Определение в домашних условиях
На начальном этапе плоскостопие может оставаться незамеченным. Внешно оно почти не проявляется и сопровождается лишь легкими симптомами. Однако первым сигналом, на который стоит обратить внимание, являются изношенные с боков каблуки. Также есть несколько более значительных признаков, которые помогут выявить изменения в стопе.
Врачи подчеркивают важность ранней диагностики плоскостопия как у детей, так и у взрослых. Существует несколько методов, позволяющих определить это состояние. Один из наиболее распространенных — визуальный осмотр, при котором специалист оценивает форму стопы и ее положение. Также используется метод отпечатка, при котором пациент становится на специальную поверхность, оставляя след, который помогает выявить особенности свода стопы. В некоторых случаях врачи рекомендуют рентгенографию для более детального изучения структуры костей. Кроме того, функциональные тесты, такие как оценка походки и равновесия, играют важную роль в диагностике. Комплексный подход к определению плоскостопия позволяет врачам разработать эффективные методы лечения и профилактики, что особенно важно для детей, чьи стопы находятся в стадии формирования.
https://youtube.com/watch?v=cwx9WhrKO7c
Характерные симптомы
Обращение к ортопеду может быть вызвано следующими факторами:
- быстрая усталость при ходьбе;
- дискомфорт в ногах при длительном стоянии;
- тянущие боли в спине, а также в мышцах бедер и голени;
- ночные судороги;
- отеки в области ног;
- увеличение размеров стопы;
- трудности с удержанием равновесия при приседаниях.
При плоскостопии смещается центр тяжести, что приводит к неэффективной работе мышц стоп. Это создает избыточную нагрузку на позвоночник, бедра и голени, которые не могут с ней справиться, вызывая болевые ощущения. Если вы предпочитаете удобную и свободную обувь, но на ногах регулярно появляются натоптыши, мозоли или шишки на больших пальцах, это также может указывать на плоскостопие. На последней стадии заболевания обувь начинает изнашиваться с внутренней стороны.
| Метод | Описание метода | Возрастная группа |
|---|---|---|
| Визуальный осмотр | Оценка формы стопы, наличия вальгусной деформации, высоты свода стопы. | Дети и взрослые |
| Планография (подометрия) | Получение отпечатка стопы на специальной поверхности для анализа формы и площади опоры. | Дети и взрослые |
| Подоскопия | Исследование стопы с помощью специального прибора (подоскопа), позволяющего оценить состояние мягких тканей и костей. | Дети и взрослые |
| Рентгенография | Рентгеновское исследование стопы для оценки степени плоскостопия и выявления сопутствующих патологий. | Дети и взрослые (с осторожностью у детей) |
| Компьютерная подометрия | Более точный метод планографии с использованием компьютерной обработки данных. | Дети и взрослые |
| Угломер | Измерение углов вальгусной деформации пяточной кости и переднего отдела стопы. | Дети и взрослые |
Плантография
Если у вас нет возможности или желания посетить врача, вы можете самостоятельно проверить наличие плоскостопия с помощью плантографии. Этот метод основан на анализе отпечатков стопы и позволяет выявить заболевание и его тип.
Однако стоит отметить, что данный способ не подходит для детей. У малышей до 5–6 лет невозможно точно диагностировать плоскостопие в домашних условиях из-за незрелости стопы.
Процесс проведения плантографии:
- Подготовьте чистый лист плотной белой бумаги.
- Вымойте ноги и тщательно высушите их.
- Нанесите на стопы жирный крем, акварельные краски или растительное масло.
- Осторожно встаньте на лист, не смещая его, держитесь прямо и не опирайтесь на что-либо.
В результате у вас останутся отпечатки ног. Чтобы проанализировать полученный рисунок, проведите прямую линию, соединяющую самые выпуклые точки отпечатка на внутренней стороне (в области основания пальцев и на уровне пятки). Затем опустите перпендикуляр к этой линии, который соединит её с самым узким местом стопы.
Плоскостопие отсутствует, если отпечаток узкой части стопы занимает не более одной трети этой линии. Если отпечаток достигает половины линии, это может указывать на наличие плоскостопия. В таком случае рекомендуется обратиться к врачу-ортопеду для подтверждения диагноза.
Чтобы определить тип плоскостопия, обратите внимание на угол, образованный переходом отпечатка подушки основания пальцев в отпечаток внешнего свода стопы. При отсутствии деформации стопы угол должен быть острым. Если угол прямой или тупой, это может свидетельствовать о различных формах заболевания. При продольном плоскостопии стопа становится длиннее, а при поперечном — шире. Последствия таких патологий могут включать вросшие ногти, артроз, артрит, сколиоз и другие осложнения.
Методы определения плоскостопия у детей и взрослых вызывают множество обсуждений среди специалистов и родителей. Многие отмечают, что ранняя диагностика играет ключевую роль в профилактике осложнений. Врач-педиатр Анна Иванова подчеркивает, что визуальный осмотр и простые тесты, такие как проверка следа на бумаге, могут дать первичное представление о состоянии стопы. Однако, по мнению ортопедов, для более точной диагностики необходимы современные методы, такие как подоскопия или рентгенография. Родители часто делятся опытом, что регулярные осмотры у специалистов помогают избежать серьезных проблем в будущем. Важно помнить, что каждый случай индивидуален, и подход к диагностике должен быть комплексным.
https://youtube.com/watch?v=v0g9BFD9skE
Подография
Этот метод включает несколько шагов. Сначала измерьте длину стопы в миллиметрах. Затем определите высоту свода: разместите линейку вплотную к внутренней стороне стопы и измерьте расстояние от пола до самой высокой точки свода. После получения данных подставьте их в формулу: высота свода умноженная на 100, деленная на длину стопы.
