Что такое асептический некроз?
Асептический (аваскулярный) некроз кости — хроническое заболевание, при котором нарушается кровоснабжение костной ткани. Чаще всего оно затрагивает головку кости в области её соединения с суставом. Из-за ухудшения кровотока погибают остеобласты и остеоциты, которые важны для образования межклеточного вещества и роста кости. В то же время активируются остеокласты, что приводит к разрушению костной ткани.
В результате этих процессов кость теряет прочность. Любые нагрузки могут вызвать переломы и повреждения, приводящие к образованию осколков. Они сжимают кровеносные сосуды и усугубляют нарушение питания тканей, что способствует гибели клеток и развитию некроза.
Некроз головки плечевой кости возникает в результате нарушения кровоснабжения, что может быть вызвано травмами, длительным использованием кортикостероидов, алкоголизмом или системными заболеваниями. Врачи отмечают, что ранняя диагностика играет ключевую роль в успешном лечении. Симптомы, такие как боль в плече и ограничение подвижности, могут указывать на развитие патологии.
Лечение некроза может варьироваться от консервативных методов, таких как физиотерапия и медикаментозная терапия, до хирургических вмешательств, включая остеотомию или эндопротезирование. Врачи подчеркивают важность индивидуального подхода к каждому пациенту, так как эффективность терапии зависит от стадии заболевания и общего состояния здоровья. Регулярные обследования и соблюдение рекомендаций специалистов способствуют улучшению прогноза и восстановлению функции плечевого сустава.
https://youtube.com/watch?v=tBzM7BU2IsM
Причины возникновения и стадии развития
Ученые до сих пор не пришли к единому мнению о точных причинах возникновения костного инфаркта. Остеонекроз может быть вызван рядом факторов:
- Ушибы или переломы костей, а также хирургические операции. Эти травмы могут повредить сосуды, и первые симптомы заболевания могут проявиться через 1,5–2 года после травмы.
- Долгосрочное использование кортикостероидов, назначаемых для лечения артритов, аутоиммунных и аллергических заболеваний. Эти препараты сужают кровеносные сосуды, нарушая питание клеток и способствуя различным заболеваниям, включая некроз костей.
Применение кортикостероидов может вызвать остеопороз и разрушение костной ткани. Даже при незначительных нагрузках кости начинают ломаться, что усугубляет недостаток питания клеток и сдавливание сосудов.
К основным причинам развития данной патологии относятся:
- Ожирение и нарушения обмена веществ. Неправильное питание с высоким содержанием жиров или сбои в метаболизме могут привести к атеросклерозу, при котором холестерин откладывается на стенках сосудов, вызывая их закупорку. Лишний вес также увеличивает нагрузку на суставы ног, особенно в области голеностопного, коленного и тазобедренного суставов.
- Чрезмерное употребление алкоголя, что нарушает обмен веществ и может способствовать атеросклерозу.
- Аутоиммунные заболевания. Эти патологии могут приводить к закупорке сосудов. Часто такие болезни лечатся кортикостероидами, что увеличивает риск асептического некроза плечевого сустава.
- Заболевания позвоночника, включая межпозвоночные грыжи, могут сжимать сосуды и нервные волокна, питающие костную ткань. Некроз головки плечевой кости может возникать из-за сжатия в грудном или шейном отделе.
К менее распространенным причинам заболевания можно отнести пониженное артериальное давление, злокачественные опухоли, последнюю стадию ВИЧ-инфекции и трансплантацию органов. В некоторых случаях установить причину болезни не удается, что затрудняет лечение.
Существует четыре стадии посттравматического некроза головки плеча:
- Первая стадия длится 6 месяцев и характеризуется отсутствием симптомов. На этом этапе кость еще не повреждена, плечо функционирует нормально, и человек может свободно двигать рукой. Однако при значительных нагрузках может возникать легкая боль, которая быстро проходит.
- Вторая стадия продолжается полгода. Процесс разрушения усиливается, на поверхности кости появляются небольшие повреждения и трещины. Ткани, расположенные рядом, также могут быть травмированы, вызывая боль. При нагрузке на головку кости могут возникать переломы балок костной ткани, которые начинают сминаться.
