Классификация
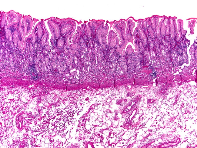
При развитии атрофического гастрита происходит воспаление слизистой оболочки желудка, что приводит к атрофии (изменению) стенок этого органа. В результате наблюдается уменьшение количества специализированных желез, отвечающих за выработку желудочной кислоты. Также происходит частичное отмирание клеток желудка, что негативно сказывается на процессе переваривания пищи и приводит к нарушениям всасывания полезных веществ.
Изменения затрагивают не весь орган, а лишь определенные его участки, поэтому данный тип гастрита называется очаговым. Эта болезнь может возникнуть как следствие запущенного состояния, которое не получило своевременного лечения. Очаговый гастрит представляет опасность из-за высокой вероятности его трансформации в рак, поэтому пациентам крайне важно как можно скорее пройти медицинское обследование и начать терапию.
Врачи отмечают, что атрофический очаговый гастрит является серьезным заболеванием, которое требует внимательного подхода к диагностике и лечению. Это состояние характеризуется атрофией слизистой оболочки желудка, что может привести к нарушению пищеварения и повышенному риску развития рака желудка. Специалисты подчеркивают важность раннего выявления заболевания, так как на начальных стадиях оно может протекать бессимптомно. Врачи рекомендуют регулярные обследования, особенно для людей с предрасположенностью к гастритам. Лечение включает в себя как медикаментозную терапию, так и изменение диеты, что позволяет улучшить состояние слизистой и предотвратить дальнейшее развитие болезни. Профилактика и своевременное обращение к специалистам играют ключевую роль в успешном управлении этим заболеванием.

Виды очагового гастрита
Существует четыре разновидности данного заболевания:
- Очаговая форма, при которой наблюдается атрофия небольшого участка органа. Если начать лечение вовремя, заболевание можно легко устранить.
- Субатрофическая форма характеризуется обширным поражением стенок желудка язвенными очагами. Основные изменения происходят в антральной части.
- Аутоиммунная форма связана с нарушением в организме, в результате чего начинается выработка антител. Это приводит к увеличению секреции соляной кислоты и постоянному раздражению стенок желудка. Вследствие этого на слизистой оболочке органа могут образовываться эрозии.
- Мультифокальная форма является наиболее опасной, так как при недостаточной секреции желудочной кислоты защитный эпителиальный слой может отмирать в любых участках органа.
| Признак | Описание | Значение для пациента |
|---|---|---|
| Определение | Хроническое воспаление слизистой оболочки желудка, характеризующееся потерей железистых клеток и их замещением фиброзной тканью. | Приводит к нарушению пищеварения и усвоения питательных веществ. |
| Причины | Инфекция Helicobacter pylori, аутоиммунные процессы, длительный прием НПВС, алкоголизм, курение, дефицит витамина B12. | Понимание причин помогает в профилактике и лечении. |
| Симптомы | Тяжесть в желудке после еды, тошнота, отрыжка, изжога, снижение аппетита, потеря веса, анемия, дефицит витамина B12. | Раннее выявление симптомов способствует своевременной диагностике. |
| Диагностика | Эндоскопия с биопсией, гистологическое исследование, определение уровня пепсиногена I и II, гастрина-17, антител к париетальным клеткам. | Точная диагностика необходима для выбора адекватной терапии. |
| Лечение | Эрадикация H. pylori, заместительная терапия ферментами, витамином B12, диета, прокинетики, антациды. | Комплексный подход к лечению улучшает прогноз и качество жизни. |
| Осложнения | Железодефицитная анемия, дефицит витамина B12, рак желудка (повышенный риск). | Регулярное наблюдение и скрининг важны для предотвращения серьезных последствий. |
| Профилактика | Своевременное лечение H. pylori, отказ от вредных привычек, сбалансированное питание, регулярные медицинские осмотры. | Снижает риск развития и прогрессирования заболевания. |
Причины возникновения болезни
Учёные пока не пришли к окончательному выводу о причинах возникновения гастрита с очаговой атрофией, однако выделили несколько факторов, способствующих развитию этого заболевания. К ним относятся:
- Неправильное питание — это основная причина появления очагового гастрита. Быстрые перекусы, еда на ходу, а также употребление острой, копчёной, пересоленной и некачественной пищи могут привести к проблемам с желудочно-кишечным трактом.