Если у человека нет заболеваний, полученный результат должен быть в диапазоне от 29 до 31. Значение ниже 27 может указывать на проблему. Этот метод не позволяет установить точный диагноз, поэтому рекомендуется использовать подографию вместе с другими методами диагностики плоскостопия.
Другие способы определения
Обратите внимание на форму ваших ног. Если ваши ступни узкие, а большой палец длиннее остальных, вероятность деформации стопы составляет 50%. При широкой стопе, где два первых пальца одинаковой длины, риск плоскостопия возрастает. Таким образом, вы можете оценить вероятность возникновения проблемы и предпринять меры для её предотвращения.
https://youtube.com/watch?v=TBOITyK92YI
Диагностика плоскостопия в клинике
Существуют специализированные диагностические центры, где врач может установить наличие плоскостопия после выполнения определенных процедур. В клиниках часто используют метод диагностики по отпечатку стопы, который осуществляется с помощью компьютерных технологий. Стопы сканируются, и полученное изображение выводится на экран. На основании этого изображения специалист ставит диагноз.
Электромиография — еще один метод, который не предназначен для самостоятельного использования. С его помощью врач оценивает состояние мышечной системы ног, что связано с плоскостопием. При этом заболевании нагрузка распределяется неправильно, и ступни почти не участвуют в движении, в то время как голень испытывает чрезмерное напряжение.
При обнаружении плоскостопия у взрослых лечение без хирургического вмешательства практически невозможно. Поэтому важно выявить эту проблему в детском возрасте, чтобы избежать возможных осложнений в будущем.
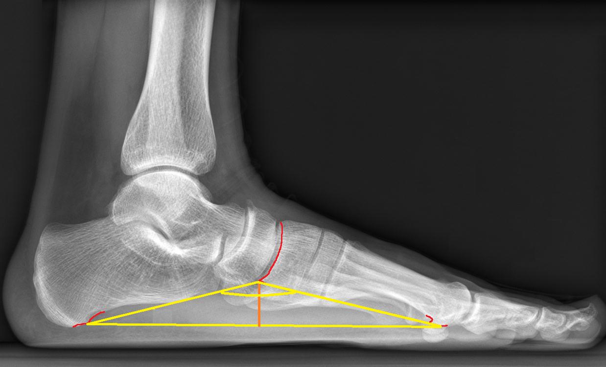
Рентген
Эта процедура при деформации стопы назначается врачом. Специалисты рекомендуют её детям, у которых невозможно диагностировать плоскостопие другими методами. Она также обязательна для медицинского освидетельствования юношей, подлежащих призыву. Процедура безопасна и не вызывает дискомфорта, так как облучение минимально. Результаты рентгеновского исследования интерпретирует врач.
Существует два типа рентгеновских снимков:
-
С прямой проекцией. Пациент ставит одну ногу на кассету с рентгеновской пленкой, а вторую поднимает. Можно держаться за стул или опираться на стену для получения качественного снимка с первого раза. Этот метод позволяет выявить поперечное плоскостопие. Существует три стадии данного заболевания: компенсация, субкомпенсация и декомпенсация.
-
С боковой проекцией. При таком снимке фиксируется весь голеностопный сустав, одна нога приподнимается. Этот рентген позволяет увидеть продольное плоскостопие и определить степень заболевания.
Указанные методы помогут установить наличие заболевания, его тип и степень плоскостопия. Однако для предотвращения болезни важно заниматься профилактикой: ходить босиком по неровным поверхностям, выполнять специальные упражнения и делать массаж стоп.
Вопрос-ответ
Каковы методы определения плоскостопия?
Одним из основных и самых точных методов при диагностике плоскостопия является рентгенография. Она не только обнаруживает патологию, но и определяет ее стадию и степень деформации. Снимки делают в положении стоя в двух проекциях (прямой и боковой). Они показывают расположение и состояние костей.
Как определить плоскостопие у взрослого?
Чтобы определить плоскостопие у взрослого, можно провести простой тест: намочите ноги и встаньте на лист бумаги, оставив отпечаток. Если отпечаток показывает почти всю подошву без заметного углубления в области свода, это может указывать на плоскостопие. Также стоит обратить внимание на симптомы, такие как боль в стопах, усталость при ходьбе и изменения в походке. Для точной диагностики рекомендуется обратиться к врачу-ортопеду.
Советы
СОВЕТ №1
Регулярно проверяйте состояние стоп у детей, особенно в возрасте от 3 до 7 лет, когда формируется свод. Обратите внимание на изменения в походке и усталость ног после физической активности.
СОВЕТ №2
Используйте метод отпечатка стопы для первичной оценки. Намочите стопу и встаньте на лист бумаги, чтобы увидеть, насколько хорошо формируется свод. Если отпечаток показывает почти всю поверхность стопы, это может быть признаком плоскостопия.
СОВЕТ №3
Обратите внимание на обувь. Неправильная или изношенная обувь может усугубить плоскостопие. Выбирайте модели с поддержкой свода и амортизацией, особенно для детей, которые активно растут.
СОВЕТ №4
Консультируйтесь с врачом-ортопедом при первых признаках плоскостопия. Раннее выявление и лечение могут предотвратить развитие более серьезных проблем с опорно-двигательным аппаратом в будущем.




