Отчего появляется патология?
Спондилез шейного отдела позвоночника — это результат дегенеративных изменений в позвоночной структуре. С возрастом межпозвоночные диски теряют целостность и толщину, что уменьшает пространство между позвонками и снижает гибкость позвоночника. В ответ на эти изменения формируются костные наросты, называемые остеофитами. Они могут давить на нервные окончания спинного мозга, усиливая болевые ощущения.
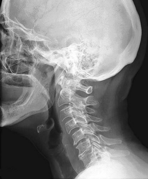
Спондилез чаще всего развивается в нижней части шейного отдела, где позвонки обладают наибольшей подвижностью. Местоположение пораженных позвонков можно увидеть на соответствующих изображениях.
К основным факторам, способствующим возникновению шейного спондилеза, относятся:
- частые переохлаждения;
- накопление солей в пораженной области;
- вывихи, ушибы и переломы;
- воспалительные процессы в позвонках;
- возрастные изменения.
Недостаток физической активности и неправильная осанка также могут способствовать развитию этой патологии. Специалисты выделяют несколько факторов, повышающих вероятность возникновения шейного спондилеза:
- наследственная предрасположенность;
- травмы шейного отдела;
- курение;
- профессии, связанные с активными движениями шеи.
Врачи отмечают, что спондилез шейного отдела позвоночника проявляется разнообразными симптомами, которые могут значительно варьироваться у разных пациентов. Основные признаки включают боль в шее, ограничение подвижности и дискомфорт, который может иррадиировать в плечи и руки. Специалисты подчеркивают, что с возрастом риск развития спондилеза увеличивается, и его симптомы могут усугубляться при наличии сопутствующих заболеваний, таких как остеоартрит. Важно отметить, что ранняя диагностика и комплексное лечение, включая физиотерапию и медикаментозную терапию, могут существенно улучшить качество жизни пациентов. Врачи рекомендуют регулярные физические упражнения и соблюдение правильной осанки как меры профилактики.
https://youtube.com/watch?v=0pPIY0HkpRA
Как распознать заболевание?
При спондилезе шейного отдела позвоночника симптомы и методы лечения зависят от особенностей заболевания и наличия сопутствующих патологий. Основным признаком является болевой синдром, который обычно усиливается после физической активности и может уменьшаться или исчезать после длительного отдыха.
С прогрессированием болезни боль становится постоянной и не проходит даже после ночного сна или отдыха.
Пациентов также могут беспокоить головокружения и головные боли. Эти симптомы возникают из-за сжатия позвоночных артерий костными наростами, что нарушает кровоснабжение головного мозга и вызывает головную боль, чаще всего в затылочной области.
Спондилез может сопровождаться нарушениями зрения и слуха из-за компрессии нервных корешков и сосудов. У пациента могут возникать трудности с концентрацией взгляда, появляться мушки перед глазами, а шум в ушах мешает нормальному восприятию звуков.
Специалисты выделяют и другие симптомы спондилеза шейного отдела:
- повышение артериального давления;
- скованность в области шеи;
- онемение рук и ног;
- боль между лопатками;
- хруст в шее;
- ограничение движений головой;
- приступы тошноты.
Несмотря на выраженные симптомы, заболевание требует тщательной диагностики. Важно помнить, что симптомы и лечение должны быть взаимосвязаны.
Для назначения адекватного лечения необходимо выяснить причины болей в шейной области. Для этого проводится комплексное обследование, которое включает:
- Осмотр пациента. Это помогает определить степень тяжести заболевания и локализацию патологического процесса.
- Рентгенография. На снимках можно увидеть состояние шейных позвонков и выявить изменения, такие как костные наросты.
- Томография. Используются как компьютерная, так и магнитно-резонансная томография, которые позволяют детально изучить послойное строение позвоночника и его составляющие.
- Миелография. Исследуется спинномозговой канал и определяется степень сжатия нервных корешков.
Спондилез шейного отдела — это заболевание, которое вызывает множество обсуждений среди пациентов и врачей. Люди часто отмечают, что симптомы могут варьироваться от легкого дискомфорта до сильной боли в шее и плечах. Многие жалуются на ограничение подвижности, что затрудняет выполнение повседневных задач. Некоторые пациенты упоминают о головных болях и онемении в руках, что также связано с поражением нервных корешков. Важно отметить, что спондилез может развиваться незаметно, и многие не обращают внимания на первые признаки. Врачи рекомендуют регулярные обследования и физические упражнения для поддержания гибкости и силы мышц. Люди делятся опытом, как изменение образа жизни и терапия помогли им справиться с симптомами, подчеркивая важность ранней диагностики и комплексного подхода к лечению.
