Показания для рентгенографии
В области травматологии и ортопедии рентгенографические исследования проводятся в следующих случаях:
- Оценка состояния скелета пациента при поступлении после травм, таких как аварии или падения.
- Выявление переломов (включая переломы со смещением) и вывихов.
- Подозрение на воспалительные процессы в суставах и определение стадии заболевания.
- Подготовка к хирургическим операциям.
- Определение наличия новообразований (злокачественных и доброкачественных) в костной ткани.
Например, при подозрении на перелом руки травматолог направит пациента на рентген. Эта процедура поможет определить тип и характер перелома, а также наличие смещения или отделения костных осколков. На основе полученных результатов будет назначено соответствующее лечение.
Врачи отмечают, что рентгеновское обследование кисти руки является важным инструментом для диагностики различных заболеваний и травм. С его помощью можно выявить переломы, вывихи, а также изменения, связанные с артритом или остеопорозом. Специалисты подчеркивают, что рентген позволяет получить четкое изображение костной структуры, что особенно важно при оценке состояния суставов и мягких тканей. Однако врачи также предупреждают, что рентген не всегда дает полную картину, и в некоторых случаях может потребоваться дополнительное обследование, например, МРТ или УЗИ. В целом, рентген кисти остается одним из самых доступных и эффективных методов диагностики, позволяющим врачам быстро и точно ставить диагнозы и назначать соответствующее лечение.
https://youtube.com/watch?v=JQ9I14HYIqk
Как проходит процедура
Скелет верхней конечности
Скелет верхней конечности состоит из 32 костей, включая лопатку, ключицу, крупные кости плеча и предплечья, а также мелкие кости запястья, пясти и фаланги пальцев. В зависимости от поврежденной кости рентгенографическое исследование выполняется в различных проекциях. Поэтому пациенту важно следовать указаниям врача-рентгенолога во время процедуры.
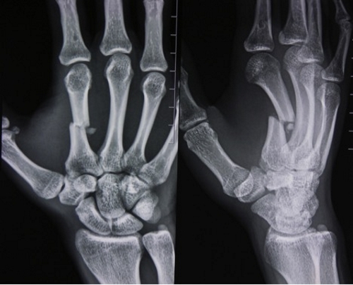
Если необходимо сделать снимок запястья и кисти, пациенту предлагают расположить руку на кассете ладонью вниз и максимально распрямить пальцы. Рука должна быть зафиксирована так, чтобы кисть находилась на одной линии с локтем. Для получения более детальной информации могут быть выполнены снимки в боковых проекциях.
Для диагностики переломов фаланг пальцев рентгенография проводится аналогично исследованию запястья, обязательно в двух проекциях. Это необходимо для определения наличия смещения кости. Точно так же поступают и при вывихе большого пальца, когда рентген позволяет выяснить, не осложнен ли вывих переломом.
При необходимости получения снимка локтевого сустава пациента сажают за специальный стол, чтобы он мог положить прямую руку, максимально разогнув ее в локте. Плечо и предплечье должны находиться на одном уровне. Для боковой проекции руку сгибают и кладут ладонью вниз, что позволяет получить полную информацию о состоянии сустава, наличии патологий и их степени.
Если произошел перелом предплечья, исследование должно быть двусторонним, чтобы оценить степень смещения и необходимость хирургического вмешательства для фиксации костей. После операции рентгенография повторяется для контроля правильности установки ортопедических конструкций.
По статистике, почти 25% всех переломов приходится на кости предплечья. Эти травмы возникают в результате падений или прямых ударов и часто сопровождаются смещениями и осколками. Поэтому важно сразу же провести рентгенографическое исследование для назначения адекватного лечения.
Для выявления травм плечевого пояса, лопатки или ключицы целесообразно проводить исследование также в косой проекции, изменяя угол наклона рентгеновской трубки относительно тела пациента.
Если необходимо диагностировать поражения суставов, рентгенографию выполняют так, чтобы определить стадию заболевания. Этот метод позволяет наиболее точно установить степень развития таких заболеваний, как артрит и артроз.
При подготовке к процедуре следует учесть несколько важных моментов:
- Снять украшения.
- По возможности удалить пластыри, бинты и асептические повязки.
- Если на конечность наложен гипс, врач должен решить, нужно ли его удалить на время исследования.
Перед рентгенографией пациенту надевают специальный фартук с экранирующими пластинами, оставляя открытой только ту часть сломанной руки, которая будет сниматься.
