Причины возникновения заболевания
В медицине встречаются случаи, когда болезни развиваются внутриутробно, что связано с аномалиями в строении скелета. Синостоз костей может возникать по различным причинам, определяющим его тип. Наследственная предрасположенность играет значительную роль в возникновении этой патологии. Если у одного из родителей были подобные нарушения, вероятность рождения ребенка с проблемами увеличивается. В медицинской терминологии полное название этого состояния — врожденный радиоульнарный синостоз.
В некоторых случаях это заболевание является вторичным. Основными причинами могут быть травмы и механические повреждения костей, хрящей и надкостниц. К факторам, способствующим развитию расстройства, относятся:
- дегенеративно-дистрофические изменения в костях, особенно в области позвоночника;
- туберкулезные поражения костной ткани;
- эндокринные расстройства;
- остеомиелит;
- брюшной тиф;
- бруцеллез.
Таким образом, синостоз может проявляться как самостоятельное заболевание или развиваться на фоне других недугов при отсутствии должного лечения. Эти аномалии могут сочетаться с другими патологиями. У взрослых и детей симптомы часто возникают после хирургических вмешательств.
Существуют также случаи, когда синостоз не является патологическим состоянием, а представляет собой нормальный физиологический процесс, приводящий к сращению костных элементов в процессе роста.
Врачи подчеркивают важность ранней диагностики синостоза костей, так как это состояние может привести к серьезным нарушениям в развитии скелета и функциональности суставов. Основные методы диагностики включают рентгенографию, компьютерную томографию и магнитно-резонансную томографию, которые позволяют точно определить степень и локализацию сращения костей. Специалисты отмечают, что своевременное выявление проблемы способствует более эффективному лечению.
Лечение синостоза обычно хирургическое, и его цель — восстановление нормальной анатомии и функции. Врачи рекомендуют проводить операции в раннем возрасте, когда кости еще поддаются коррекции. После хирургического вмешательства важно проводить реабилитацию, чтобы обеспечить правильное восстановление и избежать рецидивов. В целом, комплексный подход к диагностике и лечению синостоза костей позволяет значительно улучшить качество жизни пациентов.
https://youtube.com/watch?v=bRwNTPEnQ8E
Разновидности патологии
Естественное сращение костей скелета, происходящее в процессе роста человека, называется физиологическим синостозом. В раннем детском возрасте, включая период внутриутробного развития, сначала формируются хрящевые структуры, которые затем заменяются костной тканью.
На третьем месяце беременности у эмбрионов начинается окостенение трубчатых костей, а у детей до года закрываются сагиттальные швы родничка.
У некоторых людей наблюдается метопический шов, делящий лобную кость на две части. При ускоренном росте лобные доли мозга могут давить на черепные кости. Это может указывать на миопизм как у детей, так и у взрослых, что приводит к деформации черепа.
В период роста с 5 до 14 лет постепенно окостеневают различные части скелета. До 20 лет костные волокна заменяют лопатки и верхние конечности. К 23-24 годам завершается остеогенез нижних конечностей, включая тазобедренные и берцовые кости, а также стопы. К 25 годам формируется грудная часть скелета, позвоночник и ключицы.
Анатомический синостоз может возникать из-за эндокринных нарушений, приводящих к замедлению или ускорению роста костной ткани. Аномальное формирование скелета может привести к состояниям, таким как карликовость, болезнь Бланта, болезнь Кашина–Бека, инфантильность и другим.
Врожденные аномалии костной системы, проявляющиеся в неестественном сращении костей, чаще всего возникают из-за гипоплазии или аплазии у плода, что может привести к недоразвитию или отсутствию внутренних органов.
Врожденное сращение чаще всего наблюдается в лучелоктевых костях, запястьях, фалангах пальцев, ногах или ребрах. К таким патологиям относится коронарный синостоз — преждевременное закрытие родничка. Изменение формы черепа зависит от типа краниосиностоза и от того, какие швы подверглись раннему сращению.
Аномалия, при которой блокируются отдельные сегменты позвоночного столба, может развиваться на фоне болезни Клиппеля–Фейля. Это состояние встречается крайне редко, и патологические изменения локализуются в грудном и шейном отделах позвоночника. У пациентов с этой аномалией наблюдается короткая и малоподвижная шея.
