Причины развития хондродисплазии
Чаще всего данная патология проявляется у детей в период полового созревания, когда происходит активный рост органов и систем, а также гормональная перестройка организма.
Рассмотрим опасности, которые несет эта болезнь:
- Во-первых, она может нарушить формирование скелета.
- Во-вторых, может развиться патология суставов и позвоночника, что приводит к инвалидности.
- В-третьих, происходит разрастание хрящевой ткани, что негативно сказывается на соседних органах.
Врачи продолжают исследовать причины возникновения хондродисплазии и ее различные формы, так как факторы, способствующие развитию этой патологии, до конца не выяснены.
К числу наиболее вероятных причин относятся:
- Генетическая предрасположенность.
- Заболевание может возникать не только у детей, но и у пожилых людей, так как в их организме также происходят гормональные изменения и наблюдается кислородная недостаточность сосудистых стенок.
- Неблагоприятные условия окружающей среды.
- Инфекционные и вирусные поражения, которые чаще всего встречаются у людей с ослабленным иммунитетом и у беременных женщин.
- Травмы, полученные женщинами во время родов или после них.
На изображении видно, что болезнь проходит через несколько стадий развития, поэтому важно своевременно распознать ее ранние признаки.
Хондродисплазия у детей проявляется в виде нарушений роста и развития костей и хрящей, что может приводить к короткорослости и деформациям скелета. Врачи отмечают, что симптомы могут варьироваться в зависимости от типа заболевания, но часто включают укороченные конечности, изменения в форме позвоночника и суставов. Диагностика обычно начинается с физического осмотра и рентгенографии, что позволяет определить степень выраженности патологии.
Лечение хондродисплазии требует комплексного подхода. Врачи рекомендуют индивидуальную программу, которая может включать физиотерапию для улучшения подвижности и укрепления мышц, а также хирургические вмешательства для коррекции деформаций. Важно, чтобы лечение начиналось как можно раньше, чтобы минимизировать последствия и улучшить качество жизни ребенка. Регулярные консультации с ортопедами и генетиками также играют ключевую роль в управлении заболеванием и поддержке семьи.
https://youtube.com/watch?v=jEdnVvUdVQo
К чему приводит болезнь
Течение заболевания проявляется в следующих состояниях пациентов:
- Происходит избыточное образование хрящевой ткани, обвивающей суставы и поверхности костей, что приводит к их сращиванию. Увеличение объема хряща происходит стремительно, в результате чего суставы начинают активно разрастаться и деформироваться.
- Движения нижних и верхних конечностей становятся ограниченными, они искривляются и значительно увеличиваются в размере. При поражении стоп наблюдается деформация и гигантизм пальцев, что затрудняет передвижение больных.
- Заболевание может затрагивать череп, что приводит к сращиванию суставов и костей, создавая давление на мозг и потенциально вызывая эпилепсию.
- При поражении голеностопного сустава увеличиваются бедра и голени, в то время как длина суставов остается неизменной.
- Избыточное образование хряща приводит к истощению суставов, формированию утиной походки и изменению характера передвижения, что затрудняет движение из-за деформации конечностей.
| Симптом/Проявление | Возможные причины (в рамках хондродисплазии) | Методы лечения/поддержки |
|---|---|---|
| Непропорционально короткие конечности (руки и ноги) | Нарушение роста хрящевой ткани | Хирургическая коррекция укорочения конечностей (удлинение костей), физиотерапия, ортопедические приспособления (например, специальные туфли или ортезы) |
| Непропорционально большая голова по отношению к телу (макроцефалия) | Замедленное развитие костей черепа | Хирургическое вмешательство при сдавливании головного мозга, наблюдение у невролога |
| Деформация позвоночника (кифоз, лордоз, сколиоз) | Неправильное развитие позвонков | Ортопедические корсеты, физиотерапия, в тяжелых случаях – хирургическая коррекция |
| Ограничение подвижности суставов | Нарушение развития суставных поверхностей | Физиотерапия, лечебная физкультура, ортопедические приспособления, в некоторых случаях – хирургическое вмешательство |
| Задержка роста | Нарушение эндохондрального окостенения | Гормональная терапия (в некоторых случаях), наблюдение у эндокринолога |
| Дыхательные проблемы (апноэ сна) | Уменьшение размеров грудной клетки, сужение дыхательных путей | CPAP-терапия, хирургическое вмешательство (в тяжелых случаях) |
| Проблемы со слухом | Нарушение развития костей среднего уха | Слуховые аппараты, хирургическое вмешательство |
| Гидроцефалия (скопление жидкости в головном мозге) | Нарушение оттока спинномозговой жидкости | Шунтирование, медикаментозное лечение |
Виды заболевания
Существует несколько типов хондродисплазии, причины которых могут быть как общими, так и специфическими для каждого вида патологии.
