Подробная классификация
Лордоз шейного отдела позвоночника — это специфическое положение позвонков, при котором они образуют дугу. В норме угол этой дуги не должен превышать 40°. Для лучшего понимания патологии можно ознакомиться с фотографиями. Искривление позвоночника в этой области считается физиологическим изгибом. Лордоз также встречается в поясничном отделе. Искривление наружу в других частях позвоночника уже является патологией. Физиологический изгиб шейного отдела может стать патологическим в двух случаях:
- при сглаживании;
- при более выраженном искривлении.
В таких ситуациях требуется коррекция позвоночника. Что означает выпрямление лордоза? Прямой участок шейного отдела позвоночника — следствие остеохондроза, одной из самых распространенных причин. Это состояние называется гиполордозом. Угол искривления дуги при этом значительно уменьшается. Если не принять меры для остановки прогрессирования патологии, сглаженность шейного лордоза может перерасти в кифоз, что подразумевает искривление назад.
Если угол вогнутости позвоночного столба увеличивается, это указывает на развитие гиперлордоза. В этом случае изгиб становится более выраженным. В самых тяжелых случаях патологию можно заметить визуально. Лордоз шеи делится на два типа:
- первичный;
- вторичный.
Первичный лордоз возникает в результате дегенеративных процессов в хрящевых и костных тканях позвоночника. Эта форма может проявляться при образовании опухолей, как доброкачественных, так и злокачественных, вблизи позвонков. Вторичный лордоз является следствием воздействия внешних факторов, таких как травмы.
Также выделяют две дополнительные категории данной патологии: врожденную и приобретенную. Врожденный лордоз формируется на этапе развития опорно-двигательного аппарата внутриутробно или может быть следствием родовой травмы. Приобретенная форма возникает из-за обострения дегенеративных процессов в костных и хрящевых тканях, а также из-за низкого тонуса мышц и других факторов.
Лордоз шейного отдела позвоночника представляет собой естественный изгиб, который помогает поддерживать баланс головы и распределять нагрузку на позвоночник. Врачи отмечают, что правильный лордоз способствует нормальному функционированию нервной системы и предотвращает развитие различных заболеваний. Однако, при избыточном или недостаточном изгибе могут возникать проблемы, такие как боли в шее, головные боли и даже нарушения кровообращения. Специалисты подчеркивают важность поддержания правильной осанки и регулярной физической активности для предотвращения патологий шейного лордоза. В случае возникновения дискомфорта рекомендуется обратиться к врачу для диагностики и назначения соответствующего лечения.
https://youtube.com/watch?v=P1LOxYoKFVE
Причины развития патологии
Для лечения выпрямления шейного лордоза или гиперлордоза необходимо устранить факторы, способствующие развитию этих нарушений. К причинам патологии относятся:
- дегенеративные и дистрофические изменения в костных и хрящевых тканях, приводящие к симптомам различных заболеваний: остеохондроз, болезнь Бехтерева, ревматоидный артрит, радикулит и спондилит шейного отдела позвоночника;
- межпозвонковые грыжи и предшествующие им состояния, известные как протрузии;
- ослабление тонуса мышц, поддерживающих позвоночник;
- длительные мышечные спазмы;
- воспалительные процессы в тканях, окружающих позвонки;
- травмы: вывихи, переломы, ушибы;
- компенсаторные изменения позвоночника, возникающие при искривлении других его отделов, что может привести к усилению физиологического изгиба шеи или сглаживанию лордоза;
- доброкачественные или злокачественные новообразования, расположенные вблизи позвоночника или во внутренних органах.
Дополнительные факторы, влияющие на изгиб шейного отдела позвоночника:
- врожденные аномалии позвонков;
- резкий скачок роста, часто наблюдаемый в процессе формирования опорно-двигательного аппарата в детском или подростковом возрасте;
- недостаточная физическая активность или чрезмерные нагрузки;
- сидячая работа или длительное пребывание в одной позе;
- нарушения осанки;
- избыточный вес;
- метаболические расстройства и заболевания, возникающие в результате этого: патологии щитовидной железы, сахарный диабет;
- злоупотребление алкоголем и курение.
