Механизм развития и стадии
В прошлом заболевание называли “болезнью второго скелета” или оссифицирующим миозитом. Однако недавние исследования показали, что эти термины не полностью отражают патологические изменения, происходящие при фибродисплазии оссифицирующего типа (ФОП).
Фибродисплазия изучается уже несколько столетий. Первые упоминания о пациентах с этим заболеванием относятся к 17 веку. Окостенение скелетных мышц начинается в первые дни жизни и распространяется сверху вниз, затрагивая на ранних стадиях шейный и грудной отделы. Окостенение может также затрагивать жевательные мышцы, что приводит к истощению пациентов и, в конечном итоге, к летальному исходу.
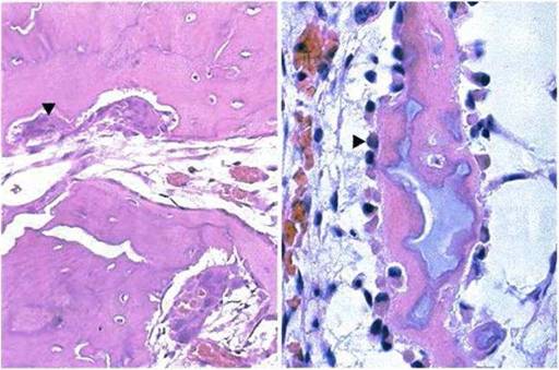
Скорость снижения двигательной активности не зависит от времени появления первых симптомов. Любой воспалительный процесс у человека с фибродисплазией может вызвать обострение и быстрое прогрессирование заболевания. Пораженные клетки проникают в мышечные ткани, ускоряя окостенение. В период дозревания образуются фиброзные волокна, формирующие бессосудистые уплотнения. Ткани, превращающиеся в хрящи, затем вступают в процесс окостенения.
Фибродисплазия проходит несколько стадий развития:
- Патологический процесс начинается с локального воспаления. По мере прогрессирования оно охватывает окружающие первичный очаг ткани.
- На следующей стадии формируются бессосудистые уплотнения, после чего начинается образование хрящей.
- Последней стадией является оссификация.
Болезнь Мюнхеймера может затрагивать различные отделы опорно-двигательного аппарата, и скорость окостенения в них варьируется. Патологические изменения при фибродисплазии напоминают процесс формирования костей у эмбриона, однако в этом случае отсутствует воспалительный процесс.
Эти признаки условны, поскольку биопсия у пациентов с фибродисплазией противопоказана.
Развитие оссифицирующей фибродисплазии представляет собой серьезную угрозу для здоровья пациентов. Врачи отмечают, что это редкое генетическое заболевание приводит к аномальному образованию костной ткани в мягких тканях, что может вызывать значительные ограничения в движении и функциональности. По мере прогрессирования болезни, пациенты сталкиваются с болевыми синдромами и деформациями, что значительно ухудшает качество жизни.
Медики подчеркивают, что ранняя диагностика и мониторинг состояния пациента имеют критическое значение. Невозможность предсказать, в каких участках тела произойдет оссификация, делает лечение сложным и требует индивидуального подхода. Врачи также предупреждают о рисках хирургического вмешательства, так как оно может спровоцировать дальнейшее развитие заболевания. Таким образом, оссифицирующая фибродисплазия требует комплексного подхода и внимательного наблюдения со стороны медицинских специалистов.
https://youtube.com/watch?v=1XIB2UPqTu0
Провоцирующие факторы
Причины окостенения мягких тканей пока не установлены, но эксперты продолжают исследовать этот вопрос. Не выявлено половых или расовых факторов, которые могли бы увеличить риск развития фибродисплазии.
