Причины заболевания
Опухоли с жидкостью в области подколенной ямки чаще всего возникают из-за обменных и дистрофических нарушений, а также воспалительных заболеваний, таких как артрит. К факторам, способствующим их развитию, относятся:
- Значительные физические нагрузки. В группу риска входят спортсмены, грузчики и люди, регулярно поднимающие тяжести.
- Травмы, возникающие из-за ушибов или падений.
- Наследственная предрасположенность (наличие кисты у ближайших родственников).
- Профессиональные вредные условия труда.
- Хронические заболевания опорно-двигательного аппарата, например, ревматоидный артрит.
- Системные заболевания, такие как ревматизм.
- Избыточный вес.
Гигрома колена, по мнению врачей, возникает в результате накопления жидкости в суставной сумке, что может быть следствием травм, хронических воспалений или перегрузок. Часто она наблюдается у людей, занимающихся спортом или выполняющих физическую работу, где колени подвержены постоянному напряжению. Врачи отмечают, что гигрома может быть безболезненной и не требовать лечения, однако в некоторых случаях она вызывает дискомфорт и ограничивает подвижность.
Лечение гигромы колена зависит от ее размера и симптоматики. Врач может рекомендовать консервативные методы, такие как физиотерапия, компрессионные повязки и противовоспалительные препараты. Если гигрома вызывает значительные неудобства или не уменьшается, может потребоваться хирургическое вмешательство для ее удаления. Важно, чтобы пациенты не игнорировали симптомы и обращались за медицинской помощью, чтобы избежать осложнений и сохранить здоровье суставов.
https://youtube.com/watch?v=UUdsmRXvdNM
Характерные симптомы
На начальных этапах заболевания симптомы могут отсутствовать. Однако по мере прогрессирования болезни могут возникнуть следующие проявления:
- Дискомфорт при сгибании ноги в коленном суставе.
- Болезненность при ощупывании.
- Боль, которая может беспокоить даже в состоянии покоя, возникает из-за сжатия нервов.
- Образование опухолевидного новообразования округлой формы с четкими границами и плотной текстурой. При активных движениях оно может немного увеличиваться, чаще всего формируется в области подколенной ямки с одной стороны. Многие опытные специалисты встречали подобные случаи.
- Утолщение и шершавая поверхность кожи над гигромой.
- Слабость в икроножной мышце.
- Изменение чувствительности, проявляющееся в виде покалывания и ощущения мурашек.
- Бледность кожи ниже колена.
| Причина появления гигромы колена | Симптомы гигромы колена | Методы лечения гигромы колена |
|---|---|---|
| Повреждение суставной сумки или синовиальной оболочки | Опухоль в области колена, болезненность при пальпации, ограничение подвижности сустава, чувство дискомфорта | Консервативное лечение (холод, компрессы, противовоспалительные мази, физиотерапия), пункция с аспирацией жидкости, хирургическое удаление |
| Постоянная нагрузка на колено (спорт, тяжелая работа) | Припухлость, ощущение тугой шишки, иногда покраснение кожи над образованием | Иммобилизация коленного сустава, ношение ортезов, инъекции кортикостероидов |
| Воспалительные процессы в суставе (артрит, бурсит) | Боль, отечность, ограничение движений, повышение местной температуры | Лечение основного заболевания, противовоспалительные препараты, физиотерапия |
| Врожденные аномалии развития суставов | Может быть бессимптомной или проявляться небольшим выпуклым образованием | Наблюдение, хирургическое удаление при наличии симптомов или косметического дефекта |
| Травмы колена (ушибы, растяжения) | Быстрое образование опухоли, боль, гемартроз (кровоизлияние в сустав) | Покой, холод, компрессионная повязка, в тяжелых случаях — хирургическое вмешательство |
Диагностика
При появлении новообразования в области подколенной ямки необходимо обратиться к специалисту. Для точной диагностики могут потребоваться следующие методы:
- Рентгенография. Это основной метод исследования при подозрении на гигрому. Снимок помогает оценить плотность тканей и исключить другие патологии, такие как остеома, липома или абсцесс.
