам вторая плюсневая кость, за ней следуют третья и четвертая. Переломы первой и пятой плюсневых костей встречаются значительно реже. Это заболевание получило второе название благодаря солдатам, которые постоянно маршируют во время службы.
Также в группу риска попадают туристы, чьи ноги испытывают чрезмерные нагрузки во время путешествий и отдыха. Пешие прогулки, осмотр достопримечательностей и шопинг могут стать причиной усталостного перелома. Наибольшую нагрузку испытывают ноги женщин.
Симптомы маршевой стопы часто наблюдаются у профессиональных спортсменов. Это связано с интенсивными тренировками перед соревнованиями, изменением модели обуви, сложными упражнениями и бегом на длинные дистанции после длительного перерыва.
Маршевая стопа может рассматриваться как профессиональное заболевание для людей, занимающихся определенными профессиями. В группу риска входят:
- парикмахеры;
- официанты;
- медицинские работники;
- экскурсоводы.
Чаще всего причиной заболевания становятся плоскостопие или недостаточная физическая подготовленность. Маршевая стопа может проявляться в острой или хронической форме, затрагивая одну или несколько плюсневых костей. Однако в большинстве случаев прогноз для выздоровления остается благоприятным.
Врачи отмечают, что болезнь Дойчлендера, или маршевый перелом, чаще всего возникает у людей, подвергающихся длительным физическим нагрузкам, особенно в условиях повышенной активности, таких как военные учения или спортивные соревнования. Основной причиной развития данного состояния является микротравматизация костной ткани, возникающая в результате повторяющихся ударов и перегрузок. Врачи подчеркивают, что недостаточная подготовка организма к таким нагрузкам, а также отсутствие адекватного восстановления могут усугубить ситуацию. Кроме того, факторы, такие как неправильная обувь, недостаток минералов и витаминов, а также предшествующие травмы, могут способствовать возникновению болезни. Важно, чтобы пациенты обращали внимание на первые симптомы и не игнорировали их, так как ранняя диагностика и лечение способны предотвратить серьезные последствия.
https://youtube.com/watch?v=XMtU_2tSa0w
Симптомы
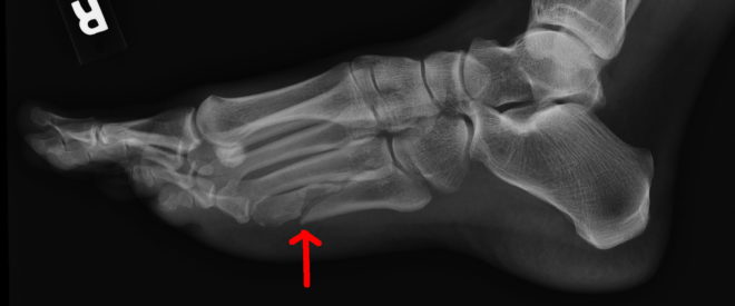
Ключевыми симптомами маршевой стопы являются легкие боли и отечность в пораженной области. Рентгеновский снимок в остром периоде заболевания показывает характерные участки переломов. Повреждение костей происходит по принципу зеленой ветки: ломаются только глубокие слои костной ткани, в то время как поверхностные остаются нетронутыми. Эти особенности можно подробно рассмотреть на фотографиях.
Процесс заживления начинается через 1-2 месяца после травмы. Усталостный перелом всегда закрытый.
| Фактор риска | Механизм влияния на развитие маршевого перелома | Уровень риска |
|---|---|---|
| Повышенная физическая нагрузка (длительные марши, бег) | Повторяющиеся микротравмы кости, превышающие её способность к репарации | Высокий |
| Неадекватная обувь | Неправильное распределение нагрузки на стопу, увеличение стресса на определённые участки кости | Средний – Высокий |
| Плоскостопие | Изменение биомеханики стопы, неправильное распределение нагрузки | Средний – Высокий |
| Остеопороз | Снижение прочности костной ткани, повышенная хрупкость | Высокий |
| Дефицит витамина D | Снижение минеральной плотности кости | Средний |
| Избыточный вес | Увеличение нагрузки на кости нижних конечностей | Средний – Высокий |
| Неправильная техника бега/ходьбы | Неравномерное распределение нагрузки на стопу и голень | Средний |
| Предыдущие травмы нижних конечностей | Нарушение целостности костной ткани, снижение её прочности | Средний – Высокий |
| Нарушения осанки | Изменение биомеханики движения, неправильное распределение нагрузки | Средний |
Как определить заболевание?