- Вредные привычки — курение и алкоголь оказывают негативное влияние на слизистую оболочку желудка, что может привести к её воспалению.
- Возрастные изменения. С возрастом внутренние органы подвергаются естественному износу, поэтому гастрит часто встречается у пожилых людей.
- Приём различных медикаментов. Люди, которые бесконтрольно используют лекарства и занимаются самолечением, рискуют столкнуться с хроническим очаговым гастритом.
- Наличие определённых заболеваний, таких как панкреатит, холецистит, энтероколит или язва желудка, может способствовать развитию гастрита.
- Наследственность. Склонность к заболеваниям желудочно-кишечного тракта может в конечном итоге привести к серьёзным недугам.
- Хеликобактериоз — это активное размножение бактерии хеликобактер пилори. В норме небольшое количество этого микроорганизма в желудке не вызывает проблем, но при снижении защитных функций организма бактерии могут стать патогенными и спровоцировать гастрит с очаговой атрофией слизистой.
Атрофический очаговый гастрит вызывает множество обсуждений среди пациентов и врачей. Многие люди отмечают, что это заболевание может протекать бессимптомно, что затрудняет его раннюю диагностику. Однако, когда появляются симптомы, такие как боли в животе, изжога или нарушение пищеварения, пациенты начинают искать информацию и советы. Некоторые делятся своим опытом, рассказывая о том, как изменение диеты и отказ от вредных привычек помогли улучшить состояние. В то же время, другие выражают опасения по поводу возможных осложнений, таких как развитие рака желудка. Врачи подчеркивают важность регулярных обследований и контроля за состоянием, чтобы избежать серьезных последствий. Обсуждения на форумах и в социальных сетях показывают, что люди стремятся поддерживать друг друга, делясь рекомендациями и личными историями, что создает ощущение сообщества в борьбе с этим заболеванием.

Признаки гастрита
Симптоматика и терапия гастрита зависят от его стадии и степени прогрессирования. Основные признаки этого заболевания включают:
- периодические острые боли в области желудка;
- постоянное накопление газов в брюшной полости, сопровождающееся характерным урчанием;
- ощущение тяжести в желудке, даже при длительном отсутствии пищи;
- частые приступы изжоги и отрыжка с неприятным запахом;
- по утрам у пациента может возникать горечь во рту, тошнота и постоянное чувство жажды;
- процесс приема пищи становится болезненным, может возникать холодный пот и учащенное сердцебиение;
- наблюдаются проблемы с дефекацией: частые поносы или запоры;
- резкое снижение веса пациента;
- из-за недостаточного усвоения питательных веществ организм ослабевает, что приводит к низкому иммунитету и повышенной восприимчивости к инфекциям, а также ломкости ногтей и волос;
- иногда наблюдаются периоды ремиссии (временное улучшение состояния), а обострения атрофического очагового гастрита чаще всего происходят весной и осенью, а также после употребления алкоголя, трудноперевариваемой пищи или некоторых медикаментов.
Похожие симптомы могут проявляться и при поверхностном гастрите, поэтому важно провести детальное обследование для точной диагностики и различения этих заболеваний.
Диагностика болезни
Важно! Если у вас появился хотя бы один симптом гастрита, необходимо незамедлительно обратиться к врачу. Самолечение без предварительной консультации со специалистом может быть опасным! Диагностика атрофического гастрита включает в себя следующие методы:
- Внешний осмотр пациента. Врач выслушает жалобы, а также проведёт пальпацию болезненных зон в брюшной полости.
- ФГДС (фиброгастродуоденоскопия). Для этой процедуры используется тонкая гибкая трубка, которая вводится через рот в желудок. На её конце находится микрокамера, позволяющая врачу детально рассмотреть поражённые участки органа. Также возможно взять образец атрофированной ткани для дальнейшего исследования.
- Рентгенография помогает детально обследовать поражённый участок и определить местоположение очагов. Процедура выполняется на голодный желудок, и перед ней пациенту необходимо выпить раствор бария, который создаст чёткий контраст на снимках.
- Гистологическое исследование тканей поражённого органа — анализ образца атрофированного желудка, полученного во время ФГДС.
- Общие анализы мочи и крови.
- Определение кислотности среды в желудке.
