Общие причины заболевания
Прежде всего, важно отметить, что протрузия не является отдельным заболеванием; она развивается на фоне уже существующих патологий. Наиболее частыми факторами, способствующими возникновению протрузий, являются:
- остеохондроз, вызванный возрастными изменениями;
- травмы позвоночника, приводящие к его повреждению;
- искривления позвоночника, такие как сколиоз, лордоз и кифоз;
- неблагоприятная наследственность;
- избыточный вес;
- чрезмерные нагрузки на позвоночник из-за интенсивной физической активности;
- изменения в структуре фиброзного кольца, вызванные нарушениями в тканях.
Боль при протрузии возникает из-за того, что выпячивание проникает в область спинного мозга, раздражая нервные окончания. Также боль может быть связана с сжатием кровеносных сосудов, что ухудшает кровоснабжение.
Врачи отмечают, что парамедианная протрузия межпозвонкового диска чаще всего возникает из-за возрастных изменений, травм или неправильной осанки. Эти факторы приводят к деградации дисков и их смещению, что может вызывать компрессию нервных корешков и болевой синдром. Специалисты подчеркивают важность ранней диагностики, так как своевременное выявление проблемы позволяет избежать серьезных осложнений.
Лечение включает консервативные методы, такие как физиотерапия, мануальная терапия и медикаментозная терапия для снятия боли и воспаления. В некоторых случаях может потребоваться хирургическое вмешательство, особенно если консервативные методы не приносят облегчения. Врачи рекомендуют также обратить внимание на укрепление мышечного корсета и коррекцию образа жизни, что способствует профилактике рецидивов.
https://youtube.com/watch?v=wjyc9FZEAgc
Главные симптомы протрузии
Основным признаком парамедианной протрузии является боль, которая может проявляться в различных формах. Рассмотрим наиболее распространенные виды болевого синдрома:
- Люмбальный прострел — резкая боль в области позвоночника, способная вызывать изменение позы и иррадиировать в ноги или руки.
- Подострая люмбалгия — возникает при сжатии нервов, чаще всего в крестцовом или поясничном отделах.
- Каудопатия — дискомфорт в ягодичных мышцах, связанный с поражением конского хвоста.
- Торакалгия — боль, локализующаяся в области реберных дуг, с характерным опоясывающим ощущением.
| Причина парамедианной протрузии | Симптомы | Методы лечения |
|---|---|---|
| Дегенеративные изменения межпозвонкового диска (остеохондроз) | Боль в спине, иррадиирующая в ногу (люмбаго, ишиас), онемение, слабость в ноге, нарушение чувствительности | Консервативное лечение: медикаментозная терапия (НПВС, миорелаксанты), физиотерапия (магнитотерапия, электрофорез, УВЧ), лечебная физкультура, мануальная терапия. Хирургическое лечение: микродискэктомия, эндоскопическая дискэктомия (в случае неэффективности консервативного лечения и выраженной компрессии нервных структур) |
| Травма позвоночника (например, чрезмерная нагрузка, падение) | Острая боль в спине, ограничение подвижности, возможны неврологические симптомы | Иммобилизация, обезболивание, противовоспалительная терапия, постельный режим, физиотерапия, в тяжелых случаях – хирургическое вмешательство |
| Нарушение осанки (сколиоз, кифоз, лордоз) | Хроническая боль в спине, мышечное напряжение, ограничение подвижности | Коррекция осанки, лечебная физкультура, ортопедические средства (корсеты), физиотерапия |
| Врожденные аномалии развития позвоночника | Боль в спине, неврологические симптомы, деформация позвоночника | Хирургическое лечение (в зависимости от тяжести аномалии) |
| Инфекционные заболевания позвоночника | Боль в спине, повышение температуры, озноб, слабость | Антибиотикотерапия, хирургическое лечение (в случае абсцесса или остеомиелита) |
Особенности протрузий l4-l5
Парамедианная протрузия диска — это начальная стадия межпозвоночной грыжи, при которой фиброзное кольцо остается целым. Существует несколько типов протрузий:
- Циркулярная. Это наиболее распространенный вид. Выпячивание может быть направлено медиально, но чаще всего имеет равномерную или круговую форму. Это состояние может вызывать различные неврологические симптомы и боли разной интенсивности.
- Задняя (дорсальная). При этом типе выпячивание направлено в сторону спинномозгового канала.
