Причины патологического состояния
Остеомиелит костей возникает из-за инфицирования патогенными микроорганизмами. В большинстве случаев заболевание вызывают бактерии, а грибковая инфекция встречается реже. Основные причины остеомиелита:
- кишечная палочка, синегнойная палочка, стафилококк (чаще всего золотистый), стрептококк, сальмонелла;
- перенесенные болезни: у детей — корь, скарлатина, отит, ангина; у взрослых — сифилис, кариес, туберкулез и другие;
- травмы, особенно если поврежденные участки кожи и тканей были недостаточно обработаны.
Чаще всего остеомиелит наблюдается у детей из-за ослабленного иммунитета, но заболевание может возникать и у людей других возрастных групп. Факторы, способствующие развитию остеомиелита, включают:
- алкогольную зависимость и наркоманию;
- пожилой возраст;
- нарушения функции почек;
- низкий вес и плохое питание;
- варикозное расширение вен;
- онкологические заболевания;
- сахарный диабет;
- атеросклероз;
- язвенные болезни;
- удаление селезенки.
Также существует связь между аллергическими реакциями, вынужденным голоданием, длительными простудами и стрессами с развитием воспалительных процессов в костных тканях. Гнойный остеомиелит может быть диагностирован после воздействия холода или тепла на кожу (например, при обморожении или ожоге). Это заболевание часто развивается после удаления источника гнойной инфекции, такого как фурункул или абсцесс.
Врачи подчеркивают, что эффективное лечение остеомиелита кости требует комплексного подхода. Основным методом остается антибиотикотерапия, которая должна быть назначена с учетом чувствительности возбудителей инфекции. Важно, чтобы курс лечения был достаточно длительным, иногда до нескольких месяцев. Хирургическое вмешательство также играет ключевую роль, особенно при наличии абсцессов или некротических тканей. Врачи рекомендуют дренирование гнойных очагов и, при необходимости, резекцию пораженных участков кости. Реабилитация после лечения включает физиотерапию и восстановительные мероприятия, что способствует улучшению функции конечностей и снижению риска рецидивов. Важно, чтобы пациенты строго следовали рекомендациям специалистов и регулярно проходили контрольные обследования.
https://youtube.com/watch?v=p4sMEUVo1Fg
Симптоматика и стадии
Лечение заболеваний костного мозга — сложная задача, требующая внимательного наблюдения за изменениями в организме. Симптомы остеомиелита могут напоминать признаки простуды. Первые проявления воспалительного процесса включают:
- повышение температуры с ознобом;
- аритмию.
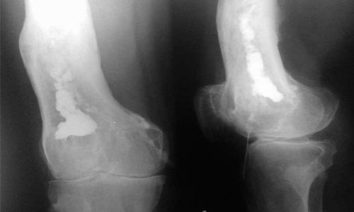
Спустя 2-3 дня появляются локальные симптомы. В области поражения возникают отечность, боль, скованность движений, а кожа становится красной. Чаще всего воспаление затрагивает бедренную и большеберцовую кости нижних конечностей, а также лучевую, локтевую и плечевую кости верхних конечностей. Реже остеомиелит развивается в костных тканях стоп, кистей, таза, ребер, позвоночника, лопаток и ключиц. Для наглядности можно ознакомиться с фотографиями воспаленных участков.
При инфицировании патогенными микроорганизмами часто наблюдается интоксикация, проявляющаяся следующими симптомами:
- боли в области сердца;
- пониженное артериальное давление;
- судороги;
- потеря сознания;
- головокружение;
- изменения цвета кожи: желтизна или бледность.
Существует две стадии остеомиелита:
- острая;
- хроническая.
В остром периоде заболевание проявляется ярко: температура может подниматься до 40 °С, пациента мучает озноб, усиливается боль при движении, пораженный участок отекает, а кожа краснеет. В хронической форме симптомы отличаются: температура ниже (37,5…38,5 °С), нарушается сон, боль постоянная, но не интенсивная. На пораженном участке могут образовываться свищи с выделением гноя.