- Анализ на наличие патогенных бактерий Хеликобактер пилори.

Лечение гастрита
Избавление от этого заболевания является длительным и сложным процессом. Лечение очагового атрофического гастрита требует комплексного подхода. Обычно применяются следующие методы:
- Щадящее питание. Важно полностью исключить из рациона продукты, которые могут раздражать воспалённую слизистую оболочку. К таким относятся острые и копчёные блюда, алкоголь и газированные напитки. Пища должна готовиться на пару. Соблюдение диеты должно быть постоянным.
- Использование медикаментов и травяных сборов, которые помогают нормализовать кислотность желудка и способствуют восстановлению слизистой оболочки поражённого органа.
- Назначение препаратов, которые облегчают боль и спазмы в области живота, а также помогают при изжоге и тошноте. К таким средствам относятся Но-шпа, Ренни, Альмагель и Мотилиум.
- В случае обнаружения бактерии Хеликобактер пилори необходимо пройти курс антибиотиков для борьбы с этим патогенным микроорганизмом.
- Приём витаминных и минеральных комплексов.
- Хирургическое вмешательство, заключающееся в оперативном удалении поражённой части органа.
Лечение очагового гастрита также возможно с использованием народных средств:
- Капустный сок. Для этого подходит только белокочанная капуста, из которой нужно отжать небольшое количество сока. Принимается за полчаса до еды по 2 столовые ложки. Не менее эффективен сок, выжатый из сырого картофеля, который употребляется аналогично капустному.
- Масло облепихи способствует заживлению повреждений и восстановлению слизистой желудка.
- Свежевыжатый сок подорожника обладает противовоспалительными свойствами. Рекомендуется принимать по 1 столовой ложке перед едой.
Атрофический гастрит не является приговором! Это заболевание можно и нужно лечить. Своевременно принятые лечебные и профилактические меры помогут навсегда избавиться от этого коварного недуга.
Вопрос-ответ
Что такое атрофический очаговый гастрит?
Атрофический очаговый гастрит — это воспалительное заболевание слизистой оболочки желудка, характеризующееся разрушением клеток, вырабатывающих желудочный сок. Это приводит к снижению кислотности и нарушению пищеварительных процессов. Заболевание может быть связано с инфекцией Helicobacter pylori, аутоиммунными процессами или длительным воздействием раздражающих факторов, таких как алкоголь и курение.
Какие симптомы могут указывать на наличие атрофического очагового гастрита?
Симптомы атрофического очагового гастрита могут включать боль или дискомфорт в области желудка, тошноту, рвоту, потерю аппетита, а также ощущение тяжести после еды. В некоторых случаях могут наблюдаться нарушения стула, такие как диарея или запор. Однако у некоторых пациентов заболевание может протекать бессимптомно, что делает его диагностику сложной.
Как проводится диагностика атрофического очагового гастрита?
Диагностика атрофического очагового гастрита включает в себя гастроскопию, во время которой врач осматривает слизистую оболочку желудка и может взять биопсию для гистологического исследования. Также могут быть назначены анализы на наличие Helicobacter pylori, а также тесты на уровень кислотности желудочного сока. Важно провести комплексное обследование для определения степени атрофии и исключения других заболеваний желудка.
Советы
СОВЕТ №1
Регулярно проходите медицинские обследования. Атрофический очаговый гастрит может развиваться бессимптомно, поэтому важно регулярно проверять состояние желудка у гастроэнтеролога, особенно если у вас есть предрасположенность к заболеваниям ЖКТ.
СОВЕТ №2
Обратите внимание на свою диету. Избегайте острых, жирных и жареных блюд, а также продуктов, которые могут раздражать слизистую оболочку желудка. Включите в рацион больше овощей, фруктов и нежирного белка, чтобы поддерживать здоровье желудка.
СОВЕТ №3
Управляйте стрессом. Хронический стресс может усугубить симптомы гастрита. Практикуйте методы релаксации, такие как медитация, йога или прогулки на свежем воздухе, чтобы снизить уровень стресса и улучшить общее самочувствие.
СОВЕТ №4
Избегайте курения и чрезмерного употребления алкоголя. Эти факторы могут негативно влиять на здоровье желудка и усугублять симптомы гастрита. Постарайтесь отказаться от вредных привычек или сократить их до минимума.