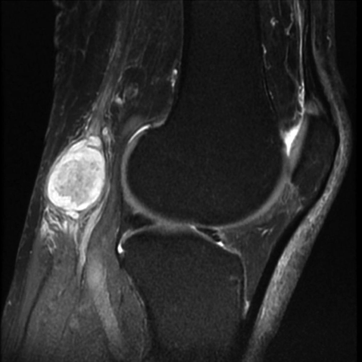
- Компьютерная или магнитно-резонансная томография. Эти методы наиболее информативны, так как позволяют получить послойные изображения тканей сустава и определить состав жидкости в кисте.
- Пункционная биопсия. Этот метод позволяет исключить наличие злокачественных опухолей.
- УЗИ. Этот метод имеет ограниченную информативность при гигроме колена, так как киста обычно видна невооруженным глазом.
- Микроскопия и посев содержимого кисты. Эти процедуры необходимы для выявления инфекционных агентов.
- Общие клинические анализы крови и мочи. При анализе крови может наблюдаться повышение скорости оседания эритроцитов (СОЭ).
- Артроскопия. Это инструментальный осмотр полости коленного сустава, который выполняется перед операцией. В области сустава делают несколько проколов, через которые вводятся артроскоп и инструменты. Врач осматривает суставные поверхности, мениски и связки. Артроскопия является инвазивной процедурой и проводится только по строгим показаниям.
- Опрос пациента.
- Физикальный осмотр.
- Внешний осмотр. Он осуществляется при сгибании и разгибании колена.
Гигрома колена — это доброкачественная опухоль, которая возникает в результате накопления жидкости в суставной сумке. Многие люди отмечают, что причиной появления гигромы могут быть травмы, хронические воспалительные процессы или чрезмерные физические нагрузки на сустав. Некоторые связывают ее возникновение с наследственностью. При этом, несмотря на безобидность, гигрома может вызывать дискомфорт и ограничение подвижности.
Лечение гигромы колена может варьироваться. В начальных стадиях часто рекомендуется консервативный подход: покой, компрессия и физиотерапия. Если гигрома вызывает значительные неудобства или не исчезает, врач может предложить пункцию для удаления жидкости или хирургическое вмешательство. Важно помнить, что перед началом лечения необходимо проконсультироваться со специалистом, чтобы исключить другие заболевания и выбрать оптимальный метод терапии.
https://youtube.com/watch?v=noOYCstej0g
Способы лечения
Важно понимать не только внешний вид гигромы под коленом, но и методы ее лечения. Существует два подхода к терапии: консервативный и радикальный.
Консервативное лечение
Терапевтические мероприятия включают:
- Инъекционное введение системных кортикостероидов для снижения воспаления в суставе и облегчения боли.
- Массаж области подколенной ямки, выполняемый квалифицированным специалистом.
- Физиотерапевтические процедуры, такие как электрофорез, ударно-волновая терапия и магнитотерапия.
- Применение грязевых и парафиновых аппликаций.
- Компрессы с обезболивающими и противовоспалительными мазями.
- Назначение антибиотиков при воспалении сжатых тканей. Антибактериальные препараты также могут быть рекомендованы в послеоперационный период для профилактики инфекций.
- Использование нестероидных противовоспалительных средств (НПВС) в форме таблеток или растворов, таких как Диклофенак Ретард, Нимесил и Мовалис.
- Прием антигистаминов.
- Принятие солевых и содовых ванн.
- Использование народных средств, например, капустных листьев с медом и измельченных плодов физалиса при наличии гигромы.
https://youtube.com/watch?v=wPhoMakDEsw
Пункция и хирургическое вмешательство
Ключевым элементом терапии является пункция сустава. Сначала место инъекции обрабатывается антисептическим раствором. Во время процедуры откачивается жидкость из кисты, после чего вводятся различные медикаменты. Также возможно применение склерозирующих препаратов.
