Причины остеохондроза
Причины появления остеохондроза плечевого сустава ограничены. К основным факторам относятся неправильная осанка и недостаток физической активности. При сдавлении четвертого и пятого межпозвоночных дисков развивается плечевой синдром, симптомы которого связаны с дистрофическими изменениями в хрящевой ткани. Парадоксально, но чрезмерная физическая нагрузка также может способствовать этому заболеванию: остеохондроз плечевого сустава часто встречается у спортсменов.
К факторам, способствующим возникновению болезни, относятся старые травмы — вывихи, переломы и растяжения плеча и спины, а также инфекционные заболевания, такие как туберкулез, хламидиоз, стрептококковая инфекция и кандидоз. Боль в области шеи и плеча может возникать из-за ущемления нерва.
Врачи отмечают, что лечение остеоартроза плечевого сустава зависит от степени заболевания и индивидуальных особенностей пациента. На первой стадии, когда симптомы еще не выражены, рекомендуется консервативный подход: физическая терапия, упражнения для укрепления мышц и применение противовоспалительных препаратов. На второй стадии, когда боли становятся более ощутимыми, специалисты могут назначить инъекции кортикостероидов для уменьшения воспаления и боли, а также продолжить курс физиотерапии. На третьей стадии, когда наблюдается значительное разрушение хряща и ограничение подвижности, может потребоваться хирургическое вмешательство, включая артроскопию или эндопротезирование. Врачи подчеркивают важность ранней диагностики и комплексного подхода к лечению, чтобы замедлить прогрессирование заболевания и улучшить качество жизни пациентов.
https://youtube.com/watch?v=1Hz8ySDGMq4
Симптомы заболевания
Симптоматика остеоартроза плечевого сустава проявляется следующим образом:
- В области плеча и шеи возникают болезненные ощущения, которые могут сохраняться даже в покое. Боль усиливается при попытке отвести плечо в сторону.
- Пациенты быстро утомляются даже от незначительных физических и умственных нагрузок.
- Движения в плечевом суставе становятся ограниченными из-за сокращения мышц предплечья.
- Болевые ощущения могут иррадиировать по всей руке.
- В суставе плеча может наблюдаться характерный хруст.
- Интенсивность болей усиливается при физических нагрузках, а в тяжелых случаях — даже при чихании или кашле.
| Стадия Остеоартроза плечевого сустава | Методы лечения | Прогноз и возможные осложнения |
|---|---|---|
| 1 степень (начальная) | Консервативное лечение: физиотерапия (УВЧ, магнитотерапия, лазеротерапия), лечебная физкультура (ЛФК), массаж, нестероидные противовоспалительные препараты (НПВП) при обострении, хондропротекторы. | Благоприятный. При адекватном лечении возможно замедление прогрессирования заболевания и сохранение функции сустава на длительный срок. Возможны периодические обострения. |
| 2 степень (умеренная) | Консервативное лечение (как в 1 степени), более интенсивный курс ЛФК, инъекции гиалуроновой кислоты в сустав, блокады с кортикостероидами (при сильных болях). Рассматривается возможность артроскопии (в зависимости от симптомов). | Прогноз относительно благоприятный, но прогрессирование заболевания возможно. Функция сустава может быть частично ограничена. Возможны более частые и выраженные обострения. Риск развития осложнений (например, синдрома замороженного плеча) выше, чем на 1 стадии. |
| 3 степень (тяжелая) | Консервативное лечение (симптоматическое), эндопротезирование плечевого сустава (в большинстве случаев является наиболее эффективным методом лечения). В отдельных случаях – артродез (операция по фиксации сустава). | Прогноз зависит от эффективности лечения и наличия сопутствующих заболеваний. Функция сустава может быть значительно ограничена. Возможны сильные боли, ограничение подвижности, атрофия мышц. Риск развития осложнений после операции (инфекции, вывих протеза) присутствует. |
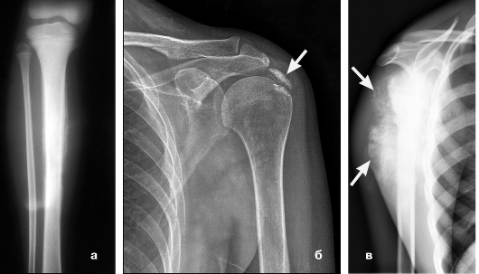
Сущность ДОА
Деформирующий остеоартроз плечевого сустава
Деформирующий остеоартроз плечевого сустава — это разновидность остеохондроза, при которой в области плечевого сустава происходят дегенеративно-дистрофические изменения. Это приводит к значительным нарушениям в функционировании сустава. Заболевание имеет хронический характер и вызывает разрушение как костной, так и хрящевой ткани. Обычно изменения в суставе являются необратимыми.
Наиболее часто деформирующий остеоартроз поражает правый плечевой сустав, так как правая рука используется чаще и подвергается большему напряжению. У левшей, соответственно, чаще возникают проблемы с левым плечом. Согласно статистике, после 45 лет от деформирующего остеоартроза плечевого сустава страдает 16% населения планеты.
