Причины возникновения заболевания
-
Основными факторами, способствующими возникновению проблемы, являются значительные нагрузки на позвоночник. В группу риска попадают спортсмены и люди, работающие в определенных профессиях.
-
Повреждения мышечно-связочного аппарата часто приводят к развитию ретролистеза шейных позвонков. Кроме того, компрессионные переломы могут стать причиной этого заболевания.
-
Смещение позвонков может быть вызвано дегенеративными изменениями в хрящевых тканях и повреждением межпозвоночных дисков.
-
К менее распространенным причинам относятся злокачественные опухоли и наследственная предрасположенность.
Ретролистез — это смещение позвонка назад относительно нижележащего. Врачи отмечают, что данное состояние может возникать по нескольким причинам, включая травмы, дегенеративные изменения в позвоночнике, а также врожденные аномалии. Часто ретролистез наблюдается у людей старше 50 лет, когда межпозвоночные диски теряют эластичность и прочность.
Лечение ретролистеза зависит от степени смещения и наличия симптомов. Врачи рекомендуют консервативные методы, такие как физиотерапия, лечебная гимнастика и медикаментозное лечение для снятия боли и воспаления. В более тяжелых случаях может потребоваться хирургическое вмешательство для стабилизации позвоночника. Важно, чтобы пациенты следовали рекомендациям специалистов и не игнорировали симптомы, так как это может привести к серьезным осложнениям.
https://youtube.com/watch?v=nwn_WRtZ_i8
Степени и виды смещения позвонка
Специалисты выделяют ретролистез поясничного отдела в зависимости от степени выраженности патологических изменений.
- При первой степени позвонок смещается не более чем на 25%.
- Вторая степень характеризуется смещением на 50%.
- Третья степень — на 75%.
Наиболее тяжелой формой является ретролистез четвертой степени, при котором происходит полное выпадение позвонка.
Также заболевание можно классифицировать по рентгенологическим признакам и характеру смещения, хотя этот подход используется реже.
- При полном ретролистезе позвонок смещается относительно двух соседних элементов.
- При частичном смещении сдвиг происходит относительно либо верхнего, либо нижнего отдела.
- Лестничный ретролистез — это форма заболевания, при которой позвонок смещается назад относительно верхнего отдела и вперед по отношению к нижнему.
В зависимости от причин возникновения выделяют еще четыре типа заболевания:
- Деформирующий ретролистез развивается на фоне уже существующего лордоза.
- Патологический тип наблюдается при повышении тонуса мышечного корсета.
- Дегенеративный ретролистез чаще встречается у пожилых людей и возникает в результате длительного течения дистрофических процессов в хрящевых и костных тканях.
- Паралитический ретролистез шейного отдела диагностируется у пациентов с диагнозом ДЦП.
| Причина ретролистеза | Симптомы ретролистеза | Методы лечения ретролистеза |
|---|---|---|
| Дегенеративные изменения межпозвонковых дисков (остеоартрит) | Боль в спине, которая может отдавать в ягодицы и ноги; скованность; ограничение подвижности; онемение или покалывание в конечностях | Консервативное лечение: физиотерапия (упражнения, массаж, мануальная терапия), медикаментозная терапия (нестероидные противовоспалительные препараты, миорелаксанты), ношение ортезов. Хирургическое лечение: в редких случаях, при неэффективности консервативного лечения и выраженном сдавлении нервных структур. |
| Травмы позвоночника (переломы, вывихи) | Острая боль в спине, усиливающаяся при движении; деформация позвоночника; неврологические симптомы (слабость, парез, паралич) | Иммобилизация (гипс, ортез); хирургическое лечение (восстановление анатомической целостности позвоночника); реабилитация. |
| Врожденные аномалии развития позвоночника (например, спондилолистез) | Боль в спине, которая может усиливаться при физической активности; ограничение подвижности; неврологические симптомы | Консервативное лечение (аналогично дегенеративному ретролистезу); хирургическое лечение (в зависимости от степени тяжести и наличия осложнений). |
| Спондилолистез (смещение позвонка вперед) – может быть предшествующим фактором | Боль в спине, иррадиирущая в ногу; слабость в ноге; нарушение чувствительности | Консервативное лечение (физиотерапия, медикаментозная терапия, ортезы); хирургическое лечение (в случае выраженного сдавления нервных структур). |
| Мышечный дисбаланс | Боль в спине, усиливающаяся при определенных движениях; ограничение подвижности; мышечное напряжение | Укрепление мышц спины и живота; растяжка; физиотерапия; коррекция осанки. |
Признаки заболевания
При поражении шейных позвонков C3, C4 и C5 возникают боли различной интенсивности. К неврологическим симптомам относятся:
- ухудшение остроты зрения;
- двойное зрение;
- головокружение;
- шум в ушах.
При длительном течении ретролистеза могут развиваться головные боли, которые со временем становятся более выраженными и постоянными. Также возможно резкое повышение артериального давления, нормализующееся после приема медикаментов. Реже наблюдаются тошнота и снижение чувствительности в руках.
Для ретролистеза характерно усиление симптомов при наклонах и поворотах головы.
При смещении позвонков грудного отдела возникают боли в этой области — от легких до сильных. Также могут проявляться симптомы, схожие с язвой желудка и двенадцатиперстной кишки, проблемы с дыханием, боли в области живота и правом боку.