| Метод лечения | Описание метода | Преимущества/Недостатки |
|---|---|---|
| Хирургическое вмешательство (дебридмент, секвестрэктомия, ампутация) | Удаление инфицированной ткани, секвестров (мертвой кости). В тяжелых случаях – ампутация. | Эффективно удаляет очаг инфекции. Высокая травматичность, риск осложнений (кровотечение, повреждение нервов, повторная инфекция). Ампутация – крайняя мера. |
| Антибиотикотерапия | Применение антибиотиков системно (внутривенно, внутримышечно) или местно (в виде имплантатов). | Эффективна на ранних стадиях, подавляет рост бактерий. Возможны побочные эффекты (аллергические реакции, дисбактериоз), развитие резистентности бактерий. Не всегда эффективна при обширном поражении. |
| Вакуумная терапия | Использование вакуумных систем для дренирования раны и удаления экссудата. | Способствует заживлению, уменьшает риск повторной инфекции. Не всегда доступна, требует специального оборудования. |
| Гипербарическая оксигенация (ГБО) | Лечение в барокамере с повышенным парциальным давлением кислорода. | Улучшает кровоснабжение тканей, стимулирует заживление, повышает эффективность антибиотиков. Дорогостоящая процедура, возможны противопоказания. |
| Трансплантация костной ткани | Замена поврежденной кости аутотрансплантатом (собственной костью пациента) или аллотрансплантатом (костью донора). | Восстанавливает структуру кости, улучшает функцию конечности. Дорогостоящая процедура, возможны отторжения трансплантата. |
Методы лечения
Если вы столкнулись с остеомиелитом, важно знать, к какому специалисту обратиться для лечения этого заболевания. При остром остеомиелите пациенту обычно требуется госпитализация из-за гнойного воспаления костной ткани.
Хроническая форма остеомиелита требует более сложного подхода к лечению. Возможно, потребуется провести ряд обследований и длительную терапию. Лечением таких пациентов занимается хирург. Для подтверждения воспалительного процесса в костях используются различные методы:
- лучевая диагностика: компьютерная томография (КТ), рентген, магнитно-резонансная томография (МРТ);
- лабораторные исследования, в ходе которых анализируется состав и структура биоматериала (крови, мочи).
Лечение остеомиелита обычно включает комплексный подход. Эффективные методы:
- Консервативная терапия с применением медикаментов общего и местного действия (таблетки, мази, гели).
- Хирургическое вмешательство для удаления очага гнойного воспаления на пораженной области кости.
- Физиотерапевтические процедуры.
Также рекомендуется соблюдать диету и использовать домашние средства в качестве дополнительных мер.
Люди, столкнувшиеся с остеомиелитом, часто делятся своим опытом лечения, подчеркивая важность комплексного подхода. Многие отмечают, что ранняя диагностика и адекватная антибиотикотерапия играют ключевую роль в успешном выздоровлении. Пациенты также упоминают о значимости хирургического вмешательства, особенно в случаях, когда необходимо удалить некротизированные ткани.
Некоторые делятся положительным опытом применения физиотерапии и реабилитационных мероприятий, которые помогают восстановить функции пораженной конечности. Важным аспектом является и поддержка со стороны врачей и близких, что способствует психологическому комфорту в процессе лечения.
Кроме того, люди обращают внимание на необходимость соблюдения режима и правильного питания, что, по их мнению, способствует укреплению иммунной системы. В целом, мнения о лечении остеомиелита разнообразны, но большинство согласны, что индивидуальный подход и профессиональная помощь являются залогом успешного выздоровления.
https://youtube.com/watch?v=bRwNTPEnQ8E
Консервативное лечение
В данной ситуации симптомы могут исчезнуть без хирургического вмешательства. Остеомиелит чаще всего вызывается бактериями, поэтому разумно применять антибиотикотерапию. Однако не все инфекции поддаются такому лечению, особенно сложно справиться с золотистым стафилококком. Выбор антибиотика основывается на результатах лабораторных анализов, которые показывают чувствительность бактерий к препаратам.
Продолжительность лечения варьируется в зависимости от тяжести состояния кости и составляет от 1 до 4 месяцев, но чаще всего заболевание удается вылечить за 1-2 месяца. Антибиотик вводится непосредственно в костные полости. Подбирается препарат с широким спектром действия, допускается комбинирование различных средств. В терапии остеомиелита используются антибиотики разных групп. Наиболее распространенные из них:
- Цефтриаксон;
- Фузидин;
- Ванкомицин;
- Цефазолин;
- Линкамицин.