Диагностика синдрома Дойчлендера не вызывает значительных трудностей. Наиболее эффективным методом определения маршевой стопы является пальпация. Сильная боль при нажатии на плюсневую кость и выраженная отечность в области повреждения указывают на наличие заболевания.
Свежие переломы можно выявить с помощью магнитно-резонансной томографии. Рентгенолог, используя специальные техники, может заметить снижение плотности тканей, что свидетельствует о трещинах в плюсневой кости. Такие переломы, как правило, не требуют вправления.
Болезнь Дойчлендера, известная также как маршевый перелом, вызывает множество обсуждений среди медиков и пациентов. Многие специалисты отмечают, что основными причинами её развития являются чрезмерные физические нагрузки и недостаточная подготовка организма к ним. Особенно подвержены риску спортсмены, военнослужащие и люди, занимающиеся активными видами спорта.
Некоторые пациенты делятся своим опытом, указывая на то, что резкое увеличение интенсивности тренировок или длительные маршевые переходы стали триггером для появления боли в ногах. Важно отметить, что недостаток витаминов и минералов, таких как кальций и витамин D, также может способствовать развитию этой болезни.
Многие врачи рекомендуют обращать внимание на сигналы своего тела и не игнорировать дискомфорт, чтобы избежать серьезных последствий. Правильная разминка, постепенное увеличение нагрузки и сбалансированное питание могут помочь в профилактике этой проблемы.
https://youtube.com/watch?v=LyvaHYj2iHc
Способы терапии
Для лечения маршевой стопы не применяются фиксирующие устройства, а восстановление происходит быстро. Синдром Дойчлендера можно лечить в домашних условиях:
- Врачи советуют ограничить нагрузки на переднюю часть стопы. После выздоровления рекомендуется временно избегать тех видов активности, которые могли спровоцировать заболевание.
- Ортопеды рекомендуют выбирать удобную обувь со специальными стельками, что помогает снизить давление на поврежденные кости и уменьшить болевые ощущения.
- При синдроме Дойчлендера можно использовать обезболивающие кремы и мази, которые наносятся на чистую кожу стоп 3–4 раза в день.
Лечение маршевой стопы с помощью ультразвука или тепла не допускается, так как эти методы могут затруднить процесс сращения костей. Восстановительный период можно улучшить с помощью массажа, который можно выполнять самостоятельно дома.
Заболевание, как правило, заканчивается полным выздоровлением, и серьезные последствия для здоровья возникают крайне редко. Через полгода после срастания костей пациент может вернуться к своим обычным занятиям.
Вопрос-ответ
https://youtube.com/watch?v=puAvsqoehWE
Что является причиной маршевого перелома?
Переломы стопы обычно возникают из-за повторяющихся нагрузок или чрезмерной нагрузки на стопу, что приводит к образованию микротрещин в плюсневых костях. К распространённым причинам относятся: перегрузка и чрезмерное давление на стопу, чрезмерная физическая активность или занятия высокоинтенсивными видами спорта.
Что такое синдром маршевой стопы?
Маршевая стопа – это стрессовый (усталостный) перелом плюсневых и/или предплюсневых костей, который возникает при длительной нагрузке.
Что такое болезнь Дойчлендера?
Маршевая стопа (болезнь новобранцев, маршевый перелом, болезнь Дойчлендера) – заболевание, обусловленное патологической перестройкой плюсневых костей вследствие чрезмерной нагрузки. Может протекать остро или хронически, но чаще имеет первично-хроническое течение.
Советы
СОВЕТ №1
Обратите внимание на правильную обувь. Ношение неподходящей или неудобной обуви может увеличить риск развития болезни Дойчлендера. Выбирайте обувь с хорошей амортизацией и поддержкой, особенно если вы планируете длительные физические нагрузки.
СОВЕТ №2
Регулярно выполняйте упражнения для укрепления мышц ног. Укрепленные мышцы могут помочь снизить нагрузку на кости и суставы, что, в свою очередь, уменьшает риск травм и развития заболеваний, связанных с перегрузкой.
СОВЕТ №3
Следите за своим уровнем физической активности. Постепенно увеличивайте интенсивность и продолжительность тренировок, чтобы избежать резких нагрузок на ноги. Это поможет вашему организму адаптироваться и снизит риск возникновения маршевого перелома.
СОВЕТ №4
Обратите внимание на свое питание. Убедитесь, что ваш рацион богат кальцием и витамином D, которые необходимы для здоровья костей. Правильное питание поможет укрепить костную ткань и снизить риск развития заболеваний, таких как болезнь Дойчлендера.


