Причины образования
Приобретенный ложный сустав может возникать по следующим причинам:
- неверное сопоставление осколков кости;
- неправильная фиксация;
- преждевременное снятие гипсовой повязки;
- чрезмерная нагрузка на поврежденную конечность;
- ненадежная фиксация костных фрагментов при остеосинтезе;
- попадание мышечных волокон, мягких тканей или инородных объектов между осколками костей;
- значительное расстояние между отколовшимися фрагментами кости;
- недостаточная микроциркуляция крови в области перелома, особенно при повреждении шейки бедра;
- инфекционные воспаления всех компонентов костной ткани.
В группу риска по развитию патологического срастания входят беременные женщины, пожилые пациенты, больные онкологическими заболеваниями, а также люди с рахитом, эндокринными расстройствами, нарушениями обмена веществ или заболеваниями нервной системы.
Ложные суставы могут быть врожденными и чаще всего локализуются в нижней части голени. С псевдоартрозом дети сталкиваются, когда начинают вставать на ноги и учатся ходить.
Врачи отмечают, что ложный сустав, или псевдартроз, может возникнуть в результате недостаточной фиксации перелома, несоответствующей реабилитации или инфекционных осложнений. Неправильное срастание костей часто связано с недостаточным кровоснабжением или травмами мягких тканей. Специалисты подчеркивают важность ранней диагностики данного состояния, так как оно может привести к хронической боли и ограничению подвижности. Лечение ложного сустава включает хирургическое вмешательство, направленное на стабилизацию перелома и восстановление нормального кровообращения. В некоторых случаях применяются методы остеосинтеза с использованием металлических конструкций. Также врачи рекомендуют комплексную реабилитацию, включающую физиотерапию и лечебную физкультуру, что способствует улучшению функциональности конечности и ускорению процесса заживления.
https://youtube.com/watch?v=47cAGYmhqgg
Характерные симптомы
При образовании ложного сустава могут проявляться следующие признаки:
- Незначительная или выраженная подвижность в тех частях тела, где это обычно не наблюдается.
- Увеличение диапазона движений, который не соответствует нормальному состоянию конечности.
- Укорочение верхней или нижней конечности до 10 см.
- Отеки ниже места повреждения кости.
- Ослабление мышц конечностей, где возник ложный сустав.
- Нарушение функциональности конечности с поврежденной целостностью костей и изменение работы соседних подвижных соединений скелета.
Боль редко является основным симптомом. Обычно она возникает при ходьбе, если ложный сустав образовался в ноге. Если патология затрагивает одну из частей двухкостной системы, пациент может даже не подозревать о наличии ложного сустава.
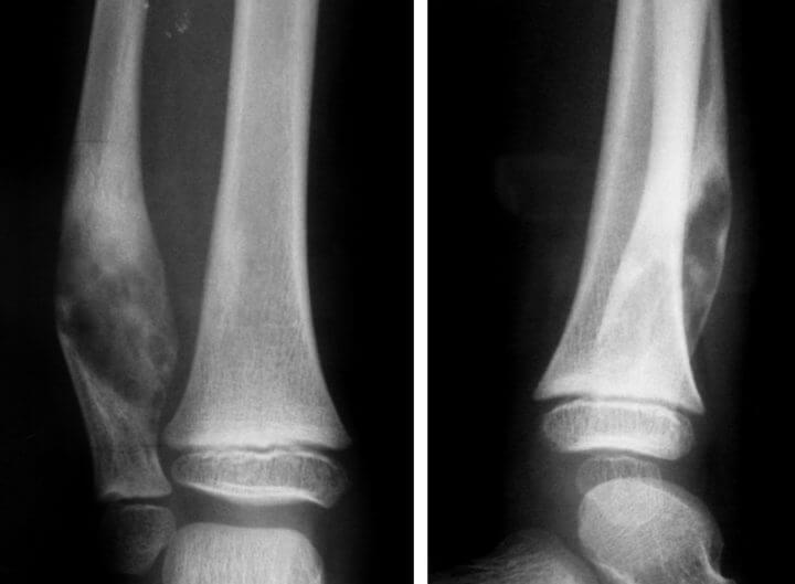
Подтвердить наличие ложного сустава можно только на основании рентгеновских снимков, КТ или МРТ. На изображениях видно закрытие костномозговой полости на концах отломков и образование замыкательных пластин. Также наблюдается суставная щель, заполненная соединительной тканью, а костные отростки становятся округлыми и сглаженными.
Ложный сустав, или псевдоартроз, является серьезным осложнением после переломов, и мнения людей о его причинах и лечении варьируются. Многие отмечают, что основными факторами, способствующими развитию этого состояния, являются недостаточная фиксация перелома, несоблюдение рекомендаций врача и наличие сопутствующих заболеваний, таких как остеопороз.