При диагностике деформирующего остеоартроза плечевого сустава важно начинать лечение как можно раньше. К сожалению, многие пациенты обращаются за медицинской помощью на поздних стадиях, когда заболевание активно прогрессирует и консервативные методы лечения становятся неэффективными.
Среди причин развития заболевания можно выделить несколько факторов: травмы, врожденные аномалии сустава, малоподвижный образ жизни, чрезмерные нагрузки на сустав, а также дисплазии — как врожденные, так и приобретенные. Кроме того, к причинам могут относиться инфекционные заболевания, патологии эндокринной системы, метаболические расстройства в костях, ревматические болезни и другие недуги.
Артроз акромиально-ключичного сочленения чаще всего встречается у пожилых людей. Это естественный физиологический процесс, связанный с износом сустава. Симптоматика и подходы к лечению остеоартроза плечевого сустава аналогичны тем, что применяются при остеохондрозе. Заболевание делится на три степени, при каждой из которых симптомы могут несколько различаться.
Лечение остеоартроза плечевого сустава вызывает множество обсуждений среди пациентов и специалистов. Многие отмечают, что на ранних стадиях заболевания, таких как первая и вторая степень, консервативные методы, включая физическую терапию и медикаментозное лечение, могут значительно облегчить симптомы и улучшить качество жизни. Пациенты делятся положительным опытом применения противовоспалительных препаратов и хондропротекторов, которые помогают замедлить прогрессирование болезни.
Однако на третьей стадии, когда суставные изменения становятся более выраженными, многие сталкиваются с необходимостью хирургического вмешательства. В таких случаях отзывы варьируются: некоторые отмечают значительное улучшение после операции, в то время как другие выражают опасения по поводу реабилитационного периода. Важно, чтобы каждый пациент находил подходящий для себя метод лечения, основываясь на рекомендациях врачей и личных предпочтениях.
https://youtube.com/watch?v=cYNdfgqSzC0
Степени остеоартроза
Заболевание можно условно классифицировать на четыре стадии:
- На начальной стадии наблюдается ограничение подвижности в суставе, а область плеча периодически отекает.
- Остеоартрит плечевого сустава первой степени проявляется болями в плече при физической активности, в состоянии покоя боль отсутствует. Ограничение подвижности выражается в трудностях при отведении плеча назад.
- На второй стадии боль становится постоянной и усиливается. При движении иногда слышен хруст в суставе. С прогрессированием заболевания наблюдается атрофия мышц плечевого пояса. Сустав деформируется, изменяется его форма, а подвижность становится еще более ограниченной.
- На третьей стадии боль становится интенсивной и постоянной. Подвижность сустава практически полностью утрачивается, и пациенту сложно выполнять повседневные задачи. Деформация сустава становится заметной невооруженным глазом.
Диагностика заболевания
Чтобы установить точный диагноз, необходимо пройти ряд исследований:
- рентгенографию;
- магнитно-резонансную томографию (МРТ);
- компьютерную томографию (КТ);
- анализ крови для исключения или подтверждения инфекции.
После получения результатов анализов врач, учитывая общее состояние пациента, разработает план лечения, который следует начать как можно скорее.
https://youtube.com/watch?v=80M_aTuzIl4
Лечение ДОА плечевого сустава
Лечение остеоартроза плечевого сустава
Лечение остеоартроза плечевого сустава — задача, с которой может справиться врач-артролог. Однако не во всех медицинских учреждениях есть такие узкие специалисты. В этом случае можно обратиться к ревматологу, ортопеду или хирургу.
Существует два основных подхода к лечению остеоартроза: консервативный и хирургический. Выбор метода зависит от стадии заболевания и общего состояния пациента. Консервативное лечение включает медикаменты, физиотерапию, массаж и лечебную физкультуру.
Медикаментозная терапия включает следующие группы препаратов:
- Хондропротекторы — улучшают структуру хряща и могут частично восстановить поврежденные участки. К ним относятся Алфлутоп, Глюкозамин, Структум и Артра.
- Нестероидные противовоспалительные средства — снимают боль и уменьшают воспаление. К ним относятся Наклофен, Диклофенак, Нимесулид, Индометацин, Ацеклофенак и Напроксен.
- Миорелаксанты центрального действия — устраняют спазмы мышц плеча и восстанавливают подвижность. Примеры: Сирдалуд и Мидокалм.
- Препараты, улучшающие кровообращение в тканях пораженного сустава, такие как Но-шпа, Трентал, Актовегин и Никошпан.
Физиотерапевтические процедуры, такие как массаж, лазерная и криотерапия, также играют важную роль в консервативном лечении.
Остеоартроз плечевого сустава 1 степени обычно лечится медикаментозно. При 2 степени заболевания возможно как медикаментозное, так и хирургическое лечение. Если консервативная терапия оказывается неэффективной, а также при 3 степени остеоартроза может потребоваться операция, в ходе которой выполняется частичная или полная замена плечевого сустава.
На первой стадии остеоартроза медикаментозное лечение может быть весьма эффективным. Оно позволяет остановить прогрессирование болезни, улучшить подвижность сустава и устранить болевой синдром. Однако на более поздних стадиях заболевание может оказаться более сложным для лечения, поэтому врачи настоятельно рекомендуют обращаться за медицинской помощью при первых признаках недуга.