Это заболевание является изолированным и связано с наследственной предрасположенностью, передающейся по аутосомно-доминантному типу. Проявления могут включать расщепление костей позвоночника, а также скелетные аномалии, патологии почек и легких, заболевания сердечно-сосудистой системы. У людей в зрелом возрасте данная патология часто осложняется спондилезом.
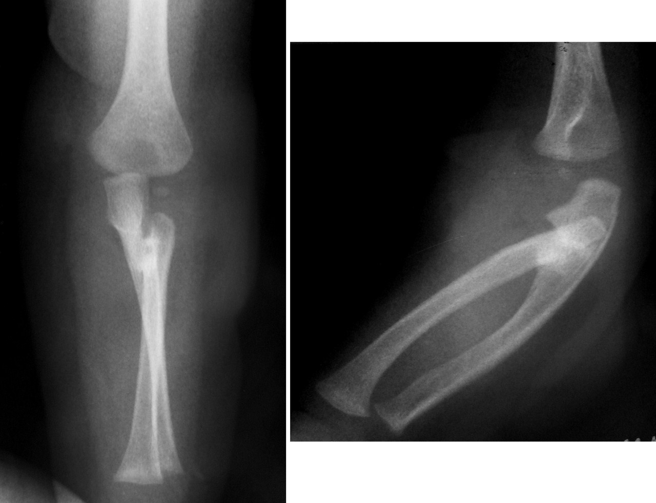
Посттравматический плечелучевой синостоз характеризуется сращением близко расположенных костей после травмы. При этом повреждаются надкостница, эпифизарный хрящ и губчатое вещество.
Патогенез соединения костной ткани объясняется физиологией процесса костеобразования, который происходит после переломов или травм, связанных с хирургическим вмешательством.
На практике чаще всего сращение наблюдается между костями голени, предплечья и сегментами позвоночника. Блокировка отдельных позвонков возникает из-за окостенения связок, вызванного краевыми переломами, вывихами или подвывихами. Локтевой и лучевой синостоз развиваются в результате сближения поврежденных костей в проблемной области, что также может происходить при вовлечении малоберцовой и большеберцовой костей.
Хирургическое синостезирование применяется, когда вмешательство в области повреждения может привести к некрозу, отмиранию мягких тканей и активному воспалению.
Искусственный синостоз создается для проведения дальнейших хирургических операций с целью устранения врожденных дефектов или коррекции посттравматических состояний.
| Метод диагностики | Признаки синостоза на диагностике | Способы лечения |
|---|---|---|
| Рентгенография | Слияние костей, отсутствие суставной щели, деформация костей | Консервативная терапия (физиотерапия, медикаментозное лечение), хирургическое вмешательство (остеотомия, артродез) |
| КТ (компьютерная томография) | Детальная визуализация костной структуры, определение степени синостоза, оценка окружающих тканей | Выбор метода лечения в зависимости от степени синостоза и его локализации |
| МРТ (магнитно-резонансная томография) | Оценка мягких тканей, выявление воспалительных процессов, определение степени ограничения подвижности | Планирование хирургического вмешательства, оценка эффективности лечения |
| Клинический осмотр | Ограничение подвижности в суставе, деформация конечностей, боль, нарушение функции | Определение показаний к лечению, оценка результатов лечения |
| Физикальное обследование | Пальпация, измерение длины конечностей, оценка мышечной силы | Определение степени функционального нарушения, планирование реабилитации |
Диагностика
Диагностика заболевания основывается на яркой клинической картине, характерной для пациентов с данным диагнозом. Важно выявить дефект и определить симптомы через тщательный опрос и физикальное обследование затронутых участков.
Врач должен собрать полную информацию о заболевании и его течении.
Лабораторные исследования при синостозе не проводятся, так как они не имеют диагностической ценности.
Для уточнения диагноза применяются инструментальные методы исследования:
- рентгенография различных отделов позвоночника, малого таза, черепа, ребер, локтевого сустава и костей предплечья;
- УЗИ, КТ и МРТ.
