Показания к назначению
Рентгенография как метод диагностики
Рентгенография используется для определения характера повреждений и выявления заболеваний суставов. Исследование назначается при травмах локтевой кости или сустава, а также при симптомах, указывающих на патологии опорно-двигательного аппарата в этой области.
Рентгеновское обследование выполняется при подозрении на следующие заболевания локтевого сустава:
- травмы (переломы, подвывихи, вывихи);
- дегенеративно-воспалительные процессы (артрит, артроз, хондроматоз, бурсит, эпикондилит);
- новообразования (злокачественные и доброкачественные).
Среди симптомов, указывающих на нарушения, выделяются:
- ограничение подвижности в суставе по сравнению со здоровым локтем;
- повышение температуры в пораженной области;
- болевые ощущения в районе локтевого сустава;
- отклонение кисти от продольной оси относительно локтевой и лучевой костей;
- покраснение, синюшность и отечность кожи в области локтя.
Решение о направлении на рентгенологическое исследование принимает врач, основываясь на наличии показаний у пациента.
Если повреждены только мягкие ткани, рентгенография оказывается неэффективной. В таких случаях рекомендуется ультразвуковое исследование или компьютерная томография. В качестве дополнительного метода может быть назначена артроскопия.
Рентгенограмма локтевого сустава является важным инструментом в диагностике различных заболеваний и травм. Врачи отмечают, что этот метод позволяет визуализировать костные структуры, выявлять переломы, вывихи и другие повреждения. На снимках можно увидеть изменения в суставных поверхностях, которые могут указывать на артрит или остеоартроз. Специалисты также подчеркивают, что рентген помогает оценить состояние мягких тканей, хотя для более детального изучения может потребоваться МРТ или УЗИ. Важно, что правильная интерпретация рентгенограмм требует опыта и знаний, так как некоторые патологии могут быть неочевидны на первых снимках. Таким образом, рентгенография является незаменимым этапом в диагностическом процессе, позволяя врачам принимать обоснованные решения о дальнейшем лечении.
https://youtube.com/watch?v=HRihqcylkLo
Как проходит диагностика
Существует два метода рентгенологического исследования локтевого сустава: цифровой и аналоговый. Цифровой метод позволяет выводить изображение на экран компьютера, что дает возможность делать множество снимков и сохранять их на устройстве или носителе. Этот способ также обеспечивает меньшую дозу облучения для пациента, что является его значительным преимуществом. Аналоговый метод требует использования специальной пленки, которую необходимо проявлять.
Подготовка к процедуре не требуется. Пациент садится и размещает руку на столе по указаниям рентгенолога. Важно, чтобы конечность оставалась неподвижной во время съемки. Для этого могут использоваться вспомогательные средства, такие как мешочки с песком. Пациент располагается боком к столу в сидячем положении, хотя в некоторых случаях возможно проведение исследования в лежачем или стоячем положении.
Рентгенографию выполняют в трех позициях руки:
- Прямая проекция — пациент полностью выпрямляет и поднимает руку.
- Аксиальная — рука максимально согнута в суставе и прижата к задней поверхности плеча.
- Боковая — конечность поднята и согнута в локте под прямым углом.
Степень облучения зависит от качества используемого рентгенологического оборудования. Исследование проводится для всех категорий пациентов при наличии травм с целью уточнения диагноза. Если есть подозрения на заболевания локтевого сустава, детям и беременным женщинам рекомендуется заменить рентген на МРТ или УЗИ.
Если необходимо подтвердить наличие врожденных аномалий у детей, рентгенографию можно проводить с использованием защитных средств, которые закрывают половые органы, щитовидную железу и глаза, оставляя открытой только область исследования.
