Проведение опроса (анамнез)
Сбор данных о течении заболевания играет ключевую роль в установлении точного диагноза. Это позволяет исключить другие заболевания с похожими симптомами. В процессе общения с пациентом врач выясняет, как началась болезнь, какие симптомы появились первыми и в каком порядке они развивались. Обычно пациент может вспомнить начальные проявления недуга, чаще всего это боли и дискомфорт в мелких суставах рук и ног. Поражение крупных суставов на ранних стадиях встречается крайне редко.
Во время беседы врач также уточняет, были ли случаи подагры в семье пациента. Наследственность играет значительную роль в развитии этого заболевания, и знание этих факторов облегчает диагностику.
Обсуждаются и болезни, перенесенные пациентом ранее. Важными аспектами являются:
- сложные хирургические вмешательства;
- заболевания почек;
- длительный прием определенных медикаментов.
Специалист задаст вопросы о образе жизни пациента, его рационе и наличии вредных привычек.
Например, если в рационе много мясных продуктов, присутствуют алкогольные напитки, курение или чрезмерные физические нагрузки, это может указывать на риск развития подагры.
Еще одной причиной, способствующей возникновению заболевания, может быть недостаточное потребление жидкости в течение дня, что нарушает питьевой режим.
Врачи подчеркивают, что диагностика подагры включает несколько ключевых методов, позволяющих точно определить наличие заболевания. Основным инструментом является анализ крови, который помогает выявить уровень мочевой кислоты. Повышенные значения могут указывать на подагру, однако не всегда являются окончательным диагнозом. Врач может также назначить анализ суставной жидкости, получаемой из пораженного сустава, для обнаружения кристаллов мочевой кислоты. Рентгенография и ультразвуковое исследование используются для оценки состояния суставов и выявления возможных повреждений. Комплексный подход к диагностике позволяет врачам точно установить диагноз и назначить эффективное лечение, что крайне важно для предотвращения обострений и улучшения качества жизни пациентов.
https://youtube.com/watch?v=6VKTH7bKrPk
Клиническая картина патологии
Клиническая картина представляет собой совокупность всех симптомов заболевания и изменений в состоянии пациента на протяжении времени. Опытный врач, регулярно наблюдающий за пациентом, может точно диагностировать подагру даже без дополнительных исследований.
При оценке состояния больного специалист учитывает стадию прогрессирования подагры. Регулярные медицинские осмотры позволяют выделить три ключевых этапа развития этого заболевания:
- гиперурикемия;
- накопление уратов в организме;
- отложение уратов в тканях;
- острое подагрическое воспаление.
На начальном этапе болезни пациент может долго не ощущать дискомфорта. Однако именно этот период способствует переходу ко второй стадии. В редких случаях подагра может проявляться без изменений в уровне мочевой кислоты.
На второй стадии заболевания могут появиться первые симптомы, которые заставят человека обратиться за медицинской помощью. Для этой стадии характерно накопление уратов в мягких тканях — мелких кристаллов натриевых и калиевых солей мочевой кислоты.
Скопление значительного количества уратов приводит к третьей стадии патологии. Они наносят серьезный вред мягким тканям, вызывая множество неприятных ощущений. Кроме того, организм начинает болезненно реагировать на присутствие чуждых веществ.
Длительное развитие болезни негативно сказывается на состоянии почек.
| Метод диагностики | Описание метода | Преимущества/Недостатки |
|---|---|---|
| Анализ крови на мочевую кислоту | Измерение уровня мочевой кислоты в сыворотке крови. | Простота, доступность, низкая стоимость. Может быть повышенным не только при подагре, ложноотрицательные результаты возможны при острых приступах. |
| Анализ синовиальной жидкости | Забор жидкости из воспаленного сустава. | Позволяет подтвердить диагноз подагры при обнаружении кристаллов уратов. Инвазивная процедура. |
| Рентгенография суставов | Визуализация суставов с помощью рентгеновских лучей. | Обнаружение характерных изменений в суставах (тофусы, эрозии). Не позволяет диагностировать подагру на ранних стадиях. |
| УЗИ суставов | Ультразвуковое исследование суставов. | Обнаружение тофусов, воспаления, выпота в суставе. Более чувствительный метод, чем рентгенография на ранних стадиях. |
| Поляризационная микроскопия синовиальной жидкости | Микроскопическое исследование синовиальной жидкости под поляризованным светом. | Прямое обнаружение кристаллов моногидрата уратов. Требует специального оборудования и навыков. |
Инструментальные исследования
Инструментальные исследования необходимы для всех пациентов с жалобами на суставные боли. На начальных этапах подагры такие исследования могут дать ограниченную информацию, так как изменения в тканях еще не заметны. Тем не менее, они помогают исключить другие ревматические заболевания.
