Причины возникновения патологии
Причины возникновения новообразований остаются неясными. Однако можно выделить несколько факторов, способствующих их развитию:
- генетическая предрасположенность;
- возраст — заболевание чаще встречается у молодежи и реже у людей среднего возраста;
- травмы;
- частые переломы;
- воспалительные заболевания костной ткани;
- нарушения в процессе окостенения, наблюдаемые у плода или у детей в первые годы жизни.
Хондрома представляет собой доброкачественную опухоль, возникающую из хрящевой ткани. Врачи отмечают, что она чаще всего встречается у молодых людей и может локализоваться в различных частях тела, включая кости и мягкие ткани. Симптомы хондромы могут варьироваться от отсутствия проявлений до болей и ограниченной подвижности в пораженной области.
Для диагностики хондромы используются рентгенография, МРТ и КТ, что позволяет точно определить ее размер и расположение. Врачи подчеркивают, что в большинстве случаев хондрома не требует активного лечения, если не вызывает дискомфорта. Однако, если опухоль растет или вызывает симптомы, может потребоваться хирургическое вмешательство для ее удаления.
Важно, чтобы пациенты регулярно проходили обследования и консультировались с врачами, чтобы контролировать состояние и избежать возможных осложнений. В целом, при своевременной диагностике и правильном подходе к лечению, прогноз для пациентов с хондромой обычно благоприятный.
https://youtube.com/watch?v=Vv5K1MNGn2E
Локализация и характерная симптоматика
Хондрома характеризуется медленным прогрессированием и отсутствием болевых ощущений. Однако в определенных условиях и при особенностях расположения существует вероятность её трансформации в злокачественную опухоль. Неправильное удаление новообразования может привести к рецидиву.
В зависимости от расположения нароста относительно поверхности кости выделяют:
- Экхондрому.
- Энхондрому.
Экхондрома растет наружу, в сторону мягких тканей. Это небольшое образование может поражать ребра, позвоночник и тазовые кости. Энхондрома формируется внутри костей, и при увеличении хрящевой ткани может привести к деформации кости.
Симптоматика обычно не ярко выражена, и проявления зависят от места локализации опухоли. Если хондрома образуется в области носа или трахеи, симптомы могут проявиться раньше. Это связано с тем, что опухоль растет и сжимает окружающие ткани, что приводит к затруднению дыхания и болевым ощущениям.
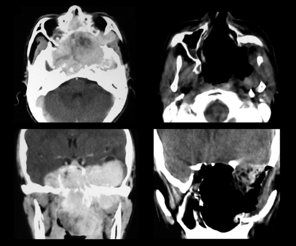
При расположении образования у основания черепа возможно сжатие головного мозга, что вызывает выраженные симптомы:
- частые головокружения;
- потеря сознания;
- головные боли;
- судороги;
- хрящевая опухоль в суставе.
Если опухоль находится в области коленного сустава, локтя или других суставов, это может вызывать болезненные ощущения, дискомфорт и нарушение координации движений. При появлении таких симптомов пациенты часто обращаются к врачу с подозрением на артрит.
Хондрома стопы или кисти, как правило, не вызывает болей, и её можно заметить визуально: происходит деформация ноги или руки. Боль может возникать из-за давления образования на нервные волокна.
Опухоль ребер или грудины может оставаться незамеченной в течение нескольких лет, не вызывая болевых ощущений. Пациенты обращаются за помощью, когда на грудине появляется уплотнение. Если образование прорастает внутрь, это может вызвать боли при движении и дыхании. Новообразование в ушной раковине встречается реже и, как правило, у молодых людей до 20 лет. В некоторых случаях опухоль может увеличиваться и вызывать дискомфорт.
У некоторых людей может развиваться хондроматоз — патологический процесс, при котором синовиальная оболочка сустава перерождается в хрящевую ткань. В тяжелых случаях возможно окостенение измененной ткани. Заболевание, как правило, наблюдается только в одном суставе, в то время как поражение нескольких суставов одновременно встречается редко.
| Характеристика | Описание хондромы | Методы лечения |
|---|---|---|
| Тип опухоли | Доброкачественная опухоль хрящевой ткани | |
| Локализация | Чаще всего в костях рук и ног, реже – в костях таза, ребрах, позвонках | |
| Симптомы | Безболезненное образование, может вызывать боль при увеличении размера или сдавливании нервов | |
| Диагностика | Рентгенография, КТ, МРТ, биопсия | |
| Лечение – наблюдение | При небольших размерах и отсутствии симптомов | Регулярные обследования (рентген) для мониторинга роста опухоли |
| Лечение – хирургическое вмешательство | При увеличении размера, боли, сдавливании нервов или сосудов, подозрении на злокачественное перерождение | Полное удаление опухоли с последующим гистологическим исследованием |
| Лечение – другие методы | В редких случаях – лучевая терапия (при противопоказаниях к хирургическому вмешательству) | |
| Прогноз | Благоприятный при своевременном лечении | |
| Возможные осложнения | Перелом кости в месте локализации хондромы, злокачественное перерождение (крайне редко) |
Диагностика
Диагностические процедуры для определения данной патологии включают:
- визуальный осмотр;
- рентгенографию;
- сцинтиграфию;
- биопсию;
- ультразвуковое исследование;
- гистологическое исследование.