| Симптом | Возможная причина лордоза шейного отдела позвоночника | Рекомендации |
|---|---|---|
| Боль в шее, отдающая в плечи и руки | Плохая осанка, длительное сидение за компьютером, травма, врожденные аномалии, остеохондроз | Физиотерапия, упражнения на укрепление мышц шеи и спины, коррекция осанки, эргономичное рабочее место, в некоторых случаях – медикаментозное лечение |
| Ограничение подвижности шеи | Мышечные спазмы, воспаление, артрит, остеофиты | Лечебная физкультура, мануальная терапия, противовоспалительные препараты |
| Головная боль | Напряжение мышц шеи, компрессия нервных корешков | Релаксационные техники, массаж, лечение основной причины |
| Онемение и покалывание в руках | Компрессия нервных корешков | Физиотерапия, в некоторых случаях – оперативное вмешательство |
| Шейный гиперлордоз (увеличение изгиба) | Врожденные аномалии, неправильная осанка, ожирение | Коррекция осанки, упражнения, похудение |
| Сглаженный шейный лордоз (уменьшение изгиба) | Мышечная слабость, остеохондроз, спондилез | Укрепление мышц, физиотерапия |
Осложнения
Из-за близости к головному мозгу изменения в положении шейных позвонков могут вызвать серьезные последствия для здоровья и жизни:
- увеличение внутричерепного давления;
- ухудшение слуха и зрения;
- потеря чувствительности в руках и возможная частичная утрата подвижности;
- нестабильность позвонков, что может привести к избыточной подвижности;
- воспалительные процессы в мышцах;
- развитие деформирующего артроза суставов позвоночника;
- смещение или выпадение межпозвонковых дисков, что может привести к грыже.
Лордоз шейного отдела позвоночника — это естественный изгиб, который помогает поддерживать правильную осанку и распределять нагрузку на позвоночник. Многие люди не задумываются о его значении, пока не столкнутся с проблемами, связанными с шеей. Врачебные рекомендации часто акцентируют внимание на важности поддержания нормального лордоза для предотвращения болей и дискомфорта. Некоторые пациенты отмечают, что избыточный лордоз может вызывать головные боли и усталость, особенно при длительной работе за компьютером. Специалисты советуют заниматься физической активностью и выполнять упражнения для укрепления мышц шеи и спины. Важно помнить, что правильная осанка и забота о позвоночнике — залог здоровья на долгие годы.
https://youtube.com/watch?v=2CdpmNd0ZGc
Симптомы
Нарушения в шейном отделе могут привести к различным осложнениям. При патологическом лордозе в этой зоне могут проявляться следующие симптомы:
- дискомфорт в шее, который со временем может перерасти в боли различной интенсивности;
- ограничение подвижности шеи и рук;
- при увеличении кривизны дуги возникают трудности с глотанием, возможны изменения голоса, а со временем может наблюдаться затруднение дыхания;
- шум в ушах, головокружение и головные боли;
- хроническая усталость, быстрая утомляемость и ухудшение памяти;
- снижение аппетита;
- периодическая тошнота;
- повышение артериального давления и аритмия;
- слабость в руках.
Также можно заметить изменения внешнего вида. При лордозе череп располагается низко, голова может выглядеть неестественно выдвинутой вперед, а увеличение кривизны дуги становится заметным невооруженным глазом. Шейный отдел позвоночника сильно искривлен вперед. По этим признакам врач может заподозрить наличие лордоза.
Диагностика
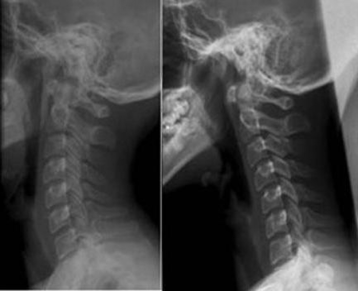
Для подтверждения диагноза проводят рентгенографию. Этот метод позволяет определить степень искривления или выпрямления шейного отдела позвоночника.
Рентгенографию выполняют в двух проекциях. Также могут быть назначены компьютерная томография (КТ) или магнитно-резонансная томография (МРТ). На основе полученных данных оценивается состояние мягких и твердых тканей. Защемление нервов или кровеносных сосудов, а также другие патологические изменения можно выявить на ранних стадиях.
https://youtube.com/watch?v=qeq7oD3wFX0
Лечебные меры
Для устранения дефекта рекомендуется сочетание медикаментозного лечения с дополнительными методами, такими как лечебная физкультура, массаж, физиотерапия и мануальная терапия.
Применение лекарств должно осуществляться только по назначению врача.
Выбор медикаментов и их дозировка зависят от состояния пациента. При выраженном лордозе шейного отдела требуется комплексная медикаментозная терапия.
Врач может назначить:
- Обезболивающие средства.
- Нестероидные противовоспалительные препараты, обладающие анальгезирующим эффектом. Эти лекарства рекомендуются при воспалительных процессах в тканях, окружающих позвоночник.
- Кортикостероиды. Их нельзя использовать длительное время; они назначаются в тяжелых случаях, когда нестероидные противовоспалительные средства не дают нужного результата. Кортикостероиды могут вызывать побочные эффекты, поэтому их следует принимать с осторожностью и под контролем врача. При ухудшении состояния их применение прекращается.
- Мышечные релаксанты — применяются для снятия мышечных спазмов.
Лекарства обычно принимаются в форме таблеток. При сильных симптомах могут быть рекомендованы инъекции. Консервативное лечение патологического лордоза шеи является временной мерой. С помощью медикаментов можно облегчить симптомы, но причина заболевания остается нерешенной.