| Название рентгенологического признака | Описание признака на рентгенограмме | Возможные патологии/состояния |
|---|---|---|
| Сужение суставной щели | Уменьшение расстояния между суставными поверхностями костей | Остеоартроз, артрит, травма с повреждением хряща |
| Уширение суставной щели | Увеличение расстояния между суставными поверхностями костей | Ревматоидный артрит, синовит |
| Склероз суставных поверхностей | Увеличение плотности костной ткани в области суставных поверхностей | Остеоартроз, посттравматические изменения |
| Остеофиты | Костные разрастания по краям суставных поверхностей | Остеоартроз, деформирующий артроз |
| Переломы костей | Линии перелома, фрагментация кости | Травмы локтевого сустава |
| Вывихи | Смещение суставных поверхностей костей | Травмы локтевого сустава |
| Изменение структуры костной ткани | Очаги просветления или уплотнения костной ткани | Опухоли, инфекции, кисты |
| Кальцификаты | Отложения солей кальция в мягких тканях | Тендинит, кальцифицирующий тендовагинит |
| Анкилоз | Сращение суставных поверхностей | Посттравматические изменения, артриты |
| Деформация костей | Изменение формы костей | Врожденные аномалии, посттравматические изменения, артриты |
Что позволяет определить рентгенография
На рентгеновских снимках можно выявить различные повреждения, связанные с суставной патологией:
- отложения кальциевых солей в хрящевой и костной ткани;
- изменения структуры суставной поверхности;
- травматические повреждения костей;
- сужение суставной щели из-за разрастания костной ткани по краям хряща (образование костных наростов).
Рассмотрим характерные признаки отклонений, которые можно обнаружить с помощью рентгенологического исследования.
| Название патологии | Возможности исследования | Характерные признаки |
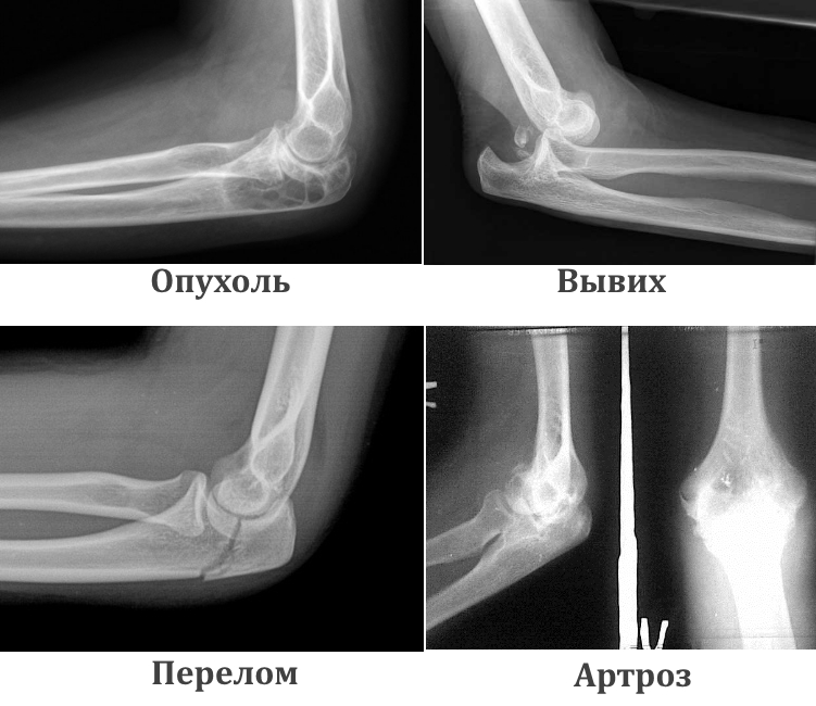
| Перелом | Позволяет определить тип перелома, его локализацию и степень сложности. | Кости отображаются как белые продолговатые структуры. Переломы выглядят как затемненные линии на костях. По типу линий различают поперечные, косые и винтообразные переломы. Наличие нескольких линий указывает на осколки. |
| Вывих | Выглядит как смещение предплечья относительно плечевой кости в местах соединения. | На снимке можно увидеть тип вывиха: наружный или внутренний. |
| Трещина | Крупные трещины хорошо видны, что позволяет точно определить место повреждения. Для выявления мелких трещин необходимо делать несколько прицельных снимков в разных проекциях. | Выглядит как темная линия, проходящая вдоль или поперек кости, но не пересекающая ее полностью. |
| Артроз и артрит | Обнаруживаются разрушения хрящевой ткани, изменения формы и размеров костей, образующих сустав. | Суставная щель может быть почти незаметна из-за разрастания костной ткани. Наблюдается воспаление синовиальной оболочки и ее отечность. Визуально можно заметить аномалии в соединении костей и изменения их структуры. |
| Синовит | Позволяет визуализировать воспаление оболочек локтевого сустава. | Определяет наличие жидкости в внутренних оболочках полости локтевого сустава. |
| Врожденные аномалии | Например, вывих головки лучевой кости. Исследование может быть дополнено КТ и МРТ. | Головка лучевой кости смещена и не находится в лучевой вырезке локтевой кости. |
| Нарушения обменных процессов | Позволяет выявить отложения кальция. | Лучевая и локтевая кости в области сустава имеют аномальную форму. На отдельных участках костей наблюдаются выпуклости и неровные контуры. |
На фото ниже представлены различные виды патологий локтевого сустава.