При выраженной интоксикации рекомендуется проводить капельницы с физраствором. Это помогает вывести токсичные вещества из организма, что особенно важно при сепсисе. Внутривенное введение физраствора также способствует более эффективному усвоению антибиотиков. Для этих же целей могут применяться методы лазерной очистки крови, переливание плазмы, гомосорбция и ультрафиолетовое облучение.
Если поражен сустав, его необходимо иммобилизовать. Для этого используются различные средства: гипс для конечностей, специальные корсеты для позвоночника, шины для челюсти.
Антибиотики являются основным методом лечения остеомиелита. В дополнение могут быть назначены иммуностимуляторы и пробиотики. Длительный прием антибактериальных препаратов может нарушить микрофлору кишечника, что снижает иммунную защиту и замедляет восстановление. Распространенные препараты для стимуляции иммунитета:
- Амиксин;
- Тимолин.
Для нормализации микрофлоры кишечника можно использовать следующие средства:
- Хилак Форте;
- Бифиформ;
- Линекс.
Учитывая, что при остеомиелите поражаются как твердые, так и мягкие ткани, назначаются препараты местного действия: мази и гели. Они обладают противовоспалительными, антисептическими, анальгезирующими и противозудными свойствами, а также способствуют регенерации тканей. Примером таких средств является Левомиколь. Обработка пораженного участка должна проводиться ежедневно. Вместо мазей и гелей можно использовать антисептические растворы.
Оперативное вмешательство
В некоторых случаях требуется хирургическое вмешательство на пораженной кости. Основные показания для такой процедуры:
- гнойные воспалительные процессы;
- хронические заболевания, не поддающиеся полному лечению и сопровождающиеся рецидивами;
- наличие свищей.
Операция включает вскрытие надкостницы, что позволяет получить доступ к источнику гнойного воспаления — костному мозгу. Эта процедура называется остеоперфорацией. Этапы операции следующие:
- Обработка пораженного участка антисептическим раствором.
- Выполнение разреза мягких тканей для доступа к очагу воспаления.
- Удаление части надкостницы. Сначала производится перфорация твердых тканей, затем выполняются надрезы, после чего удаляется участок кости.
- Очищение открывшегося канала с использованием антибиотиков. Устанавливается дренажная трубка для оттока жидкости.
Результаты операции могут варьироваться в зависимости от состояния тканей и размеров гнойного очага. В некоторых случаях воспалительный процесс может значительно распространиться, приводя к образованию множества свищей и поражению мягких тканей. При частых рецидивах может развиваться некроз, что требует удаления пораженного участка кости и омертвевших тканей. В таких ситуациях для восстановления подвижности могут использоваться трансплантаты из искусственных материалов. Если возникают осложнения и воспаление затрагивает здоровые ткани, это может привести к инвалидности.
https://youtube.com/watch?v=qmdzK-H2-2I
Физиотерапия
Задача восстановления подвижности заключается в нормализации кровообращения в пораженной области и содействии регенерации тканей. В физиотерапии используются методы, которые ускоряют заживление, такие как лечебная физкультура, тепло, вода и другие. Эффективные процедуры при остеомиелите включают:
- Лечебная физкультура (ЛФК);
- Электрофорез;
- Ультрафиолетовое и ультразвуковое облучение;
- Аппликации с парафином и грязью;
- Озокерит.
Реабилитация после хирургического вмешательства может начинаться не ранее чем через 20 дней. Важно правильно выполнять упражнения, так как они нагружают поврежденные ткани. Поскольку во время операции нарушается целостность кости, динамические нагрузки следует исключить. На этапе восстановления рекомендуется сосредоточиться на статических упражнениях.
Диета при остеомиелите
При данном заболевании изменяется микрофлора кишечника, ослабляется иммунная система и нарушается работа пищеварительного тракта. Чтобы снизить нагрузку на эти органы, важно соблюдать специальную диету. Вот основные рекомендации:
- Исключите жирные и жареные блюда, а также копчености. Не употребляйте кофе, шоколад и пряные специи.
- Включите в рацион продукты, богатые витаминами и микроэлементами. При остеомиелите особенно важны кальций, железо, магний и фосфор, поэтому ешьте нежирное мясо, кисломолочные изделия, яйца, рыбу и печень.
- Основу рациона должны составлять продукты, богатые клетчаткой: овощи и фрукты.
- Рекомендуется пить не менее 2 литров воды в день, не включая супы, чаи и другие напитки.