Несмотря на схожесть симптомов и методов лечения остеоартроза с остеохондрозом, остеоартроз является серьезным заболеванием, которое невозможно обратить вспять. Оно может привести к значительным нарушениям двигательной активности и негативным последствиям для внутренних органов.
Народные методы лечения
Средства народной медицины могут служить дополнительным способом в рамках консервативного лечения и реабилитации после операций:
- Смешайте пчелиный воск с растопленным свиным салом до получения однородной массы. Втирайте это средство в плечевой сустав, особенно после занятий лечебной физкультурой.
- Листья белокочанной капусты эффективно снимают воспаление и помогают справиться с болевыми ощущениями. Согретый капустный лист приложите к плечу в области наибольшей боли. Рекомендуется делать обертывание на ночь, когда сустав будет в покое. Сверху на лист положите теплую ткань и зафиксируйте бинтом.
- При остеоартрозе полезен отвар из брусники. Для его приготовления возьмите 2 чайные ложки ягод, промойте их и залейте стаканом кипятка. Настаивайте под крышкой 15–20 минут, затем процедите и принимайте по 2 столовые ложки в течение дня.
- В большинстве противовоспалительных сборов содержится сенная труха. Для приготовления настоя 1 столовую ложку сухого сырья залейте стаканом кипящей воды, после остывания процедите и принимайте по четверти стакана на ночь.
- Чтобы сделать отвар из кукурузных рыльцев, возьмите 2 чайные ложки травы, размешайте в стакане холодной воды, затем прокипятите в течение 5 минут. Остудите, процедите и пейте по 1 столовой ложке 4–5 раз в день.
- Для компресса используйте корни хрена. Их натрите на терке и распарьте на водяной бане, не доводя до кипения: корни должны томиться, а не вариться. Готовую массу нанесите на ткань и прикладывайте к больному месту на всю ночь.
- Для лечения заболевания можно использовать растирки. На стакан водки возьмите 100 г корня девясила. Настойку оставьте в темном месте на 2 недели, после чего наносите на воспаленное место ежедневно, пока боль в плече не исчезнет.
Профилактические мероприятия
Люди из группы риска должны принимать хондропротекторы, так как они улучшают выработку синовиальной жидкости и обменные процессы, а также положительно влияют на структуру суставов. Назначение препаратов должно осуществляться врачом, который подберет подходящее средство и определит необходимую дозировку.
К группе риска относятся:
- люди с избыточным весом;
- пожилые люди;
- пациенты с сахарным диабетом;
- лица с наследственной предрасположенностью;
- те, кто перенес травмы суставов;
- люди с врожденными деформациями суставов;
- профессиональные спортсмены.
Для профилактики рекомендуется включать в рацион продукты, богатые кальцием, а также наваристые мясные бульоны.
Вопрос-ответ
Какие симптомы могут указывать на остеоартроз плечевого сустава?
Симптомы остеоартроза плечевого сустава могут включать боль в области плеча, ограничение подвижности, хруст при движении, а также отечность и воспаление. На ранних стадиях боли могут возникать только при физической нагрузке, в то время как на более поздних стадиях они могут беспокоить даже в покое.
Каковы основные методы лечения остеоартроза плечевого сустава?
Основные методы лечения остеоартроза плечевого сустава включают консервативные подходы, такие как физиотерапия, медикаментозное лечение (нестероидные противовоспалительные препараты, хондропротекторы), а также инъекции кортикостероидов. В более тяжелых случаях может потребоваться хирургическое вмешательство, например, артропластика.
Как можно предотвратить прогрессирование остеоартроза плечевого сустава?
Для предотвращения прогрессирования остеоартроза плечевого сустава рекомендуется поддерживать нормальный вес, заниматься регулярной физической активностью, избегать чрезмерных нагрузок на суставы и следить за правильной осанкой. Также полезно выполнять специальные упражнения для укрепления мышц плечевого пояса.
Советы
СОВЕТ №1
Регулярно выполняйте физические упражнения, направленные на укрепление мышц плечевого пояса. Это поможет улучшить подвижность сустава и снизить нагрузку на него. Консультируйтесь с врачом или физиотерапевтом для подбора безопасного и эффективного комплекса упражнений.
СОВЕТ №2
Обратите внимание на свой рацион питания. Употребление продуктов, богатых омега-3 жирными кислотами (например, рыба, орехи), а также антиоксидантов (фрукты и овощи) может помочь уменьшить воспаление и улучшить общее состояние суставов.
СОВЕТ №3
Используйте методы физиотерапии, такие как ультразвук, магнитотерапия или лазерная терапия. Эти процедуры могут помочь уменьшить болевой синдром и улучшить кровообращение в области пораженного сустава.
СОВЕТ №4
Не забывайте о важности контроля веса. Избыточная масса тела создает дополнительную нагрузку на суставы, что может усугубить симптомы остеоартроза. Поддержание здорового веса поможет снизить риск прогрессирования заболевания.