Гистологическое исследование выполняется после хирургического вмешательства для подтверждения диагноза. Если выявлена экхондрома, помимо рентгенографии и других методов, могут быть назначены магнитно-резонансная томография или компьютерная томография.
Хондрома — это доброкачественная опухоль, образующаяся из хрящевой ткани, чаще всего в области суставов или костей. Многие люди, столкнувшиеся с этой проблемой, отмечают, что симптомы могут варьироваться от легкой боли до значительного дискомфорта при движении. Важно понимать, что хондрома, как правило, не вызывает серьезных осложнений, но требует внимательного наблюдения.
Мнения о методах лечения хондромы разделяются. Некоторые пациенты предпочитают консервативные методы, такие как физиотерапия и медикаментозное лечение, чтобы облегчить симптомы. Другие же выбирают хирургическое вмешательство, особенно если опухоль вызывает значительные проблемы с подвижностью или болевыми ощущениями. Важно проконсультироваться с врачом, чтобы выбрать оптимальный подход, учитывая индивидуальные особенности организма и стадию заболевания. Регулярные обследования помогут контролировать состояние и предотвратить возможные осложнения.
https://youtube.com/watch?v=jqgL6_qVXMw
Методы лечения
Лечение осуществляется хирургическим вмешательством в специализированных медицинских учреждениях. При диагностике рака операция проводится в онкологической клинике.
Методика операции и объем вмешательства зависят от расположения образования и его влияния на соседние органы.
Если хрящевик находится на запястье или стопе, его удаляют частично. После этого может быть проведена пластика тканей для восстановления дефекта.
При локализации образования на удлиненных трубчатых костях, таких как ключица, грудина или большеберцовая кость, его удаляют полностью. Операция выполняется аналогично удалению раковой опухоли из-за риска перерождения образования в злокачественное.
Удаление нароста в области основания черепа учитывает его расположение, влияние на окружающие ткани, наличие сопутствующих заболеваний, состояние пациента и вероятность осложнений. В некоторых случаях может потребоваться трепанация черепа или малоинвазивная операция с использованием эндоскопа, который вводится через носовой проход. Также может быть назначена лучевая терапия для уменьшения размера хрящевого новообразования перед операцией.
Часто лучевая терапия становится основным методом лечения опухолей черепа, особенно при противопоказаниях к хирургическому вмешательству. После операции может быть назначена лучевая терапия для уничтожения оставшихся раковых клеток. Стереотаксическая хирургия включает воздействие на хрящевой нарост с помощью радиационного луча. Радионож используется для удаления труднодоступных опухолей черепа и шеи, когда стандартная операция может быть рискованной из-за возможности повреждения крупных сосудов, нервной ткани или в случае тяжелого состояния пациента.
Заключение
Чтобы предотвратить осложнения, при первых симптомах заболевания важно пройти медицинское обследование. Специалисты проведут необходимые диагностические процедуры и на основе их результатов определят подходящее лечение, учитывая тип и расположение новообразования.
Терапию следует начинать как можно раньше, чтобы избежать озлокачествления и развития хондросаркомы. Лечение проводится в стационаре. Прогноз при адекватном и своевременном лечении обычно положительный. После завершения терапии необходим регулярный мониторинг состояния пациента. Важно, чтобы больной придерживался здорового образа жизни, гулял на свежем воздухе, избегал курения и не злоупотреблял алкоголем.
https://youtube.com/watch?v=bRwNTPEnQ8E
Вопрос-ответ
Можно ли вылечить хондрому?
Лечится хондрома только хирургическим путем. Хондрома возникает у взрослых пациентов реже, чем у детей: основной пик приходится на возраст от 12 до 16 лет. В группе риска молодые люди до 30 лет.
Хондрома причина возникновения?
Причины возникновения хондромы. Основные причины развития хондром до сих пор не до конца изучены. Как и многие другие доброкачественные опухоли, хондрома может развиваться вследствие генетических мутаций или нарушений в процессах клеточного деления хрящевой ткани.
Какой врач лечит хондрому?
Лечением хондром занимается ортопед-травматолог. В зависимости от локализации опухоли могут понадобиться консультации невролога, онколога.
Сколько стоит удалить хондрому?
Удаление экзостоза, хондромы (большого костного) – 14000 руб.
Советы
СОВЕТ №1
Обратитесь к врачу для точной диагностики. Хондрома может проявляться различными симптомами, и только специалист сможет провести необходимые исследования, такие как рентген или МРТ, чтобы подтвердить наличие опухоли и определить ее характер.
СОВЕТ №2
Не игнорируйте симптомы. Если вы заметили боль, отек или ограничение подвижности в области, где может находиться хондрома, не откладывайте визит к врачу. Раннее обращение за медицинской помощью может предотвратить осложнения.
СОВЕТ №3
Изучите варианты лечения. В зависимости от размера и расположения хондромы, врач может предложить различные методы лечения, включая наблюдение, хирургическое удаление или другие терапевтические подходы. Обсудите все возможные варианты и выберите наиболее подходящий для вас.
СОВЕТ №4
Следите за своим состоянием после лечения. После удаления хондромы важно регулярно проходить контрольные обследования, чтобы убедиться, что опухоль не возвращается и нет никаких осложнений. Это поможет сохранить ваше здоровье и предотвратить повторное возникновение проблемы.