Ретролистез позвонков L5, L4, L3 и L2 сопровождается неприятными ощущениями в нижней части спины, усиливающимися при физических нагрузках. При длительном нахождении в неудобной позе боли становятся постоянными и тянущими. При попытке поднять ноги в лежачем положении возникает чувство тяжести в паху. Изменяется походка, шаги становятся короче. При сдавливании нервных окончаний может нарушаться чувствительность в ногах. В редких случаях наблюдаются недержание мочи, импотенция и фригидность.
Ретролистез — это смещение позвонка назад относительно нижележащего. Многие люди, столкнувшиеся с этой проблемой, отмечают, что причиной могут быть травмы, дегенеративные изменения в позвоночнике или генетическая предрасположенность. Часто симптомы включают боль в спине, дискомфорт при движении и даже радиирующую боль в конечностях. Лечение ретролистеза может варьироваться в зависимости от степени смещения и выраженности симптомов. Врач может рекомендовать консервативные методы, такие как физиотерапия, массаж и лечебная гимнастика, а также применение противовоспалительных препаратов. В более сложных случаях может потребоваться хирургическое вмешательство для стабилизации позвоночника. Важно помнить, что ранняя диагностика и комплексный подход к лечению могут значительно улучшить качество жизни и предотвратить дальнейшие осложнения.
https://youtube.com/watch?v=hp8Qh5Pg2n8
Способы диагностики
Для диагностики ретролистеза специалист сначала изучает симптомы пациента и собирает подробный анамнез. Затем проводится осмотр позвоночника, который позволяет оценить его искривление и проверить неврологические рефлексы.
Для подтверждения диагноза применяются различные аппаратные методы исследования:
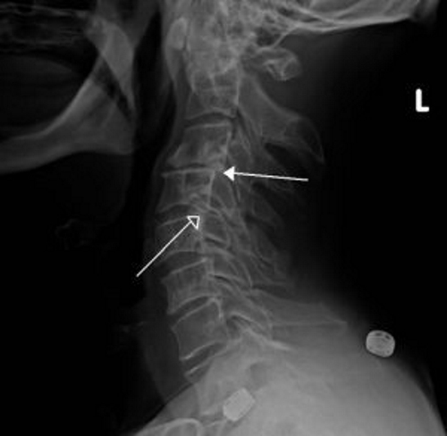
- Рентгенография в нескольких проекциях позволяет выявить смещение позвонков, определить его степень и оценить выраженность патологических изменений в хрящевых тканях.
- МРТ является более информативным методом. С его помощью можно обнаружить травмы связок и мышц, а также сдавление спинного мозга и нервных корешков.
- Электромиография применяется для выявления нарушений иннервации тканей.
Как осуществляется лечение данного заболевания?
Терапевтические мероприятия
Для терапии ретролистеза применяются как консервативные, так и хирургические методы. К консервативным относятся медикаменты и физиотерапевтические процедуры. Основу лечения составляют нестероидные противовоспалительные препараты (НПВС), которые принимаются 1–3 раза в день в дозировках, назначенных врачом. Миорелаксанты помогают снизить мышечный тонус и назначаются при напряжении в тканях. Стероидные гормоны вводятся эпидурально.
Дополнительные методы лечения могут включать:
- специальные физические упражнения;
- массаж;
- иглоукалывание;
- лазерную терапию;
- ношение специализированного корсета.
При выполнении физических упражнений важно правильно распределять нагрузки на позвоночник.
Хирургическое вмешательство при ретролистезе рассматривается, если консервативная терапия неэффективна, при выраженных нарушениях иннервации или на 4 стадии заболевания. Во время операции позвонкам возвращается правильное положение, после чего они фиксируются с помощью пластин или других устройств. Период восстановления может занять от 3 до 12 месяцев.
Наиболее распространенными осложнениями ретролистеза являются межпозвоночные грыжи, параличи и парезы конечностей, а также нарушения функций органов грудной клетки и малого таза.
Чтобы предотвратить развитие заболевания, важно следовать рекомендациям. Необходимо минимизировать риск травм и придерживаться правильного питания. В рацион следует включать продукты, богатые витаминами и минералами, и избегать чрезмерных нагрузок на позвоночник.
https://youtube.com/watch?v=OwwUxwpJ-Fk
Вопрос-ответ
Что такое ретролистез L5 и как его лечить?
Ретролистез L5 – это патологическое состояние, при котором пятый поясничный позвонок смещается назад относительно других позвонков. Такое изменение положения может привести к компрессии нервных структур, что вызывает боль, нарушение двигательных функций и другие симптомы.
Можно ли делать массаж при ретролистезе?
Вопрос-ответ 49041. Можно ли делать массаж при середине грыжи диска L5-S1 и ретролистезе L1 1-й степени? Массаж при грыже диска и листезе делать можно, но этот метод лечения эффективен только в комплексе с другими методами лечения (ЛФК, ФТО, ИРТ).
Советы
СОВЕТ №1
Регулярно выполняйте упражнения для укрепления мышц спины и живота. Это поможет поддерживать позвоночник в правильном положении и снизит риск возникновения ретролистеза.
СОВЕТ №2
Обратите внимание на свою осанку. Правильная осанка при сидении и стоянии уменьшает нагрузку на позвоночник и может предотвратить развитие проблем, связанных с ретролистезом.
СОВЕТ №3
Не игнорируйте симптомы, такие как боль в спине или дискомфорт. При первых признаках проблем с позвоночником обратитесь к врачу для диагностики и своевременного лечения.
СОВЕТ №4
Поддерживайте здоровый вес. Избыточный вес увеличивает нагрузку на позвоночник, что может способствовать развитию ретролистеза. Правильное питание и физическая активность помогут контролировать вес.