- Третья стадия длится около 1,5 лет. Наблюдается прогрессирующая атрофия мышц плеча, костная структура значительно разрушается, и человек испытывает сильную и постоянную боль, не может нормально двигать рукой.
- Четвертая стадия продолжается полгода. На этой стадии некроза происходит омертвение тканей, и наблюдается полное отсутствие двигательной активности руки. Боль становится резкой, физическая активность становится невозможной.
| Причина некроза головки плечевой кости | Симптомы | Методы лечения |
|---|---|---|
| Травма (перелом, вывих) | Боль в плече, ограничение подвижности, слабость, хруст | Консервативное лечение (лекарства от боли, физиотерапия), хирургическое вмешательство (остеотомия, эндопротезирование) |
| Асептический некроз (без инфекции) | Боль в плече, ночная боль, ограничение подвижности, атрофия мышц | Консервативное лечение (лекарства от боли, физиотерапия), хирургическое вмешательство (васкуляризация, остеотомия, эндопротезирование) |
| Нарушение кровоснабжения (тромбоз, эмболия) | Боль в плече, постепенно нарастающая, ограничение подвижности | Хирургическое вмешательство (восстановление кровотока, эндопротезирование) |
| Заболевания крови (серповидно-клеточная анемия) | Боль в плече, слабость, ограничение подвижности | Лечение основного заболевания, симптоматическая терапия, хирургическое вмешательство (эндопротезирование) |
| Злоупотребление кортикостероидами | Боль в плече, слабость, ограничение подвижности | Отмена или снижение дозы кортикостероидов, симптоматическая терапия, хирургическое вмешательство |
| Алкоголизм | Боль в плече, слабость, ограничение подвижности | Лечение алкоголизма, симптоматическая терапия, хирургическое вмешательство |
| Идиопатический некроз (причина неизвестна) | Боль в плече, ограничение подвижности | Консервативное лечение (лекарства от боли, физиотерапия), хирургическое вмешательство (остеотомия, эндопротезирование) |
Характерные симптомы
Каждая стадия заболевания проявляется специфическими симптомами. На начальном этапе болезнь характеризуется слабо выраженными признаками: усталостью, общей слабостью и легкой болью, возникающей при физической активности или нажатии на плечо. По мере прогрессирования заболевания болевые ощущения усиливаются и могут сохраняться даже в покое. Функциональность верхней конечности значительно ухудшается, вплоть до полной неподвижности, также наблюдается отек в области сустава. Мышцы плеча начинают атрофироваться, а кость становится хрупкой, что приводит к частым переломам.
Некроз головки плечевой кости — это серьезное заболевание, которое вызывает множество вопросов у пациентов и врачей. Многие люди отмечают, что основными причинами его возникновения являются травмы, недостаток кровоснабжения и хронические заболевания, такие как остеопороз. Симптомы, как правило, включают боль в плече, ограничение подвижности и отечность.
Лечение некроза может варьироваться в зависимости от стадии заболевания. На ранних этапах врачи рекомендуют консервативные методы, такие как физиотерапия и медикаментозное лечение. В более запущенных случаях может потребоваться хирургическое вмешательство, например, остеотомия или эндопротезирование. Важно помнить, что ранняя диагностика и своевременное обращение к специалисту играют ключевую роль в успешном лечении и восстановлении функции плечевого сустава.
https://youtube.com/watch?v=Jw_L2VGoSss
Диагностика
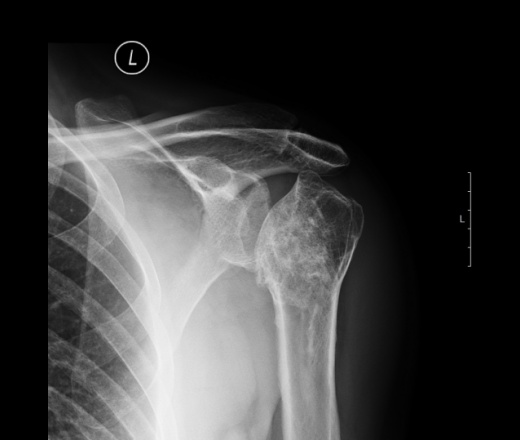
Для диагностики заболевания специалист проводит осмотр пациента и выявляет признаки повреждения головки плечевого сустава. На ранних стадиях болезни рентгенография не дает достаточной информации, но на более поздних становится более информативной. Этот метод позволяет обнаружить изменения в форме головки плечевой кости, размытые контуры, неоднородную текстуру и расширенные суставные щели.