Что касается лечения, то мнения также разделяются. Некоторые пациенты делятся положительным опытом хирургического вмешательства, которое включает в себя остеосинтез и использование костных трансплантатов. Другие же подчеркивают важность консервативных методов, таких как физиотерапия и применение ортезов, которые помогают восстановить функцию конечности. Важно отметить, что индивидуальный подход к каждому случаю и комплексное лечение могут значительно повысить шансы на успешное выздоровление.
| Причина образования ложного сустава | Симптомы | Методы лечения |
|---|---|---|
| Неправильное сращение костных отломков (несоответствие отломков, межфрагментарная гематома) | Отсутствие консолидации перелома, боль, ограничение подвижности, патологическая подвижность в месте перелома, деформация конечности | Консервативная терапия (иммобилизация, физиотерапия), хирургическое лечение (остеосинтез, костная пластика, костная трансплантация) |
| Инфекция в месте перелома | Гнойные выделения, повышение температуры тела, отек, покраснение, боль | Антибиотикотерапия, хирургическое лечение (дренирование, некрэктомия), возможность удаления инфекционного очага и последующего остеосинтеза |
| Недостаточное кровоснабжение костных отломков | Отсутствие признаков заживления перелома, бледность кожи, снижение температуры конечности | Хирургическое лечение (восстановление кровоснабжения, костная пластика), стимуляция регенерации костной ткани |
| Межфрагментарная интерпозиция мягких тканей (мышечная, жировая, рубцовая ткань) | Замедленное сращение перелома, ограничение подвижности | Хирургическое лечение (удаление препятствующих сращению тканей, остеосинтез) |
| Систематические заболевания (сахарный диабет, остеопороз) | Замедленное сращение перелома, слабость костей | Лечение основного заболевания, стимуляция регенерации костной ткани, остеосинтез |
| Курение | Замедленное заживление перелома | Отказ от курения, стимуляция регенерации костной ткани |
| Несоблюдение рекомендаций врача | Отсутствие прогресса в заживлении перелома | Коррекция лечения, соблюдение рекомендаций врача |
Лечебные мероприятия
При наличии ложного сустава лечение возможно только через хирургическое вмешательство. Во время операции восстанавливается целостность костной ткани. Отколовшиеся участки кости сопоставляются, удаляются замыкательные пластины, а отломки соединяются с помощью металлических конструкций или аппарата Илизарова.
Хирургическая терапия ложного сустава включает следующие этапы:
- Операцию можно проводить через 6–12 месяцев после заживления травмы.
- При повреждении шейки бедра восстанавливается опорная ось, чтобы избежать хромоты.
- Для предотвращения рецидива необходимо точно сопоставить отколовшиеся фрагменты кости.
- Особое внимание уделяется концам обломков. Удаляются гипертрофированные костные наросты, восстанавливаются канальцы и удаляется рубцовая ткань.
В некоторых случаях для борьбы с ложным суставом требуется костная пластика. На место поврежденной костной ткани устанавливается костная пластинка, взятая из другого участка тела пациента.
При репозиции костных отломков с использованием фиксирующих конструкций для улучшения срастания перелома пациентам назначается поддерживающая терапия:
- поливитаминные комплексы с микроэлементами (Кальцемин, Остеодар, Остеокеа);
- хондропротекторы (Артрон, Протекон, Хондроитин);
- средства, улучшающие кровообращение (Агапурин, Вазонит, Трентал).
Кроме того, пациентам рекомендуется специальная диета, богатая кальцием. Важно, чтобы пациенты с ложным суставом прошли лечение хронических заболеваний, которые могут препятствовать образованию костной мозоли. В период восстановления после операции особое внимание следует уделить массажу, занятиям лечебной физкультурой и физиотерапевтическим методам.
Необходимым условием для успешного сращения является надежная фиксация отломков как снаружи, так и внутри. Игнорирование этого условия может привести к рецидиву псевдоартроза и потребовать повторного хирургического вмешательства.
При закрытых ложных суставах положительный результат после операции достигается в 90 % случаев.
https://youtube.com/watch?v=uNPorFh41eg
Вопрос-ответ
Можно ли жить с ложным суставом?
Наличие ложного сустава приводит к стойкой потере функции конечности и утрате привычного качества жизни. Бывает, что «пропущенные» и вовремя не диагностированные переломы срастаются. И, наоборот, идеально прооперированные переломы не срастаются вовсе.
https://youtube.com/watch?v=9AnmMVQ5XeQ
Как оперируют ложный сустав?
Костная пластика при ложном суставе – это открытая операция, которая предусматривает его резекцию (иссечение) с замещением дефекта собственной или искусственной костной тканью. Хирургическое вмешательство частично или полностью восстанавливает функцию пораженного участка тела с улучшением качества жизни пациента.
Советы
СОВЕТ №1
Обратитесь к врачу при первых признаках ложного сустава. Если после перелома вы замечаете, что место травмы не заживает, появляется боль или отек, не откладывайте визит к специалисту. Ранняя диагностика поможет избежать серьезных осложнений.
СОВЕТ №2
Следуйте рекомендациям по реабилитации. После перелома важно выполнять все предписания врача, включая физическую терапию и упражнения, которые помогут восстановить подвижность и укрепить мышцы вокруг поврежденной области.
СОВЕТ №3
Обратите внимание на питание. Убедитесь, что ваш рацион богат кальцием и витамином D, которые способствуют заживлению костей. Включите в меню молочные продукты, рыбу, орехи и зелень.
СОВЕТ №4
Избегайте чрезмерных нагрузок на травмированную конечность. После перелома важно постепенно увеличивать физическую активность, чтобы не усугубить ситуацию и не спровоцировать развитие ложного сустава.