Наследственность играет значительную роль. Оссифицирующий миозит — это распространенное заболевание с разнообразной активностью генов. В большинстве случаев оно наблюдается только у одного члена семьи, хотя существует вероятность его передачи от родителей к детям.
| Осложнение | Описание | Возможные последствия |
|---|---|---|
| Ограничение подвижности суставов | Прогрессирующее окостенение связок, сухожилий и мышц вокруг суставов приводит к их ригидности и уменьшению амплитуды движений. | Потеря функциональности конечностей, инвалидность, зависимость от посторонней помощи. |
| Деформация скелета | Неправильное формирование костей приводит к искривлению позвоночника, конечностей и других частей скелета. | Боль, трудности с передвижением, косметические дефекты, повышенный риск переломов. |
| Сдавление нервов и сосудов | Окостеневшие ткани могут сдавливать нервы и кровеносные сосуды, вызывая боль, онемение, слабость и нарушение кровообращения. | Неврологические нарушения, ишемия тканей, трофические язвы. |
| Проблемы с дыханием | Окостенение грудной клетки может ограничивать дыхательные движения, приводя к одышке и гипоксии. | Респираторная недостаточность, пневмония, сердечная недостаточность. |
| Проблемы с жеванием и глотанием | Окостенение челюстно-лицевой области может затруднять жевание и глотание. | Недоедание, дегидратация, проблемы с питанием. |
| Повышенный риск переломов | Оссифицированные ткани, хотя и более прочные, могут быть хрупкими и склонными к переломам при незначительных травмах. | Длительное заживление переломов, постоянные боли, ограничение подвижности. |
| Боль | Хроническая боль в пораженных областях является одним из наиболее распространенных симптомов. | Ухудшение качества жизни, депрессия, зависимость от обезболивающих препаратов. |
Симптомы заболевания
Фибродисплазия оссифицирующая
Фибродисплазия оссифицирующая (ФОП) характеризуется воспалительными процессами в мягких тканях и образованием костной ткани в местах, где она обычно не должна находиться. Новые кости, формирующиеся в этих областях, по своим свойствам практически не отличаются от уже существующих. Окостенение мягких тканей приводит к мышечной слабости, дистрофическим изменениям и сращению суставов. На данный момент не установлены факторы, объясняющие, почему окостенение может проявляться локально или охватывать весь организм.
Симптоматика ФОП включает не только оссификацию мягких тканей, но и различные аномалии развития. Наиболее распространенные из них:
- укорочение пальцев на стопах;
- недоразвитие фаланг на руках;
- искривление пятого пальца (клинодактилия);
- искривление шейного отдела позвоночника, что видно на рентгеновских снимках;
- укорочение и утолщение плечевых и бедренных костей.
Существует высокий риск возникновения тугоухости, алопеции, гипогонадизма и задержки в физическом развитии. Почти у всех пациентов наблюдаются признаки кривошеи, сколиоза и ограничение подвижности суставов.
Заболевание обычно выявляется на стадии активного окостенения в скелетных тканях, что происходит в детском или подростковом возрасте. Первые подозрения у врачей могут возникнуть при обследовании трехлетнего ребенка с фибродисплазией. Врожденные аномалии могут быть замечены уже в первые дни жизни. Ранняя диагностика заболевания встречается крайне редко из-за недостаточной изученности механизма его развития. Не каждый специалист может сразу определить, почему у пациента наблюдается укорочение пальцев на стопах.
На сегодняшний день генетические исследования играют ключевую роль в понимании заболевания. Одним из основных открытий стало выявление мутации гена BMP4 и его РНК у 70% пациентов. ВМР-4 — это белок, отвечающий за формирование костной ткани и процесс заживления переломов. Он включает гены, повреждение которых может привести к развитию фибродисплазии.
Тем не менее, даже в 21 веке точные причины возникновения этого заболевания остаются неясными. Специалисты предполагают, что фибродисплазия имеет генетическую природу. Существует вероятность, что оссифицирующий миозит может быть вызван мутацией нескольких генов.
Оссифицирующая фибродисплазия — редкое генетическое заболевание, которое вызывает аномальное образование костной ткани в мягких тканях. Люди, столкнувшиеся с этой болезнью, часто делятся своими переживаниями и опасениями. Многие отмечают, что заболевание ограничивает их подвижность и качество жизни, так как новые костные образования могут возникать в неожиданных местах, вызывая боль и дискомфорт.