С помощью компьютерной томографии (КТ) или магнитно-резонансной томографии (МРТ) врач может выявить начальные стадии патологического процесса в костной ткани. Анализы крови помогают определить наличие воспалительных процессов в организме.
Методы лечения
При асептическом некрозе лечащий врач может рекомендовать нестероидные противовоспалительные препараты, такие как:
- Диклофенак;
- Нилумид;
- Целебрекс;
- Мелоксикам;
- Бутадион;
- Индометацин;
- Кетопрофен;
- Пироксикам.
Эти средства помогают снизить болевой синдром. Хотя они не устраняют некроз головки плеча, их обезболивающее действие способствует расслаблению мышц, спазмирующихся из-за боли, что может улучшить кровообращение в пораженной области. Однако использование нестероидных противовоспалительных средств имеет свои риски: пациент, не ощущая боли, может перегружать руку, что ускоряет разрушительные процессы в головке плечевой кости.
Для лечения также применяются сосудорасширяющие препараты:
- Теоникол;
- Трентал.
Эти медикаменты нормализуют кровообращение и способствуют восстановлению головки кости, улучшая кровоток и снимая спазмы мелких сосудов. Их использование может значительно снизить ночные боли в суставе.
Препараты, способствующие восстановлению костной ткани, играют важную роль при асептическом некрозе. К ним относятся средства с витамином D, такие как Остеомаг, Оксидевит, Кальций Д3 форте, Альфа D3 ТЕВА, Натекаль D3. Эти препараты улучшают усвоение кальция из кишечника и повышают его уровень в крови, что способствует накоплению этого элемента в костях, включая плечевую.
Для лечения болезни могут быть назначены кальцитонины:
- Сибакальцин;
- Алостин;
- Миакальцик.
Эти препараты улучшают кровообращение и уменьшают болевые ощущения в костях, предотвращая выведение кальция из костной ткани и активируя остеобласты, способствующие поступлению кальция в кости.
При некрозе плечевой кости врач может рекомендовать хондропротекторы, такие как Хондролон, Терафлекс, Структум, Дону, Артру. Эти средства питают хрящевую ткань и восстанавливают структуру поврежденного хряща, однако они эффективны только на третьей стадии заболевания и требуют длительного курса применения.
В качестве дополнительного метода лечения может быть предложена гирудотерапия. Медицинские пиявки вводят в кровь ферменты, которые улучшают кровообращение в поврежденной головке плечевой кости. Для достижения наилучших результатов рекомендуется проводить два курса гирудотерапии в год, каждый из которых состоит из 10 сеансов.
Лечебный массаж также может быть полезен при некрозе головки плечевой кости. Если массаж выполнен правильно, он способствует улучшению кровообращения в пораженной области.
К другим методам лечения данного заболевания относятся:
- Лазеротерапия — применяется в рамках комплексного лечения как дополнительный метод. Процедуры проводятся через день, общее количество сеансов — 12.
- Тепловое лечение: грязелечение, парафинотерапия, озокерит. Эти методы помогают улучшить кровообращение и обмен веществ.
- Декомпрессия головки плечевой кости или большого бугорка. В этом случае кость прокалывают толстой иглой, что способствует образованию новых кровеносных сосудов и увеличивает кровоснабжение пораженной области, а также снижает внутрикостное давление, что может уменьшить болевой синдром на 65–75%.
- Мануальная терапия — применяется крайне редко, когда заболевание вызвано ущемлением сустава.