К основным категориям заболевания относятся:
-
Эпифизарная хондродисплазия (множественная дисплазия суставов). Этот тип характеризуется образованием избыточного количества хрящевой ткани, которая может разрастаться на суставе и затрагивать соседние органы. Основные симптомы включают изменения в цвете, форме и структуре кожи, а также гигантизм обеих конечностей.
-
Физарная хондродисплазия, подразделяющаяся на несколько подтипов: ахондроплазия, гипохондроплазия и болезнь Маделунга. Эти патологии влияют на ростковую зону кости, что приводит к нарушениям в развитии скелета.
-
Метафизарная хондродисплазия затрагивает область между телом кости и ее головкой. Она вызывает деформацию конечностей и проблемы с их ростом.
-
Патология, охватывающая метафиз трубчатых костей. Для этого типа характерны различные размеры хрящей (до размера среднего яблока), которые на снимках выглядят как небольшие уплотнения. Лечение для таких пациентов не назначается, однако они находятся под постоянным наблюдением врачей. Если хрящи начинают увеличиваться, может потребоваться операция. Чаще всего этот вид заболевания затрагивает кости голеней, ребер и предплечья.
-
Множественная экзостозная хондродисплазия — это физарный тип заболевания, который встречается довольно часто. Он отличается от других форм тем, что пациенты практически не испытывают боли на ранних стадиях. Дискомфорт возникает только тогда, когда хряжевая ткань начинает сжимать нервы. Эта патология опасна тем, что долгое время остается незамеченной и поздно диагностируется. При активном развитии деформации костей и скелета конечности могут значительно укоротиться.
Хондродисплазия у детей — это группа генетических заболеваний, которые влияют на развитие хрящей и костей, что может привести к различным аномалиям роста. Родители часто замечают, что их ребенок отстает в физическом развитии по сравнению с ровесниками. Внешние признаки могут включать короткие конечности, увеличенную голову и другие особенности. Важно, чтобы диагноз ставил квалифицированный специалист, так как симптомы могут варьироваться.
Лечение хондродисплазии индивидуально и зависит от степени выраженности заболевания. В некоторых случаях может потребоваться хирургическое вмешательство для коррекции деформаций или улучшения функции суставов. Физиотерапия и специальные упражнения также играют важную роль в поддержании подвижности и укреплении мышц. Родители должны быть готовы к долгосрочному наблюдению и поддержке, чтобы помочь ребенку адаптироваться и развиваться в соответствии с его возможностями.
https://youtube.com/watch?v=VYliBKmrA1c
Характерные признаки
Среди симптомов заболевания, помимо изменений в структуре скелета, выделяются:
- увеличение суставов;
- замедленный рост костей;
- искривление костей.
Иногда наблюдаются отеки и покраснение кожи.
Пациенты с хондродисплазией имеют непропорциональное телосложение:
- Низкий рост.
- Обычные размеры тела.
- Укороченные конечности.
- Маленькие пальцы.
- Большая голова.
- Лицо с плоской переносицей и увеличенными надбровными дугами.
Болезнь может проявляться как у детей младше года, так и у более старших, а также у пожилых людей. На коже могут возникать липомы, пигментные пятна и другие изменения. У пациентов часто наблюдаются проблемы с дыханием и избыточным весом.
Эпифизарная хондродисплазия проявляется искривлением костей таза и затруднением в движении. На фоне хондродисплазии могут развиваться и другие заболевания, затрагивающие почки, печень и глаза.