- Для поддержки иммунной системы полезно ежедневно употреблять свежевыжатый сок из свеклы и моркови. Можно приготовить комбинированный напиток из этих корнеплодов в пропорции 2:5.
Домашние средства
Полностью избавиться от остеомиелита невозможно. Однако существует множество медикаментов, которые могут облегчить проявления этого заболевания. Они уменьшают отечность, снимают боль, обладают антисептическими свойствами, помогают снизить температуру и устраняют зуд на этапе выздоровления. Наиболее эффективные средства при остеомиелите включают:
- Компресс из лука и мыла. Ингредиенты натирают на терке, смешивают и помещают на плотную ткань. Затем компресс накладывают и фиксируют бинтом.
- Настойка из сирени. Для ее приготовления берут цветы или почки фиолетовой сирени, тщательно моют и сушат. Сырье помещают в литровую банку, заполняя ее до верха, и заливают спиртом. Настойка настаивается в течение 10 дней, после чего используется для компрессов.
- Лепешки из меда, ржаной муки, сливочного масла и яичного желтка. Это средство готовится на водяной бане при температуре воды не выше 40 °С. Сначала мед растапливают, затем добавляют по 100 г ржаной муки и сливочного масла, а также предварительно взбитый яичный желток. Все ингредиенты тщательно перемешивают, формируют лепешку и накладывают на пораженные участки, закрывая пленкой. Компресс фиксируют бинтом. Рекомендуется применять ежедневно.
- Прием рыбьего жира и сырых куриных яиц. Дважды в день следует принимать 1 столовую ложку рыбьего жира и одно сырое куриное яйцо.
Прогноз и профилактика
Трудно точно определить последствия остеомиелита в каждом случае, так как на развитие заболевания влияют различные факторы: индивидуальные особенности иммунной системы, возраст пациента, состояние пораженных тканей и реакция организма на лечение. Успешным лечением считается отсутствие рецидивов в течение 2–3 лет. В большинстве случаев прогноз оказывается благоприятным.
Однако воспалительный процесс может привести к необратимым изменениям в системе опорно-двигательного аппарата, что может стать основанием для оформления инвалидности.
Профилактика остеомиелита включает тщательную обработку ран и поврежденных участков при любых травмах и хирургических вмешательствах. Важно предотвратить развитие послеоперационного воспаления костных тканей, так как это может привести к образованию гнойного очага и свища в области разреза. Основной причиной таких осложнений является недостаточная очистка канала от инфекционных агентов.
Вопрос-ответ
Можно ли вылечить остеомиелит без операции?
Хирургический метод является основой лечения остеомиелита. Это заболевание невозможно излечить без удаления мертвой костной ткани.
Какой препарат является препаратом выбора для лечения остеомиелита?
Лечение остеомиелита. Обычно назначают ампициллин/сульбактам по 3 г внутривенно каждые 6 ч или пиперациллин/тазобактам по 3,375 г внутривенно каждые 6 ч.
Хирургическое лечение хронического остеомиелита называется?
Кутина термином «секвестрнекрэктомия» также целесообразно обозначать операции по поводу остеомиелита, независимо от того, есть в очаге секвестр или его нет.
Как быстро прогрессирует остеомиелит?
Острый остеомиелит развивается в течение двух недель, но обычно прогрессирует быстрее: симптомы появляются уже через несколько дней.
Советы
СОВЕТ №1
Обратитесь к врачу для точной диагностики. Остеомиелит требует профессионального подхода, поэтому важно пройти полное медицинское обследование, включая рентгенографию и анализы крови, чтобы определить стадию заболевания и выбрать оптимальное лечение.
СОВЕТ №2
Следуйте предписаниям врача и не прерывайте курс антибиотиков. Лечение остеомиелита часто включает длительный курс антибиотиков, и важно завершить его полностью, даже если симптомы исчезли, чтобы предотвратить рецидив.
СОВЕТ №3
Поддерживайте здоровый образ жизни. Правильное питание, регулярные физические упражнения и отказ от вредных привычек помогут укрепить иммунную систему и ускорить процесс выздоровления.
СОВЕТ №4
Обратите внимание на реабилитацию. После основного лечения остеомиелита важно пройти курс реабилитации, который может включать физиотерапию и специальные упражнения для восстановления функции пораженной конечности.