Рекомендуется обратиться к ортопеду, который сможет определить причину лордоза.
Если причиной являются дегенеративно-дистрофические изменения, назначается вспомогательная терапия, направленная на восстановление мягких и твердых тканей позвоночника. Если лордоз вызван недостатком или избытком физической активности, его лечение может включать:
- Лечебную физкультуру;
- Массаж с акцентом на область плеч и шейно-воротниковую зону;
- Физиотерапию: электрофорез, иглоукалывание, прогревание ультразвуком, магнитотерапию.
Плавание также может быть полезным при лечении патологического лордоза. Рекомендуется подводное вытяжение позвоночника в области шеи. Важно пересмотреть режим дня. Пациенту следует следить за осанкой и делать перерывы, если работа связана с длительным сидением или интенсивными физическими нагрузками. Прогулки на свежем воздухе и умеренные занятия спортом также полезны при лордозе. Необходимо обеспечить себе ортопедический матрас и подушку для сна, что поможет предотвратить дальнейшее развитие патологии.
Лечение гиперлордоза
При выраженном дефекте рекомендуется использовать шейный воротник. Он помогает правильно позиционировать шею и способствует мягкому, постепенному вытягиванию позвонков.
В серьезных случаях дефект корректируется хирургическим вмешательством. Этот метод предпочтителен при врожденном лордозе. Для нормализации искривления шейного отдела позвоночника устанавливаются скобы, пластины или штыри.
После операции требуется длительное восстановление. Процесс коррекции патологии также занимает много времени и часто требует медикаментозного лечения.
Лечение направлено на устранение симптомов, таких как боль, ограниченная подвижность и потеря чувствительности. Кроме того, медикаменты помогают замедлить развитие дегенеративно-дистрофических изменений в тканях. После устранения основных признаков воспаления и болевых ощущений можно приступать к восстановительной терапии, включая лечебную физкультуру, массаж и другие процедуры.
Профилактические меры
Если вам удалось обратить вспять развитие патологии, следуйте нескольким рекомендациям:
- Контролируйте вес, особенно если причиной лордоза шеи стало избыточное тело.
- Питание должно быть сбалансированным. Исключите продукты с консервантами, усилителями вкуса, а также соленые, острые и жирные блюда.
- Минимизируйте потребление алкоголя и, по возможности, откажитесь от курения.
- Занимайтесь плаванием, спортивной ходьбой, бегом, велопрогулками или туризмом, но помните о необходимости умеренных нагрузок.
- Если ваша работа связана с длительным сидением, делайте пятиминутные перерывы каждый час: вставайте, прогуливайтесь и выполняйте простые упражнения.
- Поддерживайте тонус мышц шеи, занимаясь йогой, фитнесом или аэробикой.
- Следите за осанкой: выполняйте простые упражнения, например, ходите с книгой на голове, при этом позвоночник должен находиться в правильном положении.
- Обратите внимание на качество сна: откажитесь от мягкого матраса и подушки, спите на жесткой поверхности, чтобы позвоночник мог занять естественное положение.
Эти рекомендации актуальны для всех, даже если нет признаков патологического лордоза шеи. Если вы уже сталкивались с этой проблемой и смогли ее устранить, профилактические меры в период восстановления после лечения помогут предотвратить повторное возникновение патологии. Все перечисленные действия должны стать частью вашего повседневного режима.
Вопрос-ответ
Можно ли вылечить лордоз шеи?
Патологический лордоз поддается коррекции, но для этого требуется длительная комплексная терапия. Специалисты центра Бубновского уже много лет успешно используют метод кинезитерапии в лечении и профилактике болезней позвоночника.
Чем опасен шейный лордоз?
В норме шейный отдел имеет небольшой лордоз, обеспечивающий амортизацию и поддержание головы в нужном положении. Однако, когда этот изгиб становится чрезмерным, он нарушает биомеханику позвоночного столба, перегружает мышцы шеи и спины.
Что болит при шейном лордозе?
Боль в шее: один из наиболее частых симптомов лордоза. Боль может быть острой или хронической, иногда она распространяется на плечи и верхнюю часть спины. Головные боли: из-за напряжения мышц шеи могут возникать головные боли, усиливающиеся при длительном нахождении в одной позе или физической нагрузке.
Советы
СОВЕТ №1
Регулярно выполняйте упражнения для укрепления мышц шеи и спины. Это поможет поддерживать правильную осанку и снизить риск развития лордоза шейного отдела позвоночника.
СОВЕТ №2
Следите за своей осанкой, особенно при длительном сидении за компьютером или при использовании мобильных устройств. Используйте эргономичную мебель и делайте перерывы для разминки.
СОВЕТ №3
Обратитесь к врачу или физиотерапевту при первых признаках дискомфорта в шейном отделе. Раннее выявление и лечение проблем с позвоночником могут предотвратить серьезные осложнения.