Существуют также опасения по поводу диагностики и лечения. Из-за редкости заболевания врачи могут не сразу распознать его, что приводит к задержкам в получении необходимой помощи. Пациенты выражают страх перед возможными осложнениями, такими как необходимость хирургического вмешательства, которое не всегда дает желаемый результат.
Кроме того, многие говорят о психологическом бремени, связанном с хронической болезнью, и о том, как важно иметь поддержку со стороны семьи и друзей. Обсуждение этой темы помогает повысить осведомленность и понимание проблемы, что, в свою очередь, может способствовать улучшению условий для пациентов.
https://youtube.com/watch?v=Fj7b7-LgVTo
Терапевтические мероприятия
Поскольку причины фибродисплазии остаются неизвестными, разработать эффективное лечение пока невозможно. Однако существуют медикаменты, которые могут замедлить прогрессирование заболевания:
- Наиболее распространены интерфероны. Длительное применение этих средств помогает предотвратить образование мышечных и подкожных образований.
- Также могут быть назначены биофосфонаты и этилендиаминтетрауксусная кислота.
Вторичная профилактика оссифицирующей фибродисплазии включает избегание хирургических операций и инъекций, а также снижение риска травм.
Вопрос-ответ
https://youtube.com/watch?v=7xgbGS8iCCI
Каковы осложнения прогрессирующей оссифицирующей фибродисплазии?
Большинство пациентов с ФОП к третьему десятилетию жизни прикованы к инвалидному креслу и на протяжении всей жизни нуждаются в посторонней помощи для выполнения повседневных задач. Анкилоз челюсти может привести к выраженной потере веса. Пневмония или правосторонняя сердечная недостаточность могут осложнить ригидную фиксацию грудной клетки.
Можно ли вылечить прогрессирующую оссифицирующую фибродисплазию?
Лечение прогрессирующей оссифицирующей фибродисплазии. Хотя в настоящее время не существует лекарства от ФОП, исследователи из Медицинского центра Пенсильвании (Penn Medicine) стремятся лучше понять это заболевание и разработать потенциальные методы лечения. Лечение направлено на устранение симптомов и минимизацию обострений, провоцирующих аномальный рост костей.
Насколько болезненна прогрессирующая оссифицирующая фибродисплазия?
Обострения заболевания значительно различаются у разных людей и часто приводят к образованию новой кости, характерной для ФОП. Во время обострения у человека с ФОП может наблюдаться субфебрильная температура, покраснение, отёк, скованность, боль, а также повышенная температура в пораженной области. Хотя обострения обычно болезненны, интенсивность боли может варьироваться.
Какова генетическая причина оссифицирующей фибродисплазии?
Причины. Варианты (также известные как мутации) гена ACVR1 вызывают прогрессирующую оссифицирующую фибродисплазию. Этот ген отвечает за синтез белка из семейства рецепторов костных морфогенетических белков (BMP) I типа.
Советы
СОВЕТ №1
Регулярно проходите медицинские обследования. Ранняя диагностика оссифицирующей фибродисплазии может помочь в своевременном начале лечения и замедлении прогрессирования заболевания.
СОВЕТ №2
Обсуждайте свои симптомы с врачом. Если вы заметили изменения в движении или боли в мышцах и суставах, не откладывайте визит к специалисту, чтобы исключить или подтвердить наличие заболевания.
СОВЕТ №3
Изучайте информацию о заболевании. Понимание оссифицирующей фибродисплазии и ее последствий поможет вам лучше справляться с диагнозом и принимать обоснованные решения о лечении.
СОВЕТ №4
Поддерживайте активный образ жизни в рамках своих возможностей. Физическая активность может помочь сохранить подвижность и улучшить общее состояние здоровья, но обязательно консультируйтесь с врачом о допустимых нагрузках.