Эти вопросы решают ортопед и травматолог. В некоторых случаях может потребоваться консультация кардиолога, эндокринолога, невролога или хирурга.
Диагностика синостоза костей вызывает много обсуждений среди медицинских специалистов и пациентов. Многие отмечают, что раннее выявление этого состояния играет ключевую роль в успешном лечении. Современные методы диагностики, такие как рентгенография и МРТ, позволяют точно определить степень сращения костей и его влияние на развитие ребенка.
Люди делятся опытом, что хирургическое вмешательство часто становится необходимым для коррекции деформаций и предотвращения осложнений. Однако, не все пациенты готовы к операции, и некоторые предпочитают консервативные методы, такие как физиотерапия и ортопедические устройства. Важно, чтобы каждый случай рассматривался индивидуально, и выбор метода лечения основывался на рекомендациях специалистов. Обсуждения на форумах подчеркивают, что поддержка со стороны врачей и близких играет важную роль в процессе лечения и реабилитации.
https://youtube.com/watch?v=o4CWSnoDLKM
Методы лечения
Терапевтический подход к лечению синостоза зависит от типа заболевания, особенностей его течения, степени запущенности и наличия сопутствующих заболеваний.
При лучелоктевой патологии и сращивании костей предплечья применяются гипсовые повязки, лечебный массаж и физкультура.
Пациентам с таким диагнозом может быть рекомендована операция для удаления избыточной костной ткани и коррекции дефектов. Перед хирургическим вмешательством обязательно проводится курс медикаментозной терапии, который длится десять месяцев.
Лечение синостоза черепа осуществляется с помощью хирургического вмешательства, которое желательно проводить в раннем детском возрасте. Деформации копчика и позвоночника корректируются массажем, лечебной физкультурой, физиотерапией и анальгетиками.
При лечении синостоза ребер легкой и средней степени тяжести применяются общеукрепляющие методы. В случаях выраженной деформации показано хирургическое вмешательство.
Заключение
Это заболевание представляет собой серьезную проблему для лечения. Однако, если вовремя предпринять необходимые шаги, шансы на выздоровление значительно возрастают. Хирургические вмешательства и регулярные занятия лечебной физкультурой могут привести к полному восстановлению затронутых участков.
Конечный результат во многом зависит от уровня деформационных изменений.
Игнорирование лечения может привести к потере трудоспособности пациента.
https://youtube.com/watch?v=ulweGseuJC0
Вопрос-ответ
Каковы причины, симптомы, диагностика и лечение сращения локтевой и лучевой костей?
Синостоз костей предплечья или радиоульнарный синостоз – врожденное патологическое сращение локтевой и лучевой кости. Может образовываться на любом участке предплечья, однако чаще всего выявляются синостозы в проксимальном отделе. Длина участка сращения может варьировать от 1 до 12 см.
Что означает синостоз?
Синостоз — патологическое или физиологическое непрерывное соединение костей костной ткани. В медицине обычно говорят о патологическом сращении костей. Рассмотрим основные причины развития патологии, методы диагностики и лечения.
Что такое посттравматический синостоз?
Посттравматический синостоз — это сращение расположенных рядом костей вследствие повреждения костной ткани, эпифизарного хряща или надкостницы. Чаще всего выявляется синостоз между костями голени, костями предплечья и соседними позвонками.
Советы
СОВЕТ №1
Обратите внимание на ранние симптомы синостоза, такие как аномалии формы черепа или ограниченная подвижность суставов. Если вы заметили что-то необычное у ребенка, не откладывайте визит к врачу для диагностики.
СОВЕТ №2
Регулярно проходите медицинские осмотры, особенно если в вашей семье есть случаи синостоза. Это поможет выявить возможные проблемы на ранней стадии и начать лечение вовремя.
СОВЕТ №3
Изучите доступные методы лечения синостоза, включая хирургические и нехирургические подходы. Обсудите с врачом, какой вариант будет наиболее подходящим в вашем случае, учитывая возраст и состояние пациента.
СОВЕТ №4
Поддерживайте связь с сообществами и группами поддержки для семей, сталкивающихся с синостозом. Это может помочь вам получить полезную информацию и моральную поддержку от людей, которые прошли через аналогичные ситуации.