- Использование лечебных кремов и мазей. Согревающие или раздражающие препараты, такие как Никофлекс, Финалгон, Эспол, Гевкамен, Меновазин, улучшают кровообращение в суставе. При втирании они раздражают рецепторы кожи, способствуя выработке эндорфинов, что помогает снизить боль и расслабить околосуставные мышцы.
Пациентам рекомендуется минимизировать нагрузку на больную руку. Лечебная гимнастика может значительно улучшить состояние, укрепляя мышцы и активизируя кровообращение.
Если консервативные методы лечения не дают результатов, врач может предложить хирургическое вмешательство, которое может включать:
- Эндопротезирование — полную замену деформированного плечевого сустава на искусственный. После операции устраняется болевой синдром и восстанавливается подвижность сустава, однако существует риск инфицирования и развития осложнений.
- Артродез плечевого сустава. После такого вмешательства происходит сращение костей, что может уменьшить или устранить боль, но сустав полностью теряет свою подвижность.
https://youtube.com/watch?v=Xaq2eRVU_0k
Прогноз
При асептическом некрозе прогноз для жизни пациента в целом положительный. Однако восстановление функции плечевого сустава и верхней конечности вызывает сомнения. Это связано с основным заболеванием, которое затрудняет процесс выздоровления.
Последствия и осложнения
Асептический некроз можно лечить медикаментозно. Однако, если упустить время, плечевая кость может полностью разрушиться. В таких случаях требуется операция с установкой протеза. Лечение поверхностного некроза проходит быстро и эффективно, тогда как глубокий некроз может затронуть все слои кожи, что требует более длительного лечения или протезирования.
Осложнения этого заболевания значительно ухудшают качество жизни. При этом недуге часто наблюдается полная утрата функциональности. Человек теряет возможность двигать рукой, что делает невозможным выполнение обычной работы. Если не предпринять меры, болезнь может быстро привести к инвалидности.
Профилактика заболевания
Для предотвращения заболевания важно:
- следить за рационом, включая кальций, минералы и витамины;
- контролировать массу тела;
- исключить вредные привычки;
- избегать обстоятельств, способствующих травмам;
- заниматься физическими упражнениями для укрепления мышц плечевого пояса.
При первых симптомах заболевания следует незамедлительно обратиться к врачу.
Заключение
Асептический некроз головки плечевой кости возникает из-за нарушения кровоснабжения, что приводит к постепенному отмиранию тканей. Раннее лечение способствует восстановлению структуры костной ткани, а профилактические меры помогают предотвратить развитие этой патологии.
Вопрос-ответ
Каковы причины некроза плечевого сустава?
Некроз плечевого сустава возникает в связи с плохим кровообращением в области сустава, которое может быть спровоцировано травмами плеча, патологическими изменениями сосудов, на фоне инфекционных заболеваний и на фоне гормональных средств.
Можно ли вылечить некроз без операции?
Можно ли вылечить асептический некроз головки бедренной кости без операции? Нет. АНГБК – заболевание, которое сопровождается необратимым разрушением костной ткани. Медикаментозное лечение может только замедлить этот процесс.
Советы
СОВЕТ №1
Регулярно проходите медицинские осмотры, особенно если у вас есть факторы риска, такие как травмы плеча, заболевания суставов или системные заболевания. Раннее выявление проблем может предотвратить развитие некроза.
СОВЕТ №2
Обратите внимание на свое питание. Убедитесь, что ваш рацион богат витаминами и минералами, особенно кальцием и витамином D, которые способствуют здоровью костей. Это может помочь укрепить костную ткань и снизить риск некроза.
СОВЕТ №3
Избегайте чрезмерных физических нагрузок на плечевой сустав, особенно если у вас уже есть предрасположенность к травмам. Постепенно увеличивайте интенсивность тренировок и всегда разогревайтесь перед физической активностью.
СОВЕТ №4
Если вы заметили симптомы, такие как боль в плече, ограничение подвижности или отек, не откладывайте визит к врачу. Чем раньше начнется лечение, тем выше шансы на успешное восстановление и предотвращение серьезных последствий.