В процессе диагностики могут использоваться различные методы:
- Ультразвуковое исследование (УЗИ);
- Компьютерная томография (КТ);
- Рентгенография пораженных суставов;
- Сцинтиграфия с пирофосфатом технеция.
УЗИ наиболее эффективно в период обострения. Начало острого приступа сопровождается расширением суставной щели, отеком и уплотнением мягких тканей вокруг пораженного сустава. Эти изменения становятся менее выраженными через неделю после обострения, а к концу второй недели вероятность их обнаружения с помощью ультразвука значительно снижается.
При хронической форме заболевания исследования позволяют выявить небольшие деформации суставной поверхности и локализацию воспалительных очагов. Кроме того, УЗИ помогает обнаружить отложения уратов в почках и мочевом пузыре.
Выбор метода диагностики должен осуществляться квалифицированным специалистом. При ярко выраженных симптомах подагры инструментальные исследования могут быть излишними.
Компьютерная томография представляет собой серию высококачественных рентгеновских снимков. Это исследование позволяет:
- точно определить расположение воспалительных очагов;
- оценить степень деформации пораженного сустава на поздних стадиях подагры.
На ранних стадиях, в период обострения, на снимках видно уплотнение мягких тканей вокруг больного сустава.
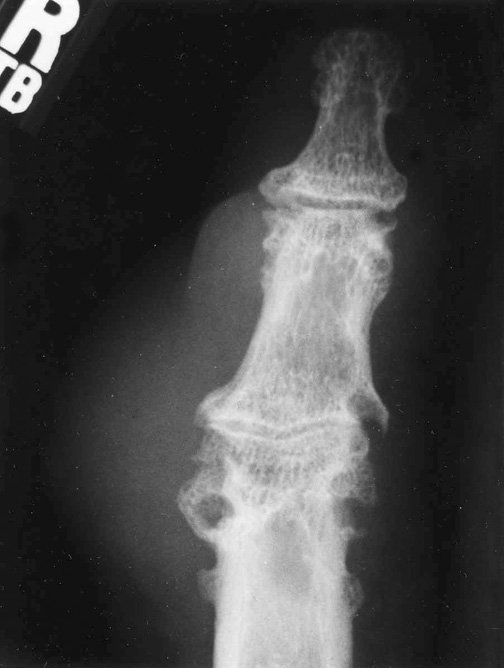
Рентгенографию назначают на начальных этапах заболевания для исключения других патологий, вызывающих воспаление суставов. При подагре значительных изменений не наблюдается. Только рентгеновские снимки, сделанные при хронической форме заболевания, могут помочь в постановке диагноза.
Сцинтиграфия с пирофосфатом технеция применяется, когда клиническая картина болезни неясна. В кровь вводится пирофосфат технеция, который накапливается в местах скопления уратов, позволяя врачу точно определить локализацию патологического процесса.
Этот метод позволяет диагностировать подагру даже на самых ранних стадиях, когда выраженных воспалительных очагов еще нет.
Исследования также помогают выявить отложения уратов в других областях:
- позвоночнике;
- грудной клетке;
- области ключиц.
Подагра — это заболевание, которое вызывает сильные боли в суставах, и его диагностика играет ключевую роль в своевременном лечении. Люди часто делятся своими впечатлениями о различных методах диагностики. Наиболее распространенным является анализ крови на уровень мочевой кислоты. Многие отмечают, что этот тест помогает быстро определить наличие проблемы. Однако не все пациенты знают, что уровень кислоты может варьироваться, и его нормальные значения не всегда исключают подагру.
Некоторые упоминают о необходимости рентгенографии, которая позволяет выявить изменения в суставах, вызванные заболеванием. Другие пациенты рассказывают о процедуре артроцентеза, когда из сустава берется жидкость для анализа. Этот метод считается наиболее точным, так как позволяет обнаружить кристаллы мочевой кислоты. Важно, чтобы диагностику проводил опытный врач, который сможет интерпретировать результаты и назначить соответствующее лечение.
https://youtube.com/watch?v=Ay7DKFicz40
Лабораторные анализы крови и мочи
Лабораторные исследования при подагре предоставляют врачам важную информацию о процессах в организме. Они позволяют отслеживать формирование и выведение мочевой кислоты на разных этапах. Для этого несколько раз проводятся анализы крови и мочи, что помогает оценить изменения в их составе. Кроме того, такие анализы помогают врачу отличить подагру от других заболеваний с похожими симптомами.