Для удаления крупных и двухкамерных образований используется хирургический метод. Это наиболее эффективный способ лечения, так как риск рецидива после консервативной терапии составляет 80–90%. Показаниями для хирургического вмешательства являются:
- сильные болевые ощущения как при движении, так и в состоянии покоя;
- возникновение осложнений;
- быстрый рост опухоли;
- ограничение подвижности.
Удаление гигромы обычно выполняется под местной анестезией, общий наркоз не требуется. Доступ к образованию осуществляется с двух сторон. Производится разрез, после чего гигрому полностью удаляют. Полость коленного сустава осматривается и промывается, затем рана ушивается и дренируется. На конечность накладывают гипсовую лонгету или давящую повязку.
Эндоскопические методы удаления опухоли также широко применяются. Они эффективны и менее травматичны.
Читайте подробнее: Виды оперативного удаления гигромы и их особенности.
Возможные последствия
При отсутствии своевременного лечения могут возникнуть следующие осложнения:
- разрыв кисты;
- нагноение;
- отек голени;
- сдавление нервов и сосудов кистой;
- присоединение инфекции;
- тромбоз глубоких вен;
- ограничение подвижности;
- некроз тканей;
- остеомиелит (гнойное воспаление костной ткани);
- сдавление вен в области колена;
- застой венозной крови;
- варикозное расширение вен;
- флебит (воспаление венозной стенки);
- хроническая венозная недостаточность;
- тромбоэмболия легочной артерии (закупорка магистрального сосуда оторвавшимся тромбом).
Рецидив заболевания является осложнением консервативного лечения.
Гигрома надколенника, как правило, имеет доброкачественное течение и не представляет серьезной угрозы для здоровья. Однако при первых симптомах патологии важно обратиться к врачу.
Вопрос-ответ
Что такое гигрома колена и как она образуется?
Гигрома колена — это доброкачественное образование, представляющее собой кисту, заполненную жидкостью, которая возникает в области суставной капсулы или сухожилий. Она может образовываться в результате травмы, хронического воспаления или перегрузки сустава, что приводит к накоплению синовиальной жидкости.
Какие симптомы могут указывать на наличие гигромы колена?
Основными симптомами гигромы колена являются отек в области сустава, болезненность при движении, ограничение подвижности и ощущение давления. В некоторых случаях гигрома может быть безболезненной и обнаруживается случайно при медицинском обследовании.
Каковы методы лечения гигромы колена?
Лечение гигромы колена может включать консервативные методы, такие как покой, применение льда и противовоспалительных препаратов. В более серьезных случаях может потребоваться аспирация жидкости или хирургическое удаление гигромы. Важно проконсультироваться с врачом для выбора наиболее подходящего метода лечения.
Советы
СОВЕТ №1
Обратите внимание на симптомы. Если вы заметили опухоль или болезненность в области колена, не откладывайте визит к врачу. Раннее обращение поможет избежать осложнений и ускорить процесс лечения.
СОВЕТ №2
Избегайте чрезмерной нагрузки на колено. Если у вас есть предрасположенность к гигроме, старайтесь не перегружать сустав, особенно при занятиях спортом или физической работе. Регулярные перерывы и умеренные нагрузки помогут снизить риск возникновения гигромы.
СОВЕТ №3
Используйте компрессионные повязки. Они могут помочь уменьшить отек и поддержать сустав. Однако не забывайте, что компрессия должна быть умеренной, чтобы не нарушить кровообращение.
СОВЕТ №4
Рассмотрите возможность физиотерапии. Специальные упражнения и процедуры могут помочь укрепить мышцы вокруг колена и улучшить его подвижность, что может снизить риск повторного появления гигромы.