- Диффузная (задняя). Указывает на то, что область выпячивания расположена в спинномозговом канале, и диск поражен от ¼ до ½.
- Центральная. Характеризуется тем, что диск выпадает в область конского хвоста, что может привести к сдавлению позвоночного канала и его стенозу.
Основным симптомом является боль, которая может возникнуть в молодом возрасте. Известны случаи резкой боли в пояснице даже у 20-летних пациентов. Боль имеет тенденцию к нарастанию и обострению в переходный период. Если человек не обратится к врачу при первых признаках боли, это может привести к развитию межпозвоночной грыжи.
Также у пациента могут наблюдаться другие симптомы, связанные с ограничением движений:
- болезненные ощущения в передней и задней части бедра;
- дискомфорт в области тыльной стороны стопы;
- неприятные ощущения в области первого пальца на стопе;
- симптом Ласега (боль в пояснице при поднятии выпрямленной ноги);
- усиление боли при кашле или смехе.
Заболевание нервного корешка может вызывать выраженную болезненность в поясничной области.
Парамедианная протрузия межпозвонкового диска вызывает множество обсуждений среди пациентов и специалистов. Люди часто отмечают, что основными причинами этого состояния являются неправильная осанка, травмы и возрастные изменения в позвоночнике. Многие делятся своим опытом, рассказывая о том, как физическая активность и малоподвижный образ жизни влияют на здоровье спины.
Что касается лечения, мнения также разнообразны. Некоторые предпочитают консервативные методы, такие как физиотерапия и лечебная гимнастика, которые помогают укрепить мышцы и улучшить гибкость. Другие обращаются к медикаментозной терапии для снятия боли и воспаления. В крайних случаях, когда консервативные методы не приносят облегчения, рассматривается хирургическое вмешательство. Важно отметить, что индивидуальный подход к каждому случаю и консультация с квалифицированным специалистом играют ключевую роль в успешном лечении.
https://youtube.com/watch?v=5ppeaMnOl_Q
Особенности клинических симптомов при протрузии L5 S1 отдела
Часто при выпадении межпозвоночных дисков в данной области наблюдаются нарушения двигательной активности. Основной причиной опорной дисфункции являются выраженные раздражения нервных стволов. На фоне этого раздражения могут развиваться воспалительные процессы, такие как радикулит. Закупорка сосудов, обеспечивающих питание нервов, приводит к радикулоишемии.
При сжатии нервных корешков постепенно ослабевают мышцы, отвечающие за разгибание стопы. Изменения в походке становятся заметными: человек не может нормально использовать пальцы при ходьбе, а пяточная кость оказывается недостаточно задействованной, вызывая болевые ощущения. Медианная протрузия диска L4-L5 также сопровождается ослаблением разгибательных мышц голени, а коленные рефлексы могут отсутствовать.
Протрузия L5-S1 является наиболее распространенной среди случаев парамедианной протрузии и встречается с одинаковой частотой у мужчин и женщин. Клинические проявления выпадения дисков в этой области включают:
- выраженный болевой синдром в пояснице;
- патологические изменения в мышцах, отвечающих за разгибание стопы и первого пальца;
- отсутствие или значительное снижение коленного рефлекса (это нарушение может выявить только невропатолог);
- снижение тонуса икроножной мышцы, что приводит к ухудшению походки.
С прогрессированием заболевания развивается дегенеративная протрузия. В этом случае кольцо диска значительно истончается и теряет эластичность. Из-за снижения эластичности в кольце формируются трещины, что приводит к ограничению подвижности и, в конечном итоге, к инвалидности.
Способы диагностики парамедианных протрузий
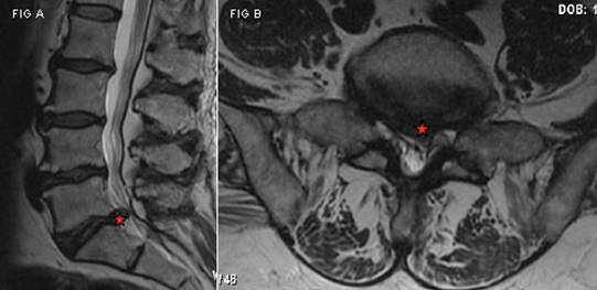
Диагностика данного заболевания основывается на анализе клинических проявлений и рентгенографических исследованиях. Обзорная рентгенография обычно не применяется, так как в прямой и боковой проекциях врач не может увидеть все патологические изменения в межпозвонковых дисках.