| Симптом | Описание | Возможные причины |
|---|---|---|
| Боль в шее | Может быть острой, тупой, ноющей, локализоваться в разных участках шеи, усиливаться при движении или длительном статическом положении. | Дегенеративные изменения межпозвонковых дисков, остеофиты, мышечное напряжение, воспаление. |
| Ограничение подвижности шеи | Снижение амплитуды движений в шее, затруднение поворотов, наклонов. | Остеофиты, спайки, мышечный спазм, воспаление. |
| Головная боль | Часто локализуется в затылочной области, может иррадиировать в виски, лоб. | Компрессия нервных корешков, мышечное напряжение, нарушение кровообращения. |
| Головокружение | Чувство потери равновесия, кружения. | Нарушение кровоснабжения головного мозга, компрессия позвоночной артерии. |
| Шум в ушах (тиннитус) | Звон, гул, свист в ушах. | Компрессия нервных корешков, нарушение кровообращения. |
| Онемение и покалывание в руках | Парестезии в пальцах рук, кистях. | Компрессия нервных корешков, нарушение кровоснабжения. |
| Слабость в руках | Снижение мышечной силы в руках. | Компрессия нервных корешков. |
| Боль в плечах и руках | Иррадиация боли из шеи в плечи и руки. | Компрессия нервных корешков, мышечное напряжение. |
Способы лечения
Для эффективного лечения шейного спондилеза важно обратиться к специалистам, таким как невролог или вертебролог. Их работа должна сосредоточиться на следующих задачах:
- устранение болевого синдрома;
- восстановление нормального кровообращения в пораженной области;
- замедление дегенеративных и дистрофических изменений в межпозвоночных дисках шеи;
- поддержание подвижности шейного отдела позвоночника.
Лечение шейного спондилеза может осуществляться как консервативными, так и хирургическими методами. В рамках консервативной терапии используются медикаментозные и физиотерапевтические подходы. Лечение должно быть адаптировано в зависимости от проявляющихся симптомов.
Для лечения шейного спондилеза могут быть назначены следующие группы лекарств:
- Нестероидные противовоспалительные препараты. Эти средства помогают устранить боль и уменьшают воспалительные процессы. Они могут применяться в форме таблеток или инъекций. К ним относятся ибупрофен, диклофенак, анальгин.
- Миорелаксанты, которые снижают болевой синдром, расслабляя мускулатуру шейного отдела. Примеры таких препаратов: циклобензаприн, метокарбамол, мидокалм.
- Новокаиновые блокады используются при сильной боли, которую не удается купировать обычными обезболивающими средствами.
- Хондропротекторы назначаются для восстановления поврежденной хрящевой ткани.
Лечение спондилеза у беременных требует особого внимания, так как многие из перечисленных препаратов могут быть противопоказаны. Физиотерапия должна проводиться под наблюдением врача и может включать лечебную физкультуру, массаж, электрофорез и мануальную терапию. Массаж не должен быть слишком интенсивным, а вытягивание позвоночника строго запрещено. Лечебная гимнастика поможет укрепить мышечный корсет спины, и комплекс упражнений должен подбираться специалистом для предотвращения осложнений.
Пациентам с шейным спондилезом рекомендуется носить мягкий шейный воротник. Это поможет расслабить мышцы шейно-воротниковой зоны и ограничить ее подвижность, что снизит давление на нервные корешки и уменьшит болевой синдром. Однако длительное ношение воротника не рекомендуется, так как это может привести к ослаблению мышц шеи.
Если консервативные методы лечения не приносят желаемых результатов и симптомы заболевания продолжают сохраняться, возникает необходимость рассмотреть возможность хирургического вмешательства. В таких случаях может быть проведена цервикальная дискэктомия или ламинэктомия, в ходе которых удаляются фрагменты, сдавливающие нервный корешок.
https://youtube.com/watch?v=y4UYKak5CuM
Вопрос-ответ
Как понять, что у тебя спондилез?
Спондилез можно заподозрить по таким симптомам, как хроническая боль в спине, ограниченная подвижность позвоночника, скованность, особенно по утрам, а также возможные неврологические проявления, такие как онемение или слабость в конечностях. Для точной диагностики рекомендуется обратиться к врачу и пройти обследование, включая рентген или МРТ.
https://youtube.com/watch?v=HoHUZFlZnRk
Что следует избегать при шейном спондилезе?
Следует избегать травматических повреждений шеи и спины. Переохлаждение недопустимо, оно приводит к воспалительным процессам в мышцах и нарушает их тонус. При наличии болезней опорно-двигательного аппарата и позвоночника требуется консультация врача для назначения лечения. Нужно следить за осанкой.
Советы
СОВЕТ №1
Регулярно выполняйте упражнения для шейного отдела. Укрепление мышц шеи и улучшение гибкости помогут снизить нагрузку на позвоночник и уменьшить риск обострения спондилеза.
СОВЕТ №2
Следите за осанкой. Правильная осанка при сидении и стоянии помогает предотвратить избыточное напряжение в шейном отделе и может замедлить прогрессирование заболевания.
СОВЕТ №3
Обратите внимание на свой рабочий стол. Убедитесь, что монитор находится на уровне глаз, а стул поддерживает правильное положение спины. Это поможет избежать излишнего напряжения в шее и спине.
СОВЕТ №4
Не игнорируйте симптомы. При появлении болей, ограничении подвижности или других признаков спондилеза обязательно проконсультируйтесь с врачом для получения своевременной диагностики и лечения.