Во время консультации врач объяснит, какие анализы необходимо сдать. В первую очередь это общий анализ крови. На начальных стадиях заболевания состав крови может оставаться неизменным. Однако в период обострения воспалительного процесса может наблюдаться лейкоцитоз — увеличение количества лейкоцитов в крови. Также активизация воспаления приводит к повышению скорости оседания эритроцитов (СОЭ). Если у пациента есть серьезные заболевания почек или нарушения в работе сердечно-сосудистой системы, общий анализ крови может выявить и другие отклонения.
Одним из ключевых исследований является биохимический анализ крови. Он позволяет определить уровень мочевой кислоты и наличие гиперурикемии. Особое внимание уделяется гиперурикемии, так как этот показатель является фактором риска для развития подагры. Уровень мочевой кислоты следует измерять как до начала лечения, так и после его начала.
Биохимический анализ также помогает выявить увеличение уровня С-реактивного белка, изменения в уровне сахара и повышение креатинина — органического вещества, образующегося в процессе обмена белков, а также мочевины. Кроме того, анализ позволяет определить уровень липидов, липопротеинов и кальция.
В ходе анализа проверяются уровни различных ферментов и веществ, что позволяет оценить работу других внутренних органов. Это также помогает установить более точный диагноз при вторичной подагре.
Общий анализ мочи позволяет выявить изменения только после поражения почек. Исследования помогают определить наличие кристаллов уратов в мочевом осадке. Анализ также может показать наличие крови в моче, выявить альбуминовую фракцию белков и клетки цилиндрического эпителия. Все эти изменения могут проявиться после того, как заболевание затронет эпителий почечной лоханки.
Биохимический анализ мочи проводится для определения уровня мочевой кислоты. Для этого берется суточная норма вещества. Этот показатель может варьироваться в зависимости от причин, вызвавших подагру. Если в почках нет патологий и фильтрация проходит нормально, то увеличение уровня мочевой кислоты в моче будет соответствовать аналогичному показателю в крови.
Для исследования также берется синовиальная жидкость, которая извлекается путем пункции пораженного сустава. Этот анализ позволяет выявить увеличение содержания лейкоцитов и соли мочевой кислоты. Наиболее убедительным подтверждением диагноза подагры является обнаружение уратов натрия в цитоплазме.
Проводятся исследования на содержание тофусов — плотных подкожных образований. При их вскрытии можно обнаружить пастообразную массу белого цвета или мелкие белые кристаллики. Эта патология характерна только для подагры, однако распознать ее можно лишь на поздних стадиях заболевания.
Диагностика подагры может быть затруднена наличием других ревматических заболеваний с похожими симптомами, таких как:
- ревматоидный артрит;
- псориатический артрит;
- хондрокальциноз, известный также как псевдоподагра.
Для упрощения процесса диагностики необходимо применять специальные критерии дифференциальной диагностики между этими заболеваниями.
Вопрос-ответ
https://youtube.com/watch?v=tqTu7O-qjX4
Каковы основные симптомы подагры?
Основные симптомы подагры включают внезапные и интенсивные приступы боли в суставах, особенно в большом пальце ноги, отечность, покраснение и повышенную чувствительность в области пораженного сустава. Эти симптомы могут возникать ночью и длиться от нескольких дней до нескольких недель.
Как проводится анализ на уровень мочевой кислоты?
Анализ на уровень мочевой кислоты обычно проводится с помощью анализа крови. Пациенту берут образец крови, который затем отправляется в лабораторию для определения концентрации мочевой кислоты. Повышенный уровень может указывать на подагру или предрасположенность к ней.
Какие визуализирующие методы могут помочь в диагностике подагры?
Для диагностики подагры могут использоваться рентгенография, ультразвуковое исследование и магнитно-резонансная томография (МРТ). Эти методы помогают выявить изменения в суставах, такие как отложения кристаллов мочевой кислоты, которые являются характерными для подагры.
Советы
СОВЕТ №1
Перед проведением диагностики подагры обязательно проконсультируйтесь с врачом. Он поможет определить, какие тесты и исследования будут наиболее информативными для вашей ситуации.
СОВЕТ №2
Обратите внимание на уровень мочевой кислоты в крови. Это один из ключевых показателей, который может помочь в диагностике подагры. Регулярные анализы помогут отслеживать изменения и корректировать лечение.
СОВЕТ №3
Не игнорируйте симптомы, такие как внезапные приступы боли в суставах, особенно в большом пальце ноги. Чем раньше вы обратитесь за медицинской помощью, тем быстрее можно будет начать лечение и предотвратить осложнения.
СОВЕТ №4
Изучите методы визуализации, такие как УЗИ или рентген, которые могут помочь в диагностике подагры. Эти методы позволяют выявить отложения мочевой кислоты и оценить состояние суставов.