Наиболее четко выпячивание выявляется с помощью миелографии. Это рентгенографическое исследование спинного мозга, которое проводится путем введения рентгеноконтрастного вещества в спинномозговой канал. Процедура позволяет не только выявить протрузию, но и оценить степень повреждения межпозвонковых дисков.
Если у пациента отсутствуют признаки сдавливания мозга, но он испытывает сильные боли в пояснице, отдающие в ноги или руки, могут быть назначены магнитно-резонансная томография или компьютерная томография. Для более точной диагностики протрузии также используются дискография и пневмомиелография.
Дискография — это рентгеновское исследование межпозвоночного диска после введения специального контрастного вещества. Это позволяет врачу детально рассмотреть измененный диск и более точно оценить степень его поражения. Пневмомиелография включает введение небольшого количества воздуха в спинномозговой канал для проведения определенных исследований.
https://youtube.com/watch?v=hZbXzSoscOA
Лечение протрузии
В большинстве случаев применяются консервативные методы лечения. Используются различные техники вытяжения как в домашних условиях, так и в медицинских учреждениях. Основная цель терапии — предотвратить дегенерацию межпозвоночных дисков и избежать инвалидности. Лечение должно включать:
- соблюдение правил гигиены труда и правильную организацию физических нагрузок;
- исключение видов деятельности, вызывающих длительные и интенсивные нагрузки (в том числе статические) на позвоночник;
- коррекцию образа жизни с отказом от вредных привычек, способствующих прогрессированию дегенерации дисков.
Ключевым моментом является устранение болевого синдрома. Для этого пациентам назначают анальгетики и нестероидные противовоспалительные средства. На остром этапе могут быть рекомендованы инъекции. Также показаны согревающие кремы и мази.
Прогноз течения заболевания
Медианно направленная протрузия может иметь серьезные последствия, если лечение не начато вовремя. Поясничный отдел позвоночника ежедневно испытывает значительные нагрузки, и постоянное перенапряжение может привести к прогрессированию и обострению протрузии.
Опасность данного состояния заключается в вероятности:
- ущемления нервных корешков;
- компрессии конского хвоста;
- нижнего пареза;
- пареза четырехглавой мышцы бедра;
- паралича разгибателя большого пальца на ноге;
- инвалидности и утраты трудоспособности.
Парамедианная протрузия — это серьезное заболевание, сопровождающееся выраженной болью и снижением подвижности, что может привести к инвалидности.
Для предотвращения данной проблемы важно своевременно выявлять нарушения в работе позвоночника и проводить эффективное лечение. Самолечение при подозрении на протрузию строго не рекомендуется.
Вопрос-ответ
Что является причиной парацентральной протрузии диска?
Парацентральная протрузия межпозвоночного диска имеет ряд причин, которые со временем могут усилить боль. Старение, неправильная осанка и травмы могут спровоцировать парацентральную протрузию межпозвоночного диска, что затрудняет работу, отдых и удовольствие от жизни.
Что категорически нельзя делать при протрузии?
Избегать длительной неподвижности. Сидение или стояние в течение длительного времени может усиливать нагрузку на шейный отдел позвоночника. Нужно стараться делать перерывы, чтобы сменять положение и растягивать шею и плечи.
Советы
СОВЕТ №1
Регулярно выполняйте упражнения для укрепления мышц спины и живота. Это поможет поддерживать правильную осанку и снизить нагрузку на позвоночник, что может предотвратить развитие парамедианной протрузии.
СОВЕТ №2
Обратите внимание на свою осанку при сидении и стоянии. Используйте эргономичную мебель и старайтесь не оставаться в одной позе слишком долго, чтобы избежать перенапряжения позвоночника.
СОВЕТ №3
При первых признаках боли в спине или дискомфорта обратитесь к врачу. Раннее выявление и лечение могут предотвратить ухудшение состояния и развитие более серьезных заболеваний.
СОВЕТ №4
Следите за своим весом и придерживайтесь сбалансированной диеты. Избыточный вес создает дополнительную нагрузку на позвоночник, что может способствовать развитию протрузий и других заболеваний.