Конечность облучается небольшой дозой рентгеновских лучей, которые легко проходят через мягкие ткани, но задерживаются костями. Поэтому на контрастном снимке четко видны переломы, трещины и патологические изменения суставов. Длительность облучения составляет не более 30 секунд, а вся процедура может занять до 15 минут.
| Вид рентгеновского снимка | Проецируемые структуры | Возможные патологии, выявляемые на снимке |
|---|---|---|
| Прямая проекция кисти | Кости запястья, пястные кости, фаланги пальцев, суставы | Переломы, вывихи, артриты, остеоартроз, кисты, опухоли костей |
| Боковая проекция кисти | Кости запястья, пястные кости, фаланги пальцев, суставы в боковой проекции | Переломы, вывихи, оценка суставного пространства, остеофиты |
| Косая проекция кисти (по показаниям) | Более детальная визуализация отдельных костей запястья | Выявление скрытых переломов, оценка мелких костных фрагментов |
Преимущества и недостатки метода
Среди основных достоинств рентгенографии можно выделить следующие моменты:
- Безопасность при соблюдении рекомендуемой частоты обследований. В России допустимая доза облучения составляет 150 мЗв в год. При проведении рентгеновского исследования рук уровень облучения равен 0,001 мЗв, что не оказывает негативного воздействия на здоровье.
- Высокое качество изображения, что позволяет точно установить диагноз.
- Быстрота получения результатов: снимок будет готов всего через несколько минут после завершения процедуры.
Главным недостатком рентгенографии как диагностического метода является риск повреждения клеток и тканей под воздействием радиации. Это накладывает ограничения на её использование. Рентгенографию не рекомендуется проходить:
- беременным женщинам и кормящим матерям из-за возможного негативного влияния на плод и риска гормональных нарушений;
- пациентам с шизофренией;
- тяжело больным людям, для которых лишние движения могут быть опасны.
Рентгеновские исследования с осторожностью назначаются детям и подросткам, учитывая их неокрепшую костную систему.
Обследование кисти руки с помощью рентгена вызывает у людей разные мнения. Многие пациенты отмечают, что этот метод диагностики позволяет быстро и точно выявить травмы, переломы или другие патологии. Рентгенография считается доступной и неинвазивной процедурой, что также радует пациентов. Однако некоторые выражают опасения по поводу радиационного облучения, даже если уровень дозы минимален. Важно отметить, что врачи подчеркивают, что риск от рентгеновского обследования значительно ниже, чем потенциальные последствия невыявленных заболеваний. Кроме того, рентген помогает в мониторинге состояния после травм и операций, что делает его незаменимым инструментом в ортопедии и травматологии. В целом, большинство людей воспринимает рентген как необходимую и полезную процедуру для диагностики заболеваний кисти.
https://youtube.com/watch?v=aY2s22ASMvE
Заключение
Рентгенография — один из самых доступных и безопасных методов диагностики, подходящий для большинства пациентов. При травмах и заболеваниях костно-суставной системы верхних конечностей рентген позволяет быстро и безболезненно оценить степень их серьезности.
Вопрос-ответ
https://youtube.com/watch?v=-dqHWclMiaY
Что может показать рентген кистей рук?
Показания для рентгена кисти руки: диагностика артрита и других воспалительных заболеваний суставов, выявление опухолей или кист, оценка состояния костной ткани после травм, мониторинг заживления переломов.
Как можно проверить состояние кисти рук?
Кисти рук часто подвергаются травмам и различным заболеваниям. Для определения диагноза необходимо провести инструментальное обследование. Самым доступным и информативным методом является рентгенография. С помощью данного вида исследования можно выявить патологические процессы даже на ранней стадии.
Что лучше УЗИ или рентген кисти руки?
Рентген руки – это хороший способ проверить целостность костей рук, однако что-либо еще на рентгенограмме врачу увидеть будет сложно. УЗИ кистей рук очень хорошо покажет состояние мягких тканей и позволит оценить суставы в динамике, чего нельзя сделать на МРТ.
Что может показать рентген запястья?
Рентген запястья может показать наличие переломов костей, вывихов, артритов, опухолей, а также другие патологии, такие как остеопороз или изменения в структуре костей. Он помогает врачам оценить состояние суставов и мягких тканей, а также выявить возможные травмы или дегенеративные изменения.
Советы
СОВЕТ №1
Перед рентгеном кисти руки убедитесь, что у вас нет металлических предметов, таких как украшения или часы, которые могут повлиять на качество снимка. Лучше всего снять их заранее, чтобы получить максимально четкое изображение.
СОВЕТ №2
Если у вас есть возможность, обсудите с врачом, какие именно области кисти будут обследоваться. Это поможет вам лучше подготовиться к процедуре и понять, на что именно будет направлено внимание во время анализа снимков.
СОВЕТ №3
Не забывайте сообщить врачу о любых аллергиях или заболеваниях, которые могут повлиять на процедуру. Это особенно важно, если вам потребуется контрастное вещество для более детального обследования.
СОВЕТ №4
После рентгена не стесняйтесь задавать вопросы врачу о результатах. Понимание полученных данных поможет вам лучше ориентироваться в дальнейшем лечении или реабилитации.