Рентгенограмма локтевого сустава — это важный инструмент в диагностике различных заболеваний и травм. Многие пациенты отмечают, что после проведения рентгена они получают ясное представление о состоянии своего сустава. Врачи, в свою очередь, подчеркивают, что рентген позволяет выявить переломы, вывихи, артриты и другие патологии. Люди часто делятся своими впечатлениями о том, как быстро и безболезненно проходит процедура. Некоторые отмечают, что благодаря рентгену удалось избежать более инвазивных методов диагностики. Однако есть и те, кто выражает беспокойство по поводу радиационного облучения, хотя современные аппараты минимизируют этот риск. В целом, рентгенограмма локтевого сустава воспринимается как надежный и информативный метод, который помогает в постановке точного диагноза и выборе правильного лечения.
https://youtube.com/watch?v=6ZY-fAWO92U
Заключение
Рентгенологическое обследование позволяет выявлять заболевания опорно-двигательного аппарата на ранних стадиях. Это особенно важно, поскольку на начальных этапах болезни симптомы могут быть слабо выражены или отсутствовать. Согласно статистике, лишь небольшой процент пациентов обращается к врачу с проблемами, связанными с локтем или болями в плече. Чаще всего люди приходят за помощью только при сильных болях.
Рентгенография помогает не только быстро поставить диагноз, но и выявить сопутствующие заболевания и возможные осложнения. Этот метод эффективно используется для мониторинга прогрессирования болезни и оценки эффективности лечения.
Вопрос-ответ
https://youtube.com/watch?v=amzG6WYxpjM
Что можно увидеть на рентгене локтевого сустава?
Рентген локтевого сустава позволяет выявить следующие патологические изменения: переломы и вывихи. Рентген является наиболее точным методом диагностики переломов и вывихов локтевого сустава. На снимке можно увидеть наличие перелома кости, его локализацию, степень смещения отломков, наличие или отсутствие вывиха.
Можно ли увидеть воспаление сустава на рентгене?
Рентген суставов и костей широко применяется для диагностики патологий этих структур. Это один из самых быстрых и информативных методов обследования. Рентгенографию применяют при подозрении на дегенеративные и воспалительные заболевания, а также при оценке последствий перенесенных травм.
Что такое рентген локтевых суставов?
Рентген локтевого сустава — это диагностическая процедура, которая позволяет получить изображение локтевого сустава и окружающих его структур. Этот метод используется для выявления различных заболеваний и повреждений сустава, таких как артрозы, артриты, переломы и вывихи.
Советы
СОВЕТ №1
Перед проведением рентгенографии локтевого сустава обязательно сообщите врачу о всех имеющихся у вас заболеваниях и аллергиях, особенно если вы принимаете какие-либо лекарства. Это поможет избежать возможных осложнений и обеспечит более точную интерпретацию результатов.
СОВЕТ №2
Если у вас есть возможность, возьмите с собой на рентгенограмму предыдущие снимки или медицинские документы, касающиеся вашего локтевого сустава. Это поможет врачу лучше понять вашу историю болезни и сделать более точные выводы.
СОВЕТ №3
Не забывайте, что рентгенография — это лишь один из методов диагностики. Если результаты снимков не дают четкого ответа на ваши вопросы, не стесняйтесь спрашивать врача о других возможных исследованиях, таких как МРТ или УЗИ, которые могут предоставить более детальную информацию о состоянии сустава.
СОВЕТ №4
После получения результатов рентгенографии обязательно обсудите их с врачом. Попросите объяснить, что именно показали снимки, и какие дальнейшие шаги необходимо предпринять для лечения или реабилитации вашего локтевого сустава.