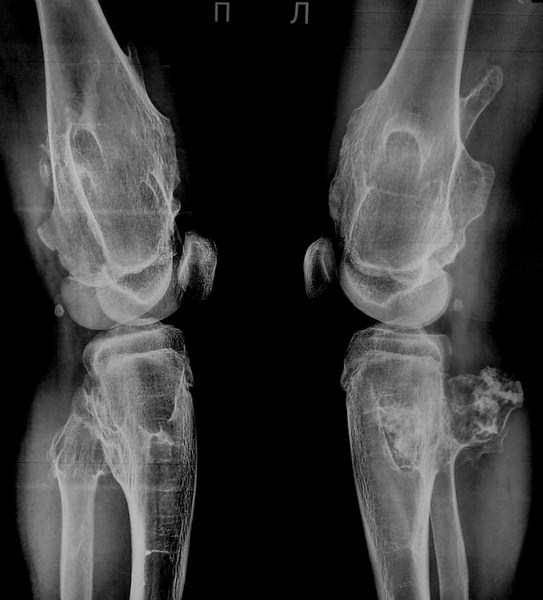
Опасность болезни заключается в том, что на ранних стадиях выявить деформации бывает сложно. Только при появлении определенных симптомов врач может прощупать изменения в хрящах.
Это могут быть уплотнения на суставных поверхностях. Наличие таких образований и разрастание хрящевой ткани подтверждается рентгеном, хотя иногда используется компьютерная томография.
Многие специалисты считают, что существует генетическая предрасположенность к хондродисплазии, поэтому пациентам рекомендуется проходить лабораторные исследования. Генетические тесты могут помочь выяснить причины заболевания. В особенно тяжелых и запущенных случаях может быть назначена биопсия, хотя такая диагностика применяется довольно редко.
Как лечить хондродисплазию?
Основным способом лечения данного заболевания является хирургическое вмешательство, направленное на удаление костных образований. Если операцию не выполнить, это может привести к серьезным осложнениям и угрозе инвалидности. При значительных размерах наростов проводятся корректирующие операции. В редких случаях может потребоваться полное удаление конечностей.
Важно начинать лечение на ранних стадиях, чтобы предотвратить осложнения, связанные с деформацией скелета и частичной или полной неподвижностью суставов. На фоне заболевания часто возникают тендинит и бурсит, которые могут быть вызваны травмами мягких тканей.
После операции также возможны осложнения, поэтому пациентам необходимо пройти длительный период реабилитации.
Восстановление функций суставов и костей после хирургического вмешательства зависит от расположения воспалительного процесса, своевременности диагностики и степени разрастания хрящевой ткани.
https://youtube.com/watch?v=Rq4PGrvckz4
Вопрос-ответ
Как лечат хондродисплазию?
Пациентам с этим заболеванием обычно требуется дерматологическая и офтальмологическая помощь, ортопедическая коррекция аномалий скелета и частое наблюдение в отделении физической медицины и реабилитации (ФМР) с целью восстановления функциональности и большей самостоятельности в выполнении повседневных задач.
Как растут дети с ахондроплазией?
Рост новорожденных с ахондроплазией обычно около 50 см. А потом дети начинают сильно отставать от нормы. Среди других выраженных особенностей заболевания — высокий, выпуклый лоб, впалая переносица, увеличенная окружность головы, а также фирменная кисть-«трезубец» — характерная черта людей с этим диагнозом.
Как понять, что у ребенка ахондроплазия?
Внешние симптомы. У больных ахондроплазией аномально низкий рост, укороченные конечности, непропорциональный размер туловища. У многих людей наблюдается деформация в грудном отделе позвоночника, поражение коленных суставов. Пальцы на руках могут иметь одинаковую длину.
Советы
СОВЕТ №1
Обратите внимание на ранние признаки хондродисплазии, такие как замедленный рост, необычные пропорции тела или трудности с движением. Чем раньше вы заметите эти симптомы, тем быстрее сможете обратиться к врачу для диагностики и начала лечения.
СОВЕТ №2
Регулярно посещайте педиатра и ортопеда для мониторинга состояния вашего ребенка. Специалисты могут предложить индивидуальный план лечения, который может включать физиотерапию, специальные упражнения и, в некоторых случаях, хирургическое вмешательство.
СОВЕТ №3
Создайте поддерживающую среду для вашего ребенка. Обеспечьте ему возможность заниматься физической активностью в безопасной форме, что поможет укрепить мышцы и улучшить координацию. Также важно поддерживать эмоциональное здоровье, общаясь с ребенком и помогая ему справляться с возможными трудностями.
СОВЕТ №4
Изучите информацию о хондродисплазии и присоединитесь к группам поддержки для родителей. Общение с другими семьями, столкнувшимися с подобными проблемами, может дать вам полезные советы и эмоциональную поддержку в процессе лечения и воспитания ребенка.


